CASE REPORT
Acute Necrotizing Pancreatitis in the Setting of CMV Viremia and AIDS: A Case Report and Review of Literature from 1980 to 2012
Stephen Osiro1, Raza Muhammad1, Jose Ruiz2, Anatole Sladen3, Njambi Mathenge4, Kevin J Tiwari4
Departments of 1Medicine, 2Pathology and 3Radiology, Woodhull Medical Center. Brooklyn, NY, USA. 4St. George’s University School of Medicine. Grenada, West Indies
ABSTRACT
Context Cytomegalovirus (CMV)-induced pancreatitis in patients with AIDS is a known entity with poor prognosis. Case report We report a case of a 43-year-old woman with AIDS and CMV viremia who was evaluated for hypotension and found to have severe necrotizing pancreatitis. The authors have also conducted a MEDLINE search for CMV-induced pancreatitis from 1980 to 2012 and reviewed the pertinent results. Discussion Until mid-1990s in the United States, pancreatitis due to CMV was mainly diagnosed at autopsy in AIDS patients. However, presumably due to the advent of antiretroviral therapy, there has since been a significant decline in the number of reported cases among these individuals. Rather, our review revealed that the occurrence of CMV-induced pancreatitis has since been described in a variety of clinical settings, ranging from patients on corticosteroid therapy to immunocompetent persons. Conclusions Clinicians need a high index of suspicion to timely diagnose CMV-induced pancreatitis as patients often present with non-specific signs and symptoms. As it occurred in our case, early intervention is crucial and may alter the outcome in such patients.
INTRODUCTION
Acute pancreatitis affects about 170 persons per million in the United States annually, and is often due to gallstones or alcoholism [1]. It may also be caused by hypertriglyceridemia, biliary tract procedures, and drugs [2]. Pancreatitis due to opportunistic infections remains a concern to clinicians since they tend to have atypical presentations and may cause severe necrosis with increased morbidity and mortality [3].
Cytomegalovirus (CMV) is estimated to be present in 40% to 70% of the world’s population and 50% to 95% of HIV-infected individuals [4, 5]. In developed countries, more than 40% of the people are seropositive for CMV by the age of 40 years, with up to 90% seropositivity reported in Japan [3]. Although rare, CMV-induced pancreatitis is currently well-established in the literature and primarily occurs in immunocompromised individuals, such as those with AIDS [6], lupus [7, 8], and dermatomyositis [9]. It has also been reported in patients receiving corticosteroid therapy and/or organ transplants [3, 10, 11, 12]. Based on reports by some authors, CMV can cause pancreatitis in immunocompetent patients as well [13, 14].
Most reports of pancreatitis due to CMV were fatal [3, 11, 15]. Favorable outcomes therefore depend not only on early clinical suspicion, but also timely management. In this article, we report an AIDS patient who developed acute necrotizing pancreatitis in the presence of severe CMV viremia and also review the pertinent literature from 1980 to 2012.
CASE REPORT
A 43-year-old immigrant female with AIDS first came to our emergency department complaining of intermittent post-prandial abdominal pain for 3 months. The pain was localized mainly around her epigastrium, and was associated with nausea, occasional vomiting, and watery diarrhea. She had developed food intolerance over this period, and as a result, had lost 32 lbs (14.5 kg)
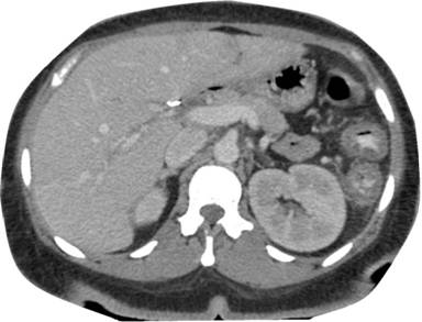
Although the patient had been infected with HIV for two years, she was never on antiretroviral therapy. Her vision in both eyes was also diminished with near total blindness of the left eye. She was a non-smoker and denied alcohol use. Her past surgical history was significant for cholecystectomy. In the emergency department, she was febrile (101.4°F; 38.6°C) and tachycardic (heart rate: 139 beats/min). Chest X-ray was normal, but computed tomography (CT) scan of the abdomen showed non-specific pancolitis with no sign of acute pancreatitis (Figure 1). Her serum amylase and lipase were normal.

|
Figure 1. CT scan of the abdomen in our patient two weeks before developing acute pancreatitis. |
Further investigations revealed a low CD4 count of 14.2 µL-1 (reference range: 544-1,894 µL-1) and significant cytomegalovirus viremia (CMV DNA, QN, PCR: 38,017 copies/mL; reference range: 0-200 copies/mL). Based on the symptoms and CT findings, the patient was admitted and managed for acute colitis during which she was also started on prophylactic trimethoprim-sulfamethoxazole and azithromycin. Notably, she became afebrile by day 1 and her abdominal pain and diarrhea were resolved by day 6. However, she was tachycardic throughout her hospital stay and was only discharged home at her insistence. No antiviral treatment for CMV viremia was given during her in-patient stay. It was only at discharge that she was prescribed oral valganciclovir. Four days later, she was seen at our follow-up HIV clinic where ritonavir, darunavir, emcitrabine, and tenofovir were also started.
At the GI clinic 11 days post-discharge, the patient appeared toxic, weak, and complained of mild, diffuse abdominal pain and dizziness. She was found to be hypotensive (blood pressure: 85/45 mmHg and tachycardic (heart rate: 134 beats/min). On day 2 after her readmission, she spiked a fever of 102.8°F (39.3°C) and had several episodes of non-bilious vomiting. Upright abdominal radiograph showed no free air or bowel obstruction. Her serum lipase increased from 99 U/L to 427 U/L (reference range: 8-78 U/L) within 48 hours (Figure 2), while her serum amylase was only elevated on day 2 of readmission (240 U/L; reference range: 40-130 U/L). Abdominal ultrasound (US) was negative for biliary duct disease. CT scan of the abdomen revealed enlarged and nonenhancing body and tail of the pancreas consistent with pancreatic necrosis (Figure 3). Cerebrospinal fluid analysis was positive for active shedding of CMV virus (12,811 copies/mL) without signs of meningitis. The patient’s serum anti-CMV IgG antibodies were elevated (118.8 EU/mL; reference range: 0-8 EU/mL), while anti-CMV IgM antibodies were negative. No other virus was detected in the blood or cerebrospinal fluid.

|
Figure 2. A graph showing changes in the levels of serum amylase and lipase in our patient from admission to discharge, correlating with the duration of her CMV-induced pancreatitis and its resolution. |


|
Figure 3. Coronal (a.) and sagittal (b.) CT scan of the abdomen showing enlarged and non-enhancing body and tail of the pancreas consistent with pancreatic necrosis. |
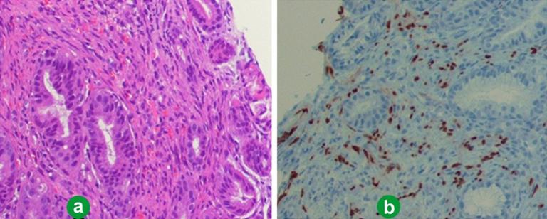
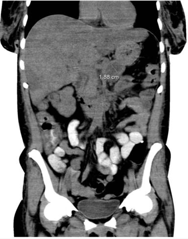
The patient was presumably diagnosed with CMV-induced acute pancreatitis and all her medications temporarily stopped. She was given intravenous (i.v.) fluids, analgesics, doripenem, and a 3-week course of intravenous ganciclovir. One week later, her pancreatitis resolved and she was restarted on trimethoprim-sulfamethoxazole and azithromycin. On hospital day 14, her antiretroviral therapy medications were also resumed. Upper endoscopy was performed which revealed multiple 0.1 to 2 cm firm nodules in the stomach and duodenum. The biopsy specimen was consistent with Kaposi’s sarcoma (Figure 4). Ophthalmology examination revealed bilateral CMV retinitis (right eye more than left eye), with an old branch retinal artery occlusion of the left eye. After 4 weeks of in-patient management, a repeat abdominal CT showed resolved pancreatitis with dilated pancreatic duct (Figure 5). The patient was discharged home without any clinical evidence of recurrent pancreatitis.

|
Figure 4. a. Gastric biopsy showing foci with spindle cells and proliferation of irregular jagged vascular channels lined by inconspicuous endothelial cells compatible with Kaposi’s sarcoma. B. Immunohistochemistry studies showing human herpes virus type 8 (HHV-8). |

|
Figure 5. CT scan of the abdomen showing the relatively normal pancreas in our patient 3 weeks after resolution of her symptoms. Note the dilated pancreatic duct, a common sequelae of acute pancreatitis. |
DISCUSSION
CMV is a herpetic virus most often transmitted by blood transfusion, or intimate genital or oral contact. After subclinical primary infection, it establishes latency in the salivary gland cells, endothelial vascular tissue, renal epithelial tissue, T lymphocytes, and polymorphonuclear cells [16]. It is mainly considered an opportunistic infection and may reactivate spontaneously in the setting of an altered or suppressed immune system. The most susceptible individuals are therefore the elderly, transplant recipients, diabetics, and patients with HIV/AIDS [17]. Interestingly, recent literature indicates that severe CMV infections, such as myocarditis, encephalitis, colitis, pneumonia, cholangitis, sinusitis, esophagitis, hepatitis, and thrombocytopenia can also occur in immunocompetent persons [13,18].
CMV as a cause of pancreatitis is rare, although pancreatic involvement has been reported in up to 10% of autopsy of patients who had CMV infection [19]. In this review, we looked into all the published case reports of CMV-induced pancreatitis in the literature from 1980 to 2012. In total, we reviewed 31 cases. Pertinent features of CMV-induced pancreatitis become evident when all these cases are analyzed (Table 1). For instance, it mainly occurs in males. In addition, fever seems to be the most common initial complaint among the patients. However, fever alone is a non-specific symptom as patients may also present with epigastric pain, diarrhea, dysphagia, weight loss, anorexia, or no symptoms at all. In the early 1990s, presumably before the advent of antiretroviral therapy medications, CMV-induced pancreatitis was predominantly diagnosed at autopsy among AIDS patients, where histopathology showed CMV inclusions around the areas of pancreatic necrosis [19, 20]. Nevertheless, clinical diagnosis is currently attainable with CT or US-guided biopsy of the pancreas. Moreover, it is apparent that most cases of pancreatitis due to CMV tend to have concomitant necrosis, localized mainly in the tail [21].
|
Table 1. Published case reports of CMV-induced pancreatitis in the literature from 1980 to 2012. |
|||||||
|
Author/Year |
Age/ Sex |
Main symptom(s) |
Clinical setting |
Location |
Necrosis on CT scan |
Concomitant CMV infection |
Diagnosis |
|
Osiro et al., |
43F |
Diarrhea, fever, epigastric pain |
AIDS |
Body, tail |
Yes |
Retinitis, colitis, esophagitis |
Clinical (Suspicion) a |
|
Perdan-Pirkmajer et
al., |
33M |
Epigastric pain, anorexia |
Systemic lupus erythematosus |
- |
No |
- |
Clinical (Suspicion) a |
|
Terada, |
76M |
Abdominal pain, fever |
Vasculitis |
- |
Yes |
Interstitial pneumonitis |
Autopsy |
|
Kamalkumar et
al., |
38M |
Epigastric pain, fever, vomiting |
Renal transplant |
- |
No |
Cholangitis, ampullary papillitis |
Clinical (Biopsy) |
|
Tomonari et al., |
31M |
- |
Acute myelogenous leukemia, blood transplant |
- |
- |
- |
Clinical (Suspicion) a |
|
Oku et al., |
55M |
Jaundice |
- |
- |
No |
Cholangitis |
Clinical |
|
Oruğ et al., |
29M |
Abdominal pain |
Renal transplant |
Head, body, tail |
Yes |
- |
Clinical (Suspicion) a |
|
Klassen et al., |
31M 41F 28F 40M |
- Fever - Low grade fever, diarrhea |
Pancreatic
transplant Pancreatic transplant Pancreatic transplant Pancreatic transplant |
- - - - |
- - - - |
Esophagitis, gastritis, duodenitis - - - |
Clinical
(Biopsy) Clinical (Biopsy) Clinical (Biopsy) Clinical (Biopsy) |
|
Ikura et al., |
29F |
- |
Systemic lupus erythematosus |
- |
- |
- |
Clinical (Biopsy) |
|
Colebunders et
al., |
- - |
- - |
HIV/AIDS HIV/AIDS |
- - |
- - |
- - |
Clinical Clinical |
|
Cella and Gupta, |
45M |
Fever, anorexia |
HIV/AIDS |
- |
- |
- |
Clinical (Suspicion) a |
|
Yasumoto et al., |
27F |
Abdominal pain, thirst, muscle weakness, anuria |
- |
- |
- |
- |
Clinical (Suspicion) a |
|
González-Reimers et
al., |
50F |
Disorientation, mental obtundation, vomiting |
HIV/AIDS |
Head |
Yes |
Gastritis, pneumonitis |
Clinical, Autopsy |
|
Bäckman et al., |
x27Fx x44Mx x35Fx x40Mx x32Mx |
Feverx Feverx Feverx Nausea,
vomitingx xFever, abdominal pain, diarrhea |
x-x x-x x-x x-x x-x |
xTailx xHeadx x-x xTailx xTailx |
xYesx xYesx xYesx xYesx xYesx |
x-x x-x x-x x-x x-x |
Clinical (Suspicion) a Clinical (Suspicion) a Clinical (Suspicion) a (Suspicion)
a Clinical (Suspicion) a |
|
Wilcox et al., |
- - |
- - |
HIV/AIDS HIV/AIDS |
- - |
- - |
- - |
Autopsy Autopsy |
|
Bigio and Haque, |
- |
Fever, abdominal pain |
Chronic myelogenous leukemia |
- |
- |
Acalculous cholecystitis |
Clinical, Autopsy |
|
Joe et al., |
31M |
Diarrhea, epigastric pain |
HIV/AIDS |
Head |
No |
- |
Clinical (Biopsy) |
|
Hinnant et al., |
44M |
Right upper quadrant pain, diarrhea |
HIV/AIDS |
- |
- |
Retinitis |
Clinical |
|
Wolf et al., |
65M 33M |
Left
arm weakness Shortness of breath, diarrhea |
HIV/AIDS HIV/AIDS |
- - |
Yes - |
Pneumonitis, adrenal necrosis Pneumonitis |
Autopsy Clinical |
|
Iwasaki et al., |
50F |
Dysphagia |
- |
Tail |
Yes |
- |
Autopsy |
|
Peterson et al., |
- |
Fever |
- |
- |
- |
- |
Autopsy |
|
a “Clinical suspicion” indicates reported non-biopsy confirmation of an active CMV infection through PCR, CMV serology, complement fixation CMV titer, or culture of pancreatic ductal washings in the setting of a clinically-diagnosed acute pancreatitis. “-” indicates unknown status AIDS: acquired immunodeficiency syndrome |
|||||||
Pathogenesis of CMV-Induced Pancreatitis
The exact mechanism by which CMV causes pancreatitis has not been fully understood. However, several studies indicate that it is potentially a three-step process, initiated by CMV-induced ischemic damage of the pancreatic tissue. According to Varani and Landini [18], CMV can infect endothelial cells and cause arteritis. It is believed that the resultant ischemia not only attracts and sequesters neutrophils, but also activates the proteolytic enzymes, such as trypsin, within the pancreas. Such enzymes and the inflammatory mediators released by the inflamed pancreas then autodigest the cellular membranes and cause edema, fat necrosis as well as parenchymal cell necrosis [1]. The vascular damage and necrosis may then predispose to secondary bacterial infections which further propagate the cascade.
In our case, we speculate that CMV could have been involved in two ways. First, the virus could have caused subclinical pancreatitis, as was evident by the intermittent episodes of abdominal pain and vomiting in the presence of normal CT scans and serum biomarkers. However, with the administration of trimethoprim-sulfamethoxazole, a synergy of pancreatic acinar damage ensued, leading to overt pancreatitis. This premise is difficult to prove, since our patient had tolerated trimethoprim-sulfamethoxazole for two weeks before the onset of her abdominal pain, and continued to do so one week later. On the other hand, it can be argued that her post-pancreatitis tolerance of the medication was because the CMV viral load had been drastically reduced by the administration of i.v. ganciclovir. Nevertheless, the endoscopic finding of gastric Kaposi sarcoma strongly indicates that our patient’s prior abdominal pain was less likely due to pancreatitis, but rather due to the cancerous lesions.
Our alternative theory is that CMV was exclusively responsible for the pancreatitis as a result of the severe immunosuppression in our patient. There is perhaps a critical CD4 count and a threshold CMV viral load beyond which the subclinical CMV infection of the pancreas changes into severe necrotizing pancreatitis due to the cytotoxic effects of numerous CMV inclusions. We strongly believe that the latter was the case with our patient, as several autopsy studies show that the pancreatic changes in patients with CMV-induced pancreatitis are of chronic nature, suggesting a more indolent and prolonged inflammation [6, 22].
Differential Diagnosis
Acute pancreatitis has multiple causes, including gallstones, excessive alcoholism, hypertriglyceridemia, and drugs. Our patient denied alcohol use and had normal levels of triglycerides. Bile duct disease as the cause of her necrotizing pancreatitis was unlikely due to the negative sonography.
The drugs that are known to cause pancreatitis in AIDS patients include didanosine, pentamidine and trimethoprim-sulfamethoxazole. Although the mechanism by which these drugs cause pancreatic damage is unknown, it is thought that it could be either due to an allergic reaction or the generation of a toxic metabolite. Studies show that the cumulative dose of such drugs is the strongest risk factor [23]. The latter is probably the reason why most cases of drug-induced pancreatitis are often found in patients with renal impairments [24].
As previously stated, our patient was on trimethoprim-sulfamethoxazole for two weeks before the onset of her symptoms, well within the known window during which this medication causes organ toxicity. However, it is also important to note that she had no prior history of sulfa drug allergy or renal impairment that could have caused excessive plasma accumulation of the drug. In addition, while our patient had been on antiretroviral therapy medications for one week before the pancreatitis, the drugs she was taking and the short duration made them less likely as the cause.
Thus, although there was no CT-guided needle aspiration for confirmation, our patient’s rapid response to i.v. ganciclovir greatly supported our diagnosis. In addition, the occurrence of a confirmed bilateral CMV retinitis further reinforced our suspicion that the pancreatitis was not an isolated finding, but was rather in tandem with other inflammatory changes taking place all over her body. We strongly suspect that the reason why oral valganciclovir given to our patient the week before could not avert her development of CMV pancreatitis was probably down to her poor oral intake in the setting of acute GI symptoms and intestinal Kaposi’s sarcoma. The authors concede, though, that the definite diagnosis of CMV pancreatitis requires positive pathology findings. It is therefore difficult to ascertain whether her improvement was exclusively due to the initiation of i.v. ganciclovir therapy, or the discontinuation of the antiretroviral therapy medications, or both.
Role of Serum Biomarkers and/or Radiology in the Diagnosis of CMV-induced Pancreatitis
The diagnosis of acute pancreatitis is primarily clinical, and is usually established by the detection of an elevated serum lipase (and sometimes amylase) at the onset of symptoms [25, 26]. We report no variation in the rise of these serum biomarkers in cases of CMV-induced pancreatitis compared to other causes.
Radiological findings in acute pancreatitis vary markedly, with one or more abnormalities reportedly seen in over 50% of the patients [7, 27]. However, the findings are often inconsistent and non-specific [15]. Some of the radiographic tests can also be severely limited in the setting of an acute abdomen. For instance, in our case, the gallbladder and pancreas were not conclusively identified on abdominal ultrasound. In addition, our first CT scan showed no inflammatory changes to the pancreas and only a repeat scan two weeks later revealed pancreatic necrosis. In lieu of this, we propose that when CMV-induced pancreatitis is suspected in a patient with the viremia, the diagnosis should be based on clinical aexamination (with or without an elevation in serum biomarkers), even if the radiological exams are normal. Whether serial CT scans could be beneficial in such cases is subject to debate, given the increased risk of radiation exposure.
Management Options
The ability of ganciclovir to alter the course of CMV infections in patients with AIDS is well-documented in the literature [18]. Thus, our patient was treated with conservative management in the form of nothing by mouth, hydration, morphine, antibiotics, and an intravenous gancyclovir for 4 weeks. By hospital day 3, she had marked improvement of her symptoms and after one week of therapy, the pancreatitis resolved.
A report by Orug et al. [21] indicated that early CT scanning and debridement improves the prognosis of patients with acute necrotizing pancreatitis. Nevertheless, although we agree that dynamic CT scans can help detect complications in such patients [28], the decision to debride the necrotic pancreatic tissue should be on a case-by-case basis. Surgical intervention was not considered necessary in our patient due to her rapid recovery on conservative therapy alone.
CONCLUSION
The authors have reported a case of CMV-induced pancreatitis in an AIDS patient and reviewed the published literature on this condition. Although it has been far less-reported in the United States among these patients over the last decade compared to the early 1990s, there remains the possibility of its recurrence due to globalization and immigration. In addition, our review revealed that CMV-induced pancreatitis could be more prevalent in immunosuppressed individuals as well as those with autoimmune disorders than previously thought. A high index of clinical suspicion is therefore needed to timely diagnose it since the resultant pancreatic necrosis often carries poor prognosis. On the other hand, as was in our case, timely intervention may significantly alter the outcome and lead to recovery.
Received September 3rd, 2012 – Accepted October 15th, 2012
Key words Acquired Immunodeficiency Syndrome; Cytomegalovirus; Ganciclovir; Necrosis; Pancreatitis
Financial disclosures None
Conflict of interest None
Correspondence
Stephen
Osiro
Department of Medicine
Woodhull Medical Center
760 Broadway
Brooklyn, NY 11206
USA
Phone: +1-347.265.5542
Fax: +1-718.963.8753
E-mail: berilonson@gmail.com
References
1. Dassopoulos T, Ehrenpreis ED. Acute pancreatitis in human immunodeficiency viruses in infected patients: a review. Am J Med. 1999;107:78-84. [PMID: 10403356].
2. Geokas M, Baltaxe H, Banks P, Silva J Jr, Frey CF. Acute Pancreatitis. Ann Intern Med. 1985;103:86-100. [PMID: 3890660].
3. Terada T. Cytomegalovirus-Associated Severe Fatal Necrotizing Pancreatitis in a Patient with Interstitial Pneumonitis Treated with Steroids. An Autopsy Case. JOP. 2011;12:158-161. [PMID: 21386644].
4. Nashan B, Gaston R, Emery V, Säemann MD, Mueller NJ, Couzi L, et al. Review of Cytomegalovirus Infection Findings With Mammalian Target of Rapamycin Inhibitor-Based Immunosuppressive Therapy in De Novo Renal Transplant Recipients. Transplantation. 2012;93:1075-1085. [PMID: 22683823].
5. Wohl DA, Kendall MA, Andersen J, Crumpacker C, Spector SA, Feinberg J. Low Rate of CMV End-Organ Disease in HIV-Infected Patients Despite Low CD4+ Cell Counts and CMV Viremia: Results of ACTG Protocol A5030. HIV Clin Trials. 2009;10:143-152. [PMID: 19632953].
6. Bigio E, and Haque A. Disseminated cytomegalovirus infection presenting with acalculous cholecystitis and acute pancreatitis. Arch Pathol Lab Med. 1989;113:1287-9. [PMID: 2554845].
7. Perdan-Pirkmajer K, Koren-Kranjc M, and Tomsic M. A successfully treated pancreatitis caused by a CMV infection in a lupus patient. Lupus. 2011;20:1104-1105. [PMID: 21562021].
8. Ikura Y, Matsuo T, Ogami M, Yamazaki S, Okamura M, Yoshikawa J, Ueda M . Cytomegalovirus associated pancreatitis in a patient with systemic lupus erythematosus. J Rheumatol. 2000;27:2715-7. [PMID: 11093460].
9. Kaşifoğlu T, Korkmaz C, and Ozkan R. Cytomegalovirus-induced interstitial pneumonitis in a patient with dermatomyositis. Clin Rheumatol. 2006;25:731-3. [PMID: 16267608].
10. Tomonari A, Takahashi S, Takasugi K, Ooi J, Tsukada N, Konuma T, et al. Pancreatic hyperamylasemia and hyperlipasemia in association with cytomegalovirus infection following unrelated cord blood transplantation for acute myelogenous leukemia. Int J Hematol. 2006;84:438-40. [PMID: 17189226].
11. Wilcox C, Forsmark C, Grendell J, Darragh TM, Cello JP. Cytomegalovirus-associated acute pancreatic disease in patients with acquired immunodeficiency syndrome. Report of two patients. Gastroenterology. 1990;99:263-7. [PMID: 2160899].
12. Yasumoto N, Hara M, Kitamoto Y, Nakayama M, Sato T. Cytomegalovirus infection associated with acute pancreatitis, rhabdomyolysis and renal failure. Intern Med. 1992;31:426-430. [PMID: 1319248].
13. Oku T, Maeda M, Waga E, Wada Y, Nagamachi Y, Fujita M, et al. Cytomegalovirus cholangitis and pancreatitis in an immunocompetent patient. Journal of Gastroenterology. 2005;40:987-992. [PMID: 16261436].
14. Shimada A, Koga T, Shimada M, Kitajima T, Mitsui T, Sata M, Aizawa H. Cytomegalovirus pneumonitis presenting small nodular opacities. Intern Med. 2004;43:1198-2000. [PMID: 15645659].
15. Joe L, Ansher AF, Gordin FM. Severe Pancreatitis in an AIDS Patient in Association With Cytomegalovirus Infection. Southern Medical Journal. 1989;82:1444-1445. [PMID: 2554512].
16. Jain M, Duggal S, Chugh TD. Cytomegalovirus infection in non-immunosuppressed critically ill patients. J Infect Dev Ctries. 2011;5:571-579. [PMID: 21841300].
17. Kamalkumar B, Agarwal S, Garg P, Dinda A, Tiwari SC. Acute pancreatitis with CMV papillitis and cholangiopathy in a renal transplant recipient. Clin Exp Nephrol. 2009;13:389-391. [PMID: 19142576].
18. Varani S, Landini MP. Cytomegalovirus-induced immunopathology and its clinical consequences. Herpesviridae. 2011;2:6-21. [PMID: 21473750].
19. Iwasaki T, Tashiro A, Satodate R, Sata T, Kurata T. Acute pancreatitis with cytomegalovirus infection. Acta Pathol Jpn. 1987;37:1661-8. [PMID: 2829502].
20. Teixidor H, Honig C, Norsoph E, Albert S, Mouradian JA, Whalen JP. Cytomegalovirus infection of the alimentary canal: radiologic findings with pathologic correlation. Radiology. 1987;163:317-23. [PMID: 3031723].
21. Oruğ T, Arda K, Tosun O, Ozçay N, Atan SA. The value of computed tomography in the diagnosis of acute necrotising pancreatitis in a renal transplant patient. HPB (Oxford). 2004;6:49-51. [PMID: 18333048].
22. Wolf P, Reiser J, Fellow J, Haghighi P. Pancreatitis in patients with AIDS presumptively due to CMV. J Clin Lab Anal. 1989;3:152-5. [PMID: 2474062].
23. Riedel D, Gebo K, Moore R, Lucas GM. A ten-year analysis of the incidence and risk factors for acute pancreatitis requiring hospitalization in an urban HIV clinical cohort. Aids Patient Care and Stds. 2008;22:113-121. [PMID: 18260802].
24. Antonow D. Acute pancreatitis associated with trimethoprim-sulfamehoxazole. Ann Intern Med. 1986;104:363-5. [PMID: 2418721].
25. Klassen DK, Drachenberg CB, Papadimitriou JC, Cangro CB, Fink JC, Bartlett ST, Weir MR. CMV Allograft Pancreatitis: Diagnosis, Treatment, and Histological Features. Transplantation. 2000;69:1968-1971. [PMID: 10830244].
26. Treacy J, Williams A, Bais R, Willson K, Worthley C, Reece J, et al. Evaluation of amylase and lipase in the diagnosis of acute pancreatitis. ANZ J Surg. 2001;71:577-82. [PMID: 11552931].
27. Cella P, Gupta S. Diagnosis of Cytomegalovirus Pancreatitis in AIDS by Endoscopic Retrograde Cholangiopancreatography. New England Journal of Medicine. 1992;326:204. [PMID: 1309270].
28. London NJ, Leese T, Lavelle JM, Miles K, West KP, Watkin DF, Fossard DP. Rapid-bolus contrast-enhanced dynamic computed tomography in acute pancreatitis: a prospective study. Br J Surg. 1991;78:1452-6. [PMID: 1773324].
29. Colebunders R, Desmidt P, Fleerackers Y, Wijnants H, Arts M, Corthouts B, Van den Ende J. Cytomegalovirus colitis in a patient with AIDS: CT findings. J Belge Radiol. 1994;77:284-5. [PMID: 7829467].
30. González-Reimers E, Santolaria-Fernádez F, Gómez-sirvent JL, Méndez-Medina R, Martinez-Riera A. Cytomegalovirus-associated pancreatitis in acquired immunodeficiency syndrome. HPB Surg. 1992; 5:181-3. [PMID: 1324706].
31. Bäckman L, Brattström C, Reinholt FP, Andersson J, Tydén G. Development of intrapancreatic abscess--a consequence of CMV pancreatitis? Transpl Int. 1991;4:116-21. [PMID: 1654918].
32. Hinnant K, Schwartz A, Rotterdam H, Rudski C. Cytomegaloviral and cryptosporidial cholecystitis in two patients with AIDS. Am J Surg Pathol. 1989;13:57-60. [PMID: 2535776].
33. Peterson,P, Balfour HJ, Marker S, Fryd DS, Howard RJ, Simmons RL. Cytomegalovirus disease in renal allograft recipients: a prospective study of the clinical features, risk factors and impact on renal transplantation. Medicine (Baltimore). 1980;59:283-300. [PMID: 6248718].