CASE REPORT
Pancreas Cancer-Associated Polymyositis of the Legs Regressing After Cephalic Duodenopancreatectomy: Case Report and Review of the Literature
Koceila Lamine Amroun1, Louis de Mestier2, Sophie Deguelte-Lardiere1, Marie-Danièle Diebold3, Olivier Bouché2, Reza Kianmanesh1
Services of 1General, Digestive and Endocrine Surgery, 2Hepatogastroenterology and Digestive Oncology and 3Anatomy and Pathological Cytology, "Robert-Debré" Hospital. Reims, France
ABSTRACT
Context Inflammatory myopathy, such as polymyositis, has been widely reported as paraneoplastic syndrome associated with various malignancies. However, its association with pancreas adenocarcinoma is very uncommon. Case report A case of a patient with paraneoplastic polymyositis of both legs associated with pancreatic adenocarcinoma is reported here. The diagnosis of polymyositis was highlighted by MRI and confirmed by histopathological examination. The surgical resection of the primary tumor led to the complete resolution of polymyositis with no further recurrence despite later metastases. Conclusion The association between pancreatic cancer and paraneoplastic polymyositis is very uncommon and has to be recognized by clinicians.
INTRODUCTION
The association between polymyositis and cancer has been widely reported [1, 2]. Although it may occur with most neoplasms, only a few authors have reported it as a pancreatic cancer-associated paraneoplastic syndrome [1, 3, 4]. The diagnosis of paraneoplastic myositis is usually suspected by clinical examination and standard imaging, and confirmed by pathological examination and clinical evolution under treatment. Data about its pathogenesis is scarce. A case of a patient with paraneoplastic polymyositis of both legs associated with a pancreatic adenocarcinoma is reported here. Thereafter, literature about its presentation and pathogenesis is reviewed.
CASE REPORT
A 47-year-old man presented with abdominal pain, jaundice, recent weight loss of 7 kg and asthenia. His past medical history included duodenal ulcer, renal lithiasis, appendectomy, alcohol abuse and smoking. There was no significant family history. His body mass index was 29 kg/m². On examination, there was a jaundice and a diffuse abdominal tenderness without guarding. His laboratory investigation revealed the following: leukocytes 7,700 mm-3 (reference range: 4,000-10,000 mm-3), hemoglobin 99 g/L (reference range: 130-170 g/L), C-reactive protein 315 mg/L (reference range: 0-6 mg/L), gamma-glutamyltransferase 275 IU/L (reference range: 0-35 IU/L), alkaline phosphatase 276 IU/L (reference range: 32-120 IU/L), AST 100 IU/L (reference range: 10-30 IU/L), ALT 86 IU/L (reference range: 11-40 IU/L), total bilirubin 417 µmol/L (reference range: 4-17 µmol/L), conjugated bilirubin 309 µmol/L (reference range: 3-11 µmol/L), prothrombine rate 92% (reference range: 80-100%). A CT scan showed a 25 mm mass image located in the head of the pancreas, infiltrating the duodenum with a 2 cm portal trunk invasion. The superior mesenteric artery was clear. Biopsies were performed during endoscopic ultrasonography, and pathological analysis showed pancreatic adenocarcinoma. Despite an unsuccessful attempt of endoscopic biliary drainage, a biliary-digestive bypass was performed that led to effective biliary clearance. After multidisciplinary discussion, preoperative chemotherapy was decided, that consisted in four cycles of gemcitabine (1,000 mg/m², 1 injection per week during 3 of 4 weeks per cycle). The patient did not receive radiation therapy.
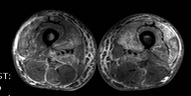
During the fourth cycle of chemotherapy, the patient reported persistent pain of both lower limbs causing major difficulties in mobilizing. The pain was described as crushing sensation and cramps localized to the anterior side of both thighs causing insomnia. Motor function, sensation and reflexes of lower limbs were normal. The skin had a paper-like texture in regard of the painful lesion. Biological markers were as follows: creatine kinase 1.6 N, lactate dehydrogenase 2.3 N and low levels of complement C3 and C4, with no evidence of inflammation. Doppler examination was unremarkable, hence excluding arterial or venous causes. MRI of lower limbs showed a diffuse T2 hyperintensity in both anterior muscles compartments associated with necrotic lesions (Figures 1 and 2), compatible with bilateral quadriceps polymyositis.

|
Figure 1. MRI (T1) axial section of both thighs with gadolinium injection. Necrotic aspect of both vastus lateral quadriceps. |

|
Figure 2. MRI (T2 SPAIR) axial section of both thighs. Necrotic areas (hyperintensity) of both vastus lateral quadriceps. |
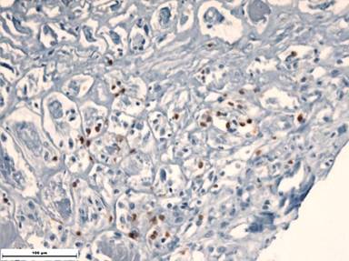
Skin and muscle were sampled. Pathological analysis of skin sample revealed scleroderma-like lesions without any immunohistochemical abnormality. Muscle examination revealed a global atrophy, large muscle necrosis with calcification and immunohistochemical overexpression of CD8+ T-cells (Figures 3 and 4).

|
Figure 3. Muscle sample with topographic coloration by hemalum, phloxine, safran (HPS). Fibrosis and atrophy of muscle fibers. Necrotic areas with ghostly muscle cells and calcifications. |

|
Figure 4. Muscle sample with immunohistochemical preparation. CD8+ T-cells in contact with altered muscle cells. |
After four cycles of chemotherapy, a CT-scan showed a 30% reduction of tumor size with no vascular invasion. The pain was intense and difficult to control despite of reducing and spacing gemcitabine doses and increasing opiates doses. Surgical resection was performed, consisting in a cephalic duodenopancreatectomy. There were no post-operative complications. Pathological examination of the resected specimen revealed a pT3N1aM0R0 infiltrating ductal adenocarcinoma (AJCC 2009). The complete resolution of muscular pain was remarkable, leading to a significant improvement of mobility and ability to walk three days after surgery. Levels of creatine kinase, lactate dehydrogenase, carcinoembryonic antigen and CA 19-9 became normal.
Six months later, two liver metastases were found on CT-scan and the CA 19-9 rate increased to 1,900 IU/L (reference range: 0-40 IU/L). Because of its initial efficacy, chemotherapy by gemcitabine was repeated at the complete dose during 5 months. No recurrence of polymyositis occurred. A revaluation CT-scan was performed afterwards and showed a moderate regression of the hepatic lesions. Nine months later, the patient presented with a community-acquired pneumonia causing severe sepsis leading to his death.
DISCUSSION
The association between cancer and inflammatory myopathy, such as polymyositis or dermatomyositis, has been widely reported but the pathogenesis remains elusive. This involves all histological types of malignancies. Adenocarcinoma, however, is the most frequently implicated, particularly from lung, ovarian, cervical, colorectal, gastric and breast origin [1, 2]. However, polymyositis has been scarcely reported as paraneoplastic syndrome associated with pancreatic adenocarcinoma [1, 3, 4]. Cancer may occur between the 2 years preceding and the 3 years following the diagnosis of polymyositis [5]. Although there is no specific or sensitive clinical or biological marker for the diagnosis of paraneoplastic polymyositis, some characteristics have been identified in the literature. The mean age of diagnosis is 50-60 years [6]. The muscle weakness is commonly of proximal and symmetrical localization, is rapidly progressive and can be severe, often leading to immobility [7]. Respiratory muscles may be sometimes affected, which may be fatal [6, 8]. The most reported biologic findings are an increased level of creatine kinase and lower C3 and C4 levels [9]. Pathological examination usually shows inflammatory cell invading the muscle fibers. Authors also report invasion of CD8+ T-cells that may recognize muscle fiber surface antigens [10]. In the present case, an immunohistochemical overexpression of CD8+ T-cells was shown on muscles biopsies.
A case of inflammatory and necrotic myopathy in a patient with pancreas adenocarcinoma is reported here. Because of the late occurrence of the symptoms and its total regression after the surgical removal of the tumor, we can consider it as paraneoplastic syndrome. Other arguments were suggestive, such as biological markers, compatible MRI and pathological examination. Cases of gemcitabine-related myopathy have been reported [11, 12, 13]. In most cases, gemcitabine induced a “radiation recall”, consisting in inflammatory reactions triggered by cytotoxic drugs in previously irradiated areas. Only a few cases have reported a myotoxicity of the extremities associated with severe edema, probably related to vasculitis [12]. In the present case, myopathy was not likely to be due to gemcitabine because of its delayed presentation, its persistence after reducing chemotherapy doses and the absence of recurrence after reintroducing gemcitabine. Moreover, as the patient did not receive any radiation therapy, the hypothesis of radiation recall could be dismissed.
The presence of paraneoplastic polymyositis may be associated with a worse oncological prognosis [5]. The treatment of the tumor may lead to its remission [6]. Glucocorticosteroids have been trialed successfully in patients that could not undergo surgery [4]. Polymyositis may recur upon the relapse of malignancy [5]. Physiopathological hypothesis have been raised to explain the association of polymyositis with cancer. Tumor bioactive mediators may induce immune reactions against muscle fibers and skin. A compromised immune system and carcinogenic environmental factors may have a role to play in the coexistent occurrence of tumor and polymyositis [14]. Skin and muscle antigens may be cross-reactivity targets for the antitumoral immunological response [15].
A case of paraneoplastic polymyositis associated with pancreas adenocarcinoma is reported here. Muscular disorders regressed quickly after the surgical removal of primary tumor, strengthening the hypothesis about the cancer-related origin of these symptoms. Polymyositis is a well-described paraneoplastic syndrome, but its association with pancreas cancer is very uncommon and has to be recognized by clinicians.
Received August 16th, 2012 – Accepted September 21st, 2012
Keywords General Surgery; Pancreatic Neoplasms; Pancreaticoduodenectomy; Paraneoplastic Syndromes; Polymyositis
Conflicts of interest All authors declare no conflicts of interest
Correspondence
Koceila
Lamine Amroun
Service de Chirurgie Générale, Digestive et Endocrinienne
Hôpital Robert-Debré
Boulevard du Général Koenig, 51092
Reims Cedex
France
Phone: +33-326.787.095
Fax: +33-326.787.525
E-mail: lamroun@chu-reims.fr
References
1. Hill CL, Zhang Y, Sigurgeirsson B, Pukkala E, Mellemkjaer L, Airio A, et al. Frequency of specific cancer types in dermatomyositis and polymyositis: a population-based study. Lancet 2001;357:96–100.
2. Stockton D, Doherty VR, Brewster DH. Risk of cancer in patients with dermatomyositis or polymyositis, and follow-up implications: a Scottish population-based cohort study. Br J Cancer 2001;85:41–5.
3. Kida Y, Maeshima E, Furukawa K, Ichikawa T, Goda M, Ichinose M. A case of polymyositis with a significantly high level of KL-6 associated with pancreatic cancer. Mod Rheumatol 2007;17:262–4.
4. Syrios J, Kechagias G, Xynos ID, Gamaletsou MN, Papageorgiou A, Agrogiannis G, et al. Pancreatic adenocarcinoma-associated polymyositis treated with corticosteroids along with cancer specific treatment: case report. BMC Gastroenterol 2011;11:33.
5. Aggarwal R, Oddis CV. Paraneoplastic myalgias and myositis. Rheum Dis Clin North Am 2011;37:607–21.
6. András C, Ponyi A, Constantin T, Csiki Z, Szekanecz E, Szodoray P, et al. Dermatomyositis and polymyositis associated with malignancy: a 21-year retrospective study. J Rheumatol 2008;35:438–44.
7. Dalakas MC, Hohlfeld R. Polymyositis and dermatomyositis. Lancet 2003;362:971–82.
8. Rider LG, Miller FW. Idiopathic inflammatory muscle disease: clinical aspects. Baillieres Best Pract Res Clin Rheumatol 2000;14:37–54.
9. Fardet L, Dupuy A, Gain M, Kettaneh A, Chérin P, Bachelez H, et al. Factors associated with underlying malignancy in a retrospective cohort of 121 patients with dermatomyositis. Medicine (Baltimore) 2009;88:91–7.
10. Emslie-Smith AM, Arahata K, Engel AG. Major histocompatibility complex class I antigen expression, immunolocalization of interferon subtypes, and T cell-mediated cytotoxicity in myopathies. Hum Pathol 1989;20:224–31.
11. Pentsova E, Liu A, Rosenblum M, O'Reilly E, Chen X, Hormigo A. Gemcitabine induced myositis in patients with pancreatic cancer: case reports and topic review. J Neurooncol 2012;106:15-21.
12. Ardavanis AS, Ioannidis GN, Rigatos GA. Acute Myopathy in a Patient with Lung Adenocarcinoma Treated with Gemcitabine and Docetaxel. Anticancer Res 2005;25:523-5.
13. Wong KM, Khanna M, Wu RC, Hedley DW. Gemcitabine-Induced Acute Myositis in a Patient with Duodenal Cancer. Clin Oncol 2011;23:492-3.
14. Airio A, Pukkala E, Isomäki H. Elevated cancer incidence in patients with dermatomyositis: a population based study. J Rheumatol 1995;22:1300–3.
15. Bonnetblanc JM, Bernard P, Fayol J. Dermatomyositis and malignancy. A multicenter cooperative study. Dermatologica 1990;180:212–6.