CASE REPORT
JOP. J Pancreas (Online) 2013 Jan 10; 14(1):81-84.
Acute Necrotizing Pancreatitis Associated with Vildagliptin
Purnima Kunjathaya, Pradeep Kakkadasam Ramaswami, Anupama Nagar Krishnamurthy, Naresh Bhat
Department of Gastroenterology, Columbia Asia Referral Hospital. Bangalore, India
ABSTRACT
Context To report a case of acute necrotizing pancreatitis in a patient receiving vildagliptin. Case report A 49-year-old man presented to us with severe abdominal pain and was diagnosed to have pancreatitis three weeks after the commencement of vildagliptin for the treatment of uncontrolled type 2 diabetes mellitus. His serum amylase was 2,215 U/L at admission, with contrast enhanced computed tomography (CECT) of the abdomen and pelvis showing features of acute pancreatitis. The patient had a prolonged hospital course and underwent laparoscopic pancreatic necrosectomy to relieve him of his biliary obstruction and an endoscopic retrograde cholangiopancreatography (ERCP) and biliary stenting as he had an avulsion of the cystic duct during surgery. Conclusions Acute pancreatitis as a complication of other incretin-based therapy like sitagliptin and exenatide is known and well reported, and has prompted the US Food and Drug Administration to issue an alert on these drugs. This appears to be the first reported case of acute necrotizing pancreatitis in a patient receiving vildagliptin in India and reinforces the need to be more judicious in the use of this medication.
INTRODUCTION
Glucagon-like peptide 1 (GLP-1) agonists like exenatide and liraglutide and dipeptidyl peptidase-4 (DPP-4) inhibitors like sitagliptin and vildagliptin are promising new medicines for the treatment of type 2 diabetes mellitus. They are supposed to improve glycemic control without causing severe hypoglycemia [1]. Preclinical and clinical trial data developed with sitagliptin to date did not indicate an increased risk of pancreatitis in patients with type 2 diabetes mellitus treated with sitagliptin [2]. However, postmarketing events of pancreatitis continue to be reported in patients being treated either with exenatide or sitagliptin, prompting the US Food and Drug Administration (FDA) to issue alerts against this potential adverse reaction [2, 3, 4, 5, 6]. Recently, reports of pancreatitis during treatment with liraglutide have also been published [7, 8]. Unlike sitagliptin, there has been only one case report of acute pancreatitis due to vildagliptin so far [9].
CASE REPORT
A 49-year-old man presented with a one-day history of severe upper abdominal pain and vomiting. He had been diagnosed as having type 2 diabetes mellitus about 9 years earlier and was being treated with oral hypoglycemic agents. In view of suboptimal control with metformin and glimepiride his physician had started him on vildagliptin, 50 mg twice daily, 3 weeks earlier.
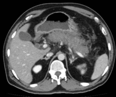
On physical examination, he had a heart rate of 110 beats/min and a respiratory rate of 22 cycles/min. His blood pressure was 124/86 mm of Hg and he was afebrile. Abdominal examination revealed epigastric tenderness with guarding, liver dullness was not obliterated. We made a diagnosis of acute pancreatitis on the basis of clinical, laboratory data and radiologic findings. serum amylase level was 2,215 U/L (reference range: 30-100 IU/L) and CECT abdomen and pelvis showed features of interstitial pancreatitis (Figure 1). On the day of admission his liver function test, serum calcium and serum triglycerides level were normal (Table 1). Chest X-ray showed a small left pleural effusion and ultrasound of the abdomen did not show gallstones. He did not smoke or consume alcohol, and was not obese (body mass index: 27 kg/m2).

|
Figure 1. CECT abdomen on day 1 showing interstitial pancreatitis with peripancreatic inflammation. |
|
Table 1. Time course of laboratory data. |
||||||||
|
|
Reference |
Day 1 |
Day 3 |
Day 6 |
Day 11 |
Day 24 |
Day 27 |
Day 35 |
|
Hemoglobin (g/dL) |
14-18 |
15.4 |
11.9 |
10.9 |
10.7 |
9.5 |
- |
11.6 |
|
Packed cell volume (Hematocrit; %) |
41-53 |
44.4 |
33 |
33 |
31.8 |
27.5 |
- |
34 |
|
Total leukocyte count (cells/mm3) |
4,000-11,000 |
12,100 |
8,900 |
9,200 |
14,200 |
11,300 |
- |
7,200 |
|
Blood urea (mg/dL) |
8-25 |
16 |
- |
- |
- |
20 |
21 |
42 |
|
Serum creatinine (mg/dL) |
0.40-1.20 |
0.67 |
- |
- |
- |
0.69 |
0.70 |
1.15 |
|
Total bilirubin (mg/dL) |
0.10-1.10 |
1.42 |
- |
- |
- |
9.80 |
11.17 |
9.4 |
|
Direct bilirubin (mg/dL) |
0-0.40 |
0.35 |
- |
- |
- |
5.97 |
6.79 |
6.20 |
|
Aspartate transaminase (AST; IU/L) |
5-40 |
30 |
- |
- |
- |
72 |
70 |
98 |
|
Alanine transaminase (ALT; IU/L) |
5-40 |
20 |
- |
- |
- |
27 |
28 |
43 |
|
Alkaline phosphatase (IU/L) |
30-90 |
63 |
- |
- |
- |
540 |
419 |
305 |
|
GGT (IU/L) |
20-40 |
26 |
- |
- |
- |
695 |
557 |
390 |
|
Serum amylase (U/L) |
30-100 |
2,215 |
- |
- |
- |
- |
- |
- |
|
Serum triglycerides (mg/dL) |
0-150 |
111 |
- |
- |
- |
- |
- |
- |
|
Serum calcium (mg/dL) |
8-10 |
8.1 |
- |
- |
- |
- |
- |
- |
|
Serum albumin (g/dL) |
3.5-4.5 |
3.6 |
- |
- |
- |
1.6 |
1.6 |
- |
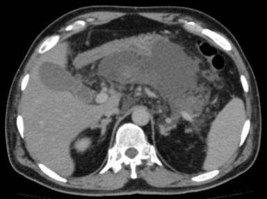
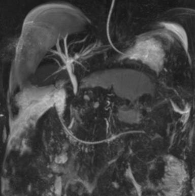
He was admitted into the intensive care unit, his oral hypoglycemic agents were discontinued and was initiated on insulin. A repeat CECT abdomen on the fifth day showed extensive pancreatic and peripancreatic necrosis (Figure 2). His hospital stay was complicated by worsening jaundice, a magnetic resonance cholangiopancreatography showed necrotic debris compressing on the common bile duct (Figure 3). He underwent a laparoscopic pancreatic necrosectomy with a laparoscopic cholecystectomy and placement of a feeding jejunostomy tube. Intra-operatively the gallbladder was found to be gangrenous with a friable biliary tract, and there was an avulsion of the cystic duct. On the ninth post-operative day he underwent an ERCP and stenting of the common bile duct. Further, his hospital course was complicated by methicillin resistant Staphylococcus Aureus infection in the central venous catheter which was treated with intravenous vancomycin. He was discharged from the hospital on the fiftieth day of hospital stay in a stable state. On follow up for 9 months post discharge, and on insulin for his diabetes, our patient is healthy and asymptomatic.

|
Figure 2. CECT abdomen on day 5 showing pancreatic and peripancreatic necrosis. |

|
Figure 3. MRI abdomen on day 28 showing pancreatic necrosis compressing on the common bile duct. |
DISCUSSION
GLP-1 is a proglucagon-derived peptide secreted from the L cells of the gut in response to food. It is rapidly inactivated by DPP-4 following secretion. The fraction of intact GLP-1 that survives enzymatic degradation boosts the insulin response to oral glucose, accounting for much of the incretin effect. Inhibition of DPP-4 enhances the physiological GLP-1 response to food and lowers circulating glucose without inducing hypoglycemia. DPP-4 inhibitors exert their actions through prolongation of the actions of GLP-1 and, to a lesser extent, gastric inhibitory polypeptide (GIP). Vildagliptin competitively inhibits DPP-4 by binding to it and forming a complex [1]. The safety profile of sitagliptin and vildagliptin currently appears favorable [2, 10, 11]. The most common adverse effects reported in patients receiving vildagliptin include headache, nasopharyngitis, cough, constipation, dizziness, and increased sweating [11]. In the same meta-analysis by Ligueros-Saylan et al. there was no evidence of an increased risk of pancreatitis following treatment with vildagliptin at the marketed doses of 50 mg od and bid relative to the all comparators group [11]. Vildagliptin is now in its postmarketing phase, and the patient we describe appears to be the first reported case of acute pancreatitis associated with the use of this drug in India.
There have been several postmarketing reports of pancreatitis in patients receiving GLP-1 agonists and DPP-4 inhibitors [2, 3, 4, 7, 8], whether these reports truly reflect a relationship between the medications and the development of pancreatitis or are simply reflective of the increased rate of pancreatitis in diabetics remains to be understood [12, 13, 14]. In a retrospective cohort study, Noel et al. reported a more than 2-fold increased risk of pancreatitis in diabetics than in non-diabetics [14]. The same study also showed an increased risk of pancreatitis in younger diabetics. The authors stated that the non-availability of details of other risk factors (like alcohol use, obesity, use of other medications) was a potential limitation of their study. A retrospective observational analysis demonstrated increased incidence of acute pancreatitis in diabetic versus non-diabetic patients but did not find an association between the use of exenatide or sitagliptin and acute pancreatitis [15]. But the reason for the increased risk of pancreatitis in diabetics is still not clear. It is probably related to the higher rates of known risk factors for pancreatitis, such as gallbladder stones, obesity, hypertriglyceridemia, age and the use of medications potentially associated with pancreatitis [13, 14]. Interestingly, use of insulin and long-term use of metformin have been shown to be associated with a decreased risk of pancreatitis, as opposed to long-term use of sulfonylurea compounds, which seems to increase the risk [13]. Recently, Solanki et al. proposed a role for insulin resistance and hyperglycemia in predisposing diabetics to acute pancreatitis [16].
An analysis of the FDA Adverse Event Reporting System (AERS) database by Butler et al. reported that pancreatitis is more than 6-fold more likely to be reported in association with sitagliptin or exenatide than other therapy in type 2 diabetes. When exenatide and sitagliptin were considered together, the reported event rate of pancreatitis was approximately 10-fold greater than that of other therapies [17]. The same study also showed an increase in reported pancreatic cancer in association with either sitagliptin or exenatide treatment compared to other therapies. However, AERS data do have limitations. There is no certainty that the reported event was actually due to the product. The FDA does not require that a causal relationship between a product and event be proven, and reports do not always contain enough detail to properly evaluate an event. Further, FDA does not receive all adverse event reports that occur with a product. Despite these limitations, the AERS database provides a method to aggregate submitted postmarketing reports, which has resulted in recent updates to the prescribing information regarding postmarketing reports of pancreatitis for both exenatide and sitagliptin [5, 6].
There are no confirmed mechanisms linking GLP-1 agonists or DPP-4 inhibitors to cause pancreatitis. GLP-1 receptors are abundantly expressed in the exocrine pancreas, and sitagliptin therapy has been shown to lead to increased pancreatic ductal replication, acinar to ductal metaplasia, and, less commonly, acute pancreatitis in a rat model of type 2 diabetes [18,19]. Low-grade chronic pancreatitis was noted in most rats treated with exenatide in one study [20] but not in a subsequent study [21]. Activation of the GLP-1 pathway may lead to expression of several pancreatitis-associated genes but this did not translate into significant pancreatic inflammation, at least in a murine model of experimental pancreatitis [22]. Exenatide antibodies have also been shown to develop in 40 to 50% of patients using this drug [23]. Nyborg et al. found no evidence of pancreatic damage in primates treated with liraglutide for up to two years, with doses up to 60 times greater than the clinical dose of liraglutide. This suggests that liraglutide has no direct toxic effect upon the pancreas and that a hypersensitivity reaction or a metabolic idiosyncratic reaction triggered by liraglutide is the most likely mechanism of pancreatic injury [24].
Drug induced acute pancreatitis is rare, accounting for about 0.1-2% of cases [25], and is usually reversible when the offending drug is removed. Definite drug-induced pancreatitis has the following features: 1) follows a temporal sequence; 2) follows a known response pattern; 3) confirmed by cessation (de-challenge); and 4) confirmed by re-challenge [25]. Since re-challenge is usually ethically impermissible, most drug associations are considered probable if the pancreatitis is unexplained by known characteristics of the patient’s clinical state. Though our patient did not have a re-challenge with the drug, the temporal association of pancreatitis to the initiation of vildagliptin, and the lack of other obvious causes for pancreatitis could make it the potential implicating factor.
We conclude by saying that the acute pancreatitis occurred in this patient while being treated with vildagliptin, but whether there is a causal relationship is not known. Although vildagliptin’s safety is proven in several clinical trials it should be used judiciously in individuals who are at risk of developing pancreatitis and patients on this drug should be monitored for signs and symptoms of acute pancreatitis.
Received September 3rd, 2012 – Accepted November 19th, 2012
Key words Dipeptidyl-Peptidase IV Inhibitors; exenatide; Glucagon-Like Peptide 1; Incretins; liraglutide; sitagliptin
Abbreviations AERS: Adverse Event Reporting System; DPP-4; dipeptidyl peptidase-4; FDA: Food and Drug Administration; GLP-1: glucagon-like peptide 1
Acknowledgement The authors would like to thank Dr. Sanjay Pai for his guidance during the preparation of the manuscript.
Financial support None
Conflict of interest The authors have no potential conflicts of interest
Correspondence
Pradeep
Kakkadasam Ramaswami
Department of Gastroenterology
29/1, Columbia Asia Referral Hospital
Malleshwaram West
Bangalore 560055
India
Phone: +91-803.989.8969
Fax: +91-803.092.5454
E-mail: drkrpradeep@gmail.com
References
1. Richter B, Bandeira-Echtler E, Bergerhoff K, Lerch C. Emerging role of dipeptidyl peptidase-4 inhibitors in the management of type 2 diabetes. Vasc Health and Risk Manag 2008;4:753-768. [PMID: 19065993]
2. Engel SS, Williams-Herman DE, Golm GT, Clay RJ, Machotka SV, Kaufman KD, Goldstein BJ. Sitagliptin: review of preclinical and clinical data regarding incidence of pancreatitis. Int J Clin Pract June 2010; 64(7); 984–990. [PMID: 20412332]
3. Tripathy NR, Basha S, Jain R, Shetty S, Ramachandran A. Exenatide and acute pancreatitis. J Assoc Physicians India 2008;56:987-988. [PMID: 19322980]
4. Iyer SN, Drake AJ 3rd, West RL, Mendez CE, Tanenberg RJ. Case report of acute necrotizing pancreatitis associated with combination treatment of sitagliptin and exenatide. Endocr Pract. 2012 Jan-Feb; 18(1):e10-3. [PMID: 22068258]
5. U.S. Food and Drug Administration. MedWatch 2009 Safety Alerts for Human Medical Products: Sitagliptin - acute pancreatitis. (http://www.fda.gov/safety/MedWatch/Safety Information/Safety Alerts for Human Medical Products/ucm183800.htm) September 25, 2009.
6. U.S. Food and Drug Administration. Information for healthcare professionals: Exenatide: (www.fda.gov/drugs/drugsafety/postmarket drug safety information for patients and providers/ucm124713.htm) August 8, 2008.
7. Lee PH, Stockton MD, and Franks AS. Acute pancreatitis associated with Liraglutide. Ann Pharmacother 2011; 45:e22. [PMID: 21487080]
8. Famularo G, Gasborrone L, Minisola G. Pancreatitis During Treatment with Liraglutide. JOP 2012 Sep 10; 13(5):540-541. [PMID: 22964963]
9. Girgis, CM and Champion, BL. Vildagliptin-induced pancreatitis. Endocr Pract 2011;17:e48-e50. [PMID: 21324812]
10. Williams-Herman D, Engel SS, Round E et al. Safety and tolerability of sitagliptin in clinical studies: a pooled analysis of data from 10,246 patients with type 2 diabetes. BMC Endocr Disord 2010;10:7. [PMID: 20412573]
11. Ligueros-Saylan M, Foley JE, Schweizer A, Couturier W, Kothny W. An assessment of adverse effects of vildagliptin versus comparators on the liver, the pancreas, the immune system, the skin and in patients with impaired renal function from a large pooled database of phase II and III clinical trials. Diabetes Obes Metab 2010;12(6):495-509. [PMID: 20518805]
12. Lai SW, Muo CH, Liao KF, Sung FC, Chen PC. Risk of acute pancreatitis in type 2 diabetes and risk reduction on anti-diabetic drugs: apopulation-based cohort study in Taiwan. Am J Gastroenterol. 2011 Sep;106(9):1697-704. [PMID: 21577242]
13. Gonzalez-Perez A, Schlienger RG, Rodríguez LA. Acute pancreatitis in association with type 2 diabetes and antidiabetic drugs:a population-based cohort study. Diabetes Care. 2010 Dec;33(12):2580-5. [PMID: 20833867]
14. Noel RA, Braun DK, Patterson RE, Bloomgren GL. Increased risk of acute pancreatitis and biliary disease observed inpatients with type 2 diabetes: a retrospective cohort study. Diabetes Care. 2009 May;32(5):834-8. [PMID: 19208917]
15. Garg R, Chen W, Pendergrass M. Acute pancreatitis in type 2 diabetes treated with exenatide or sitagliptin: a retrospective observational pharmacy claims analysis. Diabetes Care. 2010;33:2349-2354. [PMID: 20682680]
16. Solanki NS, Barreto SG, Saccone GT.Acute pancreatitis due to diabetes: the role of hyperglycaemia and insulin resistance. Pancreatology. 2012 May-Jun;12(3):234-9. [PMID: 22687379]
17. Butler P, Elashoff M et al. Pancreatitis, Pancreatic, and Thyroid Cancer With Glucagon-Like Peptide-1–Based Therapies. Gastroenterology 2011;141:150–156. [PMID: 21334333]
18. Butler AE, Galasso R, Matveyenko A, Rizza RA, Dry S, Butler PC. Pancreatic duct replication is increased with obesity and type 2 diabetes in humans. Diabetologia 2010;53:21-26. [PMID: 19844672]
19. Matveyenko AV, Dry S, Cox HI, et al. Beneficial endocrine but adverse exocrine effects of sitagliptin in the human islet amyloid polypeptide transgenic rat model of type 2 diabetes: interactions with metformin. Diabetes 2009;58: 1604 –1615. [PMID: 19403868]
20. Nachnani JS, Bulchandani DG, Nookala A, et al. Biochemical and histological effects of exendin-4 (exenatide) on the rat pancreas. Diabetologia 2010 Jan;53(1):153-9. [PMID:19756486]
21. Tatarkiewicz K, Smith PA, Sablan EJ, et al. Exenatide does not evoke pancreatitis and attenuates chemically induced pancreatitis in normal and diabetic rodents. Am J Physiol Endocrinol Metab 2010;299:E1076 –E1086. [PMID: 20923958]
22. Koehler JA, Baggio LL, Lamont BJ, et al. Glucagon-like peptide-1- receptor activation modulates pancreatitis-associated gene expression but does not modify the susceptibility to experimental pancreatitis in mice. Diabetes 2009; 58:2148-61. [PMID 19509017]
23. DeFronzo RA, Ratner RE, Han J, et al. Effects of exenatide (exendin-4) on glycemic control and weight over 30 weeks in metformin-treated patients with type 2 diabetes. Diabetes Care 2005;28:1092-1100. [PMID: 15855572]
24. Nyborg NC, Mølck AM, Madsen LW, et al. The human GLP-1 analog liraglutide and the pancreas: evidence for the absence of structural pancreatic changes in three species. Diabetes 2012; 61:1243-9. [PMID 22338093]
25. Nitsche CJ, Jamieson N, Lerch MM, Mayerle JV. Drug induced pancreatitis. Best Prac Res Clin Gastroenterol 2010;24:143-155. [PMID: 20227028]