CASE REPORT
Solid Pseudopapillary Tumor of the Pancreas in a Child: Imaging Findings with Diffusion-Weighted MR Imaging
Hálio Rodrigues-Duarte1, Helena Torrão2, Paulo Coelho3, Maria Noruegas3, Maria Sanches3
1Department of Radiology, Portuguese Institute of Oncology of Oporto, “Francisco Gentil”, EPE. Oporto, Portugal. 2Department of Radiology, “Escala Braga” Hospital. Braga, Portugal. 3Department of Radiology, Pediatric Hospital, Coimbra University Hospital. Coimbra, Portugal
ABSTRACT
Context Solid pseudopapillary tumor of the pancreas is a rare tumor more common in young girls and rare in males. Case report We present a case of a solid pseudopapillary tumor of the pancreas in a 13-year-old boy, with typical imaging features. Conclusions Our case report specifically illustrates the potential of diffusion-weighted imaging findings on solid pseudopapillary tumor in pediatric patients.
INTRODUCTION
Solid pseudopapillary tumor of the pancreas is a rare exocrine tumor, described for the first time by Franz in 1959 [1]. Solid pseudopapillary tumor of the pancreas predominates in young Asian women in the second or third decade of life, while it is uncommon in male subjects [2]. We report a case of solid pseudopapillary tumor in which the preoperative clinical and imaging findings strongly suggested the diagnosis. A few reports of imaging features of solid pseudopapillary tumor in children are reported in the literature but this is probably the first case that includes diffusion-weighted MR imaging (DW-MRI).
CASE REPORT
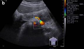
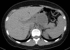
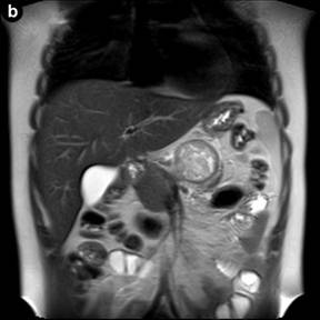
A 13-year-old boy referring postprandial fullness and nausea for the past three months. Weight loss and pain in the upper quadrants of the abdomen recently occurred. Blood workup, including tumor markers, was unremarkable. Abdominal ultrasound (Figure 1) showed a well-circumscribed heterogeneous hypoechoic mass in the region of the pancreatic body/tail. Unenhanced CT (Figure 2) confirmed the pancreatic lesion with a slightly heterogeneous density. No calcifications were identified. T2-weighted MR images (Figure 3ab) showed a 4.8 cm heterogeneously hyperintense lesion in the pancreas, showing a hypointense rim. This rim was also hypointense on T1-weighted images (Figure 3c), consistent with the presence of a tumoral fibrous pseudocapsule. T1-weighted images also showed some internal areas of increased signal intensity compatible with hemorrhage.


|
Figure 1. a. Transverse upper abdominal ultrasonography: hypoechoic heterogeneous mass of the pancreas. b. Doppler ultrasonography showing no apparent tumoral vascularization. |

|
Figure 2. Unenhanced axial abdominal CT scan: hypodense, slightly heterogeneous mass of the body/tail of the pancreas, without calcifications. |



|
Figure 3. Axial fat-supressed (a.) and coronal (b.) T2-weighted MR images show a well-marginated lesion, heterogeneously hyperintense, in the body/tail of the pancreas, with a hypointense fibrous pseudocapsule. c. On an axial unenhanced fat-suppressed T1-weighted MR image the fibrous pseudocapsule is also hypointense (white arrow) and there is an internal peripheral high signal intensity rim (black arrow), a finding consistent with hemorrhage. |
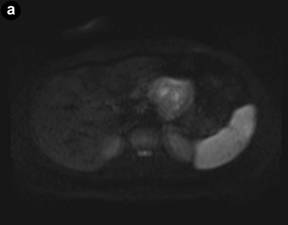
DW-MRI (Figure 4a) was performed (using b values of 50, 400 and 800) and the mean apparent diffusion coefficient (ADC) map was calculated (Figure 4b). The lesion presented a relatively high ADC value (1.8 x10-3 mm2/sec) compared to the ADC of the normal pancreatic gland (1.4 x10-3 mm2/sec), although there were some intralesional small areas of relatively low signal (minimum values of 1.3 x10-3 mm2/sec). T2/DW fusion imaging was performed (Figure 4c). Gadolinium-enhanced MR imaging (Figure 5) showed early peripheral enhancement of the fibrous pseudocapsule. No central contrast enhancement was observed.
Based on the previous imaging findings the diagnosis of solid pseudopapillary tumor was suggested and distal pancreatectomy was performed. Pathology showed a neoplasm with extensive necrosis, with preserved tissue found in the tumor periphery under the fibrous capsule. Central aggregates of neoplastic cells with a pseudopapillary pattern were also observed and the diagnosis of solid pseudopapillary tumor was confirmed. There was no lymph node involvement.



|
Figure 4. a. Axial diffusion-weighted image (b value of 800 sec/mm2) shows a lesion with low signal intensity with some small central areas of higher signal intensity from restricted diffusion. b. Apparent diffusion coefficient mean value of the lesion is 1.8x10-3 mm2/sec with the central hypointense areas having a minimum value of 1.3x10-3 mm2/sec (arrows). c. T2-weighted and diffusion-weighted imaging were fused displaying a colored map of abnormal diffusion parameters. |

|
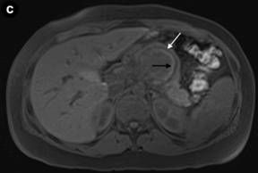
Figure 5. Axial contrast-enhanced fat-suppressed T1-weighted MR image shows peripheral enhancement of the neoplasm. |
DISCUSSION
Clinical presentations of solid pseudopapillary tumor of the pancreas range from asymptomatic “incidental” to unclear clinical features like abdominal pain or discomfort, poor appetite and nausea, which are related to tumor compression on adjacent organs [2].
Solid pseudopapillary tumor of the pancreas is a low malignant potential exocrine epithelial tumor composed of monomorphous cells forming solid and pseudopapillary structures, frequently with hemorrhagic-cystic changes [3]. The tumor varies from solid to nearly completely cystic, with the majority composed of a mixture of the two components [4]. Occasionally, the tumors are nearly completely cystic with a small amount of residual solid tumor at the periphery [4].
It is a well-encapsulated solitary tumor, round to ovoid and occur throughout the pancreas [2, 4]. The tumor is usually large at presentation [4] but it generally displaces surrounding structures rather than invading them [5]. Because of its softness, solid pseudopapillary tumor rarely causes bile duct or pancreatic duct obstruction, even when it is located in the head of the pancreas [5].
The imaging features of solid pseudopapillary tumor reflect the pathologic findings of cystic and solid components, intratumoral hemorrhage, a fibrous capsule, and, less commonly, calcifications [4].
On ultrasound, solid pseudopapillary tumor presents as a well-circumscribed heterogeneous mass surrounded by a pseudocapsule of compressed pancreatic tissues and reactive fibrosis, sometimes with central cystic areas of necrosis [6]. The capsule may be visualized as an echogenic or, less commonly, hypoechoic rim at ultrasound and typically hypoattenuating at CT [4]. Unenhanced CT may identify hemorrhage and tiny calcifications [6, 7].
MRI should be considered the best imaging technique for children due to the absence of radiation and its improved capacity for visualizing tumor components [6]. At MR imaging, T1-weighted images show a surrounding hypointense fibrous pseudocapsule and high signal intensity areas corresponding to internal hemorrhage, distinguishing features of solid pseudopapillary tumor [4, 6, 7]. Similar dark rim is also seen on T2-weighted images corresponding to the pseudocapsule [4]. The solid portions of the tumor are usually iso- to hypo-intense to pancreas on T1-weighted images and slightly heterogeneously hyperintense on T2-weighted images [4, 7].
The most common enhancement pattern of solid pseudopapillary tumor consists of early, peripheral enhancement of the tumoral pseudocapsule during the arterial phase, compared with the normal pancreas and the lesion itself [4, 5]. In some cases there is a progressive but heterogeneous fill-in of the lesion during the portal venous and equilibrium phases [5], showing less enhancement that the adjacent normal pancreas [4] consistent with a hypovascular tumor.
CONCLUSIONS
Our case report specifically illustrates the potential of DW-MRI findings in solid pseudopapillary neoplasms in pediatric patients. Wang et al. [8] describe DW-MRI in pancreatic lesions in adult patients and suggest that the components of the neoplasm (solid, cystic or hemorrhagic) determines the degree of diffusion and the ADC values, with the solid components accounting for the relatively low ADC values. In our case multiple b value DW-MRI allowed to discriminate better than T2-weighted or contrast-enhanced series the different components of the lesion according to signal behavior along with the increase in b value. Areas with low ADC values (compared to both normal pancreas and necrotic areas of the lesion) correspond probably to areas of increased cellularity. There are few reports about DW-MRI in cystic pancreatic neoplasms [8], so it remains to be established the role of DW-MRI to discriminate between benign and malignant lesions. Nevertheless, our findings emphasize the potential of DW-MRI to substitute contrast-enhanced imaging, particularly in the pediatric population.
Received August 20th, 2012 – Accepted December 3rd, 2012
Key words Diffusion Magnetic Resonance Imaging; Pancreatic Diseases /diagnosis; Pancreatic Neoplasms
Abbreviations ADC: apparent diffusion coefficient; DW: diffusion-weighted
Conflict of interest There is no conflict of interest with any financial organization regarding the material discussed in the manuscript
Correspondence
Hálio Rodrigues Duarte
Department of Radiology
Instituto Português de Oncologia do Porto Francisco Gentil, EPE
Rua Dr. António Bernardino de Almeida
4200-072 Oporto
Portugal
Phone: +351-22.508.4000
Fax: +351-22.508.4001
E-mail: halioduarte@gmail.com
References
1. Franz V. Papillary tumors of the pancreas: benign or malignant? In: Frantz VK. Atlas of tumor pathology. Washington DC: US Armed Forces Institute of Pathology, 1959:32–3.
2. Yu PF, Hu ZH, Wang XB, Guo JM, Cheng XD, Zhang YL, Xu Q. Solid pseudopapillary tumor of the pancreas: A review of 553 cases in Chinese literature. World Journal of Gastroenterology 2010; 16:1209-14. [PMID:20222163].
3. Group WHOW. WHO histological typing of tumours of the exocrine pancreas. In: Hamilton S, Aaltonen L, eds. WHO classification of tumours: pathology and genetics of tumours of the digestive system. Lyon, France: IARC Press, 1996; 220.
4. Chung EM, Travis MD, Conran RM. Pancreatic Tumors in Children: Radiologic-Pathologic Correlation. RadioGraphics 2006; 26:1211–38. [PMID:16844942].
5. Cantisani V, Mortele KJ, Levy A, Glickman JN, Ricci P, Passariello R, et al. MR Imaging Features of Solid Pseudopapillar Tumor of the Pancreas in Adult and Pediatric Patients. American Journal of Roentgenology 2003; 181:395-401. [PMID:12876017].
6. Al-Qahtani S, Gudinchet F, Laswed T, Schnyder P, Schmidt S, Osterheld MC, Alamo L. Solid pseudopapillary tumor of the pancreas in children: typical radiological findings and pathological correlation. Clinical Imaging 2010; 34:152–6. [PMID:20189082].
7. Moholkar S, Sebire NJ, Roebuck DJ. Solid-pseudopapillary neoplasm of the pancreas: radiological-pathological correlation. Pediatric Radiology 2005; 35: 819–22. [PMID:15864574].
8. Wang Y, Miller FH, Chen ZE, Merrick L, Mortele KJ, Hoff FL, et al. Diffusion-weighted MR imaging of solid and cystic lesions of the pancreas. RadioGraphics 2011; 31:E47-64. [PMID:21721197].