CASE REPORT
Small Cell Carcinoma of the Lung Presented as Acute Pancreatitis. Case Report and Review of the Literature
Abdulzahra Hussain1, Ali Adnan2, Shamsi El-Hasani1
1Department of General Surgery, Princess Royal University Hospital. Orpington, Greater London, United Kingdom. 2Otolaryngology, Head and Neck Department, Sahlgrenska University Hospital. Gothenburg, Sweden
ABSTRACT
Context Small cell carcinoma of the lung is an aggressive cancer with gloomy prognosis. Links to acute pancreatitis is extremely rare. Case report We are reporting a 53-year-old patient who was admitted because of acute pancreatitis. She had no history of gallstones, alcohol abuse, medications or any other predisposition for acute pancreatitis. Further investigations of blood, CT of chest abdomen and neck and ultrasound scan of abdomen, bone marrow and neck lymph node biopsies confirmed advanced small cell carcinoma of the lung with hypercalcemia, which was the only definite cause of acute pancreatitis. The patient made good recovery from pancreatitis after controlling the hypercalcemia. She was referred to respiratory team for further management of lung cancer. Conclusion Acute pancreatitis due to hypercalcemia of advanced small cell carcinoma of the lung is an extremely rare condition. Acute pancreatitis due to hypercalcemia should be thoroughly investigated to exclude serious pathology as in our case.
INTRODUCTION
Lung cancer is the second commonest cancer in the UK. It is commonly presents with respiratory symptoms; however, some cases are diagnosed incidentally during investigation of unrelated symptoms. Some of the lung cancer cases presents with loco-regional and/or distant metastasis. Connection of lung cancer to pancreatitis is extremely rare [1]. We are presenting a case of pancreatitis due to hypercalcemia of small cell carcinoma.
CASE REPORT
A 53-year-old lady presented with epigastric pain radiated to the back, nausea and vomiting of 3 days. She had no previous similar episode of pain. She had no history of gallstone disease or alcohol abuse. No history of recent infection, trauma, endoscopic procedure and no on regular medication. She had no significant past medical or surgical problems. Clinical examination on admission revealed normal vital signs, cervical lymphadenopathy and epigastric tenderness.
Her amylase was very high at 1,618 U/L (reference range: 0-100 U/L) but liver function test was abnormal: total bilirubin 11 µmol/L (1-17 µmol/L), total protein 62 g/L (64-83 g/L), albumin 40 g/L (35-50 g/L), globulin 22 g/L (18-36 g/L), alkaline phosphatase 217 U/L (35-104 U/L), alanine transaminase 137 U/L (0-40 U/L), aspartate transaminase 121 U/L (5-38 U/L), gamma-glutamyl transpeptidase 723 U/L (5-40 U/L), LDH 1,176 U/L (240-480 U/L), and C-reactive protein 7 mg/L (0-5 mg/L). The lipid profile was normal. Her thyroid function showed low thyroid stimulating hormone (TSH), low T3 and T4.
Pituitary magnetic resonance imaging scan showed no pituitary lesion. Chest and plain abdominal X-rays showed no free gas under diaphragm and no bowel obstruction. She had high calcium level at 2.89 mmol/L (2.15-2.60 mmol/L). Glasgow score was 1 and diagnosis of mild acute pancreatitis was made.
The patient was managed by supportive measures and made a progressive slow recovery after correction of hypercalcemia. The hypercalcemia was managed by fluids, frusemide and pamidronic acid and it was reversed to normal range.
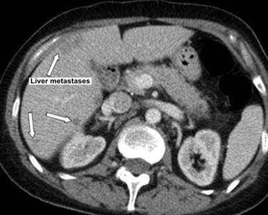
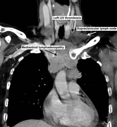
Ultrasound and subsequent computerized tomography (CT) showed no gallstones but CT showed liver lesions which were reported initially as hemangiomas. On the 9th day of admission she developed swollen left upper limb. At that stage the radiology imaging were reviewed at the radiology multidisciplinary team meeting and her chest X-ray was compared to the previous one of two months which showed significant mediastinal widening and chest CT was suggested and showed extensive mediastinal disease and left internal jugular vein thrombosis and compression of left subclavian vein (Figures 1-4). The radiologist suggested lymphoma as the primary malignancy; however, the bone marrow biopsy showed a cellular marrow extensively infiltrated by a high-grade malignant tumour composed of small cells with scanty cytoplasm. Numerous mitoses were seen. Immunocytochemistry demonstrated a strong positive reaction for CD56 and bcl2, while a focal positive reaction was seen for bcl6. Perinuclear dot positivity was seen for MNF116. A negative reaction was seen for CD79, CD20, CD34, CD23, CD10, CD5, CD3 and cyclin D1.
Heamatology and respiratory team were involved and bone marrow and lymph node biopsies were suggestive of small cell carcinoma of lung origin. The respiratory team took over the patient care.

|
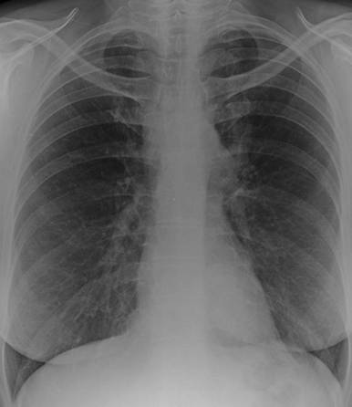
Figure 1. Normal chest X-ray two months earlier. |

|
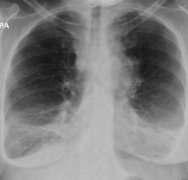
Figure 2. Chest X-ray showed mediastinal mass. |

|
Figure 3. Several liver lesions initially reported as hemangiomas but subsequent checking confirmed liver metastases. |

|
Figure 4. Chest and neck CT showed extensive mediastinal disease, neck lymphadenopathy, left internal jugular thrombosis. IJV: internal jugular vein |
DISCUSSION
Small cell carcinoma is affecting different organs including respiratory system [2]. Links of small cell carcinoma to pancreatitis is usually through distant metastasis rather than other mechanisms [3] (Table 1).
|
Table 1. Causes of pancreatitis induced by lung small cell carcinoma. |
|||
|
Reference |
Year |
Number of cases |
Mechanism |
|
Stewart et al. [11] |
1993 |
6 cases |
Metastasis |
|
Kim et al. [12] |
1999 |
1 case |
Metastasis |
|
Huang et al. [13] |
2005 |
1 case |
Metastasis |
|
Woo et al. [14] |
2006 |
1 case |
Metastasis |
|
Kanno et al. [4] |
2007 |
1 case |
Hypercalcemia |
|
Belhassen-García et al. [15] |
2009 |
1 case |
Metastasis |
|
Tanaka et al. [16] |
2009 |
1 case |
Metastasis |
|
Tan and Calvo [9] |
2012 |
1 case |
Hypercalcemia |
|
Wurm Johansson et al. [17] |
2012 |
1 case |
Metastasis |
Our search of English literature showed 5 cases of hypercalcemia associated small cell cancers of different origins causing acute pancreatitis [4, 5, 6, 7]. Only two cases of small cell carcinoma of the lung causing acute pancreatitis were found [8, 9]. Hypercalcemia induces pancreatic injury via a secretory block, accumulation of secretory proteins, and possibly activation of proteases [10]. It is a rare cause of pancreatitis. Hypercalcemia due to small lung carcinoma causing pancreatitis is an extremely unusual and probably this is the third case. The level of calcium could reach 3.87 mmol/L at the time of diagnosis [9].
Initial radiology report put less weight on the liver lesions; however, reviewing imaging and the commitment to find the cause of hypercalcemia in this case has helped to reach the definite diagnosis.
Multidisciplinary teamwork was successful to diagnose and to instill management plan quickly.
CONCLUSIONS
Hypercalcemia due to small cell carcinoma of the lung causing acute pancreatitis is an extremely rare condition. Multidisciplinary team approach is important for successful diagnosis and early management.
Received August 8th, 2012 – Accepted October 2nd, 2012
Key words Carcinoma, Small Cell; Hypercalcemia; Pancreatitis, Acute Necrotizing
Acknowledgements No fund or support of any kind in relation to this manuscript
Financial disclosure The Authors certify that they have no affiliation with or financial involvement in any organization or entity with a direct financial interest in the subject matter or materials discussed in the manuscript (e.g. employment, consultancies, stock ownership, honoraria)
Conflict of interest The authors declare no conflict of interests
Correspondence
Abdulzahra
Hussain
Department of General Surgery
Princess Royal University Hospital
Farnborough Common
Orpington, Greater London, BR6 8ND
United Kingdom
Phone: +44-168.986.4905
Fax: +44-168.986.4488
E-mail: azahrahussain@yahoo.com
References
1. Belhassen-García M, Velasco-Tirado V, Carpio-Pérez A, Soler-Fernández MC, López-Bernús A, Pardo-Lledias J, Fuentes-Pardo L, Iglesias-Gómez A. Acute pancreatitis and obstructive jaundice secondary to metastases from lung cancer. Gastroenterol Hepatol. 2009 ;32:697-701.
2. Addeo A, Rinaldi C, Panades M. A case of small cell carcinoma of the prostate and review of the literature.Tumori. 2012;98:76e-8e
3. Tanaka H, Nakazawa T, Yoshida M, Miyabe K, Okumura F, Naitoh I, Hayashi K, Ando T, Ohara H, Joh T.Metastasis-induced acute pancreatitis in a patient with small cell carcinoma of the lungs.JOP. 2009;4;10:557-61
4. Kanno K, Hikichi T, Saito K, Watanabe K, Takagi T, Shibukawa G, Wakatsuki T, Imamura H, Takahashi Y, Sato A, Sato M, Irisawa A, Obara K, Ohira H. A case of esophageal small cell carcinoma associated with hypercalcemia causing severe acute pancreatitis.Fukushima J Med Sci. 2007 ;53:51-60.
5. Bourgain A, Acker O, Lambaudie E, Boukerrou M, Chevalier-Place A, Meignie P, Parent M, Baranzelli MC, Cabaret V, Wemeau JL, Querleu D. Small cell carcinoma of the ovary of the hypercalcemic type revealed by a severe acute pancreatitis: about one case. Gynecol Obstet Fertil. 2005 ;33:35-8.
6. Wynn D, Everett GD, Boothby RA.Small cell carcinoma of the ovary with hypercalcemia causes severe pancreatitis and altered mental status. Gynecol Oncol. 2004; 95:716-8.
7. Wymenga AN, van der Werf TS, van der Graaf WT, Tulleken JE, Zijlstra JG, Ligtenberg JJ.Lessons from an unusual case: malignancy associated hypercalcemia, pancreatitis and respiratory failure due to ARDS.Neth J Med. 1999; 54:27-30.
8. Hsieh TL, Chen JJ, Chien CS, Chiou SS, Tai DI, Lee CN, Kuo CH, Chiu KW, Chuah SK, Hu TH. Small cell lung cancer with liver and bone metastasis associated with hypercalcemia and acute pancreatitis--a case report. Changgeng Yi Xue Za Zhi. 1995; 18:190-3.
9. Tan J,Calvo A.Small cell carcinoma presenting as acute pancreatitis :the role of hypercalcemia. World J Oncol . 2012;3:42-44
10. Frick TW, Mithöfer K, Fernández-del Castillo C, Rattner DW, Warshaw AL.Hypercalcemia causes acute pancreatitis by pancreatic secretory block, intracellular zymogen accumulation, and acinar cell injury.Am J Surg. 1995 ; 169: 167-72.
11. Stewart KC, Dickout WJ, Urschel JD.Metastasis-induced acute pancreatitis as the initial manifestation of bronchogenic carcinoma.1993;104:98-100.
12. Kim KH, Kim CD, Lee SJ, Lee G, Jeen YT, Lee HS, Chun HJ, Song CW, Um SH, Lee SW, Choi JH, Ryu HS, Hyun JH. Metastasis-induced acute pancreatitis in a patient with small cell carcinoma of the lung.J Korean Med Sci. 1999 ;14:107-9.
13. Huang YW, Yang JC, Chang YL, Tsang YM, Wang TH.Acute pancreatitis combined with acute Budd-Chiari syndrome as the initial manifestation of small cell lung cancer.J Formos Med Assoc. 2005 ;104:431-5.
14. Woo JS, Joo KR, Woo YS, Jang JY, Chang YW, Lee J 2nd, Chang R.Pancreatitis from metastatic small cell lung cancer successful treatment with endoscopic intrapancreatic stenting.Korean J Intern Med. 2006; 21:256-61.
15. Belhassen-García M, Velasco-Tirado V, Carpio-Pérez A, Soler-Fernández MC, López-Bernús A, Pardo-Lledias J, Fuentes-Pardo L, Iglesias-Gómez A.Acute pancreatitis and obstructive jaundice secondary to metastases from lung cancer. Gastroenterol Hepatol. 2009 ;32:697-701.
16. Tanaka H, Nakazawa T, Yoshida M, Miyabe K, Okumura F, Naitoh I, Hayashi K, Ando T, Ohara H, Joh T.Metastasis-induced acute pancreatitis in a patient with small cell carcinoma of the lungs.JOP. 2009 ;10:557-61.
17. Wurm Johansson G, Toth E, Torp J, Ehinger A, Anderson L, Thorlacius H.Acute pancreatitis evoked by small-cell lung carcinoma metastases and detected by endoscopic ultrasound. Endoscopy. 2012;44:E45-6.