CASE REPORT
Pancreatic and Peripancreatic Nodal Tuberculosis in Immunocompetent Patients: Report of Three Cases
Sukanta Ray1, Kshaunish Das2, Asit Ranjan Mridha3
Divisions of 1Surgical Gastroenterology, 2Gastroenterology and 3GI Pathology, School of Digestive and Liver Diseases, Institute of Postgraduate Medical Education and Research. Kolkata, West Bengal, India
ABSTRACT
Context Pancreatic and peripancreatic tuberculosis in immunocompetent patients is extremely rare. It often mimics pancreatic malignancy. Majority of the cases are diagnosed after an image guided biopsy or after an operation. Case report We report three cases of pancreatic tuberculosis in immunocompetent patients. All three cases were diagnosed without laparotomy. Diagnosis was made by contrast enhanced computed tomography or endoscopic ultrasound guided fine needle aspiration of the peripancreatic mass and all three cases were treated successfully with antituberculous drugs. Conclusion Pancreatic and peripancreatic tuberculosis should be considered in the differential diagnosis of a peripancreatic mass when the patient is young, residing in the endemic zone of tuberculosis or had past history of tuberculosis. Extensive necrosis of peripancreatic lymph nodes with rim enhancement further supports the diagnosis of tuberculosis. Every attempt should be made to diagnose the cases before start of therapy to prevent unnecessary operation.
INTRODUCTION
Tuberculosis is a major health problem in developing countries. Its incidence is increasing in developed countries also because of the emergence of human immunodeficiency virus HIV infection. Tuberculosis is an extremely common opportunistic infection in HIV positive patients and is considered to be an acquired immunodeficiency syndrome (AIDS)-defining illness [1]. It is most often seen in the lungs. Extrapulmonary tuberculosis accounts for 10-30% of all cases [2]. More than 5% of patients with tuberculosis have abdominal involvement [3]. In the abdominal cavity, it usually affects the peritoneum, gastrointestinal tract (especially ileum and cecum), liver, spleen, and lymph nodes [4, 5]. Pancreatic and peripancreatic involvements are rare. Majority of the cases occur as a part of disseminated tuberculosis [6]. Isolated involvement of the pancreas is even rarer [7]. Because of its rarity, the natural course of the disease is currently unknown. Several case reports have included a detailed review of this subject; however, we still lack a complete clinical picture of the disease.
There is often confusion between pancreatic tuberculosis and malignancy, both clinically and radiologically. Most cases are diagnosed after image guided tissue biopsy or after a major surgery. So, definite diagnosis before the start of effective therapy is a challenge. As most cases of pancreatic tuberculosis are responding well to antituberculous therapy, every effort should be made to diagnose before an unnecessary intervention including laparotomy. We report three cases of pancreatic and peripancreatic tuberculosis in immunocompetent patients where we were able to diagnose the cases before the start of any definite treatment.
CASE REPORT
Case #1
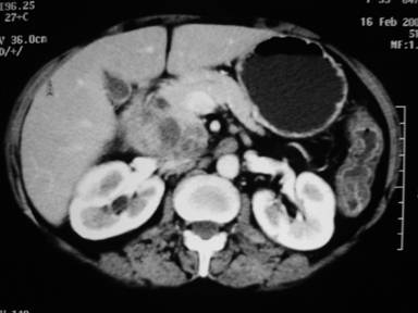
A 59-year-old woman presented with complaints of continuous, non-radiating type upper abdominal pain for the past 6 months. Other symptoms were early satiety, anorexia and 5.5 kg weight loss over last 4 months. The patient did not have fever, jaundice or gastrointestinal bleeding. She gave a history of pulmonary tuberculosis 10 years back for which she took antituberculous drugs for 9 months. Physical examination revealed pallor. Rests of the physical examinations were unremarkable. Investigations showed hemoglobin of 8.9 g/dL (reference range: 13.2-16.2 g/dL), total leukocyte count of 6,700 mL-1 (reference range: 4,000-11,000 mL-1) with a normal differential count, erythrocyte sedimentation rate of 60 mm/first hour (reference range: 0-17 mm/first hour). Liver function tests were normal. Results of HIV serology were negative, and results of chest radiograph were normal. A CECT abdomen (Figure 1) showed a mass in the head of the pancreas with multiple conglomerate peripancreatic lymph nodes and was associated with central necrosis. Portal vein was encased by the mass. Based on CT scan, the mass was non resectable and we advised CT guided FNA from the mass for consideration of chemoradiotherapy. FNA (using 22 G needle) from the peripancreatic lymph nodes showed epithelioid cell granuloma and caseation necrosis. Ziehl-Neelsen stain revealed acid fast bacillus (Figure 2). The patient received antituberculous therapy for 6 months. The patient was well at the 48-month follow-up.

|
Figure 1. CECT abdomen showing a mass in the head of the pancreas with necrosis (Case #1). |

|
Figure 2. Ziehl-Neelsen stain showing acid fast bacilli (Case #1). |
Case-2
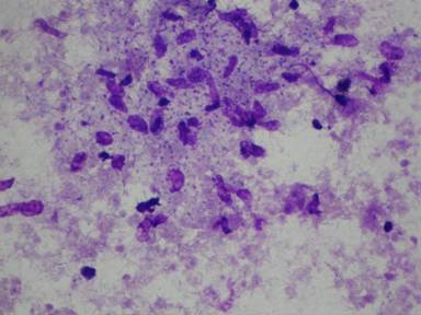
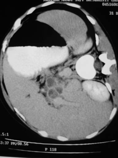
A 15-year-old woman presented with complaints of continuous upper abdominal pain for the past 25 days with occasional radiation to the back. The pain was severe in nature and she had to take analgesics regularly. The pain was unrelated to meals. Other symptoms were anorexia, 7.3 kg weight loss, and low-grade fever at night. The patient did not have jaundice or gastrointestinal bleeding. There was no past history of tuberculosis of the patient or her close relatives. Physical examination revealed pallor and a fixed, mildly tender, irregular surfaced mass at the epigastric region. Investigations showed hemoglobin of 7.3 g/dL (reference range: 13.2-16.2 g/dL), total leukocyte count of 8,600 mL-1 (reference range: 4,000-11,000 mL-1) with a normal differential count, erythrocyte sedimentation rate of 102 mm/first hour (reference range: 0-17mm/first hour). Liver function tests were normal. Results of HIV serology were negative, and results of chest radiograph were normal. A CECT abdomen (Figure 3) showed heterogeneously enhanced pancreatic head mass with multiple enlarged peripancreatic lymph nodes with central necrosis. EUS-guided FNA (using Echotip 22G, Wilson Cook needle, Salem, NY, USA) from the peripancreatic lymph nodes showed epithelioid cell granuloma and caseation necrosis (Figure 4) but Ziehl-Neelsen stain failed to reveal any acid fast bacillus. We started antituberculous drugs and the patient improved dramatically within 2 weeks. Antituberculous therapy was continued for 6 months. After 30 months of follow-up she was pain free, gained 12.7 kg weight, and the mass was no longer visible at a follow-up CT scan of the abdomen.

|
Figure 3. CECT abdomen showing pancreatic head mass with necrosed peripancreatic lymph nodes (Case #2). |

|
Figure 4. May-Grunwald Giemsa stain showing epithelioid cell granuloma and caseous necrosis (Case #2). |
Case-3
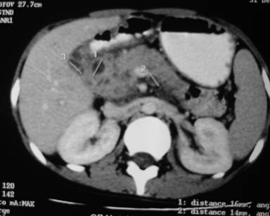
A 13-year-old girl presented with dull aching upper abdominal pain unrelated to meals and non-radiating type for the past 3 months. Other symptoms were anorexia, 4.5 kg weight loss, and weakness. The patient did not have fever, jaundice or gastrointestinal bleeding. Physical examination revealed pallor, enlarged left supraclavicular lymph node, and deep seated tenderness in the epigastrium. Investigations revealed hemoglobin of 9.4 g/dL (reference range: 12-15 g/dL), total leukocyte count of 7,600 mL-1 (reference range: 4,000-11,000/mL-1) with a normal differential count, erythrocyte sedimentation rate of 46 mm/first hour (reference range: 5-15mm/first hour). Results of HIV serology were negative, and chest radiograph was normal. CECT abdomen showed enlarged pancreatic head with multiple enlarged peripancreatic lymph nodes. These lymph nodes showed central necrosis with peripheral rim enhancement (Figure 5). FNA from left supraclavicular lymph node showed nonspecific infection. EUS-guided FNA (using Echotip 22G, Wilson Cook needle, Salem, NY, USA) from the mass showed epithelioid cell granuloma and caseation necrosis. She received antituberculous drugs for 6 months. Patient was well at 24-month follow-up.

|
Figure 5. CECT abdomen showing peripancreatic lymph nodes with central necrosis and peripheral rim enhancement (Case #3). |
DISCUSSION
Pancreatic tuberculosis was first reported by Auerbach in 1944 [8]. In his series of 1,656 autopsies of tuberculous patients, only 14 cases had pancreatic involvement that may have mimicked neoplasia. Since then, most of the medical literature on this rare disease is limited to case reports or small case series.
Pancreatic tuberculosis is extremely rare even in endemic zone. The pancreas is biologically protected from tuberculosis, probably because of the presence of pancreatic enzymes that interfere with the seeding of Mycobacterium tuberculosis [9]. Pancreas is involved by direct extension, lympho-hematogenous dissemination, or following reactivation of previous abdominal tuberculosis.
The diagnosis of pancreatic tuberculosis is a real challenge. The challenge is partly because of rarity of the disease itself and partly due to its nonspecific presentation mimicking pancreatic malignancy. To overcome the diagnostic dilemma, Xia et al. [7] have summarized characteristic features of pancreatic tuberculosis as follows: 1) mostly occurs in young people, especially female; 2) have past history of tuberculosis or come from endemic zone of tuberculosis; 3) often present with epigastric pain, fever, and weight loss; 4) ultrasound or CT scan show pancreatic mass and peripancreatic nodules, some with focal calcification. Other reported presentations are obstructive jaundice, acute or chronic pancreatitis, pancreatic abscess, portal vein thrombosis causing portal hypertension etc. Despite all these diagnostic criteria, preoperative diagnosis is very difficult. In most of the reported cases diagnosis was made after extensive surgery. In one Saluja et al. [10] study, out of 18 cases of hepatobiliary and pancreatic tuberculosis, only 4 cases had pancreatic tuberculosis and all required operative resection for diagnosis. Similarly, Chaudhry et al. [11] had shown that pancreatic tuberculosis is still a histopathological diagnosis.
Several imaging methods like transcutaneous ultrasound, CT scan and endoscopic ultrasound are used for assessment of pancreatic pathology. Ultrasound is often the first investigation used for diagnosis of pancreatic tuberculosis which may reveal focal hypoechoic mass or cystic lesion of the pancreas mostly situated in the head and uncinate process of the pancreas. CT scan is still regarded as the investigation of choice for pancreatic pathology. CT scan may show hypodense lesion with irregular border in the head of the pancreas, diffuse enlargement of the pancreas or enlarged peripancreatic lymph nodes [12]. An important image finding in pancreatic tuberculosis is the normal appearing common bile duct and the pancreatic duct, even if the mass is positioned centrally in the head of the pancreas [13]. This is in sharp contrast to adenocarcinoma of the pancreas where the pancreatic duct is dilated in centrally located tumors of the pancreatic head [12]. Similarly, in our cases, bile duct and pancreatic duct were normal. In our cases we found a characteristic CT scan finding that was extensive necrosis of the peripancreatic lymph nodes with rim enhancement. In contrast to imaging alone, image guided biopsy is more reliable for definite diagnosis of pancreatic tuberculosis because it provides tissue for histopathological and microbiological examination. EUS is preferred for obtaining tissue biopsy because of less chances of needle tract dissemination particularly if the mass seems to be malignant. The diagnostic accuracy of EUS guided FNA in pancreatic tuberculosis is difficult to be determined due to the rarity of this entity. EUS guided FNA has been noted to be 76% to 95% accurate for diagnosis of pancreatic cancer and 46% for focal inflammation [14]. In a recent series by Song et al., EUS-FNA was able to diagnose pancreatic/peri-pancreatic tuberculosis in 76.2% of patients [15]. The microscopic features of tuberculosis are caseation necrosis and presence of acid fast bacilli. Cultures for mycobacteria may take 6 weeks to grow and are used to confirm the diagnosis. But one should keep in mind that bacteriological confirmation may not be possible in all cases. Caseating granuloma is seen in 75-100% of cases, and acid-fast bacilli are identified in 20-40% of cases [16]. In our study, an acid fast bacillus was found in one case and in two cases we started therapy based on clinical background and presence of epithelioid cell granuloma and caseation necrosis only. In two of our cases we used EUS-guided FNA and in one case we had to use CT-guided FNA because our institution did not have EUS at that time.
Once the diagnosis is made, antituberculous drugs should be started as early as possible. Majority of the patients show symptomatic improvement within two weeks. If bacteriological diagnosis cannot be made, one can start antituberculous drugs based on clinical parameters and image findings particularly in young patients residing in endemic zone of tuberculosis. One should rethink his diagnosis if there is no improvement or deterioration after 6 weeks of antituberculous therapy. The duration of therapy varies from 6 to 12 months. The directly observed treatment, short-course (DOTS) recommend only six months of therapy for abdominal tuberculosis [17]. Response to therapy is predictable and complete in most cases. Longer duration of therapy increases the cost of treatment and exposes the patients to more side effects.
Received July 24th, 2012 - Accepted September 21st, 2012
Key words Biopsy, Fine-Needle; Lymph Nodes; Pancreas; Tuberculosis
Conflicts of interests The authors have no potential conflict of interests
Correspondence
Sukanta
Ray
Division of Surgical Gastroenterology
School of Digestive and Liver Diseases
Institute of Postgraduate Medical Education and Research
244 A. J. C. Bose Road
Kolkata 700020
West Bengal
India
Phone: +91-983.028.7364
Fax: +91-332.223.5435
E-mail: drsukantaray@yahoo.co.in
References
2. Echenique Elizondo M, Amondarain Arratíbel J, Compton CC, Warshaw AL. Tuberculosis of the pancreas. Surgery 2001; 129:114-6. [PMID 11150042]
3. Tosun S, Tosun A. Imaging of malignancy-suspected pancreatic involvement of extrapulmonary tuberculosis. Turk J Gastroenterol 2010 Mar;21(1):54-9. [PMID 20533115]
4. Evans JD, Hamanaka Y, Olliff SP, Neoptolemos JP. Tuberculosis of the pancreas presenting as metastatic pancreatic carcinoma. A case report and review of the literature. Dig Surg 2000;17(2):183-7. Review. [PMID 10781988]
5. Turan M, Sen M, Koyuncu A, Aydin C, Elaldi N, Arici S. Pancreatic pseudotumor due to peripancreatic tuberculous lymphadenitis. Pancreatology 2002;2(6):561-4. [PMID 12435870]
6. Meinke AK. Pancreatic tuberculous abscess. Conn Med 1989 Mar;53(3):139-41. [PMID 2653722]
7. Xia F, Poon RT, Wang SG, Bie P, Huang XQ, Dong JH. Tuberculosis of pancreas and peripancreatic lymph nodes in immunocompetent patients: experience from China. World J Gastroenterol 2003 Jun;9(6):1361-4. [PMID 12800257]
8. Auerbach O. Acute generalized miliary tuberculosis. Am J Pathol 1944; 20:121-36. [PMID 19970738]
9. Franco-Paredes C, Leonard M, Jurado R, Blumberg HM, Smith RM. Tuberculosis of the pancreas: report of two cases and review of the literature. Am J Med Sci 2002; 323(1):54-8. [PMID 11814144]
10. Saluja SS, Ray S, Pal S, Kukeraja M, Srivastava DN, Sahni P, Chattopadhyay TK. Hepatobiliary and pancreatic tuberculosis: a two decade experience. BMC Surg 2007; 7:10. [PMID 17588265]
11. Chaudhary A, Negi SS, Sachdev AK, Gondal R. Pancreatic tuberculosis: still a histopathological diagnosis. Dig Surg 2002; 19:389-92. [PMID 12435910]
12. Rana SS, Bhasin DK, Rao C, Singh K. Isolated pancreatic tuberculosis mimicking focal pancreatitis and causing segmental portal hypertension. JOP. J Pancreas (Online) 2010; 11:393-5. [PMID 20601818]
13. De Backer AI, Mortelé KJ, Bomans P, De Keulenaer BL, Vanschoubroeck IJ, Kockx MM. Tuberculosis of the pancreas: MRI features. AJR Am J Roentgenol 2005; 184:50-4. [PMID 15615950]
14. Chang KJ, Nguyen P, Erickson RA, Durbin TE, Katz KD. The clinical utility of endoscopic ultrasound-guided fine-needle aspiration in the diagnosis and staging of pancreatic carcinoma. Gastrointest Endosc 1997; 45:387-93. [PMID 9165320]
15. Song TJ, Lee SS, Park do H, Lee TY, Lee SO, Seo DW, et al. Yield of EUS-guided FNA on the diagnosis of pancreatic/peripancreatic tuberculosis. Gastrointest Endosc 2009; 69(3 Pt 1):484-91. [PMID 19231490]
16. Yavuz A, Bulu? H, Aydin A, Co?kun A. Pancreatic tuberculosis mimicking inoperable pancreatic cancer. Turk J Gastroenterol 2012; 23:95-7. [PMID 22505394]
17. World Health Organization. Standard treatment regimens. In: Treatment of Tuberculosis: Guidelines for National Programmes (4th Ed.). World Health Organization 3; 2003, 27-38 (WHO/HTM/TB/2009.420). [ISBN 9789241547833]