CASE REPORT
Heterotopic Pancreas Presenting as Suspicious Mass in the Gallbladder
Amélie Foucault, Hubert Veilleux, Guillaume Martel, Réal Lapointe, Franck Vandenbroucke-Menu
Unit of Hepatobiliary, Pancreatic and Liver Transplantation Surgery, University Hospital of Montreal. Montreal, QC, Canada
ABSTRACT
Heterotopic pancreas is a rare entity, particularly within the gallbladder. We present the case of a 72-year-old woman who underwent open cholecystectomy for suspicious of gallbladder cancer, and instead was found to have heterotopic pancreas on final pathology.
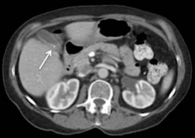
A 72-year-old woman presented with right upper quadrant pain, nausea, and fatigue for the last six months. She underwent an abdominal ultrasound and CT scan that demonstrated a 1 cm thickening of the posterior gallbladder wall and a 2 mm associated punctate calcification (Figure 1). CEA and CA 19-9 levels were normal. She was referred to our center for consideration for radical cholecystectomy and central hepatectomy for a suspicion of gallbladder cancer.

|
Figure 1. CT scan showing punctate calcification within the thickened posterior wall of the gallbladder (arrow). |
At surgery, the gallbladder had a yellow tint and its posterior wall was thickened, but it demonstrated no evidence of liver infiltration. Given that the wall thickening appeared to originate within the submucosa, the decision was made to proceed to simple cholecystectomy (Figure 2). A frozen section demonstrated pancreatic mucosa with no evidence of neoplastic transformation (Figure 3). The final pathology report confirmed the diagnosis of heterotopic pancreas. There were no postoperative complications and the patient was discharged a few days later.

|
Figure 2. Gallbladder specimen with heterotopic pancreas (arrow). |

|
Figure 3. Hematoxylin phloxine saffron stain. Low enhancement (10x) histological slide of the specimen: gallbladder tissue (GB) in the lower right corner and pancreatic tissue (HP) at left of the slide. |
Heterotopic pancreas is defined as pancreatic tissue not connected to and distinct from the pancreatic gland [1]. It is a rare congenital anomaly that is discovered incidentally in 0.2% of patients undergoing surgery [1]. Heterotopic pancreas is most commonly found in the stomach, duodenum or proximal jejunum [2]. Up to 2011, only 33 cases had been described within the gallbladder [3]. The first reported case ever described of heterotopic pancreas in the gallbladder was published in 1916 by Otschkin [4]. While hypotheses have been proposed, no consensus exists regarding the physiopathology of this rare entity. Typically, patients would be expected to present with acute or chronic cholecystitis secondary to inflammation produced by the release of pancreatic enzymes [5]. However, the current case is distinct in that the patient had no symptoms of cholecystitis, but presented instead with a work-up highly suggestive of gallbladder cancer.
The differential diagnosis of gallbladder calcifications includes gallbladder carcinoma, gallstones, porcelain gallbladder, or gallbladder carcinosarcoma [6]. Heterotopic pancreas has never been described as part of the differential diagnosis of this clinical presentation.
The diagnosis of heterotopic pancreas is histological, confirmed by the sampling of a circumscribed lesion, usually firm and yellowish in nature. It can present as total or incomplete heterotopia depending on the specific elements of pancreas that are found within the tissue [2]. Neoplastic transformation may occur but has never been reported in the gallbladder.
In conclusion, to our knowledge, this is the first case of gallbladder heterotopic pancreas presenting with a mass and calcification and mimicking a neoplasm. We therefore conclude that heterotopic pancreas should be considered as part of the differential diagnosis of a gallbladder mass.
Received August 25th, 2012 – Accepted September 28th, 2012
Key words Choristoma; Gallbladder Diseases; Pancreas
Conflict of interest No conflict of interest notification
Correspondence
Franck
Vandenbroucke-Menu
Service de Chirurgie Hépatobiliaire, Pancréatique et de Transplantation Hépatique
Centre Hospitalier de l’Université de Montréal
1058 rue St-Denis, room 6303B
Montreal, QC, H2X3J4
Canada
Phone: +1-514.890.8000 #36.146
Fax: +1-514.412.7380
E-mail: franck.vandenbroucke@umontreal.ca
1. Elpek G, Bozova S, Kupesiz G, et al. An unusual cause of cholecystitis: heterotopic pancreatic tissue in the gallbladder. World J Gastroenterol. 2007;13:313-315.
2. Gucer H, Bagci P, Coskunoglu E, et al. Heterotopic pancreatic tissue located in the gallbladder wall. A case report. JOP. 2011;12:152-154.
3. Klimis T, Roukounakis N, Kafetzis I, et al. Heterotopic pancreas of the gallbladder associated with chronic cholecystitis and high levels of amylasuria. JOP. 2011;12:458-460.
4. Al-Shraim M, Rabie M, Elhakeem H, et al. Pancreatic heterotopia in the gallbladder associated with chronic cholecystitis: a rare combination. JOP. 2010;11:464-466.
5. Qizilbash AH. Acute pancreatitis occurring in heterotopic pancreatic tissue in the gallbladder. Can J Surg 1976; 19:413-4.
6. Ishida J, Ajiki T, Hara S, et al. Gallbladder calcification leads to discovery of carcinosarcoma of the gallbladder. Surgery 2011 [Epub ahead of print].