REVIEW
JOP. J Pancreas (Online) 2012 May 10; 13(3):252-257.
Surinder Singh Rana1, Can Gonen2, Peter
Vilmann2
1Department of
Gastroenterology, Postgraduate Institute of Medical Education and Research
(PGIMER). Chandigarh, India. 2Endoscopic Unit at Gentofte Hospital, Department
of Surgical Gastroenterology, Copenhagen University Hospital Herlev. Hellerup,
Denmark
Summary
Pancreas divisum is the most common
congenital anatomic variation of the pancreatic ductal anatomy and in most of
the individuals it is asymptomatic. However, in minority of individuals it is
presumed to cause recurrent acute pancreatitis and chronic pancreatitis.
Endoscopic retrograde cholangiopancreatography is the gold standard for its diagnosis,
but is invasive and associated with significant adverse effects. Endoscopic
ultrasound (EUS) allows the detailed evaluation of the pancreaticobiliary
ductal system without injecting contrast in these ducts. Moreover, it provides
detailed images of the parenchyma also. Therefore EUS, both radial and linear,
has potential for being a minimally invasive diagnostic modality for pancreas
divisum. A number of EUS criteria have been suggested for the diagnosis of
pancreas divisum. These criteria have varying sensitivity and specificity and
hence there is a need for objective and uniform criteria that have the best
diagnostic accuracy. Secretin EUS has a potential for diagnosing minor papilla
stenosis and thus help in planning appropriate therapy. EUS guided pancreatic
duct interventions can help in draining dorsal duct in symptomatic patients
with failed minor papilla cannulation. But these techniques are technically
demanding and associated with potential severe complications.
Introduction
Pancreas divisum, the most common
congenital anatomic variation of the pancreatic ductal anatomy, occurs in
approximately 10% of the population [1, 2]. The normal pancreas develops from the fusion of dorsal and ventral pancreatic buds
during the fetal development. In up to 90% of individuals the ducts of both the
dorsal and ventral buds fuse along with the parenchymal fusion resulting in the
main pancreatic duct draining whole of the pancreas via the major papilla. In
pancreas divisum this ductal fusion does not occur and the dorsal duct drains
majority of the pancreas via the minor papilla and the ventral duct drains only
a small proportion of the pancreas (inferior portion of the head) via the major
papilla [2].
Most of the individuals with pancreas divisum remain asymptomatic.
It has been estimated that less than 5% individuals will develop symptoms
attributable to the altered ductal anatomy [3]. The most likely mechanism for
this is the
presence of small and stenotic minor papilla orifice in some individuals. This
leads onto high dorsal ductal pressure during active secretion resulting in
inadequate drainage and ductal distension. This presumably causes acute recurrent pancreatitis, chronic pancreatitis and
pancreatic type abdominal pain without biochemical or radiological evidence of
pancreatitis [1, 2, 3].
Endoscopic retrograde cholangiopancreatography (ERCP) is considered the gold standard for diagnosis of pancreas
divisum. The pancreatogram is obtained after cannulating both the major and
minor papilla in order to delineate ventral as well as dorsal ducts,
respectively [1, 2, 3]. But ERCP is seldom
used for its diagnosis as minor papilla cannulation is difficult and ERCP is associated with a significant risk of pancreatitis.
Magnetic resonance cholangiopancreatography (MRCP), non-invasively, evaluates the pancreaticobiliary ductal system and
has good sensitivity and specificity for the diagnosis of pancreas divisum [4].
Secretin enhancement further improves the diagnostic accuracy of MRCP [5]. Endoscopic ultrasound (EUS), allows the detailed evaluation of the pancreaticobiliary
ductal system without injecting contrast into these ducts. Moreover, by providing
detailed imaging of the pancreatic parenchyma it can help in diagnosing early
chronic pancreatitis as well as detect small pancreatic tumors. This review
focuses on the current as well as potential role of EUS in diagnosing and
treating patients with pancreas divisum.
EUS and Diagnosis of Pancreas Divisum
The
published data on the accuracy of detection of pancreas divisum by endoscopic
ultrasound is scanty. Several EUS criteria for the diagnosis of pancreas
divisum, both on radial as well as linear endosonography, have been proposed.
However, very few studies have evaluated the accuracy of these criteria.
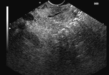
Radial Endosonography
On radial endosonography, absence of the “stack
sign” has been suggested as a useful criterion for diagnosing pancreas divisum
(Figure 1) [6]. To obtain the stack sign, the echo endoscope is positioned in
the duodenal bulb in the long position and the balloon is inflated after
positioning the tip of the endoscope in the apex of the bulb. From this
position, the distal common bile duct, ventral pancreatic duct and the portal
vein can be seen to run in parallel being stacked together. The bile duct will
be closest to the transducer.

|
Figure 1. Radial EUS: stack
sign showing common bile duct, pancreatic duct and portal vein. |
Bhutani et
al. [6] evaluated 6 patients with pancreas divisum and attempted to obtain
a stack sign in them. The results were compared with the EUS findings in 30 patients without pancreas
divisum. A stack sign was obtained in 2/6 (33.3%) patients with pancreas
divisum and this was significantly lower than the frequency of it in patients
without pancreas divisum (83.3%; P=0.04). The presence of a markedly dilated
ventral duct in one patient, and an unusually large ventral pancreas in the other,
led onto a false positive stack sign. The authors concluded that the absence of
stack sign during EUS may suggest the diagnosis of pancreas
divisum.
Tandon et
al. [7] felt that absence of stack sign may not be specific for diagnosis
of pancreas divisum and therefore they evaluated more exhaustive criteria for its
diagnosis. They diagnosed pancreas divisum when on EUS they could find the bile duct and pancreatic duct
entering the second part of duodenum in separate locations with pancreatic duct
traversing to the duodenal wall proximal and anterior to the bile duct. Pancreas
divisum was not diagnosed when the pancreatic duct converged with the bile duct
at the duodenal wall, crossed from ventral to dorsal pancreas, or could not be
identified. Using these criteria, the authors correctly identified two of the
three cases of pancreas divisum prospectively and there were no false positive
diagnosis. The authors felt that these criteria may not be highly sensitive but
are more specific than the mere absence of a “stack sign”.
Vaughan et
al. [8] retrospectively evaluated the accuracy of EUS in the diagnosis of pancreas divisum in a busy clinical
setting. In this study, published in an abstract form, the authors calculated
the sensitivity and specificity of blinded EUS compared to ERCP in
consecutive patients with and without pancreas divisum (77 patients each). The
criteria used for diagnosis of pancreas divisum were not mentioned in the
abstract but majority (73%) of the patients underwent radial endosonography.
The sensitivity of EUS for the detection of pancreas divisum was
50.6% (95% confidence interval (CI): 39.0% to 62.2%) and the specificity was
94.8% (95% CI: 87.2-98.6%). The authors concluded that, in routine practice,
the sensitivity of EUS in the diagnosis of pancreas divisum
appears to be poor, but has high specificity.
Tessier and Sahai [9] prospectively
evaluated multiple EUS criteria for the diagnosis of pancreas
divisum in 24 patients who underwent both EUS and ERCP. The presence or absence of
the following criteria were studied: 1) diminutive or absent ventral pancreatic
duct; 2) ‘‘crossed duct sign’’ (bulb view showing Santorini duct crossing the common
bile duct; 3)‘‘V sign’’ (second part of duodenum view of Santorini duct and
ventral/dorsal demarcation of the head of pancreas making a ‘‘V’’); 4) dominant
Santorini duct (Santorini duct diameter more than the ventral pancreatic duct
diameter); 5) ‘‘VD transition’’ (ability to follow main pancreatic duct from
main papilla from ventral to dorsal pancreas and/or well around the genu); 6)
‘‘trace back’’ (bulb view following pancreatic duct from the main papilla back
around genu). The pancreas divisum was diagnosed on ERCP in 8/24 patients. EUS
diagnosed it in all 8 patients but had also 3 false positive diagnoses. EUS had
a sensitivity of 100%, specificity of 81.3%, positive predictive value of 72.7%
and negative predictive value of 100% for the diagnosis of pancreas divisum. The
frequency of chronic pancreatitis was more frequent when EUS was incorrect in
the diagnosis of pancreas divisum (100% vs.
33.3%; P=0.05). They concluded that EUS reliably excludes pancreas divisum and
architectural distortion due to chronic pancreatitis may lead onto false
positive diagnosis.
These studies suggest that radial EUS may be a useful modality for the diagnosis
of pancreas divisum but further studies are required to determine which
specific EUS criteria are most reliable.
Linear
Endosonography
As gastroenterologists are more trained for
cross sectional imaging, they find radial anatomy easier to understand than the
linear anatomy. But, pancreas divisum can be diagnosed with high sensitivity and
specificity with linear EUS also. Lai
et al. [10] evaluated linear
endosonography for diagnosing pancreas divisum in 162 patients who underwent ERCP also. They reported that in normal
individuals, the pancreatic duct can be easily followed form the major papilla
to the mid body of the pancreas using a linear array echo endoscope. Also, a
discrete endosonographic border between the hypoechoic ventral anlage and a
brighter dorsal anlage can be seen in up to 75% of the patients, although this
may be less apparent on a linear EUS [10, 11,
12]. The authors used these two features to diagnose or exclude pancreas
divisum. Using a linear array echoendoscope in short scope position with
inflated balloon, the major papilla was first identified sonographically and
thereafter an attempt was made to follow the pancreatic duct from the major
papilla to the pancreatic body by gently withdrawing the scope with a clockwise
rotation. While doing this, the presence or absence of a distinct border
between the dorsal and ventral pancreas was also observed. The diagnosis of
pancreas divisum was excluded if the pancreatic duct could be followed continuously
from the major papilla into the pancreatic body or crossed the endosonographic
border between the ventral and dorsal pancreatic anlage. The lack of either of
these findings was considered suggestive of pancreas divisum. Twenty two of 162
patients had pancreas divisum on ERCP. The
pancreatic duct could not be adequately visualized by EUS in 35 patients because of poor duct visualization presumably
due to small diameter, large obstructing pancreatic masses or cysts, shadowing
calculi and duodenal obstruction and three of these patients had having
pancreas divisum. These 35 patients were excluded and in the remaining 127
patients EUS correctly identified pancreas divisum in
18 patients with one false negative and three false positives. The overall
sensitivity, specificity, positive predictive value, negative predictive value
and accuracy rates of EUS was 95%,
97%, 86%, 99% and 97%, respectively. MRCP
was also performed in 43 patients and 5 of them had pancreas divisum. MRCP correctly identified 3 of these 5 patients
with two false negative and four false positive diagnoses. The authors
concluded that linear EUS is a
promising test for the diagnosis of pancreas divisum. In our experience also,
the diagnosis of pancreas divisum can be excluded if the pancreatic duct can be
followed from the major papilla to the pancreatic body or crosses the
endosonographic border between the ventral and dorsal pancreas (Figures 2 and 3).

|
Figure 2. Linear EUS:
pancreatic duct (PD) and common bile duct (CBD) identified at the papilla
resembling the stack sign obtained in radial EUS. |

|
Figure 3. Linear EUS:
pancreatic duct seen crossing the endosonographic border between hypoechoic
ventral anlage and brighter dorsal anlage. |
Apart from diagnosing pancreas divisum, EUS has an added advantage of detecting small
pancreatic tumors that separate the dorsal and ventral ducts by obstructing
their junction causing pseudo divisum [10]. Using linear EUS, a fine needle aspiration of the
pancreatic tumors can also be performed. EUS can also detect small common bile duct stones,
microlithiasis, as well as early chronic pancreatitis, often missed by other
imaging modalities and thus help in evaluating patients with idiopathic
pancreatitis [13]. The potential limitations of EUS include inability to pass the echoendoscope because
of duodenal obstruction and inability to visualize the pancreatic duct because
of shadowing calcifications, its small diameter and obstructing upstream tumors
and cysts. Also, false positive results may be obtained by EUS in chronic pancreatitis, obstructing
pancreatic duct strictures in the head or ductal variations such as ansa
pancreatica [10].
Which
Patients with Pancreas Divisum Need Treatment: Can EUS Help?
The clinical conditions associated with
pancreas divisum include acute recurrent pancreatitis, chronic pancreatitis and
pancreatic type abdominal pain [1, 2, 3]. Most of the studies evaluating the
efficacy of endoscopic treatment in pancreas divisum have demonstrated best
results in patients with recurrent pancreatitis. The lowest response rates have
been obtained in patients with only abdominal pain [3, 14, 15, 16]. The
mechanism responsible for pancreatic symptoms in patients with pancreas divisum
is probably the stenosis at the minor papilla [1, 2, 3]. Despite relative obstruction, most patients with
pancreas divisum do not develop dilation of the dorsal duct, possibly because
of intermittent blockage of the pancreatic duct. Hence, it becomes difficult to
identify the patients who would benefit from the endoscopic therapy. Various
strategies to identify the best responders to therapy have been tested. These
include treating patients with demonstrable acute recurrent pancreatitis only, or
treating patients with minor papilla stenosis identified by investigations like
secretin MRCP, minor papilla manometry or resistance to
passage of a 3 Fr, 4 Fr or 5 Fr catheters across the minor papilla during ERCP [17].
EUS, by diagnosing chronic pancreatitis and
determining the extent of ductal and parenchymal damage, may be of help in
determining prognosis and planning appropriate therapy. EUS has also been evaluated for the detection
of minor papilla stenosis in order to select the appropriate therapy. Catalano et al. [18] studied 61 symptomatic
patients with pancreas divisum by secretin stimulated endoscopic ultrasound (S-EUS) prior to an ERCP. On S-EUS, an
abnormal response was defined as sustained (more than 10 minutes) 1 mm, or
more, dilation of the dorsal duct following intravenous secretin (1 U/kg). Of
these 61 patients, 37 patients were subsequently treated by stenting or
sphincterotomy based on clinical presentation, drainage, and/or ductal dilation
at the time of ERCP. Twenty one of 37 patients responded to
pancreatic therapy and S-EUS
predicted response to therapy in 20 (95%). S-EUS also predicted the absence of response to therapy in
13 of 16 patients (81%) who did not respond to endoscopic therapy. In the
subgroup analysis, S-EUS
predicted response to therapy in 100%, 100% and 80% of patients with acute
recurrent pancreatitis, chronic pancreatitis and symptomatic abdominal pain,
respectively. The authors concluded that secretin EUS is a sensitive and specific test for the diagnosis of
minor papilla stenosis and can help in planning appropriate therapy. These
results are encouraging but further studies are needed to evaluate this method.
EUS-Guided Pancreatic Endotherapy for Pancreas
Divisum
Since its inception, EUS has undergone a tremendous technological
advancement and now it is not only a diagnostic technique but has also been
shown to have immense therapeutic potentials. A large number of interventional
procedures both in the routine clinical setting, as well as experimental
setting, are being performed worldwide [19]. EUS guided transmural drainage of pancreatic fluid
collections has been shown to be safe and effective and the same would be true
of the pancreatic fluid collections occurring in the setting of pancreas
divisum [20].
Recently, EUS guided interventions are also being used as a rescue
or a guide to failed ERCP and
transpapillary drainage especially in difficult situations like altered
surgical anatomy, very tight pancreatic ductal strictures, complete pancreatic
duct disruptions, and pancreas divisum with stenotic minor papilla [21, 22, 23,
24, 25, 26]. The fascinating field of pancreatic interventions by puncturing
the pancreatic duct under EUS guidance
started with initial reports of EUS guided
pancreatography [27, 28]. Subsequently, an exciting innovation of EUS in treatment of pancreas divisum was described
as case report [29]. In a patient with failed ERCP, because of inability to localize the minor papilla
even after intravenous secretin as well as spraying of methylene blue over the
duodenum, EUS guided methylene blue injection into the
pancreatic duct led onto identification and subsequent cannulation of the minor
papilla. Moving a step
forward, there have been recent reports of EUS guided direct pancreatic duct interventions aimed at decompressing
the obstructed pancreatic ductal system. There are currently two types of
direct pancreatic duct interventions described [30].
1. EUS-Guided Transpapillary
Rendezvous Drainage of the Pancreatic Duct
In
this technique, the pancreatic duct is punctured under EUS guidance and a
guidewire is advanced antegrade through the papilla for subsequent rendezvous
with ERCP. A few case reports and one case series have evaluated this
technique. Mallery et al. [26]
evaluated this technique in 4 patients and had a low success rate of 25%. One
of these 4 patients had pancreas divisum and in this patient the procedure
failed because of inability to puncture the dorsal duct wall even after
repeated attempts.
2.
EUS-Guided
Transluminal Drainage of the Pancreatic Duct Via the Stomach or Duodenum
In this technique, the pancreatic duct is
punctured under EUS guidance and the guide wire is advanced into the pancreatic
tail region via the needle.
The transmural tract is subsequently dilated followed by stent placement over
the guidewire creating a pancreaticogastrostomy or pancreaticoduodenostomy.
Three case series have evaluated this technique: two alone and one in
combination with the rendezvous technique with technical success rates ranging
from 69 to 91.6% [22, 23, 24]. Tessier et
al. [22] attempted EUS guided
transluminal drainage in 36 patients (2 with pancreas divisum) and reported a
technical success of 91.6% and relief of pain in 69.4% of patients. Major
complications were seen in 3 patients. Kahaleh et al. [23] evaluated EUS
guided pancreaticogastrostomy in 13 patients. An endoprosthesis was successfully
placed in 10 patients and 2 patients had major complications. None of the
patients in this series had pancreas divisum. Out of 12 patients treated by the
combination method in the series by Will et
al. [24], one patient had pancreas divisum and in this patient the procedure
failed because of bleeding.
These techniques seem to be attractive and
have potential in draining dorsal duct in patients with symptomatic pancreas
divisum and failed ERCP. However, the techniques are technically
challenging with potential severe complications and hence further innovations
are desired to improve the success rates as well as minimize the complications.
Until further, these methods should be used only in high volume centers in
selected patients.
EUS versus
MRCP
Magnetic resonance cholangiopancreatography
(MRCP), non-invasively, evaluates the
pancreaticobiliary ductal system and has been shown to have good sensitivity
and specificity for the diagnosis of pancreas divisum [4]. Secretin enhancement
has been shown to improve the sensitivity and specificity of MRCP in diagnosing pancreas divisum [5]. Although
EUS has not been directly compared with MRCP for the diagnosis of pancreas divisum,
studies have evaluated the diagnostic yield of these two modalities in patients
with idiopathic acute pancreatitis [31, 32, 33]. Ortega et al. prospectively compared EUS and MRCP for etiological
diagnosis of idiopathic acute pancreatitis in 49 patients. Four patients had
pancreas divisum and MRCP could
identify it in all the four patients whereas EUS could diagnose pancreas divisum in only one patient
[31]. Mariani et al. compared secretin
EUS with secretin MRCP and found that secretin EUS had higher diagnostic yield than secretin MRCP [32]. EUS has also been shown to have good diagnostic rates for
diagnosis of pancreas divisum in patients with idiopathic acute pancreatitis,
even in patients with non diagnostic MRCP
[33]. However, EUS is an operator dependent investigative
modality and it may not be possible to identify the dorsal and ventral ducts in
all the patients.
Conclusion
EUS seems to be an attractive and promising
investigational modality for the diagnosis of pancreas divisum as well as for
planning of proper therapy. However, studies are needed to define objective EUS criteria that can optimize the sensitivity
and specificity for diagnosis of pancreas divisum and test them in prospective
studies. It is also important to compare the diagnostic performance of EUS with other imaging techniques like MRCP. The role of secretin EUS in improving the diagnostic capability, as
well as predicting the response to therapy in patients with pancreas divisum,
needs to be studied in futures studies. EUS guided pancreatic interventions are attractive but
are in their infancy and improved equipments and accessories probably may
improve the results and decrease risk of complications.
Received February 1st,
2012 - Accepted March 8th, 2012
Key words Cholangiopancreatography,
Endoscopic Retrograde; Cholangiopancreatography, Magnetic Resonance;
Endosonography; Pancreas; Pancreatitis, Chronic
Abbreviations S-EUS: stimulated
endoscopic ultrasound
Conflict of interest The
authors have no potential conflict of interest
Correspondence
Peter
Vilmann
Endoscopic Unit
Department of Surgical Gastroenterology
Gentofte Hospital, University of Copenhagen
DK-2900 Hellerup
Denmark
Phone: +45-39.777.945
Fax: 45-39.777.679
E-mail: pevi@geh.regionh.dk
References
1.
Lehman GA, Sherman S. Diagnosis and therapy of pancreas
divisum. Gastrointest Endosc Clin N Am 1998; 8 :55-77. [PMID: 9405751]
2.
Klein SD, Affronti JP. Pancreas divisum, an evidence-based
review: part I, pathophysiology. Gastrointest Endosc 2004;60:419-25. [PMID:
15332034]
3.
Saltzman JR. Endoscopic treatment of pancreas divisum:
why, when and how? Gastrointest Endosc 2006; 64: 712-5. [PMID: 17055862]
4.
Bret PM, Reinhold C, Taourel P, et al. Pancreas divisum: evaluation with MR
cholangiopancreatography. Radiology 1996; 199; 99-103. [PMID: 8633179]
5.
Matos C, Metens T, Deviere J, Delhaye M, Le Moine O, Cremer
M. Pancreas divisum: evaluation with secretin enhanced magnetic resonance
cholangiopancreatography. Gastrointest Endosc 2001;53:728-33. [PMID: 11375579]
6.
Bhutani MS, Hoffman BJ, Hawes RH.
Diagnosis of pancreas divisum by endoscopic ultrasonography. Endoscopy 1999; 31: 167-169 [PMID: 10223367]
7.
Tandon M, Topazian M. Endoscopic ultrasound
in idiopathic acute pancreatitis. Am J
Gastroenterol 2001; 96:
705-709 [PMID: 11280538]
8.
Vaughan RB, Mainie I, Hoffman B, Hawes R, Romagnuolo J.
Accuracy of endoscopic ultrasound in the diagnosis of pancreas divisum in a
busy clinical setting. Gastrointest Endosc 2006; 63: AB263.
9.
Tessier G, Sahai A. A Prospective Validation of Multiple EUS
Criteria to Diagnose or to Exclude Pancreas Divisum: EUS Can Accurately Exclude
Pancreas Divisum, but ERCP Is Still Required for a Definitive Diagnosis.
Gastrointest Endosc 2005; 61: AB302.
10. Lai R,
Freeman ML, Cass OW, Mallery S. Accurate diagnosis of pancreas divisum by
linear-array endoscopic ultrasonography. Endoscopy
2004; 36: 705-709. [PMID:
15280976]
11. Savides TJ, Gress FG,
Zaidi SA, Ikenberry SO, Hawes RH. Detection of embryologic ventral pancreatic parenchyma
with endoscopic ultrasound. Gastrointest Endosc 1996; 43: 14-19. [PMID:
8903811]
12. Erickson RA. Linear
array EUS: Normal anatomy. In: Gress FG, Savides TJ (eds). Endoscopic
Ultrasonography 2nd edition. West Sussex: Wiley-Blackwell, 2009.
13. Rizk MK, Gerke H. Utility of endoscopic
ultrasound in pancreatitis: A review. World J Gastroenterol 2007; 13: 6321-6.
[PMID: 18081219]
14. Boerma D, Huibregtse K,
Gulik TM, et al. Long term outcome of
endoscopic stent placement for chronic pancreatitis associated with pancreas
divisum. Endoscopy 2000;32:452-6. [PMID: 10863910]
15. Heyries L, Barthet M,
Delvasto C, et al. Long-term results
of endoscopic management of pancreas divisum with recurrent acute pancreatitis.
Gastrointest Endosc 2002;55:376-81.[PMID: 11868012]
16. Lehman GA, Sherman S,
Nisi R, et al. Pancreas divisum:
results of minor papilla sphincterotomy. Gastrointest Endosc 1993;39:1-8.
[PMID: 8454127]
17. Fogel EL, Toth TG,
Lehman GA, DiMagno MJ, DiMagno EP. Does endoscopic therapy favorably affect the
outcome of patients who have recurrent acute pancreatitis and pancreas divisum?
Pancreas 2007; 34: 21-45. [PMID: 17198181]
18. Catalano MF, Rosenblatt
ML, Geenen JE, Hogan WJ. Pancreatic endotherapy of pancreas divisum (PDIV):
Response based on clinical presentation and results of Secretin stimulated
endoscopic ultrasound (S:EUS). Gastrointest Endosc 2001; 53: AB133.
19. Ramesh J, Varadarajulu
S. Interventional endoscopic ultrasound. Dig Dis 2008; 26: 347-355. [PMID:
19188727]
20. Seewald S, Ang TL, Kida
M, Teng KUK, Soehendra N. EUS 2008 working group document: evaluation of EUS-guided
drainage of pancreatic fluid collections (with video). Gastrointest Endosc
2009; 69: S13-21.
21. Hsu JT, Yeh CN, Hwang
TL, et al. Outcome of
pancreaticoduodenectomy for chronic pancreatitis. J Formos Med Assoc
2005;104:811-5. [PMID: 16496060]
22. Tessier G,
Bories E, Arvanitakis M, et al. EUS-guided
pancreatogastrostomy and pancreatobulbostomy for the treatment of pain in
patients with pancreatic ductal dilatation inaccessible for transpapillary
endoscopic therapy. Gastrointest Endosc 2007;65:233-41. [PMID: 17258981]
23. Kahaleh M, Hernandez AJ,
Tokar J, Adams RB, Shami VM, Yeaton P. EUS-guided pancreaticogastrostomy:
analysis of its efficacy to drain inaccessible pancreatic ducts. Gastrointest
Endosc 2007;65:224-30. [PMID: 17141775]
24.
Will U, Fueldner F, Thieme A-K, et al. Transgastric pancreatography and EUS-guided drainage of the
pancreatic duct. J Hepatobiliary Pancreat Surg 2007;14:377-82. [PMID: 17653636]
25. Will U,
Meyer F, Manger T, Wanzar I. Endoscopic ultrasound assisted rendezvous maneuver
to achieve pancreatic duct drainage in obstructive chronic pancreatitis.
Endoscopy 2005;37:171–3. [PMID: 15692934]
26. Mallery S, Matlock J,
Freeman ML. EUS-guided rendezvous drainage of obstructed biliary and pancreatic
ducts: report of 6 cases. Gastrointest Endosc 2004;59:100-7. [PMID: 14722561]
27. Harada N, Kouzu T, Arima
M, Asano T, Kikuchi T, Isono K. Endoscopic ultrasound-guided pancreatography: a
case report. Endoscopy 1995;27:612-5. [PMID: 8608758]
28. Gress F, Ikenberry S,
Sherman S, Lehman G. Endoscopic ultrasound-directed pancreatography.
Gastrointest Endosc 1996;44:736-9. [PMID: 8979070]
29. DeWitt J, McHenry L,
Fogel E, LeBlanc J, McGreevy K, Sherman S. EUS-guided methylene blue
pancreatography for minor papilla localization after unsuccessful ERCP.
Gastrointest Endosc 2004; 59: 133-6. [PMID: 14722569]
30. Gines A, Varadarajulu S,
Napoleon B. EUS 2008 working group document: evaluation of EUS-guided
pancreatic duct drainage (with video). Gastrointest Endosc 2009; 69: S43-48.
[PMID: 19179169]
31. Ortega AR,
Gómez-Rodríguez R, Romero M, Fernández-Zapardiel S, Céspedes Mdel M, Carrobles
JM. Prospective comparison of endoscopic ultrasonography and magnetic resonance
cholangiopancreatography in the etiological diagnosis of "idiopathic"
acute pancreatitis. Pancreas. 2011 ;40:289-94. PMID: 21206330.
32. Mariani A, Arcidiacono
PG, Curioni S, Giussani A, Testoni PA. Diagnostic yield of ERCP and
secretin-enhanced MRCP and EUS in patients with acute recurrent pancreatitis of
unknown aetiology. Dig Liver Dis. 2009 ;41:753-8. PMID: 19278909.
33. Rana SS, Bhasin DK, Rao
C, Singh K. Role of Endoscopic ultrasound in Idiopathic Acute Pancreatitis with
Negative Ultrasound, Computed Tomography & Magnetic Resonance
Cholangiopancreatography. Ann Gastroenterol 2012; 25:1-5.