CASE REPORT
JOP. J Pancreas (Online) 2015 May 20; 16(3):307-309.
Acinar Cell Cystadenoma of Retroperitoneum: A Case Report and the Literature Review
Ming-Zhang Song1, Cheng-Hsi Su1, Cheng-Hsiang Hsiao2
Departments of 1Surgery and 2Pathology, Cheng Hsin General Hospital. Taipei, Taiwan
ABSTRACT
Context Acinar cell cystadenoma of pancreas is a very rare pancreatic cystic lesion. It is also a benign lesion without malignant potential. Because it is normal tissue with abnormal figuration, acinar cell transformation is also named. Case report We reported a thirty-seven-year-old female noticed to have a cystic lesion closely in contact with the pancreatic tail by abdominal CT scan. After operation, the cystic lesion was analyzed and acinar cell cystadenoma arising from retroperitoneum was confirmed. Conclusion Literature review revealed only one case of retroperitoneal acinar cell cystadenoma was reported before and the pathogenesis is still unknown.
INTRODUCTION
Acinar cell cystadenoma is a rare cystic lesion lined by cells with acinar cell differentiation and absence of malignant characters. Up to now, less than 30 cases had been described and all of them occurred in the pancreas. In 2011, Pesci et al described an acinar cell cystadenoma occurring outside the pancreas and located between the pancreatic tail, the stomach and spleen. In this report, we describe another case of primary retroperitoneal acinar cell cystadenoma and suggested the lesion is more like arising from an ectopic pancreatic tissue.
CASE REPORT
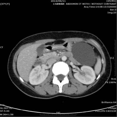
This patient was a thirty-seven-year-old female who complained of intermittent left flank pain and soreness for 2 months. She denied any underlying disease before. A 8x6 cm lobulated cystic lesions with plaque calcification was found at the pancreatic tail incidentally by computer tomography scan of abdomen (Figure 1).

|
Figure 1. Abdomen CT scan discovered a 8x6 cm lobulated cystic lesions at the pancreatic tail. |
She was referred to our hospital under the impression of mucinous cystic neoplasm of pancreatic tail. On exploration, a loculated cystic lesion about 8x6x4 cm in size with watery clear cystic content over retroperitoneum, posterior to splenic flexure, and close contact with the inferior posterior border of pancreatic tail was found (Figure 2).

|
Figure 2. The loculated cystic lesion contained watery clear fluid over retroperitoneum, with its upper margin closely contact with posterior inferior aspect of the pancreatic tail (*). |
Frozen section after cyst removal reported mesothelial cyst without ovarian stroma.
Pathologic Findings
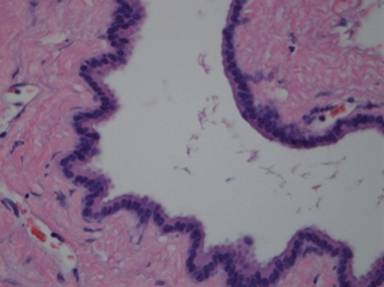
Grossly, the specimen measuring 7x6x3 cm in size was a multiloculated cystic lesion with a thin wall and contained watery clear fluid. No papillary or solid components were seen (Figure 3). Microscopically, the cyst was lined by a single layer of cuboidal cells without stratification or papillary growth (Figure 4).

|
Figure 3. Gross finding of the multiloculated cystic lesion with a thin wall. |

|
Figure 4. The epithelium was composed by a single layer of cuboidal cells. |
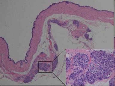
The lining cells had eosinophilic to basophilic cytoplasm without nuclear atypia, mitosis, or mucinous differentiation. No ovarian-like stroma was seen. Occasional small clusters of residual pancreatic elements including islet cells and acinar glands were also seen in the cystic wall (Figure 5).

|
Figure 5. Focal pancreatic islet cells and acinar glands were also seen in the cystic wall. |
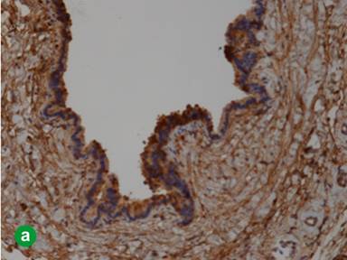
The cystic lining cells were focally reactive to CK7 and Trypsin (Figure 6a) but negative for calretinin, WT1, PAX8, CD31, and CK20. The luminal border of the epithelium was also reactive to EMA. Histochemical staining for PAS was negative in the epithelium. The residual pancreatic islet could be highlighted by IHC stain for synaptophysin (Figure 6b). The whole picture was more like a rare acinar cell cystadenoma.


|
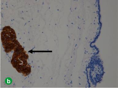
Figure 6. a. The lining cells were reactive to Trypsin. b. The residual islets of Langerhans (arrow) were positive for synaptophysin, but the lining epithelium was negative. |
DISCUSSION
A wide variety of cystic lesions may occur in the pancreas and they include either non-neoplastic or neoplastic lesions. The non-neoplastic cysts include the pancreatic pseudocyst, lymphoepithelial and enterogenous cysts [1]. The neoplastic cystic tumors include mucinous cystic neoplasm (MCN), intraductal papillary mucinous neoplasm (IPMN), solid pseudopapillary tumor, serous cystadenoma and acinar cystadenocarcinoma [2]. The lining epithelium of the cystic lesion in our patient was a single-layered cuboidal cells. No cellular atypia, mitosis, or other malignant features were seen. There was no papillary growth, mucinous differentiation, or ovarian-like stroma. Thus, it is easy to differentiate our case from the MCN, solid pseudopapillary tumor, IPMN, and acinar cystadenocarinoma [3].
Serous cystadenoma of the pancreas usually presents as sponge-like microcystic tumor [4] but macrocystic lesion has also been reported [5] and it may be confused with our case.However, the cysts of serous cystadenoma are usually lined by small cuboidal cells with clear glycogenated cytoplasm [6]. It is quite different from the eosinophilic lining cells in our case. Therefore, the multilocular cyst in our case can not fit into any entity of the above described pancreatic cystic lesions.
In 2002, Albores-Saavedra reported a previously undescribed pancreatic cyst showing acinar cell differentiation of the lining epithelium and absence of cellular atypia and malignant features and he named the lesions as acinar cell cystadenoma (ACC) in contrast with the acinar cell cystadenocarcinoma [7]. The microscopic and immunohistochemical characters of the lining epithelium in our patient fulfill the diagnostic criteria of acinar cell cystadenoma [8]. Till now, less than 30 cases of ACC have been described [9]. The low proliferative fractions (Ki67 index <1 %) [9], random X-chromosome inactivation pattern [10], and no malignant transformation have been reported and suggested the lesions are non-neoplastic [9, 10].
The cystic lesion in our patient was not connected with any organ, and it was stripped easily from the margin of pancreatic tail without resection of the pancreas. We consider the cystic lesion probably originated from the retroperitoneum and it also needs to be differentiated from cystic lymphangioma, mesothelial inclusion cyst, and teratoma [11]. The negative staining of CD31, claretinin and WT-1 in our case and the absence of other tissue component exclude the above three differential diagnoses. Primary retroperitoneal acinar cell cystadenoma has also been reported by Pesci in 2011 [11]. Three hypotheses for the presence of ACC in the retroperitoneum were proposed by Pesci. (1) The ACC comes from a teratoma, and the pancreatic acinar becomes the only tissue component of the teratoma. (2) Pancreatic metaplasia of a mesothelial inclusion cyst. (3) The lesion arises from an ectopic pancreatic tissue in the retroperitoneum [11]. The presence of residual pancreatic acinar, islet, and small ducts in the cystic wall in our patient suggests the cystic lesion is arising from an ectopic pancreatic tissue.
In summary, we described a rare retroperitoneal acinar cell cystadenoma probably arising from an ectopic pancreatic tissue. It needs to be differentiated from other pancreatic or retroperitoneal cystic lesions.
Received March 12th, 2015 – Accepted March 31st, 2015
Keywords Acinar Cells; Cystadenoma; Immunohistochemistry; Retroperitoneum
Conflicting Interest The authors had no conflicts of interest
Correspondence
Ming-Zhang Song
Division of General Surgery
Department of Surgery
Cheng Hsin General Hospital
No.45, Cheng Hsin St.
Pai-Tou, Taipei 112
Taiwan (R.O.C.)
Phone: +886-2.2826.4400
Fax: + 886-2.2826.4533
E-mail: b9005015@gmail.com
References
1. Zamboni G, Terris B, Scarpa A, et al. Acinar cell cystadenoma of the pancreas: a new entity? Am J Surg Pathol 2002; 26:698-704. [PMID: 12023573]
2. Campbell F, Azadeh B. Cystic neoplasms of the exocrine pancreas. Histopathology 2008; 52:539-551. [PMID: 17903202]
3. Andrea M. Wolf, L. Andrew Shirley, Jordan M. Winter. Acinar cell cystadenoma of the pancreas: report of three cases and literature review. J Gastrointest Surg 2013; 17:1322–1326. [PMID: 23605178]
4. Sahani DV, Kadavigere R, Saokar A, et al. Cystic pancreatic lesions: a simple imaging-based classification system for guiding management. Radiographics 2005; 25:1471-1484. [PMID: 16284129]
5. Sperti C, Pasquali C, Perasole A, et al. Macrocystic serous cystadenoma of the pancreas: clinicopathologic features in seven cases. Int J Pancreatol 2000; 28:1-7. [PMID: 11185705]
6. Limaiem F, Khalfallah T, Farhat LB, et al. Pancreatic cystic neoplasms. N Am J Med Sci 2014; 6:413-417. [PMID: 25210676]
7. Jorge Albores-Saavedra, MD. Acinar cystadenoma of the pancreas: a previously undescribed tumor. Ann Diagn Pathol 2002; 6:113-115. [PMID: 12004359]
8. Chatelain D, Paye F, Mourra N, et al. Unilocular acinar cell cystadenoma of the pancreas an unusual acinar cell tumor. Am J Clin Pathol 2002; 118:211-214. [PMID: 12162680]
9. Frank B, Sebstian A, Thilo W, et al. Molecular analysis of pancreatic acinar cell cystadenomas: Evidence of a non neoplastic nature. Onc. Letters 2014; 8:852-858. [PMID: 25009661]
10. Aatur D. Singhi, Stephanie Norwood, Ta-Chiang Liu. Acinar cell cystadenoma of the pancreas: a benign neoplasm or non-neoplastic ballooning of acinar and ductal epithelium? Am J Surg Pathol 2013; 37:1329–1335. [PMID: 24076773]
11. Anna Pesci, Paola Castelli, Enrico Facci. Primary retroperitoneal acinar cell cystadenoma. Human Pathology 2012; 43:446–450. [PMID: 21840569]