CASE REPORT
Celiac Disease Presenting as Recurrent Pancreatitis and Pseudocyst
Jahangeer Basha1, Sreekanth Appasani1, Kim Vaiphei2, Kartar Singh1, Rakesh Kochhar1
Departments of 1Gastroenterology and 2Histopathology, PGIMER. Chandigarh, India
ABSTRACT
Context The association between celiac disease and pancreatitis is sparsely reported. Celiac disease may remain asymptomatic or may have atypical features, and its diagnosis in pancreatitis may not be obvious. It is more than mere chance association that explains the occurrence of pancreatitis in celiac disease. Malnutrition, papillary stenosis and immunopathogenetic mechanisms contribute to the development of pancreatitis in a patient of celiac disease. Case report We here report one such case that had recurrent acute pancreatitis with pseudocyst formation and negative routine etiological work up. It was on noticing abnormal duodenal mucosa at the time of doing endoscopic cystogastrostomy that the diagnosis of celiac disease was suspected and later proved. Conclusion This report highlights that celiac disease should be considered in the etiological work up of patients with unexplained pancreatitis.
INTRODUCTION
Celiac disease has varied clinical manifestations [1]. The association between celiac disease and pancreatitis has been the focus of attention in several publications recently. A majority of patients with this association have chronic pancreatitis. Since celiac disease may remain asymptomatic in some patients or may have atypical features in others, the diagnosis may not be obvious. The diagnosis may be suspected for the first time during endoscopic evaluation of descending duodenum for some other indication. We here report one such case who had recurrent acute pancreatitis with pseudocyst formation and he had drawn a blank on etiological work up. It was on noticing abnormal duodenal mucosa at the time of doing endoscopic cystogastrostomy that the diagnosis of celiac disease was suspected and later proved.
CASE REPORT
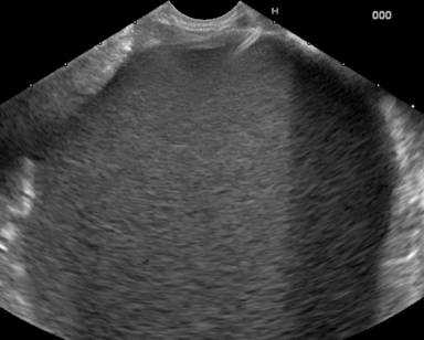
A 19-year-old male presented to us with 3-month history of recurrent upper abdominal pain which aggravated with food intake. He denied any history of vomiting, jaundice and steatorrhea or alcohol intake. There was no history of trauma or any offending drug intake. He had no history of diarrhea, weight loss, or failure to thrive either in childhood or adulthood. There was no family history of pancreatitis or celiac disease. Examination revealed a 6x6 cm soft, epigastric lump. His body mass index was 18.0 kg/m2 (height 1.7 m, weight 52 kg). Investigations revealed a hemoglobin of 11.0 g/dL (reference range: 12.0-18.0 g/dL), total leukocyte count of 4,800 mm-3 (reference range: 4,000-11,000 mm-3) and normal liver and renal function tests. Serum amylase and lipase levels were elevated 3 times above the upper limit of reference. His serum lipid profile, calcium, phosphate and iPTH levels were normal. Ultrasound abdomen and CECT abdomen showed evidence of a cystic lesion (10x8 cm) in relation to body and tail of the pancreas with normal pancreas and no gallstones. Endosonography (EUS) showed evidence of mixed echogenic contents in the cystic lesion (Figure 1), but there were no features of chronic pancreatitis in the form of lobulation, honey combing, calcifications, dilated pancreatic duct or calculi. Tissue diagnosis with fine needle aspiration was not done in view of increased vascularity around the cyst. Since cystic neoplasm could not be excluded, he underwent surgery. At laparotomy the cyst was noted to contain purulent material and hence external drainage was done. Post operatively, his pain abdomen improved and he was discharged.

|
Figure 1. Radial echoendoscopic image showing the body and tail of the pancreas with normal echotexture and a few hyperechoic foci and strands without calcification or calculi. There is a cystic lesion (10x8 cm) near the pancreatic tail with well-defined walls and mixed echogenic contents. |
Two months later he had intermittent abdominal pain relieved with analgesics and 4 months later, he presented with severe pain and fever of 15-day duration. On evaluation he was febrile, with tender upper abdomen and elevated leukocyte count (15,900 mm-3). CECT abdomen and EUS revealed a 9x8 cm well defined collection anterior to body and tail of pancreas as well as extending into the lesser sac (Figure 2). Rest of the visualized pancreas had no calcifications, ductal dilatation or any other features of chronic pancreatitis. In view of persistent pain, fever and elevated leukocyte count, a possibility of infected pseudocyst associated with acute pancreatitis was considered and endoscopic cystogastrostomy was done. During the procedure nodularity, grooving and scalloping of duodenal folds was observed (Figure 3) which on histology showed subtotal villous atrophy (Figure 4). IgA anti-tissue transglutaminase levels (Anti tTG, Celekey Germany, ELISA; reference range: 0-15 U/mL) were ordered and were found to be elevated (>300 U/mL). A diagnosis of celiac disease was made and he was started on gluten free diet. Four weeks later he underwent endoscopic retrograde pancreatography which showed evidence of disruption in the tail region. Pancreatic sphincterotomy was done and a 5 Fr x 12 cm pancreatic stent placement. Two months later the stent was removed and a subsequent ultrasound abdomen showed no recurrence of pseudocyst. He has remained well for the last 6 months with no recurrence of abdominal pain.

|
Figure 2. Linear echoendoscopic image showing a 9x8 cm pseudocyst with echogenic contents with well-defined walls. |

|
Figure 3. Endoscopic image from second part of the duodenum showing grooving and nodularity in the duodenum. Pancreatic duct cannulation with sphincterotome and pigtail of the stent placed for cystogastrostomy are also visualized in the picture. |

|
Figure 4. Medium power photomicrograph of duodenal biopsy showing subtotal villous atrophy along with moderately heavy inflammation of the lamina propria and increased intra-epithelial lymphocyte. (H&E, x450). |
DISCUSSION
Our patient had recurrent acute pancreatitis with pseudocyst formation on two occasions and the possible etiology was celiac disease. The etiology of pancreatitis in our patient was not forthcoming on routine investigations, with no evidence of gallstones or microlithiasis, alcohol intake, drug ingestion, trauma, hypertriglyceridemia, hyperparathyroidism and pancreas divisum. His EUS and ERCP suggested no evidence of chronic pancreatitis. There were no features to suggest tropical or autoimmune pancreatitis either. It was only on endoscopic visualization of abnormal; duodenal mucosa that the diagnosis of celiac disease was suggested. The association of recurrent pancreatitis with celiac disease as described in the index patient could be causally explained rather than being a chance occurrence. An epidemiological study by Ludvigsson et al. suggested that patients with celiac disease have a higher risk than the general population for development of pancreatitis [2]. These data were derived from the Swedish registry of 14,239 patients with celiac disease in whom the hazard ratio for acute pancreatitis was 3.3 and for chronic pancreatitis it was 19.8 [2]. Both acute and chronic pancreatitis have been described in association with celiac disease.
Several pathogenetic mechanisms have been suggested to contribute to the development of pancreatitis in patients with celiac disease. Malnutrition was the earliest proposed mechanism [2]. Malnutrition leads to decreased secretion of pancreatic enzymes and pancreatic stone protein, thereby predisposing to pancreatic stone formation and chronic pancreatitis [3]. Malnutrition also influences the composition of the bile, inducing microlithiasis thus predisposing to acute pancreatitis. Our patient had normal body mass index and had remained well till the present illness.
Papillary stenosis resulting from localized duodenal inflammation could be another cause of recurrent pancreatitis in celiac disease, as proposed by Patel et al. [4]; 169 patients with suspected papillary stenosis and recurrent pancreatitis were studied and 12 (7%) were histologically proven to have celiac disease. All these 12 patients were started on gluten free diet and 10 patients underwent sphincterotomy. After a mean of 22 months of follow-up, there were no recurrences of pancreatitis and pain episodes. The theory that papillary stenosis may cause pancreatitis in patients with celiac disease is also corroborated in a recent report by Sood et al. [5].
Immunopathogenetic mechanisms could also contribute to pancreatitis in celiac disease. T helper cell class 1 (TH1) cytokine up-regulation in celiac disease along with polymorphisms in tumor necrosis factor-α, a TH1 proinflammatory cytokine, plays an important role in the pathogenesis of severe pancreatitis [6, 7]. A recent report has described an association between celiac disease and autoimmune pancreatitis emphasizing the role of immunological mechanisms [8]. Another hypothesis by some authors is that the elevated pancreatic enzyme levels in celiac disease patients could be due to sub clinical pancreatic inflammation and direct exopancreatic damage [9].
This report highlights that celiac disease should be considered in the etiological work up of patients with unexplained pancreatitis and endoscopic markers of celiac disease may provide a clue to its diagnosis. It was only on noticing typical features of celiac disease in the descending duodenum that a suspicion of celiac disease was made. Endoscopic features may provide the first clue to the diagnosis of celiac disease as it has been reported earlier [10]. A few studies have reported on routine endoscopy suggesting the diagnosis of celiac disease in individuals not suspected to have celiac disease [11, 12]. Dickey et al. found that 10 of the 500 patients undergoing open access endoscopy had one or more markers of celiac disease and 8 of them had villous atrophy [11]. Bardella et al. studied 517 dyspeptic subjects for endoscopic markers of celiac disease. Five patients had at least one endoscopic feature of celiac disease and 3 of them were confirmed to have celiac disease [12].
Received July 13th, 2012 - Accepted July 30th, 2012
Key words Celiac Disease; Pancreatic Pseudocyst; Pancreatitis
Abbreviations TH1: T helper cell class 1
Conflict of interest The authors have no potential conflicts of interest
Correspondence
Sreekanth
Appasani
Department of Gastroenterology, PGIMER
Sector 12
160012 Chandigarh
India
Phone: +91-978.112.2733
Fax: +91-0172.274.4401
E-mail: drasreekanth@gmail.com
1. Lo W, Sano K, Lebwohl B, Diamond B, Green PH. Changing presentation of adult celiac disease. Dig Dis Sci. 2003 Feb;48(2):395-8.
2. Ludvigssons JF, Montgomery SM, Ekbom A et al. Risk of pancreatitis in 14,000 individuals with celiac disease. Clin Gastroenterol Hepatol 2007; 5:47-1353.
3. Ansaldi N, Oderda G. Exocrine pancreatic insufficiency in celiacsprue. Gastroenterology 1981; 80: 883.
4. Patel R, Johlin F, Murray J. Celiac disease and recurrent pancreatitis. Gastrointest Endosc 1999; 50: 823-827.
5. Sood A, Midha V, Sood N, et al. Coexistence of chronic calcific pancreatitis and celiac disease. Ind J Gastroenterol 2007; 26:41-2.
6. McManus R,Wilson AG, Mansfield J, et al. TNF2, a polymorphism of the tumour necrosis-alpha gene promoter, is a component of the celiac disease major histocompatibility complex haplotype. Eur J Immunol 1996; 26:2113-8.
7. Balog A, Gyulai Z, Boros LG, et al. Polymorphism of the TNFalpha, HSP70-2, and CD14 genes increases susceptibility to severe acute pancreatitis. Pancreas 2005; 30:e46-50.
8. Masoodi I, Wani H, Alsayari K, Sulaiman T, et al. Celiac disease and autoimmune pancreatitis: an uncommon association. A case report. Eur J GastroenterolHepatol. 2011;23:1270-2.
9. Carroccio A, Di Prima L, Scalici C, Soresi M et al. Unexplained elevated serum pancreatic enzymes: a reason to suspect celiac disease. Clin Gastroenterol Hepatol. 2006 Apr;4(4):455-9.
10. Kochhar R, Dutta U, Miglani A, Bhagat S, Poornachandra KS, Vaiphei K, et al. Celiac disease suspected at endoscopy in patients with chronic liver disease. Indian J Gastroenterol. 2011 Jul;30(4):166-9.
11. Dickey W. Diagnosis of coeliac disease at open-access endoscopy .Scand J Gastroenterol. 1998 Jun;33(6):612-5.
12. Bardella MT, Minoli G, Radaelli F, Quatrini M, et al. Reevaluation of duodenal endoscopic markers in the diagnosis of celiac disease. Gastrointest Endosc 2000 Jun;51(6):714-6.