CASE REPORT
Traumatic Focal Pancreatitis with Retro-Duodenal Hematoma: A Rare Cause of Combined Biliary and Gastric Outlet Obstruction
Irene Scalera, Senthil Kumar, Simon Bramhall
Department of Hepato-biliary-pancreatic Surgery and Liver Transplantation, Queen Elizabeth Hospital, University Hospital Birmingham NHS Trust. Birmingham, United Kingdom
Context Focal post-traumatic acute pancreatitis causing combined duodenal and biliary obstruction is extremely rare. Case report A 16-year-old boy presented with acute upper abdominal pain which was clinically and biochemically consistent with mild acute pancreatitis. There was no etiological factor identified initially, although a history of blunt abdominal trauma was later discovered. He soon developed features of gastric outlet obstruction and obstructive jaundice over 48 hours. A CT scan showed a retroduodenal mass causing compression of both the duodenum and bile duct. At exploration, this was found to be a walled off hematoma. There was evidence of focal pancreatitis in the head of pancreas. Evacuation of the hematoma cured the gastric outlet and biliary obstruction. Conclusion The triad of pancreatitis, gastric outlet and biliary obstruction along with a mass lesion on cross sectional imaging in young adults should raise the suspicion of a hematoma as a probable cause.
INTRODUCTION
Individually, acute pancreatitis, gastric outlet obstruction or biliary obstruction is a rare occurrence following blunt abdominal trauma; a combination occurring in the same patient is extremely unusual. We report the clinical course of a 16-year-old patient who presented with gastric outlet obstruction and jaundice due to a large retroduodenal hematoma and focal pancreatitis following an apparently trivial blunt abdominal trauma.
CASE REPORT
An otherwise healthy 16-year-old boy was admitted with an acute abdominal pain and vomiting of 2-day duration. The abdominal pain was a continuous dull ache, mainly in the epigastrium. Over the course of the next 48 hours he developed persistent large volume non-bloody vomiting. There was no history of excessive alcohol ingestion or history suggestive of chronic peptic ulcer. He was not on any regular medications. A history of blunt trauma to the abdomen was not forthcoming initially, but later in the post-operative period, the patient recalled a fall from his bicycle 2 days before admission, which he had considered too trivial to mention.
He was hemodynamically stable. The abdomen was minimally distended and soft with minimal epigastric tenderness and no palpable mass. An erect chest X-ray showed no pneumoperitoneum. Serum biochemistry and hematology was consistent with mild acute pancreatitis (amylase: 2,944 IU/L, reference range 40-100 IU/L; leukocytosis: 17,000 mm-3, reference range 4,000-11,000 mm-3; C-reactive protein: 30 mg/dL, reference range 1-2 mg/dL; a modified Glasgow stratification score of 1). His Liver function tests were deranged (bilirubin: 106 mmol/L, reference range 2-17 mmol/L; ALT: 30 U/L, reference range 20-40 U/L; alkaline phosphatase: 207 U/L, reference range 70-125 U/L).
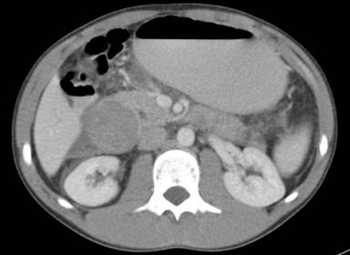
An ultrasound scan of the abdomen showed sludge in the gallbladder, but no stones. The common bile duct was dilated at 17 mm, with minimal intrahepatic duct dilatation. The pancreas was normal. There was in addition a complex retroperitoneal mass measuring 9.4x4.7x4.7 cm. A contrast enhanced CT scan of the abdomen was performed to further characterise the mass. This confirmed a large heterogeneous peri-duodenal mass in the retroperitoneum, obstructing the second part of duodenum and the bile duct (Figure 1). The pancreas was normal. The pre-operative diagnosis was one of possible gastrointestinal stromal tumour (GIST) of the duodenum with gastric and biliary obstruction. A laparotomy with a view to a pancreaticoduodenectomy was planned.

|
Figure 1. CT scan of the abdomen showing a rounded heterogeneous mass compressing the second part of duodenum. The bile duct is dilated and the stomach is distended. |
On exploration, a large retro-duodenal mass was evident compressing the second part of duodenum. There was evidence of focal pancreatitis in the region of the head of pancreas. However, there was no evidence of pancreatic ductal disruption. On kocherisation of the duodenum, the mass was found to be a walled off hematoma. There was no active source of bleeding. The hematoma was evacuated with ease and the duodenum itself was palpably normal. A cholecystectomy was performed and an intra-operative cholangiogram was normal with free flow of contrast into the duodenum. The patient made an uneventful recovery and was tolerating a normal diet at discharge on the fifth post-operative day. He was well at a subsequent outpatient follow up visit at two months.
DISCUSSION
In the setting of trauma, gastric outlet obstruction is rare, but is known to occur with duodenal hematoma, traumatic diaphragmatic rupture with hiatus hernia, traumatic pseudo-aneurysm of the superior mesenteric artery and as a delayed complication of the pancreatic trauma such as an evolving pseudocyst [1, 2, 3]. Traumatic duodenal hematoma is often intramural and occurs in about 2-3% of paediatric patients with blunt abdominal trauma. They have also been reported in adults. In children, trauma accounts for 70% of the cases of intra duodenal hematoma. Child abuse as a possible cause of blunt trauma should be considered in vulnerable children in the appropriate clinical context. About a fifth of IDH are associated with acute pancreatitis [4]. Rarely they may progress to cause biliary obstruction [5, 6]. However, in our patient the hematoma was retro-duodenal and not intra-duodenal.
Duodenal hematomas usually have a delayed presentation. This is because the associated injuries often take clinical precedence and also because it takes about 24-48 hours for the hematomas to evolve to a size at which they result in mechanical effects from compression of surrounding tissues. They resolve with conservative treatment, taking about 2-3 weeks. When conservative treatment fails then options range from percutaneous image guided drainage, laparoscopic drainage and laparotomy and drainage [1, 7, 8].
In the absence of a clear history of trauma, a possible underlying coagulopathy should be investigated. Thrombocytopenia, thrombasthenia and haemophilia may present with spontaneous intra-abdominal hematomas. Our patient had a normal platelet count and prothrombin time.
In the non-trauma category, pancreatic tumours (adenocarcinomas, intraductal papillary mucinous neoplasms, sarcomas and metastasis) may present with a combination of acute pancreatitis, gastric outlet obstruction and biliary obstruction and a mass on imaging. Gastrointestinal stromal tumours involving the stomach or duodenum may rarely present with acute pancreatitis and gastric outlet obstruction [9, 10]. Wandering spleen has also been reported to cause gastric outlet obstruction and acute pancreatitis [11].
The interesting aspects of the clinical presentation and course of our patient was that, the hematoma was retroduodenal rather than the usual intramural type seen in children and young adults; the history of trauma was not forthcoming initially and the presentation was one of acute pancreatitis. This soon evolved into both gastric outlet and biliary obstruction. The triad of pancreatitis, gastric outlet and biliary obstruction along with a mass lesion on cross sectional imaging in young adults should raise the suspicion of a hematoma as a probable cause.
Received July 24th, 2012 – Accepted August 19th, 2012
Key words Cholestasis, Extrahepatic; Gastric Outlet Obstruction; Pancreatitis
Conflicts of interests None
Financial support None
Correspondence
Senthil
Kumar
285, Hemisphere
18, Edgbaston Crescent
Birmingham B5 7RJ
United Kingdom
Phone: +44-773.749.5294
Fax: +44-121.414.1833
E mail: sanskrity@hotmail.com
References
1. E. Degiannis, K. Boffard Duodenal injuries British Journal of Surgery 2000, 87, 1473-1479
2. Rappaport WD, Hunter GC, McIntye KE, Ballard JL, Malone JM, Putnam CW. Gastric outlet obstruction caused by traumatic pseudoaneurysm of superior mesenteric artery. Surgery. 1990 Nov;108(5):930-2.
3. Listopadzki D, Nowakowski M, Freeman S.Traumatic diaphragmatic rupture presenting as delayed gastric outlet obstruction: case report. Gastrointest Endosc. 2003 Jul;58(1):139-41.
4. Winthrop DE, Wesson DE, Filler RM. Traumatic duodenal hema- toma in the pediatric patient. J Pediatr Surg 1986;21:757–60.
5. Maemura T, Yamaguchi Y, Yukioka T, et al: Laparoscopic drainage of an intramural duodenal haematoma. J Gastroenterol 1999, 34:119-122.
6. Takishima T, Hirata M, Kataoka Y, et al: Delayed development of obstructive jaundice and pancreatitis resulting from traumatic intramural haematoma of the duodenum: report of a case requiring deferred laparotomy. J Trauma 2000, 49:160-162
7. Gregory J Nolan, Cino Bendinelli, Jon Gani Laparoscopic drainage of an intramural duodenal haematoma: a novel technique and review of the literature World Journal of Emergency Surgery 2011, 6:42.
8. Hanish SI, Pappas TN: CT guided drainage of a duodenal haematoma after trauma. J Trauma 2007, 63:E10-E12.
9. Senadhi V., Arora D., Jani N. Gastrointestinal stromal tumor (GIST) presenting with acute pancreatitis. Endoscopy. 2011; 43:E76.
10. Jones O, Monk D, Balling T, Wright A Acute pancreatitis secondary to a prolapsed gastric fundal GIST. Int J Surg Case Rep. 2012;3(2):82-5. Epub 2011 Nov 15.
11. Magno S, Nanni L, Retrosi G, Cina A, Gamba PG. An unusual case of acute pancreatitis and gastric outlet obstruction associated with wandering spleen treated by laparoscopic splenopexy. J Laparoendosc Adv Surg Tech A. 2011 Jun;21(5):467-70. Epub 2011 Mar 5.