CASE REPORT
JOP. J Pancreas (Online) 2015 May 20; 16(3):290-294.
Hydropic Gallbladder in Three Patients with Poorly Controlled Diabetes Mellitus: What Constitutes Optimal Management?
Yezaz A Ghouri1, Idrees Mian1, Gitanjali Bhattacharjee2, Modushudan Bhattacharjee1
1Department of Internal Medicine, University of Texas Health Science Center at Houston. Houston, TX, USA. 2University of Texas at Austin. Austin, TX, USA
ABSTRACT
Context Long-standing diabetes mellitus results in autonomic nervous system dysfunction, leading to gastroparesis and cholecystoparesis. The latter can result in hydropic gallbladder, a condition that arises from the accumulation of mucinous secretions within the gallbladder, usually caused by obstruction of the cystic duct, but not in the case of the patients with diabetes that we have illustrated. Case report We describe three patients who presented with non-specific abdominal discomfort at the time of admission for complications of poorly controlled diabetes and were subsequently found to have hydropic gallbladder. We theorize that hydropic gallbladder may be a result of a natural progression of gallbladder dysfunction in poorly controlled diabetics with autonomic neuropathy. In our cases the risk of perioperative mortality was high at the time of presentation. No surgical intervention was performed except in one case with the most significant sized gallbladder, and underwent a temporizing cholecystostomy. Conclusions The development of hydropic gallbladder in patients with non-obstructed cystic ducts highlights the complexities of management of patients with functional biliary pain. The rome committee on functional biliary and pancreatic disorders has defined the characteristics of this pain. There is a need for guidelines to direct appropriate assessment of hydropic gallbladder in diabetics and also to determine the indications for cholecystectomy.
INTRODUCTION
Hydropic gallbladder (HGB) develops due to the accumulation of mucinous secretions within the gallbladder. Obstruction of the cystic duct impairs the emptying of the gallbladder and is by far the most common cause of HGB. In general, such obstructions are caused by gallstones, tumors, strictures, or external compressions [1]. In children and young adults, Kawasaki’s disease is associated with acute onset of HGB [2]. Like the majority of the gastrointestinal tract, the gallbladder is comprised of the following layers: mucosa, submucosa, muscularis propria, and serosa [3] and along with neural tissue that connects it to the enteric nervous system [4], all play an important role in gallbladder function. Diabetes mellitus (DM) is known to have deleterious long-term effects on the nervous system, leading to peripheral and autonomic neuropathy, the latter causing gastroparesis [4] amongst multiple other gastrointestinal tract problems. Likewise, gallbladder dysfunction appears to be caused by a similar mechanism of autonomic nerve damage [5], and this can result in HGB in the absence of mechanical obstruction of the cystic duct. Gallbladder function can also be independently influenced by local hormonal regulation. Motilin is the major hormone influencing gallbladder motility during the fasting state with a periodicity corresponding to the migratory motor complexes. Vasoactive intestinal polypeptide and possibly nitric oxide are responsible for relaxation and promote gallbladder filling. Postprandially cholecystokinin (CCK) is the principal hormone that controls its emptying.
Abnormalities in hormonal control influence dysfunctional gallbladder contractions, with CCK and motilin playing a key role [5-6]. CCK is an enteral hormone that induces gallbladder contraction; it is released when the chyme from stomach enters the duodenum [7-8]. The rate of CCK secretion is determined by the rate of release of chyme. Hence, in diabetic gastroparesis a slow rate of CCK secretion is seen. In a study by Bucceri et al, fasting and post-prandial CCK levels were observed in neuropathy-free diabetic individuals [6]. They found that diabetics had lower levels of the hormone when compared to healthy controls. The gallbladders of diabetics have decreased sensitivity to CCK, leading to diminished contractility in response to it [9]. Motilin, release is altered in patients with diabetic gastroparesis, which in turn can lead to ineffective gallbladder contractions [9].
The combined effect of abnormalities in neuronal and hormonal mechanisms in patients with DM causes a hypomotility state called cholecystoparesis (analogous to gastroparesis) in the gallbladder [10]. Over time, the gallbladder enlarges and accumulates clear sero-mucous fluid leading to HGB. Here, we present three cases of HGB in patients with poorly controlled DM. We sought to review the association between HGB and DM and found paucity of information with regards to pathogenesis and guidelines for management.
CASE REPORT
Patient characteristics with radiologically-determined gallbladder size are summarized in Table 1.
Table 1. Patient characteristics with radiologically-determined gallbladder size.
|
Age / Gender |
Length |
Width |
Hemoglobin A1C (%) |
Goldman’s revised score |
ASA physical status classification |
|
|
Case #1 |
42 / Male |
12.2 |
9.8 |
9.1 |
5 (11% Cardiac risk) |
4 |
|
Case #2 |
60 / Female |
14.0 |
6.9 |
12.0 |
4 (11% Cardiac risk) |
3 |
|
Case #3 |
76 / Female |
17.6 |
9.8 |
7.8 |
2 (6.6% Cardiac risk) |
3 |
Case #1
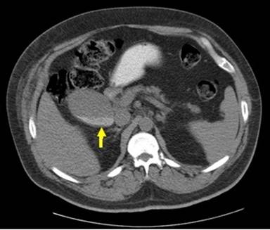
A fourty-two-year-old male with a history of poorly controlled type-2 diabetes mellitus and heart failure with coronary artery disease presented to the hospital emergency room with shortness of breath and abdominal pain. He frequently visited the emergency room for acute exacerbations of his underlying heart failure due to poor compliance with medications and dietary-lifestyle modifications, and he was taking subcutaneous insulin for diabetes control. At presentation, his glycosylated hemoglobin was 9.1% with known diabetic complications of proliferative diabetic retinopathy, peripheral neuropathy, and nephropathy (stage 4 chronic kidney disease). Physical examination revealed a diffusely tender abdomen. A CT scan of the abdomen revealed a mildly distended HGB with a maximum length of 12.2 cm and width of 9.8 cm (Figure 1), with layering of sludge and stones within the gallbladder. Contrast study was not performed in light of his chronic renal failure. The surgical team was consulted and they recommended no further intervention as he had known cholelithiasis for the prior 2 years and he had a normal sized common bile duct and the only change of note on imaging was the growth in size of the gallbladder. The abdominal pain improved spontaneously after a bowel movement. His pulmonary edema resolved with intravenous diuretics, and he was discharged with a regimen of oral diuretics. His HGB remained asymptomatic at one year of follow-up.

|
Figure 1. CT scan of the abdomen without contrast, transverse view, showing a distended gallbladder containing layering sludge (arrow). |
Case #2
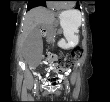
A sixty-year-old woman presented to the emergency room with a left perinephric abscess and symptomatic anemia, and history of poorly controlled type- 2 diabetes mellitus of fifteen years duration, with a glycosylated hemoglobin of 12% recorded 3 months prior to hospitalization. She came from a nursing home where her diabetes was managed with metformin and glipizide, and she had developed diabetic nephropathy (stage 2 chronic kidney disease). At the time of admission she was noted to have lost 24 pounds in weight as compared to her weight 3 months ago. She had a long-standing history of coronary artery disease and paroxysmal atrial fibrillation. She also complained of lower extremity weakness and initial work up suggested a polyneuropathy. Her examination was significant for conjunctival pallor and lower extremity muscle weakness. She was anemic, with hemoglobin of 6.7 g/dL. Iron studies showed low total iron binding capacity and elevated ferritin levels consistent with anemia of chronic disease. Urine analysis and urine culture studies suggested a persistent urinary tract infection and given her history of recurrent UTI’s treated with multiple courses of antibiotics, she was evaluated with a CT scan of her abdomen with intravenous contrast. The CT scan revealed a left perinephric abscess and incidentally found an enlarged gallbladder with a maximum length of 14 cm and width of 6.9 cm (Figure 2). An initial work up included a 99m Technitium hepatobiliary iminodiacetic acid (HIDA) scan, which showed no obstruction to cystic or the common bile ducts and a poor gallbladder ejection fraction of 1%, consistent with biliary dyskinesia (Figure 3). The patient’s serum albumin level had ranged between 2.5 to 3 g/dL in the last few months prior to admission but with a low serum prealbumin level of 11mg/dl, this was suggetsive of poor nutritional status. Her liver transaminases, bilirubin, and alkaline phosphatase levels were within normal limits. Based on her imaging, laboratory data, and clinical presentation she was diagnosed with HGB. The patient underwent percutaneous drainage of the perinephric abscess and was discharged back to her nursing facility to complete a prolonged course of antibiotics, and has had no acute symptoms associated with her gallbladder for the last seven months.

|
Figure 2. CT scan of the abdomen with intravenous contrast, coronal view, showing an enlarged gallbladder with no evidence suggestive of gall stones. |

|
Figure 3. Hepatobiliary Iminodiacetic Acid (HIDA) scan showing a low ejection fraction of the gallbladder after administration of cholecystokinin (CCK). The images show bright nuclear material in the gallbladder which continues to accumulate in the gallbladder over 30 minutes after administration of CCK. The graph (gallbladder contractility vs time) shows poor contractility of the gallbladder and the amount of nuclear material at the beginning and the end of the study (30 mins) is nearly the same due to ineffective contractions (calculated gallbladder EF of nearly 1%). |
Case #3
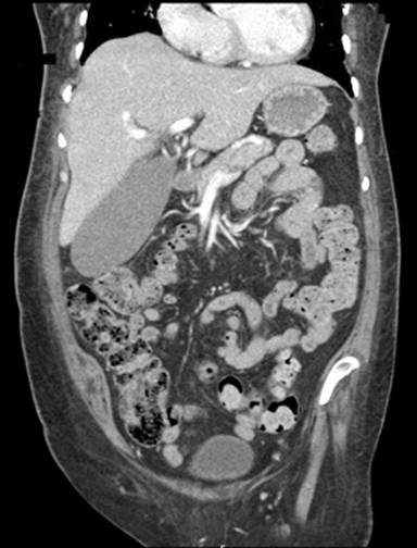
A seventy-six-year-old woman presented with chronic lower back pain and vague abdominal discomfort for one year. She was a known type-2 diabetic for twenty-five years with diabetic peripheral neuropathy, diabetic nephropathy (stage 3 chronic kidney disease) and a chronic diabetic foot ulcer. She was poorly compliant with taking her medications for her diabetes. During the past three years, she had noticed early post-prandial satiety as well as abdominal bloating. On physical examination, she had a non-tender palpable mass in the right upper quadrant of the abdomen. She was found to have elevated glycosylated hemoglobin level of 7.8% with normal ALT, AST, alkaline phosphatase, and total bilirubin. Total protein level was normal at 6.8 g/dL with low albumin of 3 g/dL. CT scan of abdomen was done with oral contrast due to a past history of iodine allergy (Figure 4). The gallbladder was 17.6 cm in its maximum length and 9.8 cm in width, with no gall stones or tumors. At the recommendation of the surgery service, the interventional radiologist performed a percutaneous cholecystostomy for decompression. Due to her poor nutritional status and existing co-morbidities, a plan for interval cholecystectomy was made in addition to plans for close clinic follow-up. The patient continued to have drainage from the cholecystostomy tube but declined to undergo surgery despite extensive counseling. She visited the outpatient clinic twice before she was lost to follow-up.

|
Figure 4. CT scan of the abdomen and pelvis with oral contrast, coronal view, showing a massively distended gallbladder with no visible gall stones or tumors. |
DISCUSSION
A normal gallbladder is 8 cm in length and 4 cm in width when fully distended [11]. An enlarged gallbladder (greater than 10 cm in size) leads to a condition called ‘cholecystomegaly’, which has been noted to develop in diabetics that have other sequelae of autonomic neuropathies [12-13]. In patients with cholecystomegaly, bile salts are reabsorbed by the epithelial lining of the gallbladder, leaving behind a mucinous secretion. If left untreated, cholecystomegaly can progress to hydropic gallbladder (HGB) [3]. In the three cases described above, we found significantly distended and fluid-filled gallbladders in the context of poorly controlled diabetes and without cystic duct obstruction with impressive imaging findings. We suspect these findings developed secondary to the aforementioned pathologic processes [12, 14]. With this in mind, we suggest the term “Diabetic Hydropic Gallbladder” to describe cholecystomegaly found in individuals with a long-term history of diabetes.
In our three cases, the patients belonged to different age groups with uncontrolled diabetes, yet all had a tendency towards developing diabetic HGB. Our youngest patient (Case #1) had the smallest gallbladder of 12.2 cm in length, whereas our 60-year-old patient (Case #2) had a gallbladder of 14 cm in length and our oldest patient (Case #3) had the largest gallbladder of 17.6 cm in length. They were known diabetics for 12, 15 and 25 years, respectively. This would seem to imply that in patients with poorly controlled diabetes who develop diabetic HGB, we can expect to see an increase in the size of the gallbladder with time. This is similar to diabetic neuropathy, which is largely dependent on the duration of disease and not necessarily to its severity [15]. The gallbladder is not designed to store large volumes of fluid. An enlarged, fluid-filled gallbladder can lead to early satiety; dyspepsia; and chronic backache, as noted in Case 3 and significant weight loss, seen in Case #2. If the gallbladder ruptures within the peritoneal cavity, it is a surgical emergency requiring urgent laparotomy and cholecystectomy with peritoneal lavage [16].
In patients with several-year histories of DM who present with abdominal discomfort, nausea, loss of appetite, weight loss, change in bowel habits, or unexplained back pain; we suggest that in addition to gastroparesis, functional biliary pain as defined by the Rome Committee on Functional Biliary and Pancreatic Disorders and also HGB be considered in the differential diagnosis [17]. We believe that diabetic HGB may be a natural progression of the disease processes that causes functional biliary pain in some patients. The Gastroparesis Registry; an observational study to clarify the epidemiology, natural history, clinical course, and other outcomes of gastroparesis; has already shown that cholecystectomy undertaken in patients with a combination of functional biliary pain in patients with gastroparesis yields poor results [18]. A right upper quadrant ultrasound scan is an effective diagnostic tool [16, 19] and when diabetic HGB is detected, we suggest a cholecystectomy at an opportune moment, as the size of the gallbladder will not decrease, as seen in our short series of patients. Diabetes itself is associated with increased risk of gallstone formation and therefore acute cholecystitis in individuals with diabetic HGB is always a risk and is another indication for surgery [20-21]. The timing of surgical intervention in these patients with gastroparesis and functional biliary pain needs to be addressed by the issuance of formal guidelines which are lacking at this point in time. Temporizing measures like cholecystostomy are not to be recommended, especially when there is no infection. In elderly, apprehensive patients, definitive surgery should be performed as soon as the patient becomes symptomatic with HGB.
As diabetics age, they develop comorbidities such as coronary artery disease and peripheral vascular disease, thereby increasing the peri-operative risk of surgical interventions. We used the American Society of Anesthesia (ASA) physical status classification and Goldman’s cardiac index to determine the risk of perioperative mortality in our three cases [22-25]. Our two younger patients had high risk of mortality associated with surgical intervention with ASA scores of ≥3, thus making cholecystectomy a high-risk undertaking and, surprisingly, a relatively lower mortality risk was determined in the 76 year old patient. Given this scenario, it is unclear whether an early detection of the problem, possibly based on a drop in gallbladder ejection fraction on a HIDA scan, followed by serial ultrasound studies to track gallbladder size, is an option. Cholecystectomy would be advisable only if a patient with functional biliary pain develops HGB.
Non-surgical treatment options for this condition are few, and are limited to aggressively controlling the underlying diabetes itself. Currently there are no effective medical therapies available for management of diabetic cholecystoparesis. Prokinetic agents used to treat diabetic gastroparesis (such as metoclopramide) seem to have no effect on gallbladder contractility, whereas erythromycin appears to be minimally effective [9-10]. Clonidine, which can be used in refractory cases of gastroparesis, has no effect on gallbladder contractility [26]. Considering the insidious nature of this disease, the lack of effective medical treatment and the substantial surgical risks involved in treating HGB, especially if left untreated for several years; we feel that the timing of cholecystectomy in diabetic patients with early HGB needs to be comprehensively addressed with formal trials. The increased risk of infections and hepatobiliary malignancies only adds to the urgency of the situation in patients with long-standing cholecystoparesis [27-28].
Thus, while easily identified with a routine right upper quadrant ultrasound study, diabetic HGB can present with a multitude of symptoms, including non-specific abdominal symptoms, those associated with cholelithiasis and its well-described complications, and a failure to thrive in the elderly. Definitive therapy is cholecystectomy. However, in cases with non-infected hydropic gallbladder a cholecystostomy is not to be recommended, as it does not result in reduction of the gallbladder size, as was seen in our oldest patient.
CONCLUSIONS
There is still a paucity of information about the prevalence of HGB in diabetics and a lack of guidelines for the detection and treatment of this problem. Given that patients with diabetes mellitus are living longer and developing multiple comorbidities like gastroparesis and functional biliary pain, we need prospective studies to develop guidelines addressing surveillance and management of diabetic HGB. We feel that the foundations for this work already exist with the definitions put forth by the Rome Committee on Functional Biliary and Pancreatic Disorders and the Gastroparesis Registry.
Received January 23rd, 2015 – Accepted March 18th, 2015
Keywords Gastroparesis
Author Contributions Yezaz A Ghouri: Acquisition of case series, review and interpretation of available literature, and drafting of manuscript. Idrees Mian: Assistance with review of available literature and drafting the manuscript. Gitanjali Bhattacharjee: Drafting of the manuscript, technical and administrative support. Modushudan Bhattacharjee: Acquisition of case series, critical review of available literature, revision of manuscript for important intellectual content, administrative, technical, or material support and supervision.
Conflicting Interest The authors had no conflicts of interest
Correspondence Modushudan
Bhattacharjee
Department of Internal Medicine
University of Texas Health Science Center at Houston
6431 Fannin, MSB 1.122 (30)
Houston, TX
USA
Phone: +1-713.500.6714
Fax: +1-713.500.6722
E-mail: modushudan.bhattacharjee@uth.tmc.edu
References
1. Queiroz AB, de Miranda JS. Images in clinical medicine. Hydropic gallbladder. N Engl J Med 2011; 364: e43. [PMID: 21591940]
2. Panico MR. Vallone G, Mollica C, Nicolai E, Di Cosmo N, Vajro P. Massive hydrops of the gallbladder mimicking a choledochal cyst. J Pediatr Surg 2011; 46: 1015-8. [PMID: 21616273]
3. Gilloteaux J. Introduction to the biliary tract, the gallbladder, and gallstones. Microsc Res Tech 1997; 38: 547-51. [PMID: 9330345]
4. Yarandi SS, Srinivasan S. Diabetic gastrointestinal motility disorders and the role of enteric nervous system: current status and future directions. Neurogastroenterol Motil 2014; 26: 611-24. [PMID: 24661628]
5. Itoh H, Matsumoto T, Tanimoto N, Yokoyama M, Kurohara A, Ikeda Y, et al., Cholecystoparesis with diabetic autonomic neuropathy. Intern Med 1997; 36: 624-7. [PMID: 9313105]
6. Bucceri AM, Calogero AE, Brogna A. Gallbladder and gastric emptying: relationship to cholecystokininemia in diabetics. Eur J Intern Med 2002; 13: 123-128. [PMID: 11893470]
7. Liddle RA. Cholecystokinin cells. Annu Rev Physiol. 1997; 59: 221-42. [PMID: 9074762]
8. Wu T, Rayner CK, Young RL, Horowitz M. Gut motility and enteroendocrine secretion. Curr Opin Pharmacol 2013; 13: 928-34. [PMID: 24060702]
9. Pazzi P, Scagliarini R, Gamberini S, Pezzoli A. Review article: gall-bladder motor function in diabetes mellitus. Aliment Pharmacol Ther 2000; 14: 62-5. [PMID: 10903007]
10. Braverman DZ. The lack of effect of metoclopramide on gallbladder volume and contraction in diabetic cholecystoparesis. Am J Gastroenterol 1986; 81: 960-2. [PMID: 3532765]
11. Meilstrup JW. Imaging Atlas of the Normal Gallbladder and Its Variants. 1994.
12. Agarwal AK, Miglani S, Singla S, Garg U, Dudeja RK, Goel A. Ultrasonographic evaluation of gallbladder volume in diabetics. J Assoc Physicians India 2004. 52: 962-5. [PMID: 15884453]
13. Myrianthefs P, Evodia E, Vlachou I, Petrocheilou G, Gavala A, Pappa M, Baltopoulos G, Karakitsos D. Is routine ultrasound examination of the gallbladder justified in critical care patients? Crit Care Res Pract 2012; 2012: 565617. [PMID: 22649716]
14. Nakeeb A, Comuzzie AG, Al-Azzawi H, Sonnenberg GE, Kissebah AH, Pitt HA. Insulin resistance causes human gallbladder dysmotility. J Gastrointest Surg 2006; 10: 940-8. [PMID: 16843864]
15. Ziegler D. Diagnosis and treatment of diabetic autonomic neuropathy. Curr Diab Rep 2001; 1: 216-27. [PMID: 12643202]
16. Chandnani PC, Chhabria PB, Perrill CV, Grisoni E. Ultrasound as an aid in the diagnosis of hydrops of the gallbladder. JAMA. 1977; 237: 996. [PMID: 576256]
17. Dibaise JK. Evaluation and management of functional biliary pain in patients with an intact gallbladder. Expert Rev Gastroenterol Hepatol 2009; 3: 305-13. [PMID: 19485811]
18. Parkman HP, Yates K, Hasler WL, Nguyen L, Pasricha PJ, Snape WJ, et al., Cholecystectomy and clinical presentations of gastroparesis. Dig Dis Sci 2013; 58: 1062-73. [PMID: 23456496]
19. Grisoni E, Fisher R, Izant R. Kawasaki syndrome: report of four cases with acute gallbladder hydrops. J Pediatr Surg 1984; 19: 9-11. [PMID: 6699768]
20. De Santis A, Attili AF, Ginanni Corradini S, Scafato E, Cantagalli A, De Luca C, et al., Gallstones and diabetes: a case-control study in a free-living population sample. Hepatology 1997; 25: 787-90. [PMID: 9096577]
21. Sodhi JS, Zargar SA, Khateeb S, Showkat A, Javid G, Laway BA, Parveen S, et al., Prevalence of gallstone disease in patients with type 2 diabetes and the risk factors in North Indian population: A case control study. Indian J Gastroenterol 2014; 33: 507-11. [PMID: 25283265]
22. Lauven PM, Stoeckel H, Ebeling BJ. [Perioperative morbidity and mortality of geriatric patients. A retrospective study of 3905 cases]. Anasth Intensivther Notfallmed 1990; 25: 3-9. [PMID: 2309998]
23. Pedersen T, Eliasen K, Ravnborg M, Viby-Mogensen J, Qvist J, et al., Risk factors, complications and outcome in anaesthesia. A pilot study. Eur J Anaesthesiol 1986; 3: 225-39. [PMID: 3780691]
24. Goldman L, Caldera DL, Nussbaum SR, Southwick FS, Krogstad D, Murray B, et al., Multifactorial index of cardiac risk in noncardiac surgical procedures. N Engl J Med 1977; 297: 845-50. [PMID: 904659]
25. Zeldin RA. Assessing cardiac risk in patients who undergo noncardiac surgical procedures. Can J Surg 1984; 27: 402-4. [PMID: 6744151]
26. Morali GA, Braverman DZ, Lissi J, Goldstein R, Jacobsohn WZ. Effect of clonidine on gallbladder contraction and small bowel transit time in insulin-treated diabetics. Am J Gastroenterol 1991; 86: 995-9. [PMID: 1858766]
27. Shebl FM, Andreotti G, Rashid A, Gao YT, Yu K, Shen MC, Wang BS, et al., Diabetes in relation to biliary tract cancer and stones: a population-based study in Shanghai, China. Br J Cancer 2010; 103: 115-9. [PMID: 20517308]
28. Shpitz B, Sigal A, Kaufman Z, Dinbar A. Acute cholecystitis in diabetic patients. Am Surg 1995; 61: 964-7. [PMID: 7486428]