CASE REPORT
Hypervascular Lesion in the Head of the Pancreas. Preoperative Angiography and Selective Embolization Results in Bloodless Operation
Offir Ben-Ishay1, Revital Linder1, Amos Ofer2, Eli Kakiashvili1,3, Yoram Kluger1,3
1Department of General Surgery, 2Division of Invasive Radiology, Department of Diagnostic Radiology, and 3Division of Surgical Oncology, Department of General Surgery; Rambam Health Care Center. Haifa, Israel
ABSTRACT
Context Pancreatic neuroendocrine tumors (PNETs) are rare tumors. These tumors are hypervascular in nature. Their surgical management is well described and practiced. Although hypervascular in their nature, preoperative angioembolization of the primary tumor is usually not indicated. Case report We describe a case of an extremely hypervascular PNET in the head of the pancreas that was managed with preoperative angioembolization that was followed by a Whipple operation that resulted in excellent recovery. Discussion Pre-operative angioembolization of pancreatic tumors, although previously reported, is exceedingly rare. The use of this technique prior to surgery is feasible and may result in bloodless surgery and better outcome.
INTRODUCTION
Non-functioning pancreatic neuroendocrine tumors (PNETs) are relatively rare tumors of the pancreas. They represent only 1-2% of all pancreatic tumors [1, 2]. Most PNETs are solid and hyper vascular in nature and are diagnosed in a relatively late stage of the disease. The management of non-functioning PNET is well documented. The use of pre-operative angioembolization for hypervascular PNET is not indicated. Although hypervascular in nature the experienced pancreatic surgeon will tackle these tumor without extra difficulties.
We report a case of hypervascularization of a lesion of the head of the pancreas that was treated with preoperative angioembolization that resulted in bloodless surgery.
CASE REPORT
A previously healthy 41-year-old male presented to the clinic with chief complaint of non-specific upper abdominal pain and discomfort. Lately he experienced postprandial diarrhea and an 8 kg loss of weight. Physical examination was unremarkable. Total bilirubin, alkaline phosphatase, GGT and hepatic enzymes were within normal limits, as were plasma CA19-9, CEA and chromogranin A.
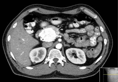
Ultrasound of the upper abdomen revealed a 5 cm hypoechoic lesion of the head of the pancreas. No dilation of the bile ducts was noticed. Computerized tomography with cross sectional imaging of the abdomen revealed a 6.1x5.4 cm lesion in the head of the pancreas. The lesion was enhanced in early arterial phase (Figure 1) and washout during the portal phase. The lesion did not cause dilation of neither the intra- nor extra-hepatic bile ducts. Although the tumor displaced the superior mesenteric artery and the portal vein, there was a clear plane between the lesion and the vasculature. Endoscopic ultrasound revealed the aforementioned lesion with no vascular involvement. Due to the extreme hypervascularity of the lesion it was elected not to biopsy the tumor.

|
Figure 1. Computerized tomography in early arterial phase showing a hypervascular lesion of the head of the pancreas (white arrow). |
In order to increase patient safety during surgery, an arterial diagnostic and therapeutic angiography was elected. Angiography showed the extreme hypervascularization of the lesion (Figure 2a). The tumor was supplied by the anterior and posterior branches of the superior pancreaticoduodenal arteries and the dorsal pancreatic artery. It was noticeable that the gastroduodenal artery was large in diameter, larger than the common hepatic artery. A “steal like syndrome” due to the hypervascularization of the lesion resulted in the enlargement of the gastroduodenal artery with the resultant of reduced size of the right and left hepatic arteries. The dorsal pancreatic artery was approached selectively through the superior mesenteric artery and embolized with coils along side with the main superior pancreaticoduodenal artery. The tumor blood supply was still maintained by a small branch of the posterior pancreaticoduodenal artery (Figure 2b).

|
Figure 2. a. Transarterial selective angiography of the celiac axis, showing a hypervascular lesion of the head of the pancreas supplied by the posterior and anterior branches of the superior pancreaticoduodenal, the dorsal pancreaticoduodenal (DPD), and a small branch of the inferior pancreaticoduodenal (IPD). Of note is the large size of the gastroduodenal artery relatively to the proper hepatic artery (PHA) caused by “steal like syndrome”. b. The superior and inferior pancreaticoduodenal branches were selectively embolized with coils. CA: celiac axis; CHA: common hepatic artery; SMA: superior mesenteric artery |
The patient was than operated. A large tumor occupying the head of the pancreas was found. Whipple procedure was performed. The operation was bloodless and the large arteries emolized with coils during angiography were easily identified secured and ligated. Postoperative course was uneventful and the patient was discharged home on the 9th postoperative day.
Pathology report revealed a well differentiated neuroendocrine tumor with oncocytic features. Tumor cells stained positive for keratin, chromogranin and synaptophysin. Ki67 proliferation index was 1%. Only 1 mitosis in 10 high power fields was observed. Eighteen lymph nodes were harvested all showed no evidence metastasis.
DISCUSSION
PNETs are neoplasms that arise from the endocrine tissue of the pancreas. These tumors were previously known as islet cells tumors. PNETs are classified as functioning or non-functioning tumors. Non-functioning tumors are typically larger in size at diagnosis. Although PNETs are known to be hypervascular in nature, an extreme hypervascularization, such as that observed in our patient, is rare.
Preoperative angioembolization of hypervascular tumors is well documented for renal cell carcinoma [3, 4, 5], spinal tumors and osseous renal cell carcinoma metastasis [6, 7, 8, 9, 10, 11, 12]. This strategy was proven safe and may result in decrease risk of bleeding during surgery and increase operative safety. Preoperative angioembolization for liver metastasis of PNET was previously described [13]. Preoperative embolization of primary pancreatic cancer was rarely described in the English literature. Hirose et al. reported a giant tumor safely resected after preoperative angioembolization [14]. Preoperative angioembolization of the hepatic artery prior to en block celiac axis resection for pancreatic body cancer was also reported [15]. We describe preoperative angioembolization of an extremely hypervascular PNET of the head of the pancreas that lead to a “steal like syndrome” of the hepatic artery. Of note are the hypervascularity of the tumor and the size of its arterial supply in comparison to the hepatic arteries (Figure 2a). The multiple arterial supplies were safely embolized and followed by bloodless surgery and good recovery.
We conclude that meticulous preoperative vascular assessment prior to pancreatic surgery is of utmost importance. Hypervascular tumor may be safely managed with preoperative angioembolization and result in bloodless surgery.
Received August 15th, 2012 - Accepted September 21st, 2012
Key words Embolization, Therapeutic; Neuroendocrine Tumors; Pancreas
Conflicts of interests The authors have no potential conflict of interests
Correspondence
Offir
Ben-Ishay
Department of General of Surgery
Rambam Health Care Campus
6 Ha’Aliya Street
POB 9602
Haifa 31096
Israel
Phone: +972-50.206.3177
Fax: +972-4.854.2231
E-mail: o_ben-ishay@rambam.health.gov.il
References
1. Klöppel G, Perren A, Heitz PU. The gastroenteropancreatic neuroendocrine cell system and its tumors: the WHO classification. Ann N Y Acad Sci 2004; 1014:13-27.
2. Klimstra DS. Nonductal neoplasms of the pancreas. Mod Pathol 2007; 20(Suppl 1):S94-112.
3. Bakal C, Cynamor J, Lakritz PS, Sprayregaa S. Value of preoperative renal artery embolization in reducing transfusion requirements during nephrectomy for renal cell carcinoma. J Vasc Interv Radiol 1993; 4:727-31.
4. Kalman D, Eberhard V. The role of arterial embolization in renal cell carcinoma. Scand J Urol Nephrol 1999; 33:162-70.
5. Zielinski H, Szmigeilski S, Petrovich Z. Comparison of preoperative embolization followed by radical nephrectomy alone for renal cell carcinoma. Am J Clin Oncol 2000; 23:6-12.
6. Sun S, Lang EV. Bone metastases for renal cell carcinoma: preoperative embolization. J Vasc Interv Radiol 1998; 9:263-9.
7. Gellad FE, Sadato N, Numasuchi Y, Leure AN. Vascular metastatic lesions of the spine: preoperative embolization. Radiology 1990; 176:683-8.
8. Chatziioannou AN, Johnson ME, Preumaticos SG, Lawrence DD, Carasco CH. Preoperative embolization of bone metastases from renal cell carcinoma. Eur Radiol 2000; 10:593-6.
9. Breslau J, Eskridge J M. Preoperative embolization of spinal tumors. J Vasc Interv Radiol1995; 6:871-5.
10. Olerud C, Joneson H Jr, Lofbog AM, Horelius LE, Sjostrom L. Embolization of spinal metastases reduces perioperative blood loss. 21 patients operated on for renal cell carcinoma. Acta Orthop Scand 1993; 64:9-12.
11. Roscoe MW, McBrown RJ, St Louis E, Grossman H, Perna R. Preoperative embolization in the treatment of osseous metastases from renal cell carcinoma. Clin Orthop 1989; 238:302-7.
12. Manke C. Spinal metastases from renal cell carcinoma: effect of preoperative particle embolization on intraoperative blood loss. AJNR Am J Neuroradiol 2001; 22:997-1003.
13. Gupta S, Johnson MM, Murthy R, Ahrar K, Wallace MJ, Madoff DC, et al. Hepatic arterial embolization and chemoembolization for the treatment of patients with metastatic neuroendocrine tumors: variables affecting response rates and survival. Cancer 2005; 104:1590-602.
14. Hirose A, Tajima H, Okamoto K, Makino I, Kinoshita J, Hayashi H, et al. A safely resected case of hypervascular pancreatic giant tumor after preoperative arterial embolization. Gan To Kagaku Ryoho 2011; 38:2451-3.
15. Takasaka I, Kawai N, Sato M, Tanihata H, Sonomura T, Minamiguchi H, et al. Preoperative microcoil embolization of the common hepatic artery for pancreatic body cancer. World J Gastroenterol 2012; 18:1940-5.