CASE REPORT
Hypertriglyceridemia-Induced Acute Pancreatitis in Pregnancy
Mindaugas Serpytis1,4, Vytautas Karosas4, Rokas Tamosauskas6, Jurate Dementaviciene2, Kestutis Strupas3,5, Audrius Sileikis3,5, Jurate Sipylaite1,4
1Clinic of Anesthesiology and Intensive Care, 2Department of Radiology, Nuclear Medicine and Medicine Physics, and 3Clinic of Gastroenterology, Nephrourology and Surgery, Faculty of Medicine, Vilnius University; 4Centre of Anesthesiology, Intensive Therapy and Pain Management, and 5Centre of Abdominal Surgery, Vilnius University Hospital Santariskiu Klinikos. Vilnius, Lithuania. 6Department of Anaesthesia, Addenbrooke’s Hospital, Cambridge University Hospitals NHS Trust. Cambridge, United Kingdom
ABSTRACT
Context Hypertriglyceridemia is a well known phenomenon of pregnancy occurring due to physiologic changes in sex hormone levels. Occasionally, it could lead to development of acute pancreatitis. Gestational hypertriglyceridemia-induced acute pancreatitis occurs in pregnant women usually with preexisting abnormalities of the lipid metabolism and is associated with additional diagnostic and therapeutic challenges related to hypertriglyceridemia and pregnancy. Case report We present a case of hypertriglyceridemia-induced acute pancreatitis in pregnant woman with no previous history of lipid abnormality and pregnancy as the only known triggering factor for hypertriglyceridemia. Conclusions Hypertriglyceridemia-induced acute pancreatitis is a rare complication of pregnancy; however, it should be suspected in all pregnant patients admitted for non-obstetric abdominal pain.
INTRODUCTION
Acute pancreatitis is a rare complication of pregnancy. It is diagnosed approximately in a range from 1 out of 1,000 to 1 out of 10,000 pregnancies with gallstone pancreatitis accounting for 70% of all cases [1]. Hypertriglyceridemia is recognized as the third most common cause of gestational acute pancreatitis after gallstones and alcohol and occurs in about 4% of all cases [2]. An increase in plasma lipid level during pregnancy has been well documented. It is thought to represent a physiologic response to the hormonal changes; however, not sufficient to cause acute pancreatitis. Gestational pancreatitis due to hypertriglyceridemia usually occurs in pregnant women with preexisting abnormalities of the lipid metabolism. We report a case of hypertriglyceridemia-induced acute pancreatitis in a previously healthy pregnant woman and emphasize diagnostic and treatment challenges associated with this condition.
CASE REPORT
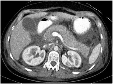
A 31-year-old female with past history of miscarriage (gravida 2, para 0) was admitted to a district general hospital at the 33rd gestational week complaining of upper abdominal pain and nausea. At the time of admission her vital signs were stable. Gynecological examination showed no evidence of premature labor: uterus tone was normal and cervix was closed. Her WBC were 15,000 mm-3 (reference range: 4,000-9,000 mm-3), CRP 65 mg/L (reference range: 0-5 mg/L). On the second day the symptoms of peritonitis developed; acute appendicitis was suspected and the patient underwent emergency laparotomy. Chylous ascites was drained; however, no cause of peritonitis was found intraoperatively. A normal appendix was removed. Post-operative blood tests were non evaluable due to high lipemia. On the third day of admission, she was transferred to a tertiary university hospital, where blood analysis showed increased level of triglyceride 87.5 mmol/L (reference range: 0-1.8 mmol/L), CRP 418 mg/L (reference range: 0-5 mg/L), procalcitonin 1.19 µg/L (reference range: 0-0.05 µg/L), lactate 5.78 mmol/L (reference range: 0.63-2.44 mmol/L), lipase activity 1,176 IU/L (reference range: 8-78 IU/L), and WBC 13,470 mm-3 (reference range: 4,000-9,000 mm-3), neutrophils 92% (reference range: 50-72%). The hematocrit was 36.2% (reference range: 36-42%). Electrophoretic pattern of lipoprotein was consistent with type V hyperlipoproteinemia. High concentrations of amylase (3,520 IU/L) and lipase (39,160 IU/L) were found in drainage fluid. Abdominal US revealed hypoechoic structure and blurred edge of the pancreas. Due to impending signs of fetal hypoxia an emergency Caesarean section was performed on the fourth day of hospitalization and healthy newborn female was delivered. Exploratory laparotomy revealed fat necrosis in the peripancreatic retroperitoneal space, omentum, and mesenteric root. Abdominal CT confirmed the diagnosis of acute pancreatitis (Figure 1). After delivery, triglyceride remained high (43.76 mmol/L) despite conservative hypertriglyceridemia treatment with heparin and insulin. Three sessions of plasmapheresis were performed with the aim of reducing hypertriglyceridemia. She was discharged at the 30th hospitalization day with triglyceride concentration of 4.75 mmol/L and cholesterol of 6.07 mmol/L (reference range: 0-5.2 mmol/L).

|
Figure 1. CT image shows a diffusely enhancing and enlarged pancreas with hypodense foci in the pancreatic head; increased density of the peripancreatic tissue and a large amount of fluid in abdominal cavity. |
DISCUSSION
We report a case of the hypertriglyceridemia-induced acute pancreatitis in pregnant patient with no previous history of abnormal lipid metabolism. In this case, pregnancy was considered to be the obvious factor for the development of hypertriglyceridemia. To our knowledge, there is a single published report describing such complication of pregnancy where even higher concentration of triglyceride (115 mmol/L) has been reported [3]. An association between hypertriglyceridemia and acute pancreatitis is well established. However, mild-to-moderate elevations of triglyceride are seen in up to 50% of all-cause acute pancreatitis and are generally regarded an epiphenomenon rather than a cause. Current consensus suggested that serum triglyceride concentration higher than 11.3 mmol/L is essential for acute pancreatitis to develop [1, 4]. During pregnancy, there is a physiologic estrogen-induced increase in triglyceride-rich lipoprotein production and decrease in clearance of triglyceride due to suppression of lipoprotein lipase activity in the liver and adipose tissue. The highest concentration of triglyceride is observed in the third trimester and may rise up to 2-4 times above normal, yet it rarely exceeds 11 mmol/L. An increase in cholesterol concentration usually follows similar pattern [3, 5, 6]. Although exact pathogenesis of hypertriglyceridemia-induced acute pancreatitis is not yet fully elucidated, two plausible mechanisms have been implicated. Hydrolysis of the excessive amount of triglyceride in the pancreas results in local release of highly concentrated free fatty acids, which could exert their cytotoxic effect on acinar cells and vascular endothelium. Another theory postulated that high concentrations of chylomicrons could increase blood viscosity and even precipitate capillary obstruction in the pancreas, leading to local pancreatic ischemia, acidosis, and activation of tripsinogen [4, 7].
There are numerous diagnostic challenges and treatment controversies of acute pancreatitis associated with pregnancy and hypertriglyceridemia described in literature. Most symptoms, which are common in acute pancreatitis such as nausea, vomiting, abdominal discomfort, or pain, are frequently reported in pregnancy. Moreover, clinical evaluation of acute abdomen in pregnancy can be confusing, due to anatomical displacement of abdominal organs by the gravid uterus. The classic signs and symptoms of peritonitis may be less prominent than those in non-pregnant patients because of the stretching and lifting of the anterior abdominal wall away from the area of inflammation. The underlying inflammation has limited contact with the parietal peritoneum, which precludes abdominal muscular response. Furthermore, the uterus hampered the movement of the omentum to an area of inflammation. Such alterations distort the clinical picture of acute abdomen and can lead to misdiagnosis or unnecessary non-obstetric surgical interventions which are associated with a higher premature labor rate [8]. Leukocytosis due to an increase in neutrophils count represents normal physiological response to pregnancy, yet elevated white cell count is common in acute pancreatitis [9]. Hemoconcentration due to fluid redistribution is one of the laboratory features of acute pancreatitis. However, hematocrit in pregnancy is decreased, particularly in the last trimester. This occurs not only due to iron-deficiency anemia, but also due to a dilution effect secondary to an increased in plasma volume up to 50% above baseline. The lower reference value for hematocrit may be as low as 31% in normal pregnancy [10]. Lipemia may affect an automated analysis of electrolytes, glucose, liver enzymes, urea, creatinine, total bilirubin, etc. by altering light scattering, increasing the non-aqueous phase, and partitioning between the polar and non-polar phases [11]. Elevated amylase and/or lipase are the diagnostic hallmarks of acute pancreatitis; yet, in hypertriglyceridemia-induced acute pancreatitis, amylase levels may be reported as normal or even low in more than 50% patients. This phenomenon has been attributed to an interference of plasma lipids with the assay and/or to the presence of a circulating inhibitor of amylase in serum and urine [4, 12, 13]. In such cases, dilution or ultracentrifugation of the sample is recommended to ensure accurate analysis.
Imaging plays an important role in diagnosing of acute pancreatitis, in establishing underlying etiology and grading the severity of disease. Gallstones are responsible for 70% of all acute pancreatitis cases in pregnancy and should be excluded first. US is safe for fetus and is the initial imaging method of choice to identify gallstones and acute pancreatitis. However, often the pancreas may not be visible by US because of overlying bowel gas. EUS has proven to be very sensitive in diagnosing even very small gallstones and could be applicable in pregnancy with suspected choledocholithiasis. ERCP or CECT (a gold standard for diagnosing common bile duct stones and pancreatitis) could expose fetus to the ionizing radiation and should be performed only when benefit outweighs the risk. The diagnostic efficacy of MRI is comparable to that of CECT in helping assess the location and extent of peripancreatic inflammatory changes, fluid collections and the degree of pancreatic necrosis. There is growing body of evidence that MRI is safe in pregnancy. The American Association of Radiologists recommended using MRI in pregnant patients below 1.5 T, although recent publications advocate standard MRI pancreas protocol without contrast when investigating pregnant patient for acute pancreatitis. Potential hazards of MRI investigation to the fetus include teratogenic effects of intravenous gadolinium-based contrast and the effects of strong electromagnetic field. Gadolinium-based contrast agents are assigned to pregnancy category C by the Food and Drug Administration and should be given for pregnant patients only with well documented risk-benefit analysis. The heating effect of MRI on fetus and direct non-thermal interaction of the electromagnetic field with biological structures raise an additional concerns regarding teratogenicity and risk of miscarriage, especially in the first trimester of pregnancy. Despite these concerns MRI is the preferred imaging modality in pregnancy if US failed to find out a cause of an acute abdomen [14].
There are no well-defined management recommendations for hypertriglyceridemia-induced acute pancreatitis, especially in pregnant patient. One of the initial therapeutic goals should aim at lowering triglyceride levels. Low-fat diet is essential to decrease triglyceride input. Enteral nutrition should be tried first as it maintains gut integrity and attenuates the acute phase response. Long-term intake of diets rich in omega-3 fatty acids may reduce triglyceride levels significantly; however, the impact on lipid metabolism during acute illness is currently unknown. It has been postulated that supplementing enteral or parenteral nutrition with omega-3 fatty acids may influence the acute inflammatory response in critically ill patients, but published data remain equivocal [15]. When enteral nutrition is not feasible, intravenous lipids should be considered only when triglyceride is less than 3-4 mmo/L. Insulin and heparin both increase lipoprotein lipase activity and thus facilitate triglyceride clearance [16]. Niacin, fibrates, and statins are widely used to treat dyslipidemia; however, it usually takes several weeks to reach the lipid-lowering goals with such agents, thus rendering them futile in acute pancreatitis. Moreover, niacin, fibrates, statins, and heparin were assigned to pregnancy category C by the Food and Drug Administration and should be only administered when there is no alternative and benefit outweighs the risk.
Triglyceride concentration should decline after delivery due to a rapid drop in estrogen levels. Termination of pregnancy is indicated only when the condition of the patient and/or fetus is progressively worsening. Our patient’s results after delivery showed only slightly reduced levels of triglyceride; thus plasmapheresis was initiated. A single session of plasmapheresis could be expected to reduce triglyceride concentration by up to 70%. Plasmapheresis, as well as lipoprotein apheresis, appears to be useful in critical situations and safe in pregnancy [17, 18, 19].
CONCLUSION
Hypertriglyceridemia is common in pregnancy due to physiological changes, and occasionally it could lead to development of acute pancreatitis. Although rare, acute pancreatitis should be suspected in all pregnant patients admitted for non-obstetric abdominal pain. Symptoms and laboratory findings may be distorted by pregnancy and hypertriglyceridemia; therefore, timely and accurate diagnosis of acute pancreatitis remains challenging in such setting.
Received February 8th, 2012 – Accepted September 24th, 2012
Keywords Hypertriglyceridemia; Pancreatitis, Acute Necrotizing; Pregnancy
Conflicts of interest None of the authors have any potential conflicts of interest
Correspondence
Mindaugas
Serpytis
Clinic of Anesthesiology and Intensive Care
Faculty of Medicine
Vilnius University
Siltnamiu 29, LT-04130
Vilnius
Lithuania
Phone: +3706-864.79.23
Fax: +3705-236.52.35
E-mail: mindaugas.serpytis@santa.lt
References
1. Pitchumoni CS, Yegneswaran B. Acute pancreatitis in pregnancy. World J Gastroenterol 2009; 15:5641-6. [PMID:19960559].
2. Eddy JJ, Gideonsen MD, Song JY, Grobman WA, O'Halloran P. Pancreatitis in pregnancy. Obstet Gynecol 2008; 112:1075-81. [PMID: 18978108].
3. Gursoy A, Kulaksizoglu M, Sahin M, Ertugrul DT, Ozer F, Tutuncu NB, et al. Severe hypertriglyceridemia-induced pancreatitis during pregnancy. J Natl Med Assoc 2006; 98:655-7. [PMID: 16623082].
4. Yadav D, Pitchumoni CS. Issues in hyperlipidemic pancreatitis. J Clin Gastroenterol 2003; 36:54-62. [PMID: 12488710].
5. Kim HJ, Kalkhoff RK. Sex steroid influence on triglyceride metabolism. J Clin Invest 1975; 56:888-96. [PMID: 1159092].
6. Herrera E, Lasuncion MA, Gomez-Coronado D, Aranda P, Lopez-Luna P, Maier I. Role of lipoprotein lipase activity on lipoprotein metabolism and the fate of circulating triglycerides in pregnancy. Am J Obstet Gynecol 1988; 158:1575-83. [PMID: 3287929].
7. Saharia P, Margolis S, Zuidema GD, Cameron JL. Acute pancreatitis with hyperlipemia: studies with an isolated perfused canine pancreas. Surgery 1977; 82:60-7. [PMID: 877857].
8. Cohen-Kerem R, Railton C, Oren D, Lishner M, Koren G. Pregnancy outcome following non-obstetric surgical intervention. Am J Surg 2005; 190:467-73. [PMID: 16105538].
9. Lurie S, Rahamim E, Piper I, Golan A, Sadan O. Total and differential leukocyte counts percentiles in normal pregnancy. Eur J Obstet Gynecol Reprod Biol 2008; 136:16-9. [PMID: 17275981].
10. Milman N, Bergholt T, Byg KE, Eriksen L, Hvas AM. Reference intervals for haematological variables during normal pregnancy and postpartum in 434 healthy Danish women. Eur J Haematol 2007; 79:39-46. [PMID: 17598837].
11. Kroll MH, Elin RJ. Interference with clinical laboratory analyses. Clin Chem 1994; 40:1996-2005. [PMID: 7955368].
12. Wickus GG, Dukerschein RO, Pierce JR, Davis KD. Interference in a chromogenic alpha-amylase assay caused by dye-labeled oligosaccharide-induced precipitation of lipoprotein. Clin Chem 1982; 28:2131-4. [PMID: 6181910].
13. Warshaw AL, Bellini CA, Lesser PB. Inhibition of serum and urine amylase activity in pancreatitis with hyperlipemia. Ann Surg 1975; 182:72-5. [PMID: 1147712].
14. Beddy P, Keogan MT, Sala E, Griffin N. Magnetic resonance imaging for the evaluation of acute abdominal pain in pregnancy. Semin Ultrasound CT MRI 2010; 31:433-41. [PMID: 20974361].
15. Martin JM, Stapleton RD. Omega-3 fatty acids in critical illness. Nutr Rev 2010; 68:531-41. [PMID: 20796218].
16. Henzen C, Rock M, Schnieper C, Heer K. Heparin and insulin in the treatment of acute hypertriglyceridemia-induced pancreatitis. Schweiz Med Wochenschr 1999; 129:1242-8. [PMID: 10499250].
17. Ewald N, Kloer HU. Severe hypertriglyceridemia: an indication for apheresis? Atheroscler Suppl 2009; 10:49-52. [PMID: 20129374].
18. Mao EQ, Tang YQ, Zhang SD. Formalized therapeutic guideline for hyperlipidemic severe acute pancreatitis. World J Gastroenterol 2003; 9:2622-6. [PMID: 14606112].
19. Klingel R, Gohlen B, Schwarting A, Himmelsbach F, Straube R. Differential indication of lipoprotein apheresis during pregnancy. Ther Apher Dial 2003; 7:359-64. [PMID: 12924613].