CASE REPORT
JOP. J Pancreas (Online) 2011 Sep 9; 12(5):464-468.
Sadanobu Izumi1, Satoko Nakamura2, Masaki Tokumo1, Shohei Mano2
Departments of 1Surgery and 2Pathology, Kagawa Prefectural Central Hospital. Takamatsu, Kagawa, Japan
ABSTRACT
Context This report describes a minute pancreatic ductal adenocarcinoma which appeared to be in early stage tumor progression based on the study of its molecular abnormalities. In addition, it was associated with lipomatous pseudohypertrophy, a rare disease. Case report A 78-year-old male presented to our department with an incidental pancreatic tumor. Abdominal dynamic computed tomography showed an enlarged pancreas, and diffuse fat density in the entire pancreas was demonstrated. In the pancreatic body, a slightly enhanced early phase 10 mm mass was detected. He underwent a distal pancreatectomy. The histological features of the tumor revealed abundant fibrosis and duct lesions with various atypia. Duct lesions equivalent to well-differentiated adenocarcinoma were shown sparsely, but no vessel or lymphatic permeation nor perineural invasion were observed. In the background of the pancreas, diffuse fatty infiltrations which were composed of abundant normal adipose tissue and scattered pancreatic parenchyma were observed. The results of immunolabeling for MUC1, p16, p53 and Smad4 demonstrated that there is the possibility of coexistence of precancerous duct lesions and cancerous lesions in the genetic progression of pancreatic cancer. Conclusion The above results suggested that this pancreatic ductal adenocarcinoma with lipomatous pseudohypertrophy might be an example of very early stage tumor progression.

|
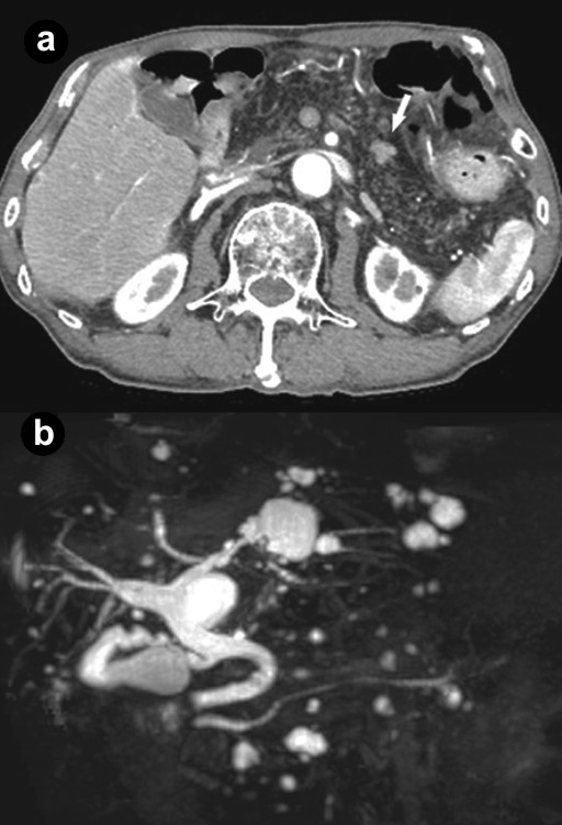
Figure 1. a. Abdominal dynamic computed tomography showed a slightly enhanced early phase 10 mm mass (arrow) in the pancreatic body, diffuse fat density, and net-like shadow in the entire pancreas. b. Magnetic resonance cholangiopancreatography demonstrated no abnormal findings, such as obstruction, narrowing or dilatation in the main pancreatic duct or multiple hepatic and pancreatic cysts. |

|
Figure 2. The cut surface demonstrated diffuse fatty infiltration (#) and contained a well-demarcated white to grayish tumor (&). |

|
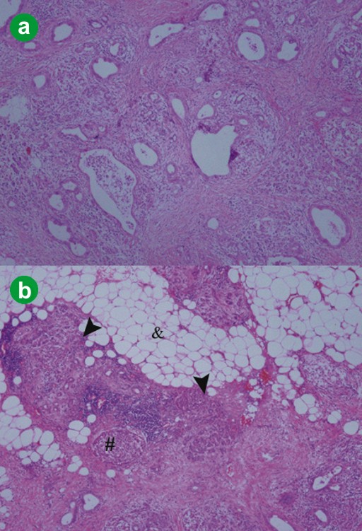
Figure 3. a. Histological features of the tumor revealed abundant fibrosis and duct lesions with various atypia (x100). b. In the periphery of the tumor, normal duct-like lesions, islets of Langerhans (#) and acinar atrophy (arrow heads) were observed and, around the tumor, abundant normal adipose tissue (&) was seen (x100). |

|
Figure 4. a. In the back ground pancreas, abundant normal adipose tissue and scattered pancreatic parenchyma were seen around the tumor (&) (x20). b. In the scattered pancreatic parenchyma, small or dilated ducts, mucinous metaplasia (arrows) including low-grade PanIN (#), and acinar atrophy (arrow heads) were observed (x40). |

|
Figure 5. a. Immunolabeled features of the tumor showed focal positive-labeling for MUC1/DF3 mainly at the cell membrane (x100). b. Diffuse positive labeling for Smad4 mainly at the cytoplasm and focally nucleus are also seen (x100). |
In order to define the early stage of an invasive pancreatic ductal adenocarcinoma, it is important to clarify not only the histological features but also the molecular abnormalities associated with genetic progression.
Another important point is to identify the tumor border. In most pancreatic ductal adenocarcinomas, the border is indistinct because of infiltrative growth. However, in the present case, the presence of lipomatous pseudohypertrophy made the tumor border distinct because the pancreatic parenchyma around the tumor had been almost completely replaced by normal adipose tissue. Hence, we were able to easily and precisely identify whether immunolabeled duct lesions existed within the tumor area or not.
The characteristic histological features of this minute pancreatic ductal adenocarcinoma were as follows. First, the pancreatic ductal adenocarcinoma was composed of abundant fibrosis, called the desmoplastic reaction, and various duct lesions. However, such duct lesions as could be distinctly diagnosed as adenocarcinoma were present sparsely in the vicinity of the center of the tumor. The desmoplastic reaction is one of the characteristic features of an invasive pancreatic ductal adenocarcinoma [3, 8], and it has been hypothesized that cancer cells within the desmoplastic reaction area grow as the result of a mechanism, such as tumor-stroma interaction [9]. Hence, the evident presence of the desmoplastic reaction, in spite of a minute pancreatic ductal adenocarcinoma and the sparse presence of cancer cells within the desmoplastic reaction area, appeared to be valid for the very early features of a pancreatic ductal adenocarcinoma. Second, normal duct-like lesions, mucinous metaplasia and acinar atrophy were observed only in the periphery of the tumor. It is thought that these components may have originally been present in the scattered acini in which this pancreatic ductal adenocarcinoma occurred and they were later included in the tumor with progression of the pancreatic ductal adenocarcinoma. In addition, the features of no vessel and lymphatic permeation and no neural invasion support the fact that this case was likely to be the early stage of an invasive pancreatic ductal adenocarcinoma.
In this study, we carried out immunolabeling for p16, p53, Smad4, and MUC1 to clarify the stage of genetic progression of this minute pancreatic ductal adenocarcinoma. Inactivation of the p16 function in pancreatic ducts is considered to be an early event in the genetic progression of carcinogenesis [7]. On the other hand, inactivation of p53 and Smad4 are considered to be late events [4, 5, 6]. Maitra et al. reported that loss of the p16 function is found in low-grade PanINs with a frequency of up to approximately 95% in invasive pancreatic ductal adenocarcinoma [4]. Nuclear overexpression of p53 protein and loss of DPC4 expression are found only in PanIN-3 (with frequencies of 57% and 28%, respectively) and invasive pancreatic ductal adenocarcinoma (50-75% and 55%, respectively) [4]. On the other hand, MUC1 is one of the representative surface markers of a pancreatic ductal adenocarcinoma [10], and Ueda et al. reported that MUC1 is the most sensitive and specific marker for invasive pancreatic carcinoma [11].
In light of these immunohistochemistry results, focal positive labeling for MUC1 in various duct lesions suggested that all duct lesions within the tumor area did not have sufficient malignant potential. On the other hand, no expression of p16, p53 and Smad4 suggested that the genetic abnormalities of early events, such as p16 inactivation, had occurred, but that late events, such as p53 or Smad4 inactivation, had not occurred sufficiently. In other words, these duct lesions within the tumor area might be a state where precancerous lesions and cancerous lesions coexist.
Lipomatous pseudohypertrophy was first described in 1931 [12] but it is a rare disease and the specific etiology of lipomatous pseudohypertrophy remains unknown. At CT imaging, this patient demonstrated typical features [13]. Histologically, the pancreatic acini showed marked atrophy and loss, but the islets of Langerhans were relatively preserved; hence, it was thought that glucose tolerance was preserved. In the residual scattered acini, low-grade PanINs, mucinous metaplasia, acinar atrophy, dilated ducts and slight lymphocytic infiltration were shown with a considerably high frequency. Altinel et al. reported that scattered acini do not show signs of injury, such as cellular attenuation, inspissated secretions or tubular complex formation [14]. However, it is unknown whether the above features of the acini in this patient occurred in association with diffuse fatty infiltrations or a minute pancreatic ductal adenocarcinoma because there have only been a handful of case reports about lipomatous pseudohypertrophy. In the literature, there are only three reports of pancreatic carcinomas associated with lipomatous pseudohypertrophy: one squamous cell carcinoma and two adenocarcinomas [14]. To date, 30 cases of lipomatous pseudohypertrophy have been reported [14], but the study of carcinogenesis in lipomatous pseudohypertrophy patients has been extremely limited. In this patient, two risk factors, advanced age and smoking, might be involved in the possible occurrence of pancreatic cancer. Until now, it has been unclear whether lipomatous pseudohypertrophy should be considered as a risk factor for pancreatic ductal adenocarcinoma. However, if lipomatous pseudohypertrophy of the pancreas is observed, careful attention should be paid to the risk of carcinogenesis.
Received June 14th, 2011 - Accepted June 27th, 2011
Conflict of interest The authors have no potential conflict of interest
Correspondence
Sadanobu Izumi
Department of Surgery
Kagawa Prefectural Central Hospital
5-4-16 Banchou
Takamatsu, Kagawa 760-8557
Japan
Phone: +81-87.835.2222
Fax: +81-87.834.8363
E-mail: s-izumi@chp-kagawa.jp
References
1. Hruban RH, Takaori K, Klimstra DS, Adsay NV, Albores-Saavedra J, Biankin AV, et al. An illustraited consensus on the classification of pancreatic intraepithelial neoplasia and intraductal papillary mucinous neoplasms. Am J Surg Pathol 2004; 28:977-87. (More details: [1]).
2. Takaori K, Kobashi Y, Matsusue S, Matsui K, Yamamoto T. Clinicopathological features of pancreatic intraepithelial neoplasias and their relationship to intraductal papillary-mucinous tumors. J Hepatobiliary Pancreat Surg 2003; 10:125-36. (More details: [2]).
3. Hruban RH, Klimstra DS, Pitman MB. Tumors of the Pancreas, 4th ed. In: AFIP Atlas of Tumor Pathology, Series IV. Washington (DC): Armed Forces Institute of Pathology; 2006. (More details: [3]).
4. Maitra A, Adsay NV, Argani P, Iacobuzio-Donahue C, De Marzo A, Cameron JL, et al. Multicomponent analysis of the pancreatic adenocarcinoma progression model using a pancreatic intraepithelial neoplasia tissue microarray. Mod Pathol 2003; 16:902-12. (More details: [4]).
5. Wilentz RE, Iacobuzio-Donahue CA, Argani P, McCarthy DM, Parsons JL, Yeo CJ, et al. Loss of expression of Dpc4 in pancreatic intraepithelial neoplasia: evidence that DPC4 inactivation occurs late in neoplastic progression. Cancer Res 2000; 60:2002-6. (More details: [5]).
6. Wilentz RE, Su GH, Dai JL, Sparks AB, Argani P, Sohn TA, et al. Immunohistochemistry labeling for Dpc4 mirrors genetic status in pancreatic and peripancreatic adenocarcinomas: a new marker of DPC4 inactivation. Am J Pathol 2000; 156:37-43. (More details: [6]).
7. Wilentz RE, Geradts J, Maynard R, Offerhaus GJ, Kang M, Goggins M, et al. Inactivation of the p16 (INK4A) tumor-suppressor gene in pancreatic duct lesions: loss of intranuclear expression. Cancer Res 1998; 58:4740-4. (More details: [7]).
8. Hruban RH, Adsay NV, Albores-Saavedra J, Anver MR, Biankin AV, Boivin GP, et al. Pathology of genetically engineered mouse models of pancreatic exocrine cancer: consensus report and recommendations. Cancer Res 2006; 66:95-106 (More details: [8]).
9. Mahadevan D, Von Hoff DD. Tumor-stroma interactions in pancreatic ductal adenocarcinoma. Mol Cancer Ther 2007; 6:1186-97. (More details: [9]).
10. Adsay NV, Merati K, Andea A, Sarkar F, Hruban RH, Wilentz RE, et al. The dichotomy in the preinvasive neoplasia to invasive carcinoma sequence in the pancreas: differential expression of MUC1 and MUC2 supports the existence of two separate pathways of carcinogenesis. Mod Pathol 2002; 15:1087-95. (More details: [10]).
11. Ueda M, Miura Y, Kunihiro O, Ishikawa T, Ichikawa Y, Endo I, et al. MUC1 overexpression is the most reliable marker of invasive carcinoma in intraductal papillary-mucinous tumor (IPMT). Hepatogastroenterology 2005; 52:398-403. (More details: [11]).
12. Hantelmann W. Fettsucht und Atrophie der Bauch specicheldruse bei Jungendlichen. Virchows Arch 1931; 282:630-42. (More details: [12]).
13. Yasuda M, Niina Y, Uchida M, Fujimori N, Nakamura T, Oono T, et al. A case of lipomatous pseudohypertrophy of the pancreas diagnosed by typical imaging. JOP. J Pancreas (Online) 2010; 11:385-8. (More details: [13]).
14. Altinel D, Basturk O, Sarmiento JM, Martin D, Jacobs MJ, Kooby DA, Adsay NV. Lipomatous pseudohypertrophy of the pancreas. A clinicopathologically distinct entity. Pancreas 2010; 39:392-7. (More details: [14]).