ORIGINAL ARTICLE
The Radiological Management of Pseudoaneurysms Complicating Pancreatitis
Antonella De Rosa2, Dhanwant Gomez2, John G Pollock1, Peter Bungay1, Mario De Nunzio1, Richard I Hall2, Peter Thurley1
Departments of 1Radiology and 2Hepatobiliary Surgery and Pancreatic Surgery, Royal Derby Hospital, Derby Hospitals NHS Foundation Trust. Derby, United Kingdom
ABSTRACT
Context Pseudoaneurysms associated with pancreatitis are rare, and bleeding pseudoaneurysms are associated with a high mortality. Objective The aim of this study was to report the outcomes of endovascular and percutaneous therapy in the management of pseudoaneurysms secondary to pancreatitis. Patients Patients who underwent angiography for pseudoaneurysms associated with pancreatitis from 2005 to 2011 were identified from the angiography database. Main outcome measures Patient demographics, clinical presentation, radiological findings, treatment, and outcomes were retrospectively reviewed. Results Nineteen pseudoaneurysms associated with pancreatitis in 13 patients were identified. The diagnosis of a pseudoaneurysm was made by computerised tomography angiography in seven patients, followed by portal venous phase contrast enhanced CT (n=4), duplex ultrasound (n=1) and angiography (n=1). At angiography, coil embolisation was attempted in 11 patients with an initial success rate of 82% (n=9). One patient underwent successful embolisation with percutaneous thrombin injection. The recurrence rate following initial successful embolisation was 11% (n=1). There were no episodes of re-bleeding following embolisation but re-bleeding following thrombin injection was observed in one case. The morbidity and mortality rate in the 12 patients that were successfully treated was 25% (n=3) and 8% (n=1), respectively. All 12 patients that were successfully treated demonstrated radiological resolution of their pseudoaneurysms, with a median follow-up of 20 months. Conclusion Endovascular embolisation is a suitable first-line management strategy associated with low recurrence rates. The role of percutaneous thrombin injection is yet to be defined.
INTRODUCTION
The incidence of acute pancreatitis is increasing, with an overall incidence of 22.4 per 100,000 population in England, and hospital admission rate of 9.6 per year per 100,000 population [1, 2]. The majority of patients have mild acute pancreatitis which is self-limiting and respond to conservative management. Approximately 20% of patients have acute severe pancreatitis which is characterised by the presence of the persistent systemic inflammatory response syndrome and/or organ failure [3].
Vascular complications in pancreatitis range from asymptomatic venous thrombosis to catastrophic arterial bleeding. Early recognition and investigation is imperative, as prompt diagnosis and timely interventional procedures can potentially reduce mortality. Massive haemorrhage secondary to necrotizing pancreatitis is a result of ruptured pseudoaneurysms in 60% of cases [4].
Pseudoaneurysms associated with pancreatitis occur due to vessel wall erosion by enzyme-rich peri-pancreatic fluid released by damaged acinar cells, or contained within an adjacent pseudocyst. The incidence of pseudoaneurysm formation in chronic pancreatitis ranges between 10% and 17% [5, 6, 7, 8, 9]. In comparison, the incidence of pseudoaneurysms in acute pancreatitis is far less, and not accurately defined in the literature. Pseudoaneurysm rupture is rare, and haemorrhage may occur into the peritoneal cavity, retroperitoneum, gastrointestinal tract, into a pseudocyst, or into the pancreatic duct (haemosuccus pancreaticus) [10]. Pseudoaneurysm rupture associated with pancreatitis has a high mortality rate of up to 40% [11, 12], and is unrelated to the size of the pseudoaneurysm and the severity of pancreatitis [13].
Historically, pseudoaneurysms secondary to pancreatitis were treated surgically with an associated mortality of approximately 56% [13, 14, 15]. Due to advances in interventional radiological techniques, the paradigm has largely shifted towards endovascular treatment. The aim of this study was to report the outcomes of endovascular and percutaneous therapy in the management of pseudoaneurysms secondary to pancreatitis.
METHODS
Patients
The angiography database was used to identify all patients undergoing angiography for suspected bleeding secondary to pancreatitis between April 2005 and August 2011. Patient demographics, history, clinical presentation, underlying aetiology of pancreatitis, radiological findings, management and outcomes were retrospectively reviewed. Inclusion criteria were the presence of a pseudoaneurysm in patients with an underlying diagnosis of pancreatitis and evidence of bleeding. The median age was 57 years (range: 21-86 years), and 11 patients were male (84.6%). The most common aetiology of pancreatitis was alcohol in five patients (38.5%), followed by idiopathic (n=4, 30.8%), gallstones (n=3, 23.1%), and ethylene glycol poisoning (n=1, 7.7%). With respect to ASA status, nine patients were classed as ASA 2 (69.2%), while the remaining four patients were ASA 3 (30.8%). Nine patients had acute pancreatitis or acute on chronic pancreatitis (69.2%) as suggested by the increased amylase levels, while four patients had chronic pancreatitis (30.8%). The most common presentation was abdominal pain (n=8, 61.5%) followed by symptoms or signs of bleeding (n=5, 38.5%: gastrointestinal bleeding and anaemia). At presentation, the median haemoglobin was 8.7 g/dL (reference range: 6-11 g/dL). Five patients had evidence of pancreatic necrosis on cross-sectional imaging and ten patients spent a median of 4 days (range: 1-12 days) in the intensive care unit.
Diagnostic Modality
The diagnosis of a pseudoaneurysm was made by arterial phase computerized tomography (CT) in seven patients (53.8%), followed by portal venous phase contrast enhanced CT (PVPCT; n=4, 30.8%), duplex ultrasound (n=1, 7.7%) and catheter angiography (n=1, 7.7%; Figure 1). PVPCT failed to detect small pseudoaneurysms in a total of five out of nine patients (55.6%) which were later diagnosed on arterial phase CT. The diagnosis of a pseudoaneurysm was achieved in all patients who had an arterial phase CT. The site of the pseudoaneurysms are shown in Table 1, with the pancreaticoduodenal arteries being the most common site in this cohort (n=6, 46.1%); two patients (15.4%) had more than one pseudoaneurysm (2 and 6 pseudoaneurysms, respectively) accounting for a total of 19 pseudoaneurysms secondary to pancreatitis identified in the 13 patients.

|
Figure 1. Investigations of patients with suspected pseudoaneurysms used in this series. CTA: arterial phase computed tomography; PVPCT: portal venous phase contrast enhanced computed tomography; US ultrasound |
|
Table 1. Site of the pseudoaneurysms in the 13 patients included in this study. |
|
|
Patients |
Site |
|
#1 |
Gastric branch of the distal splenic artery |
|
#2 |
Branch of the left gastric artery |
|
#3 |
Superior pancreaticoduodenal artery |
|
#4 |
Inferior pancreaticoduodenal artery |
|
#5 |
Branch of the dorsal pancreatic artery |
|
#6 |
Terminal branch of the splenic artery |
|
#7 |
Terminal branch of the splenic artery |
|
#8 |
Branch of the inferior pancreaticoduodenal artery |
|
#9 |
Short gastric artery arising from the mid splenic artery |
|
#10 |
Short gastric artery arising from the distal splenic artery |
|
#11 |
Branch of the left gastric artery Branch of the inferior pancreaticoduodenal artery |
|
#12 |
Branch of the dorsal pancreatic artery |
|
#13 |
Gastroduodenal artery Superior pancreaticoduodenal arteries (n=2) Small pseudoaneurysms arising within the pancreas from small parenchymal branches (n=3) |
Management
All 13 patients underwent mesenteric angiography with an intention to treat with endovascular embolisation. Access was gained via the right common femoral artery in all patients. Two patients (15.4%) underwent a second angiographic procedure. Access was gained via the left brachial artery in one patient to allow access of a pseudoaneurysm of a small pancreatic branch of the inferior pancreaticoduodenal artery. Brachial artery access facilitates easier cannulation of branches arising from the superior mesenteric artery as this route is less tortuous. In another patient, catheterisation of both the right and left common femoral arteries was necessary because of underlying median arcuate ligament syndrome with retrograde flow through the gastro-duodenal artery into the hepatic artery via the superior mesenteric artery; simultaneous catheterisation of the superior mesenteric artery and coeliac axis was required for successful embolisation.
At angiography, transcatheter coil embolisation was attempted in 11 patients (84.6%). This was successful at the first attempt in nine patients (81.8%) and failed in two patients (18.2%). One of the patients that were successfully treated had six pseudoaneurysms, all of which were successfully embolised. One patient, who had initially been successfully embolised, had recurrence of their pseudoaneurysm four days later and was subsequently re-embolised without further complications (Figure 2). Embolisation was not performed at angiography in two patients (15.4%) because the pseudoaneurysm had thrombosed spontaneously (n=1) or was technically inaccessible (n=1). The patient with a technically inaccessible pseudoaneurysm was successfully treated with percutaneous US-guided injection of 400 IU of human thrombin (Tisseel, Baxter, Norfolk, UK).

|
Figure 2. The outcomes of endovascular and percutaneous therapy of pseudoaneurysms in this study. |
Of the two patients that failed initial embolisation, one patient underwent angiography five days later, and the pseudoaneurysm thrombosed following repeated attempts at catheterisation. The other patient had two pseudoaneurysms and underwent percutaneous CT-guided injection with 4,500 IU of bovine thrombin (Bovine Thrombin, Biomed, Lublin, Poland). Unfortunately, this patient had early recurrence and re-bleed within 24 hours.
None of the patients included in this study underwent surgery.
Investigations
Patients included in this study were investigated with computerised tomography (CT). Portal venous phase contrast enhanced CT (PVPCT) was performed following a delay of 70 seconds after injection of 75 mL of intravenous iodinated contrast. Arterial phase CT was performed using 75 mL of intravenous contrast and automatic bolus tracking software (Surestart, Toshiba Medical Systems, Tokyo, Japan). The region of interest was placed over the upper abdominal aorta. Real time low dose serial monitoring scans were used to identify contrast within the aorta which then triggered the arterial phase scan and 1mm overlapping slices were obtained.
Mesenteric Angiography and Embolisation
All patients underwent angiography by a consultant interventional radiologist (P.T., P.B., J.G.P., M.D.). A variety of 4 Fr or 5 Fr mother catheters were used (Cobra or Simmons 1, Cordis, Miami Lakes, FL, USA; SOS Omni, AngioDynamics, Cambridge, UK) for initial angiography. In cases where access to smaller vessels was required, a micro-catheter (Progreat, Terumo, Tokyo, Japan) was used. Embolisation of the feeding vessel, and where necessary the draining vessel, was performed using either 0.035” or 0.018” fibered coils (Boston Scientific, Natick, MA, USA). No covered stents were used. Successful embolisation was defined as the absence of filling of the pseudoaneurysm at completion angiography, and clinical resolution of bleeding.
ETHICS
Informed consent and Institutional Review Board approval were not required because of the retrospective nature of this study. The patients were treated according to the ethical guidelines of the “World Medical Association (WMA) Declaration of Helsinki - Ethical Principles for Medical Research Involving Human Subjects” adopted by the 18th WMA General Assembly, Helsinki, Finland, June 1964 and amended by the 59th WMA General Assembly, Seoul, South Korea, October 2008.
STATISTICS
Descriptive statistics only were evaluated: absolute and relative frequencies, median and range.
RESULTS
Outcome
All 12 patients that were successfully treated had a follow-up contrast enhanced PVPCT during hospital admission over a median of eight days (range: 1-28 days). Following discharge, further imaging was performed and radiological resolution of the pseudoaneurysm was confirmed in 11 patients (arterial phase CT: n=8; PVPCT: n=2; duplex US: n=1; loss to follow-up: n=1).
The morbidity rate following coil embolisation was 25.0% (n=3). Splenic infarction following embolisation of the splenic artery occurred in one patient. Coil migration from the splenic artery to a branch of the right hepatic artery occurred in a further patient. The coil was left in-situ as there was no evidence of thrombosis of the other hepatic artery branches. One patient developed an infected haematoma adjacent to the pseudoaneurysm which was managed by US-guided percutaneous drainage.
The mortality rate in this cohort was 8.3% (n=1). Following failed transcatheter embolisation, this patient was treated with CT-guided injection of bovine thrombin, but subsequently re-bled and died of a massive pulmonary embolus 15 days after diagnosis. This patient had an underlying diagnosis of Ehlers-Danlos syndrome. Angiographic studies in patients with Ehlers-Danlos are recognised to be hazardous due to the friable nature of their arteries, and surgical intervention also carries a high risk of serious complications [16, 17].
Overall, all 12 patients demonstrated resolution of their pseudoaneurysms, either due to successful treatment or spontaneous resolution (Figure 2). The median follow-up after treatment was 20 months (range: 2-31 months).
DISCUSSION
Haemorrhage is a rare but potentially fatal complication in patients with pancreatitis, and often due to haemorrhage from non-pancreatic conditions such as gastritis, peptic ulcers, oesophageal varices or Mallory-Weiss tears. Bleeding pseudoaneurysms secondary to pancreatitis are an uncommon cause of haemorrhage and when it does occur it is usually into the peritoneal cavity rather than the gastrointestinal tract, making prompt and accurate diagnosis challenging [18, 19].
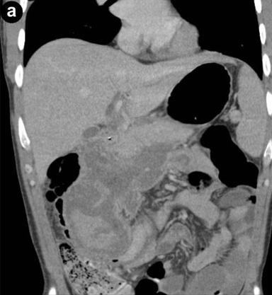
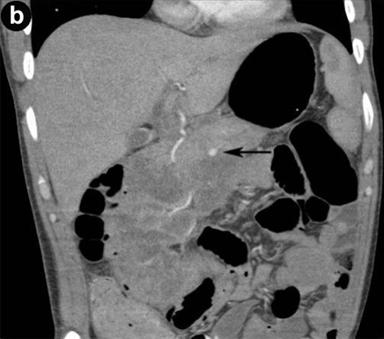
Duplex US and PVPCT are the most common first-line investigations in assessing acute pancreatitis. To enable detection of pseudoaneurysms, US examination must include pulsed or colour Doppler (duplex US) of all cystic masses to distinguish a pseudocyst from a pseudoaneurysm [20]. The sonographic appearance of a pseudoaneurysm changes when clot develops within its lumen rendering the diagnosis very difficult even with colour Doppler [21]. In the present series, US with colour Doppler failed to detect the presence of a pseudoaneurysm in two patients which were later diagnosed on PVPCT and arterial phase CT. Similar results have been observed in other studies, and most clinicians would conclude that the diagnostic value of Doppler US in the detection of pseudoaneurysms complicating pancreatitis is limited [22, 23]. Although PVPCT is a suitable non-invasive method for detecting pseudoaneurysms [22, 24, 25, 26], its role in the diagnosis of pseudoaneurysms is limited by its failure to identify smaller pseudoaneurysms [23, 27, 28]. In the present series, PVPCT failed to detect small pseudoaneurysms in five patients which were later diagnosed on arterial phase CT (Figure 3).


|
Figure 3. a. Portal venous phase contrast enhanced computed tomography (PVPCT) in a patient with a small pseudoaneurysm which is not demonstrated. b. Arterial phase computed tomography in the same patient demonstrates a small pseudoaneurysm (arrow). |
Arterial phase CT is a suitable first-line investigation for diagnosing pseudoaneurysms associated with pancreatitis with a similar sensitivity rate that of angiography [28, 29, 30]. In the present series, arterial phase CT detected all pseudoaneurysms when used as a first-line (n=2), second-line (n=4) and third-line investigation (n=1). Arterial phase CT has the additional benefit of planning further management by clearly demonstrating the arterial anatomy, providing a roadmap for further intervention. This allows for targeted visceral angiography as well as the identification of difficult cases prior to intervention. In this study, not all patients (n=3) underwent an arterial phase CT to confirm resolution of the pseudoaneurysm. One reason for this non-uniformity follow-up was due to the fact that two patients were embolised prior to 2007 when follow-up with arterial phase CT was not practiced routinely and one patient underwent a PVPCT to exclude an intra-abdominal collection where the pseudoaneurysm was shown to have resolved.
Conventional angiography has long been the gold standard for the detection of pseudoaneurysms secondary to pancreatitis [28, 31] with a high sensitivity and specificity [9, 11, 27, 32, 33, 34]. Angiography also permits immediate endovascular embolisation which is considered by many authors the treatment of choice [25, 26, 31, 33, 35], with a success rate ranging from 79% to 100% [9, 32, 36]. In the present study, the embolisation success rate was 82%. Although it is less invasive and has a lower morbidity and mortality rate than surgery, there are technical limitations such as difficulty in reaching the feeding vessel. In addition, endovascular-directed therapy is associated with rare, but potentially fatal complications, such as rupture of the pseudoaneurysm during embolisation [35] or perforation of the artery with the vascular catheter [32, 37]. Previous studies have reported re-bleeding rates ranging from 6.1% to 37% [38, 39], with an associated mortality as high as 33% [22]. Other recognised complications include splenic infarction and coil migration as observed in this case series. Splenic and intestinal necrosis [39, 40], vascular dissection, and misplaced stents [29] have also been reported. The present study reported a complication rate of 25%, in-line with other published studies [22, 38, 39]. Fibered coils were used to embolise the feeding vessels and if necessary, the draining vessels. Covered stents have been advocated in the management of pseudoaneurysms arising from larger vessels with the advantage of preserving arterial flow [41, 42, 43, 44]. Covered stents however require a higher profile and stiffer delivery system than does endovascular coil embolisation, with reduced tortuosity, high calibre arteries [45]; both the size and location of the vessels supplying the pseudoaneurysms in this series were not amenable to covered stents. In addition, the preservation of arterial flow was not essential because of the rich collateral supply around the duodenum and pancreas with embolisation carrying only a small risk of infarction/ischaemia.
Another radiological alternative to embolisation is thrombin injection. Percutaneous thrombin injection was first described in the management of pseudoaneurysms of the femoral artery [46] and is now an established treatment for iatrogenic peripheral pseudoaneurysms [47]. There are numerous case reports reporting the successful management of visceral pseudoaneurysms secondary to pancreatitis delivered either by radiologically-guided percutaneous injection [48, 49, 50, 51] or endoscopic ultrasound-guided injection [52, 53, 54]. The largest series includes four patients who underwent primary percutaneous thrombin injection for low-flow pseudoaneurysms not visible on angiography but present on CT. Despite initial successful thrombosis of the aneurysms, all aneurysms recanalised within four weeks and required repeat percutaneous thrombin injections [25]. Recanalisation and late recurrences of the pseudoaneurysms after thrombin injection has also been reported in other studies [25, 48, 50] highlighting the importance of mandatory follow-up in these patients. Two patients in this case series were treated with thrombin injection, with a recurrence observed in one patient. Further studies are clearly needed to assess the efficacy and success rate of thrombin-directed therapy in pseudoaneurysms secondary to acute pancreatitis.
This study is limited by its small sample size and retrospective nature. Furthermore, only two patients were treated with thrombin injection. Therefore, firm conclusions on the outcomes of this technique cannot be made. Nevertheless, based on the results of this study and current published literature, a management algorithm has been suggested (Figure 4).

|
Figure 4. Suggested treatment algorithm for patients with suspected pseudoaneurysm. CTA: arterial phase computed tomography |
CONCLUSION
Patients with pseudoaneurysms secondary to pancreatitis are a difficult and unpredictable cohort of patients to manage, with high mortality rates associated with haemorrhage. Endovascular embolisation is a suitable first-line management strategy. The role of thrombin-directed therapy is yet to be defined. In cases where interventional radiological treatment has failed to achieve haemostasis for bleeding pseudoaneurysms, surgical management should be instituted without delay.
Received August 26th, 2012 – Accepted October 8th, 2012
Keywords Diagnostic Imaging; Pancreatitis; Radiology, Interventional
Abbreviations PVPCT: portal venous phase contrast enhanced CT
Sources of funding None
Conflict of interest None declared
Correspondence
Antonella De Rosa
Department of Surgery
Royal Derby Hospital
Derby Hospitals NHS Foundation Trust
Uttoxeter Road
Derby, DE22 3NE
United Kingdom
Phone: +44-(0)1332.340.131
Fax: +44-(0)1332.785.566
E-mail: antonella_de_rosa@yahoo.com
References
1. Roberts SE, Williams JG, Meddings D, Goldacre MJ. Incidence and case fatality for acute pancreatitis in England: geographical variation, social deprivation, alcohol consumption and aetiology--a record linkage study. Aliment Pharmacol Ther 2008;28(7): 931-941.
2. Gurusamy KS, Farouk M, Tweedie JH. UK guidelines for management of acute pancreatitis: is it time to change? Gut 2005;54(9): 1344-1345.
3. Whitcomb DC. Clinical practice. Acute pancreatitis. N Engl J Med 2006;354(20): 2142-2150.
4. Mendelson RM, Anderson J, Marshall M, Ramsay D. Vascular complications of pancreatitis. ANZ J Surg 2005;75(12): 1073-1079.
5. White AF, Baum S, Buranasiri S. Aneurysms secondary to pancreatitis. AJR Am J Roentgenol 1976;127(3): 393-396.
6. Kiviluoto T, Kivisaari L, Kivilaakso E, Lempinen M. Pseudocysts in chronic pancreatitis. Surgical results in 102 consecutive patients. Arch Surg 1989;124(2): 240-243.
7. Fankhauser GT, Stone WM, Naidu SG, Oderich GS, Ricotta JJ, Bjarnason H, Money SR. The minimally invasive management of visceral artery aneurysms and pseudoaneurysms. J Vasc Surg;53(4): 966-970.
8. Sethi H, Peddu P, Prachalias A, Kane P, Karani J, Rela M, Heaton N. Selective embolization for bleeding visceral artery pseudoaneurysms in patients with pancreatitis. Hepatobiliary Pancreat Dis Int;9(6): 634-638.
9. Bergert H, Hinterseher I, Kersting S, Leonhardt J, Bloomenthal A, Saeger HD. Management and outcome of hemorrhage due to arterial pseudoaneurysms in pancreatitis. Surgery 2005;137(3): 323-328.
10. Dasgupta R, Davies NJ, Williamson RC, Jackson JE. Haemosuccus pancreaticus: treatment by arterial embolization. Clin Radiol 2002;57(11): 1021-1027.
11. Balachandra S, Siriwardena AK. Systematic appraisal of the management of the major vascular complications of pancreatitis. Am J Surg 2005;190(3): 489-495.
12. Stabile BE, Wilson SE, Debas HT. Reduced mortality from bleeding pseudocysts and pseudoaneurysms caused by pancreatitis. Arch Surg 1983;118(1): 45-51.
13. Mortele KJ, Mergo PJ, Taylor HM, Wiesner W, Cantisani V, Ernst MD, Kalantari BN, Ros PR. Peripancreatic vascular abnormalities complicating acute pancreatitis: contrast-enhanced helical CT findings. Eur J Radiol 2004;52(1): 67-72.
14. El Hamel A, Parc R, Adda G, Bouteloup PY, Huguet C, Malafosse M. Bleeding pseudocysts and pseudoaneurysms in chronic pancreatitis. Br J Surg 1991;78(9): 1059-1063.
15. Sessa C, Tinelli G, Porcu P, Aubert A, Thony F, Magne JL. Treatment of visceral artery aneurysms: description of a retrospective series of 42 aneurysms in 34 patients. Ann Vasc Surg 2004;18(6): 695-703.
16. Horowitz MB, Purdy PD, Valentine RJ, Morrill K. Remote vascular catastrophes after neurovascular interventional therapy for type 4 Ehlers-Danlos Syndrome. AJNR Am J Neuroradiol 2000;21(5): 974-976.
17. Freeman RK, Swegle J, Sise MJ. The surgical complications of Ehlers-Danlos syndrome. Am Surg 1996;62(10): 869-873.
18. Hall RI, Lavelle MI, Venables CW. Chronic pancreatitis as a cause of gastrointestinal bleeding. Gut 1982;23(3): 250-255.
19. Gadacz TR, Trunkey D, Kieffer RF, Jr. Visceral vessel erosion associated with pancreatitis. Case reports and a review of the literature. Arch Surg 1978;113(12): 1438-1440.
20. Maus TP. Pseudoaneurysm hemorrhage as a complication of pancreatitis. Mayo Clin Proc 1993;68(9): 895-896.
21. Kahn LA, Kamen C, McNamara MP, Jr. Variable color Doppler appearance of pseudoaneurysm in pancreatitis. AJR Am J Roentgenol 1994;162(1): 187-188.
22. de Perrot M, Berney T, Buhler L, Delgadillo X, Mentha G, Morel P. Management of bleeding pseudoaneurysms in patients with pancreatitis. Br J Surg 1999;86(1): 29-32.
23. Hsu JT, Yeh CN, Hung CF, Chen HM, Hwang TL, Jan YY, Chen MF. Management and outcome of bleeding pseudoaneurysm associated with chronic pancreatitis. BMC Gastroenterol 2006;6: 3.
24. Balthazar EJ, Fisher LA. Hemorrhagic complications of pancreatitis: radiologic evaluation with emphasis on CT imaging. Pancreatology 2001;1(4): 306-313.
25. Nicholson AA, Patel J, McPherson S, Shaw DR, Kessel D. Endovascular treatment of visceral aneurysms associated with pancreatitis and a suggested classification with therapeutic implications. J Vasc Interv Radiol 2006;17(8): 1279-1285.
26. Bharwani N, Patel S, Prabhudesai S, Fotheringham T, Power N. Acute pancreatitis: the role of imaging in diagnosis and management. Clin Radiol;66(2): 164-175.
27. Perez C, Llauger J, Pallardo Y, Sanchis E, Sabate JM. Radiologic diagnosis of pseudoaneurysms complicating pancreatitis. Eur J Radiol 1993;16(2): 102-106.
28. Kirby JM, Vora P, Midia M, Rawlinson J. Vascular complications of pancreatitis: imaging and intervention. Cardiovasc Intervent Radiol 2008;31(5): 957-970.
29. Hyare H, Desigan S, Brookes JA, Guiney MJ, Lees WR. Endovascular management of major arterial hemorrhage as a complication of inflammatory pancreatic disease. J Vasc Interv Radiol 2007;18(5): 591-596.
30. Paci E, Antico E, Candelari R, Alborino S, Marmorale C, Landi E. Pseudoaneurysm of the common hepatic artery: treatment with a stent-graft. Cardiovasc Intervent Radiol 2000;23(6): 472-474.
31. Golzarian J, Nicaise N, Deviere J, Ghysels M, Wery D, Dussaussois L, Van Gansbeke D, Struyven J. Transcatheter embolization of pseudoaneurysms complicating pancreatitis. Cardiovasc Intervent Radiol 1997;20(6): 435-440.
32. Gambiez LP, Ernst OJ, Merlier OA, Porte HL, Chambon JP, Quandalle PA. Arterial embolization for bleeding pseudocysts complicating chronic pancreatitis. Arch Surg 1997;132(9): 1016-1021.
33. Bergert H, Dobrowolski F, Caffier S, Bloomenthal A, Hinterseher I, Saeger HD. Prevalence and treatment of bleeding complications in chronic pancreatitis. Langenbecks Arch Surg 2004;389(6): 504-510.
34. Waslen T, Wallace K, Burbridge B, Kwauk S. Pseudoaneurysm secondary to pancreatitis presenting as GI bleeding. Abdom Imaging 1998;23(3): 318-321.
35. Lina JR, Jaques P, Mandell V. Aneurysm rupture secondary to transcatheter embolization. AJR Am J Roentgenol 1979;132(4): 553-556.
36. Beattie GC, Hardman JG, Redhead D, Siriwardena AK. Evidence for a central role for selective mesenteric angiography in the management of the major vascular complications of pancreatitis. Am J Surg 2003;185(2): 96-102.
37. Morita R, Muto N, Konagaya M, Honda T, Miyazawa M, Nakazawa S, Kondo N, Kimura N, Miura T, Harasawa S, et al. Successful transcatheter embolization of pseudoaneurysm associated with pancreatic pseudocyst. Am J Gastroenterol 1991;86(9): 1264-1267.
38. Deshmukh H, Rathod K, Garg A, Sheth R, Kulkarni S. Transcatheter embolization as primary treatment for visceral pseudoaneurysms in pancreatitis: clinical outcome and imaging follow up. Indian J Gastroenterol 2004;23(2): 56-58.
39. Boudghene F, L'Hermine C, Bigot JM. Arterial complications of pancreatitis: diagnostic and therapeutic aspects in 104 cases. J Vasc Interv Radiol 1993;4(4): 551-558.
40. Mauro MA, Jaques P. Transcatheter management of pseudoaneurysms complicating pancreatitis. J Vasc Interv Radiol 1991;2(4): 527-532.
41. Kudelko PE, 2nd, Alfaro-Franco C, Diethrich EB, Krajcer Z. Successful endoluminal repair of a popliteal artery aneurysm using the Wallgraft endoprosthesis. J Endovasc Surg 1998;5(4): 373-377.
42. Burger T, Meyer F, Tautenhahn J, Halloul Z, Fahlke J. Initial experiences with percutaneous endovascular repair of popliteal artery lesions using a new PTFE stent-graft. J Endovasc Surg 1998;5(4): 365-372.
43. Parodi JC, Schonholz C, Ferreira LM, Bergan J. Endovascular stent-graft treatment of traumatic arterial lesions. Ann Vasc Surg 1999;13(2): 121-129.
44. Plagnol P, Diard N, Bruneteau P, Roncheau V. Case report: pseudoaneurysm of popliteal artery complicating a total knee replacement: a successful percutaneous endovascular treatment. Eur J Vasc Endovasc Surg 2001;21(1): 81-83.
45. Saad NE, Saad WE, Davies MG, Waldman DL, Fultz PJ, Rubens DJ. Pseudoaneurysms and the role of minimally invasive techniques in their management. Radiographics 2005;25 Suppl 1: S173-189.
46. Liau CS, Ho FM, Chen MF, Lee YT. Treatment of iatrogenic femoral artery pseudoaneurysm with percutaneous thrombin injection. J Vasc Surg 1997;26(1): 18-23.
47. Taylor BS, Rhee RY, Muluk S, Trachtenberg J, Walters D, Steed DL, Makaroun MS. Thrombin injection versus compression of femoral artery pseudoaneurysms. J Vasc Surg 1999;30(6): 1052-1059.
48. Armstrong EM, Edwards A, Kingsnorth AN, Freeman S, Roobottom CA. Ultrasound guided thrombin injection to treat a pseudoaneurysm secondary to chronic pancreatitis. Eur J Vasc Endovasc Surg 2003;26(4): 448-449.
49. Manazer JR, Monzon JR, Dietz PA, Moglia R, Gold M. Treatment of pancreatic pseudoaneurysm with percutaneous transabdominal thrombin injection. J Vasc Surg 2003;38(3): 600-602.
50. Puri S, Nicholson AA, Breen DJ. Percutaneous thrombin injection for the treatment of a post-pancreatitis pseudoaneurysm. Eur Radiol 2003;13 Suppl 4: L79-82.
51. McErlean A, Looby S, Lee MJ. Percutaneous ultrasound-guided thrombin injection as first-line treatment of pancreatic pseudoaneurysm. Cardiovasc Intervent Radiol 2007;30(3): 526-528.
52. Roach H, Roberts SA, Salter R, Williams IM, Wood AM. Endoscopic ultrasound-guided thrombin injection for the treatment of pancreatic pseudoaneurysm. Endoscopy 2005;37(9): 876-878.
53. Robinson M, Richards D, Carr N. Treatment of a splenic artery pseudoaneurysm by endoscopic ultrasound-guided thrombin injection. Cardiovasc Intervent Radiol 2007;30(3): 515-517.
54. Lameris R, du Plessis J, Nieuwoudt M, Scheepers A, van der Merwe SW. A visceral pseudoaneurysm: management by EUS-guided thrombin injection. Gastrointest Endosc;73(2): 392-395.