CASE REPORT
Duodenal GIST Presenting as Large Pancreatic Head Mass: An Uncommon Presentation
Sumitoj Singh, Surinder Paul, Pawan Khandelwal, Sudhir Khichy
Government Medical College. Amritsar, India
ABSTRACT
Context Duodenal gastrointestinal stromal tumors (GIST) are uncommon. They usually present with gastrointestinal bleed, upper abdominal pain or mass abdomen. Tumor arising from the second part of duodenum can be wrongly diagnosed as pancreatic mass. Case report We present a case of a thirty-year-old male who came with chief complaint of mass upper abdomen. On laparotomy there was a 15x10 cm mass arising from the whole of anterior surface head of pancreas and was attached with the second part of duodenum for about 1-2 cm only. Patient underwent pancreaticoduodenectomy and histopathology revealed that tumor was arising from the duodenal wall. Conclusion Duodenal gastrointestinal stromal tumors can grow exophytically into large mass and involve the pancreas without infiltrating microscopically and present as pancreatic head mass.
INTRODUCTION
Gastrointestinal stromal tumors (GIST) are the most common mesenchymal tumors of the gastrointestinal tract with annual incidence of 10-20 per million [1]. Common sites are stomach (60%), small intestine (30%), rectum (5%) and esophagus (<5%). Duodenal GISTs constitute 30% of primary duodenal tumors and less than 5% of gastrointestinal stromal tumors [2, 3]. These tumors mostly occur in second part of duodenum followed by third, fourth and the first part [4].
CASE REPORT
A thirty-year-old man presented with the chief complaint of mass in the right upper abdomen since one and half year. It was gradually increasing in size and was associated with occasional upper abdominal pain. Pain was dull in nature, non-radiating with no specific aggravating and relieving factor. There was history of incomplete bowel evacuation sensation and increased frequency of defecation. There was no history of vomiting, gastrointestinal bleed, jaundice, anorexia and weight loss. On physical examination, there was no pallor, jaundice and lymphadenopathy. A large firm mass about 15x10 cm extending into epigastrium, umbilical and right hypochondrium on per abdomen examination. It had round shape, bosselated surface, smooth margins, and was mobile in the transverse direction. There was no abnormality on digital rectal examination and proctoscopy. Routine laboratory tests were within normal limits. Ultrasound abdomen showed 15x10 cm heterogeneous mass in the umbilical region displacing the adjoining gut loops with no invasion. CECT abdomen showed 15x10 cm size, well defined mass with heterogeneous density in the retroperitoneum extending from pancreas to pelvic brim. It had enhancing peripheral component and non-enhancing (necrotic) central component (Figure 1). Fine needle aspiration cytology of mass smear showed blood only. On exploratory laparotomy there was large hyper vascular mass protruding through the transverse colon mesentery. Mass appeared to be originating from the anterior surface of head of pancreas. It was attached to the whole length of anterior surface of pancreas and macroscopically was not attached with the duodenum except for about one or two cm near the lower end of second part of duodenum (Figure 2). There was no metastasis in liver or peritoneum. Pancreaticoduodenectomy was done. Histopathology showed spindle cell tumor with palisading pattern and foci of necrosis (Figure 3). The mitotic count was up to 15/50 HPF. Tumor was involving duodenal muscularis propria with no infiltration in the duodenal epithelial layer and the pancreas (Figure 4). Immunohistochemical study revealed positive staining for CD117, CD34, vimentin, smooth muscle actin, and negative staining for desmin and CD31 (Figure 5). Based on these findings, the tumor was finally diagnosed as gastrointestinal stromal tumor (GIST) arising from the duodenal wall, growing exophytically and attached with the pancreas without infiltrating the pancreas. Post-operatively patient had biliary leak which was managed conservatively and discharged in satisfactory condition with the advice to take imatinib 400 mg daily.


|
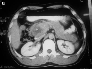
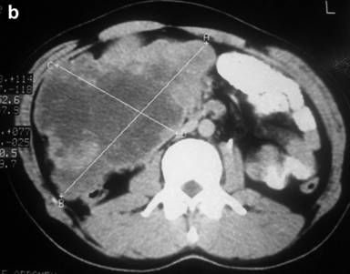
Figure 1. Contrast enhanced computed tomography showing: a. heterogeneous mass arising from pancreas; b. A 15x10 cm heterogeneous mass with peripheral enhancement and central necrosis. |

|
Figure 2. Macroscopic appearance of resected specimens showing tumor attached mainly along the pancreatic head and with duodenum only near the lower end of second part of duodenum. |

|
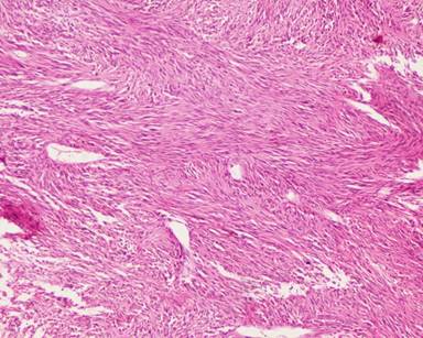
Figure 3. Histopathology showing spindle shaped tumor arranged in palisading pattern (H&E stain, 200x). |

|
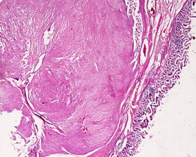
Figure 4. Histopathology showing tumor involving the duodenal wall (H&E stain, 40x).
|

|
Figure 5. Immunohistochemistry showing positivity for CD117 (200x). |
DISCUSSION
Gastrointestinal stromal tumor (GIST) arises from the interstitial cells of Cajal which are located in the submucosal and myentric plexus of gastrointestinal tract. The main mechanism in the pathogenesis of most GISTs is the mutation in one of two receptor tyrosine kinase genes (KIT and PDGFRA). On immunohistochemical staining, 95% are CD117 positive, 70% are CD34, and 40% stains positive for smooth muscle actin [5, 6]. They are typically negative for desmin and S-100 (<5% positive) [5]. There are three main histological cell types of GIST: spindle cell type (most common), epithelioid cell type, and the mixed spindle-epithelioid type [5]. In our case tumor was of spindle type and stained positive for CD117, CD34 and negative for desmin. The mean age of patients with GIST is 53 years and only about the 5% of GIST patients are younger than 30 years [4]. In our case age of patient was 30 years, which is unusual for GIST. Duodenal GIST majority of times presents with gastrointestinal bleeding, epigastric pain, palpable mass and intestinal obstruction [4, 7]. Microscopic mucosal ulceration is common in duodenal GIST without tumor invasion into the epithelial layer. Invasion of epithelial layer is common in tumors which are more than 5 cm in size or mitotically active [4]. Although in our case tumor was of large size and mitotically active, it was not infiltrating into the epithelial layer. It was arising from the muscularis propria of duodenum and growing exophytically onto anterior surface of pancreas and was causing microscopic pressure changes in pancreas without infiltration. This is in accordance with findings noted by Miettinen et al. that when duodenal GISTs extend close to the pancreas they were limited by the pushing border [4].
GISTs present at endoscopy as smooth submucosal bulge or ulceration, which is often done for nonspecific complaints or gastrointestinal bleeding. Endoscopic ultrasound can tell about intramural or extramural origin of tumor and even the layer of origin of intramural tumor. Ultrasound or CT scan guided FNA cytology with large bore needle is usually required as yield with endoscopic ultrasound guided fine needle cytology is suboptimal (66.7%) [8]. Small GIST present at CT scan as homogeneous soft tissue mass with moderate enhancement and large tumor as heterogeneous mass with central necrosis [8, 9]. In the present case endoscopy was not done, the tumor presented as heterogeneous mass with necrotic mass at CT scan and CT guided FNA cytology yielded blood only.
On literature review, there are three case reports in which duodenal GISTs presented as pancreatic tumor [9, 10, 11]. In all these case reports the tumors were relatively of small size and neuroendocrine tumor of pancreas was suspected. In our case, tumor was of large size and attached with pancreas to a large extent than with duodenum. Macroscopically it appeared to be a pancreatic head tumor. It was found only on histopathology that the tumor was arising from duodenal wall.
In a case series by Sandrasegaran et al, CT scans of 19 patients of duodenal GIST were reviewed [12]. Out of these, two patients were reported as possible pancreatic head cancer.
In a study of twenty five cases of duodenal GISTs, preoperative diagnosis was pancreatic head tumor in five cases [13]. These authors noted that GIST located in second part of duodenum were less frequently correctly diagnosed in the pre-operative phase and suggested that in a large periampullary tumor with no jaundice, duodenal GIST should be ruled out.
Surgical resection with tumor free margin is the mainstay of treatment for the patients with primary GISTs without distant metastasis. Surgery can be wedge resection of duodenum with primary closure of duodenum, segmental duodenectomy with duodenal jejunostomy reconstruction or pancreaticoduodenectomy [3]. Limited resection should be done whenever feasible and pancreaticoduodenectomy should be considered for large tumors of first and second part of duodenum and tumors involving the papilla of Vater or the pancreas [3, 13, 14]. Pancreaticoduodenectomy was done in our case, considering it to be a pancreatic head tumor.
Various parameters are described to predict the malignant potential of GIST, such as tumor size, mitotic activity, tumor location, non-radical resection, tumor rupture, peritoneal dissemination, metastasis, and invasion into adjacent organs. National Institute of Health (NIH) consensus criteria (Fletcher’s criteria) proposed risk stratification of tumor behavior based upon its size and mitotic activity. Tumors larger than 10 cm in size with any mitotic count or of any size with mitotic count more than 10/50 HPF are at high risk of aggressive behavior [15, 16, 17, 18]. Adjuvant therapy with imatinib has been recommended in patients with substantial risk of relapse. Risk of relapse is increased in tumors of large size, increased mitotic activity and resection with positive margins. Adjuvant therapy with imatinib has been shown to increase the relapse-free survival but not overall survival [6, 16, 19]. In our case, adjuvant therapy with imatinib was started considering tumor to be high grade (size >10 cm and mitotic figures15/50 HPF) and high recurrence rate in patients with duodenal GIST.
To conclude, duodenal GIST can mimic as a pancreatic head mass.
Received September 10th, 2012 – Accepted September 24th, 2012
Key words Duodenum; Gastrointestinal Stromal Tumors
Conflicts of interests The authors have no potential conflict of interest
Correspondence
Sumitoj
Singh
Government Medical College
C-12, Medical College Campus
Amritsar 143001
India
Phone:+91-987.204.1037
Fax:+91-183.242.6506
E-mail: sumitoj@rediffmail.com
References
1. Beham AW, Schaefer IM, Schüler P, Cameron S, Ghadimi BM. Gastrointestinal stromal tumors. Int J Colorectal Dis. 2012; 27:689-700. [PMID 22124674]
2. Beham A, Schaefer IM, Cameron S, von Hammerstein K, Füzesi L, Ramadori G, Ghadimi MB. Duodenal GIST: a single center experience. Int J Colorectal Dis. 2012 Feb 22. [Epub ahead of print] [PMID 22350270]
3. Buchs NC, Bucher P, Gervaz P, Ostermann S, Pugin F, Morel P. Segmental duodenectomy for gastrointestinal stromal tumor of the duodenum. World J Gastroenterol. 2010; 16:2788-92. [PMID 20533599]
4. Miettinen M, Kopczynski J, Makhlouf HR, Sarlomo-Rikala M, Gyorffy H, Burke A, Sobin LH, et al. Gastrointestinal stromal tumors, intramural leiomyomas, and leiomyosarcomas in the duodenum: a clinicopathologic, immunohistochemical, and molecular genetic study of 167 cases. Am J Surg Pathol 2003; 27:625-41.[ PMID 12717247]
5. Grignol VP, Termuhlen PM. Gastrointestinal stromal tumor surgery and adjuvant therapy. Surg Clin North Am 2011; 91:1079-87.[PMID 21889030]
6. Tan CB, Zhi W, Shahzad G, Mustacchia P. Gastrointestinal stromal tumors: a review of case reports, diagnosis, treatment, and future directions. ISRN Gastroenterol 2012; 2012:595968. Epub 2012 Apr 12. [PMID: 22577569]
7. Yang WL, Yu JR, Wu YJ, Zhu KK, Ding W, Gao Y, Shen QY, et al. Duodenal gastrointestinal stromal tumor: clinical, pathologic, immunohistochemical characteristics, and surgical prognosis. J Surg Oncol 2009 ;100:606-10.[PMID 19697360]
8. Choi H. Imaging modalities of gastrointestinal stromal tumors. J Surg Oncol 2011 ;104:907-14.[PMID 22069176]
9. Kwon SH, Cha HJ, Jung SW, Kim BC, Park JS, Jeong ID, Lee JH, et al. A gastrointestinal stromal tumor of the duodenum masquerading as a pancreatic head tumor. World J Gastroenterol 2007; 13:3396-9. [PMID 17659684]
10. Uchida H, Sasaki A, Iwaki K, Tominaga M, Yada K, Iwashita Y, Shibata K, et al. An extramural gastrointestinal stromal tumor of the duodenum mimicking a pancreatic head tumor. J Hepatobiliary Pancreat Surg 2005; 12:324-7. [PMID 16133702]
11. Frampton AE, Bong JJ, Kyriakides C, Cohen P, Jiao LR. En bloc resection of the pancreatic head and second part of duodenum for a duodenal gastrointestinal stromal tumor: a multi-media report. JOP 2010; 11:396-400.[PMID: 20601819]
12. Sandrasegaran K, Rajesh A, Rushing DA, Rydberg J, Akisik FM, Henley JD. Gastrointestinal stromal tumors: CT and MRI findings. Eur Radiol 2005; 15:1407-14. [PMID 15761716]
13. Tien YW, Lee CY, Huang CC, Hu RH, Lee PH. Surgery for gastrointestinal stromal tumors of the duodenum. Ann Surg Oncol 2010; 17:109-14. [ PMID 19841981]
14. Chung JC, Chu CW, Cho GS, Shin EJ, Lim CW, Kim HC, Song OP. Management and outcome of gastrointestinal stromal tumors of the duodenum. J Gastrointest Surg 2010; 14:880-3.[PMID 20140534]
15. Miki Y, Kurokawa Y, Hirao M, Fujitani K, Iwasa Y, Mano M, Nakamori S, et al. Survival analysis of patients with duodenal gastrointestinal stromal tumors. J Clin Gastroenterol 2010 ;44:97-101.[ PMID 19809358]
16. Eisenberg BL, Trent JC. Adjuvant and neoadjuvant imatinib therapy: current role in the management of gastrointestinal stromal tumors. Int J Cancer 2011 ;129:2533-42. [PMID: 21671474]
17. Fletcher CD, Berman JJ, Corless C, Gorstein F, Lasota J, Longley BJ, Miettinen M, et al Diagnosis of gastrointestinal stromal tumors: A consensus approach. Hum Pathol 2002; 33:459-465. [PMID:12094370]
18. Agaimy A. Gastrointestinal stromal tumors (GIST) from risk stratification systems to the new TNM proposal: more questions than answers? A review emphasizing the need for a standardized GIST reporting. Int J Clin Exp Pathol. 2010; 3:461-71. [PMID: 20606727]
19. Pisters PW, Colombo C. Adjuvant imatinib therapy for gastrointestinal stromal tumors. J Surg Oncol. 2011; 104:896-900 [ PMID: 22069174]