REVIEW
JOP. J Pancreas (Online) 2013 Jan 10; 14(1):15-20.
Is Preoperative Diagnosis Possible? A Clinical and Radiological Review of Lymphoepithelial Cysts of the Pancreas
Stephen Osiro1, Jonier R Rodriguez2, Kevin J Tiwari2, Iliana I Rodriguez2, Njambi Mathenge2, Robert Shane Tubbs3, Marios Loukas2,4
1Department of Medicine, Woodhull Medical and Mental Health Center. Brooklyn, NY, USA. 2Department of Anatomical Sciences, St. George’s University School of Medicine. St. Georges, Grenada. 3Pediatric Neurosurgery, Children’s Hospital. Birmingham, AL, USA. 4Department of Anatomy, University of Varmia and Mazuria Medical School. Olsztyn, Poland
Summary
Lymphoepithelial cysts of the pancreas are rare lesions found mainly in middle-aged men. They are usually benign and have no clear natural history except one study linking their occurrence with HIV infection. Nevertheless, they often cause enormous psychological stress to patients as they tend to mimic pancreatic neoplasms which are known to carry poor prognosis. The authors have therefore assessed the published literature from PubMed in order to determine whether lymphoepithelial cysts can be diagnosed preoperatively using novel imaging techniques. Based on our findings, it is evident that three-dimensional computed tomography scans, in-phase and out-of phase magnetic resonance imaging studies, and endosonography have enabled better characterization of pancreatic lymphoepithelial cysts than a decade ago. Endoscopic ultrasound-guided fine needle aspiration has also added considerably to the promise of preoperative diagnosis. Thus, the authors can affirm that despite surgical excision of the cyst with pathological examination being the gold standard for diagnosis, it is possible that a combination of the modern imaging techniques and/or minimally-invasive approach can enable patients avoid unnecessary surgery in the future.
Introduction
Lymphoepithelial cysts of the pancreas are rare lesions comprising 0.5% of all pancreatic cysts [1]. First described in 1985 by Luchtrath and Schriefers [2], these cysts averages 6 cm (range: 1 to more than 15 cm), and are mostly multiloculated or unilocular with septations. Unlike pancreatic pseudocysts, lymphoepithelial cysts are considered true cysts, since they are lined by stratified squamous epithelium and surrounded by mature lymphocytes [3]. Most reports show that they predominantly affect middle age men who either present with non-specific symptoms or no symptom at all [4, 5]. The most common complaint in symptomatic cases is abdominal pain. Anorexia, fever and weight loss have also been reported [3]. Although they can involve any part of the pancreas, studies show that pancreatic lymphoepithelial cysts mainly affect the tail.
The mechanism leading to pancreatic lymphoepithelial cysts is unclear. Their diagnoses are also challenging as they have no specific serological marker to distinguish them from other pancreatic cysts. A case report by Sewkani et al. in 2010 showed that lymphoepithelial cysts can present with a rise in levels of carbohydrate antigen (CA 19-9) as well as weight loss, mimicking malignant pancreatic neoplasms [6]. The perception among specialists has therefore been that preoperative diagnosis cannot be carried out with accuracy in the absence of surgical resection [7]. However, there remains the necessity among clinicians to thoroughly investigate and ascertain the true nature of pancreatic cysts once they are discovered on abdominal imaging [8, 9, 10]. To our knowledge, the challenging aspect of pancreatic LECs has always been the inability to preoperatively distinguish them from pseudocysts, cystic neoplasms and intraductal carcinomas. Therefore, this review was conducted with the aim of presenting not only the key clinical features of these cysts, but also the present radiological findings that can help differentiate them from other pancreatic pathologies.
Epidemiology
According to Adsay et al. (2002), lymphoepithelial cysts constitute about 0.5% of all pancreatic cysts [5]. Other case reports also show that they have preponderance for males, mainly after the 5th decade of life [11, 12, 13]. The ratio of males to females has been approximated as between 4:1 to 6:1, and is in contrast with pancreatic mucinous cystic neoplasms which are far more common in women [14].
Etiology
Lymphoepithelial cysts are not unique to the pancreas, but have also been described in the parotid, submandibular and thyroid glands, as well as the lungs and cervical regions [15]. The etiologies of these cysts, however, tend to differ by location. For instance, cystic lesions of the head and neck have been linked to viral and/or systemic illnesses. Specifically, the associations between lymphoepithelial cysts of the parotid gland with HIV infection, Sjogren syndrome and lymphomas are well-established in the literature [5].
On the other hand, the causes of pancreatic lymphoepithelial cysts are largely unknown and their relationships with salivary gland lymphoepithelial cysts are still debatable. An in situ hybridization study by Schwarz and Weiss failed to show any Ebstein-Barr virus (EBV) positive cells in pancreatic lymphoepithelial cysts. This is significant because lymphoepithelial cysts of the parotid gland have been associated with HIV and EBV-related lymphomas [16]. So far, only a recent incidental report by Bédat et al. has suggested a possible association between pancreatic lymphoepithelial cysts and HIV infection [17]. These authors described two cases found on abdominal CT scan and noted that one of the lymphoepithelial cysts resolved with the initiation of antiretroviral therapy.
Histopathogenesis of Lymphoepithelial Cysts
The definitive mechanism leading to pancreatic lymphoepithelial cysts is still unknown, but several hypotheses are in the literature as to their origin [18, 19, 20]. Some authors have proposed that lymphoepithelial cysts represent squamous metaplasia of an obstructed intrapancreatic duct, which subsequently protrudes into a peripancreatic lymph node [4, 20]. Although possible squamous metaplasia in the uninvolved pancreatic tissue is a relatively uncommon finding in these pancreata [5]. In addition, some investigators have suggested that these cysts may develop from ectopic pancreatic tissues in the peripancreatic lymph nodes [4, 20, 21, 22, 23]. A study by Arai et al. (1992) identified possible lymphoepithelial cyst precursors in these nodes [22]. This theory might explain the often extrinsic location of lymphoepithelial cysts and the fact that benign ectopic pancreatic tissues have been found throughout these lesions [24, 25]. Moreover, others have proposed that pancreatic lymphoepithelial cysts originate from misplaced branchial cleft cysts fused with pancreatic anlage during embryogenesis [2, 25]. This proposition was first suggested by Luchtrath and Schiefers, and has since been supported by histological similarity between pancreatic lymphoepithelial cysts and branchial cleft cysts of the neck [2, 26].
Clinical Presentation
Lymphoepithelial cysts of the pancreas are asymptomatic in about 40% of cases and are mostly found during radiological work-up for other intra-abdominal diseases [8, 27, 28]. Some patients are also diagnosed with these cysts after being referred for further evaluation of isolated levels of elevated CA 19-9 [27, 28, 29]. Occasionally, they may present with non-specific abdominal pain and other symptoms such as diarrhea, anorexia, weight loss, nausea, and vomiting [13, 14]. As previously stated, typical patients are mostly men in their fifth decade of life [30].
Diagnosis
Due to the close resemblance between pancreatic lymphoepithelial cysts and other macrocystic lesions of the pancreas, their accurate diagnosis has posed a great challenge to both radiologists and clinicians alike [31]. This difficulty has also been compounded by reports showing that lymphoepithelial cysts can present with increased levels of pancreatic tumor biomarkers such as carbohydrate antigen (CA 19-9) and carcinoembryonic antigen (CEA) [12, 32]. Nevertheless, concerning serum biomarkers, a recent study by Madan et al. has suggested that an aspirated pancreatic cystic fluid CEA of more than 800 ng/mL should necessitate surgical enucleation [33].
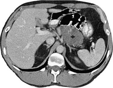
CT imaging has been attempted by several authors to evaluate pancreatic lymphoepithelial cysts with variable descriptions in the literature. For instance, some authors have characterized these lesions as well-circumscribed, low attenuating masses with thin enhancing rims, septations and focal calcifications [34]. On the other hand, Toumi et al. [13] described pancreatic lymphoepithelial cysts on CT scan as lobulated, non-enhancing and sharply demarcated lesions with focal calcifications, often in the absence of pancreatic ductal dilatation or atrophy (Figure 1). In addition, while most cases of lymphoepithelial cysts are either multicystic or unilocular with thin septations [34], the lymphoepithelial cyst case reported by Neyman et al. (2005) was not only unilocular, but also lacked septations, clear wall enhancements, or regions of fat attenuation [35]. Thus, pancreatic lymphoepithelial cysts may have papillary projections, small solid components, wall calcifications and/or thin wall enhancements on conventional CT imaging [26, 34]. This variation has led some authors to argue that three-dimensional computed tomography (3D-CT) scan, rather than the conventional scan, may be better suited to differentiate lymphoepithelial cysts from other lesions of the pancreas [35]. So far, this assertion has been supported by a recent study which showed that when compared to serous cystadenomas and mucinous cystadenomas, lymphoepithelial cysts had a predominantly extra-pancreatic 3D location and higher precontrast CT attenuation. Moreover, they were noted to be smaller and more frequently microlobulated than mucinous cystadenomas [36].

|
Figure 1. An axial CT image showing a large, hypodense lymphoepithelial cyst with internal septations within the tail of the pancreas. (Reproduced with permission from Toumi et al. [13]). |
More recently, endoscopic ultrasound (EUS) and EUS-guided fine-needle aspiration (EUS-FNA) studies have shown great promise in preoperative studies of pancreatic lymphoepithelial cysts that could potentially eliminate the need for surgical diagnosis [9, 37]. According to Sewkani et al. (2010), lymphoepithelial cysts typically appear on EUS as hypoechoic cystic lesions which are either unilocular or multilocular [3]. Rarely, the debris within these cysts may give hyperechoic appearance on ultrasound imaging [38].
Proponents of EUS-FNA attest to its minimally-invasive nature, and also to the cystic fluid contents of lymphoepithelial cysts which can readily be differentiated from those of pseudocysts or malignant cystic neoplasms. Aspirates containing squamous epithelial materials rich in lymphocytes are almost pathognomonic for lymphoepithelial cyst [3]. On the contrary, malignant cystic neoplasms rarely have lymphoid reactions and often do not form sub-epithelial bands like lymphoepithelial cysts. A retrospective study by Nasr et al. reported that of the 9 patients who underwent EUS-FNA, 6 patients avoided surgery based on cytological results alone [39]. The unresolved concern with EUS-FNA is that in case of a cystic neoplasm, it may cause dissemination of malignant cells through fluid leakage from the cyst [40, 41]. Zieliñska-Pajak et al. (2008) also noted that while FNA is useful for differentiating pancreatic lymphoepithelial cysts from other cysts, in the absence of squamous epithelial material rich in lymphocytes, it may be difficult to ascertain the true cytological picture of the aspirate [42].
In magnetic resonance imaging (MRI) studies, a pancreatic lymphoepithelial cyst lesion has been described as a solid, homogenously hypointense mass on T1-weighted images. When gadolinium contrast is administered, the rim enhances while the hypointensity of the central core remains constant [27, 43]. A unique “cheerios-like” appearance of lymphoepithelial cysts on T2-weighted MRI studies has also been reported [30].
Kudo et al. (2011) recently showed that in-phase and out-of-phase MRI scans can greatly distinguish lymphoepithelial cysts from other cystic lesions of the pancreas, signaling a significant step towards preoperative diagnosis [8]. This novel approach depends on the phase difference caused by the variation in resonance frequency of hydrogen protons in water and fat. A similar intensity between in-phase and out-of-phase is observed if the tissue includes only water or fat. On the other hand, co-existence of water and fat leads to major signal reduction of out-of-phase MRI versus in-phase MRI. The authors observed that in cases of pancreatic mucinous cystic tumors or intraductal papillary neoplasms, there were no differences in intensity between in-phase and out-of-phase MRI scans. However, with lymphoepithelial cysts, a gap of signal reduction was evident between the out-of-phase MRI compared with in-phase MRI, confirming the co-existence of fat and water in these cysts [8] (Figure 2).

|
Figure 2. An image showing in-phase (a.) and out-of-phase (b.) MRI with significant decrease of MR intensity in the lymphoepithelial cyst. (Reproduced with permission from Kudo et al. [8]). |
The authors can confirm that although significant improvements in imaging and characterization of pancreatic lymphoepithelial cysts have occurred over the last decade, major successes in preoperative diagnosis have only been sparsely reported. Thus, surgical excision with pathological examination is still used to confirm the diagnosis.
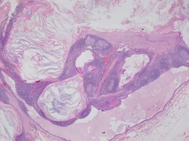
A gross pancreatic lymphoepithelial cyst mass has been described as pink, friable, and filled with keratinous yellowish-white material [13, 28]. Histological examination classically shows a true cyst lined by stratified squamous-type epithelium and surrounded by a dense band of lymphoid tissues with germinal centers [44] (Figure 3). Mucous cells have also been reported in up to 78% of these cysts [6, 13].

|
Figure 3. Microscopic picture of pancreatic lymphoepithelial cyst showing lymphoid nodules with germinal centers outside the cyst’s thin, keratinized epithelial lining. (Reproduced with permission from England and Allen [44]). |
Management of Pancreatic Lymphoepithelial Cysts
The management approach to pancreatic lymphoepithelial cysts largely depends on whether or not they are preoperatively diagnosed. Based on our review, watchful waiting may be all that is needed in cases where EUS-guided FNA or MRI is strongly suggestive of an lymphoepithelial cyst [3, 39]. On the other hand, surgical enucleation is both diagnostic and therapeutic, and should be done if the cyst is greater than 3 cm and/or the patient also has symptoms suggestive of a neoplasm [6, 26]. When indicated, Toumi et al. recently reported that laparoscopic surgical intervention is as effective as conventional laparotomy, with the added benefit of less blood loss and decreased length of hospital stay [45]. The authors have proposed an algorithm for the management of lymphoepithelial cysts shown in Figure 4.

|
Figure 4. Proposed algorithm for diagnosis and management of lymphoepithelial cysts (LEC). |
Prognosis
Pancreatic lymphoepithelial cysts are benign and we found no report of their malignant transformation or recurrence after surgical resection [3, 31]. They can therefore be managed conservatively with excellent outcomes [14].
Conclusion
lymphoepithelial cysts of the pancreas are benign and rare. However, since they often mimic pancreatic cystic tumors, their preliminary diagnosis is crucial to help patients avoid the psychological and surgical stress that come with pancreatic neoplasms. Up until now, the best diagnostic approach has been surgical removal and analysis. Nevertheless, based on our review, we can affirm that with 3D-CT scans, in-phase and out-of-phase MRI scans, and EUS-guided FNA studies preoperative diagnosis is possible. The cost-effectiveness of using these techniques in tandem and their availability remain the major limitation.
Received September 3rd, 2011 – Accepted November 27th, 2012
Key words Endosonography; General Surgery; HIV Infections; Magnetic Resonance Imaging; Pancreas; Pancreatic Cyst; Tomography, X-Ray Computed
Abbreviations EBV: Ebstein-Barr virus
Financial disclosures None
Conflict of interest None
Correspondence
Stephen Osiro
Department of Medicine
Woodhull Medical Center
Brooklyn, NY 11206
USA
Phone: +1-347.265.5542
Fax: +1-718.963.8753
E-mail: berilonson@gmail.com
References
1. Molvar C, Kayhan A, Lakadamyali H, Oto A. Nonneoplastic cystic lesions of pancreas: a practical clinical, histologic, and radiologic approach. Curr Probl Diagn Radiol. 2011;40:141-148. [PMID: 21616276].
2. Luchtrath H, Schriefers KH. A pancreatic cyst with features of a so-called branchiogenic cyst. Pathologe. 1985;6:217–219. [PMID: 4048076].
3. Sewkani A, Purohit D, Singh V, Purohit D, Varshney R, Varshney S. Lymphoepithelial cyst of the pancreas: a rare case report and review of literature. Indian J Surg. 2010;72:427–432. [PMID: 22131649].
4. Truong LD, Rangdaeng S, Jordan PH. Lymphoepithelial cyst of the pancreas. Am J Surg Pathol. 1987;11:899–903. [PMID: 3674287].
5. Adsay NV, Hasteh F, Cheng JD, Bejarano PA, Lauwers GY, Batts KP. Lymphoepithelial cysts of the pancreas: a report of 12 cases and a review of the literature. Mod Pathol. 2002;15:492–501. [PMID: 12011254].
6. Raval JS, Zeh HJ, Moser AJ, Lee KK, Sanders MK, Navina S. Pancreatic lymphoepithelial cysts express CEA and can contain mucous cells: potential pitfalls in the preoperative diagnosis. Mod Pathol. 2010;23:1467-1476. [PMID: 20802468].
7. Kalb B, Sarmiento JM, Kooby DA, Adsay NV, Martin DR. MR Imaging of cystic lesions of the pancreas. Radiographics. 2009;29:1749–1765. [PMID: 19959519].
8. Kudo D, Hashimoto N, Toyoki Y, Narumi S, Hakamada K. Usefulness of in-phase and out-of-phase magnetic resonance imaging for the detection of pancreatic lymphoepithelial cyst. Hepatogastroenterology. 2011;58:1403-1404. [PMID: 21937416].
9. Jian B, Kimbrell HZ, Sepulveda A, Yu G. Lymphoepithelial cysts of the pancreas: endosonography-guided fine needle aspiration. Diagn Cytopathol. 2008;36:662-665. [PMID: 18677749].
10. Garcea G, Ong SL, Rajesh A, Neal CP, Pollard CA, Berry DP, Dennison AR. Cystic lesions of the pancreas. A diagnostic and management dilemma. Pancreatology. 2008;8:236–251. [PMID: 18497542]
11. Chatelain D, Couvelard A, Hammel P, Terris B, Palazzo L, Verhaeghe P, et al. Lympho-epithelial cyst of the pancreas: a difficult diagnosis. About two cases. Gastroenterol Clin Biol. 2002;26:935-938. [PMID: 12434105].
12. Barbaros U, Erbil Y, Kapran Y, Bozbora A, Ozarmagan S, Bilgiç B. Lymphoepithelial cyst: a rare cystic tumor of the pancreas which mimics carcinoma. JOP. 2004;5:392-394. [PMID: 15365210].
13. Toumi Z, Ammori MB, Al-Habba S, Filobbos R, Ammori BJ. Laparoscopic distal pancreatectomy for a large pancreatic lymphoepithelial cyst: a rare entity. Surg Laparosc Endosc Percutan Tech. 2010;20:e211-214. [PMID: 21150405].
14. Clemente G, Sarno G, De Rose AM, Giordano M, Ricci R, Vecchio FM, Nuzzo G. Lymphoepithelial cyst of the pancreas: case report and review of the literature. Acta Gastroenterol Belg. 2011;74:343-346. [PMID: 21861322].
15. Truong LD, Stewart MG, Hao H, Yutani C, Jordan PH. A comprehensive characterization of lymphoepithelial cyst associated with the pancreas. Am J Surg. 1995;170:27–32. [PMID: 7793490].
16. Schwarz RE, Weiss LM. Lymphoepithelial cyst of the pancreas. No evidence for Epstein-Barr virus-related pathogenesis. Int J Pancreatol. 1999;25:223–227. [PMID: 10453424]
17. Bédat B, Genevay M, Dumonceau JM, Frossard JL, Forget J, Morel P, Berney T. Association between lymphoepithelial cysts of the pancreas and HIV infection. Pancreatology. 2012;12:61-64. [PMID: 22487477].
18. Iacono C, Cracco N, Zamboni G, Bernardello F, Zicari M, Marino F, et al. Lymphoepithelial cyst of the pancreas. Report of two cases and review of the literature. Int J Pancreatol. 1996;19:71–76. [PMID: 8656030].
19. Schinke-Nickl DA, Muller MF. Case report: Lymphoepithelial cyst of the pancreas. Br J Radiol. 1996;69:876–878. [PMID: 8983597].
20. Adsay NV, Hasteh F, Cheng JD, Klimstra DS. Squamous-lined cysts of the pancreas: Lymphoepithelial cysts, dermoid cysts (teratomas), and accessory-splenic epidermoid cysts. Semin Diagn Pathol. 2000;17:56–65. [PMID: 10721807].
21. Hisaoka M, Haratake J, Horie A, Yasunami Y, Kimura T. Lymphoepithelial cyst of the pancreas in a 65-year-old man. Hum Pathol. 1991;22:924–926. [PMID: 1717361]
22. Arai T, Kino I, Nakamura S, Ogawa H. Epidermal inclusions in abdominal lymph nodes. Report of two cases studied immunohistochemically. Acta Pathol Jpn. 1992;42:126-129. [PMID: 1561883].
23. Sako S, Isozaki H, Hara H, Tsutsumi A, Tanigawa N. Cystic lymphoepithelial lesions of the pancreas and peripancreatic region: report of two cases. Surg Today. 1999;29:467–471. [PMID: 10333422].
24. Capitanich P, Iovaldi ML, Medrano M, Malizia P, Herrera J, Celeste F, et al. Lymphoepithelial cysts of the pancreas: case report and review of the literature. J Gastrointest Surg. 2004;8:342–345. [PMID: 15019932].
25. Tateyama H, Tada T, Murase T, Fujitake S, Eimoto T. Lymphoepithelial cyst and epidermoid cyst of the accessory spleen in the pancreas. Mod Pathol. 1998;1171-1177. [PMID: 9872647].
26. Maekawa H, Yoneyama H, Komatsu Y, Orita H, Sakurada M, Sato K, Yamano M. Pancreatic lymphoepithelial cyst with an intracystic papillary projection. Report of a case. JOP. 2009;10:694-696. [PMID: 19890197].
27. Yamaguchi T, Takahashi H, Kagawar R, Takeda R, Sakata S, Yamamoto M, Nishizaki D. Lymphoepithelial cyst of the pancreas associated with elevated CA 19-9 levels. J Hepatobiliary Pancreat Surg. 2008;15:652-654. [PMID: 18987938].
28. Nam SJ, Hwang HK, Kim H, Yu JS, Yoon DS, Chung JJ, et al. Lymphoepithelial cysts in the pancreas: MRI of two cases with emphasis of diffusion-weighted imaging characteristics. J Magn Reson Imaging. 2010;32:692-696. [PMID: 20815068].
29. Micke O, Schafer U, Willich N. Persistent elevation of CA 19–9 levels in a patient with an extended retroperitoneal dermoid. Anticancer Res. 1999;19:2717–2720. [PMID: 10470227].
30. Matrone A, Russo M, Mollica C, Lombardi D, Lombardi G, Maurea S, Imbriaco M. Lymphoepithelial pancreatic cyst: an atypical benign pancreatic mass presenting with a “cheerios-like” appearance. JOP. 2010;11:170-172. [PMID: 20208329].
31. Karim Z, Walker B, Lam E. Lymphoepithelial cysts of the pancreas: the use of endoscopic ultrasound-guided fine-needle aspiration in diagnosis. Can J Gastroenterol. 2010;24:348–350. [PMID: 20559575].
32. Idetsu A, Ojima H, Saito K, Hirayama I, Hosouchi Y, Nishida Y, et al. Lymphoepithelial cyst of the pancreas: report of a case. Surg Today. 2008;38:68-71. [PMID: 18085369].
33. Madan R, Khan E, Cuka N, Olyaee M, Tawfik O, Fan F. Pancreatic cystic lesions without overt cytologic atypia: proposed diagnostic categories for endoscopic ultrasound-guided fine-needle aspiration cytology with utilization of fluid carcinoembryonic antigen level. Acta Cytol. 2012;56:34-40. [PMID: 22236743].
34. Kim YH, Auh YH, Kim KW, Lee MG, Kim KS, Park SY. Lymphoepithelial cysts of the pancreas: CT and sonographic findings. Abdom Imaging. 1998;23:185–187. [PMID: 9516512].
35. Neyman EG, Georgiades CS, Horton KH, Lillemoe KD, Fishman EK. Lymphoepithelial cyst of the pancreas—evaluation with multidetector CT. Clin Imaging. 2005;29:345-347. [PMID: 16153542].
36. Kim WH, Lee JY, Park HS, Won HJ, Kim YH, Choi JY. Lymphoepithelial cyst of the pancreas: comparison of CT findings with other pancreatic cystic lesions. Abdom Imaging. 2012;[Epub ahead of print]. [PMID: 22610041].
37. Renou C, Giovannini M, Monges G, Rifflet H, Muller P, Harafa A, et al. Pitfalls of cyst fluid findings obtained by endoscopic ultrasonography fine-needle aspiration on a pancreatic lymphoepithelial cyst. Am J Gastroenterol. 2007;102:213-215. [PMID: 17278274].
38. Ahlawat SK. Lymphoepithelial cyst of the pancreas: role of endoscopic ultrasound guided fine needle aspiration. JOP. 2008;9:230–234. [PMID: 18326936].
39. Nasr J, Sanders M, Fasanella K, Khalid A, McGrath K. Lymphoepithelial cysts of the pancreas: an EUS case series. Gastrointest Endosc. 2008; 68:170-173. [PMID: 19513719].
40. Rafii A, Ferron G, Lacroix-Triki M, Dalenc F, Gladieff L, Querleu D. Abdominal wall metastasis of ovarian carcinoma after low transverse abdominal incision: report of two cases and review of literature. Int J Gynecol Cancer. 2006;16:334–337. [PMID: 16515617].
41. Hirooka Y, Goto H, Itoh A, Hashimoto S, Niwa K, Ishikawa H. Case of intraductal papillary mucinous tumor in which endosonography- guided fine-needle aspiration biopsy caused dissemination. J Gastroenterol Hepatol. 2003;18:1323–1324. [PMID: 14535994].
42. Zieliñska-Pajak E, Liszka L, Pajak J, Gołka D, Lampe P, Pilch-Kowalczyk J, Mrowiec S. Two cases of lymphoepithelial cyst of the pancreas: first - a cyst coexisting with a primary gastric lymphoma, second - incidentally found pancreatic cyst. Z Gastroenterol. 2008;46:1188-1193. [PMID: 18937188].
43. Koga H, Takayasu K, Mukai K, Muramatsu Y, Mizuguchi Y, Furukawa H, et al. CT of lymphoepithelial cysts of the pancreas. J Comput Assist Tomogr. 1995;19:221-224. [PMID: 7890845].
44. England GM, Allen PW. Selected case from the Arkadi M. Rywlin International Pathology Slide Seminar: benign lymphoepithelial cyst, head of pancreas. Adv Anat Pathol. 2011; 18:98-100. [PMID: 21169743].
45. Briggs CD, Mann CD, Irving GR, Neal CP, Peterson M, Cameron IC, Berry DP. Systematic review of minimally invasive pancreatic resection. J Gastrointest Surg. 2009;13:1129–1137. [PMID: 19130151].