CASE REPORT
JOP. J Pancreas (Online) 2013 Jan 10; 14(1):71-73.
Mixed Neuroendocrine Tumor of the Common Bile Duct
Revital Linder1, Tatiana Dorfman1, Offir Ben-Ishay1, Eli Kakiashvili1, Eugene Velodavsky2, Yoram Kluger1
1Division of Surgical Oncology, Department of General Surgery, and 2Institute of Pathology; Rambam Health Care Center. Haifa, Israel
ABSTRACT
Context Mixed adenoendocrine tumors of the extrahepatic bile ducts are exceedingly rare and most of those who are rarely diagnosed are adenocarcinomas. Neuroendorine tumors accounts for only 0.2-2%. Case report We report a case of mixed adenoneuroendo-carcinoma of the common bile duct in an 82-year-old male. Conclusion Clinical experience suggests that the neuroendocrine component of mixed tumors behave more aggressively than the regular biliary adenocarcinoma component. This clinical behavior may have an important role in the management of this clinical entity.
INTRODUCTION
Composite gastrointestinal tumors of both glandular and neuroendocrine elements are rare. These tumors may occur anywhere along the gastrointestinal tract, the appendix being the most commonly involved site. Other sites that may present with this rare pathology are the colon, stomach, esophagus and duodenum. The World Health Organization (WHO) classification (2000) has been widely used to categorize neuroendocrine tumors (NETs) for all anatomical sites [1]. Neuroendocrine tumors are histologically and biologically classed as well-differentiated tumors, well-differentiated carcinomas (NECs; low grade malignancy), poorly differentiated carcinomas (high grade malignancy), and mixed exocrine-endocrine carcinomas [2, 3]. Tumors are characterized by the expression of markers such as chromogranin A, synaptophysin and the production of hormonal substances including serotonin, gastrin, and somatostatin [4]. Functional classifications are of little value as most NETs are non-functional.
Mixed adenoendocrine tumors of the extrahepatic bile ducts are exceedingly rare and most of those who are rarely diagnosed are adenocarcinomas. NET accounts for only 0.2-2% [5, 6].
We report a case of mixed adeno-neuroendo-carcinoma of the common bile duct in an a 82-year-old male.
CASE REPORT
An 82-year-old man was admitted to the hospital with a 3-month history of abdominal pain, weight loss, acholic stools and painless jaundice. The patient’s medical history consisted of hypertension, hyperlipidemia and ischemic heart disease. Physical examination revealed mild epigastric and right hypochondrium tenderness on deep palpation. Laboratory results revealed abnormal liver function tests with total bilirubin of 6.42 mg/dL (reference range: 0.1-1.0 mg/dL ), AST of 335 U/L (reference range: 10-40 U/L), ALT of 846 U/L (reference range: 10-50 U/L), and GGT of 2,536 U/L (reference range: 6-277 U/L); CEA was within normal limits and CA 19-9 was 403 U/mL (reference range: 0-28 U/mL).
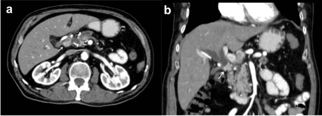
Computed tomography revealed intrahepatic and extrahepatic bile ducts dilatation (Figure 1). Distal to the bifurcation an intraluminal mass measuring 1.9x1.2 cm was noticed obstructing the bile duct. Dilation of the main pancreatic duct in the body and tail of the pancreas was also noticed. No vascular involvement was found. An endoscopic retrograde cholangiographic (ERCP) examination was elected due to the growing levels of bilirubin and operating room availability. The exam revealed complete obstruction of the common bile duct and a stent was introduced. The patient underwent surgical exploration for suspicion of cholangiocarcinoma. A tumor of the common bile duct was found at surgery. A careful dissection of the extrahepatic bile duct was carried out along with lymph node of the hepatoduodenal ligament. The bile duct at the level of the bifurcation was transected and the proximal edge sent for pathology examination. The dissection was carried to the level of the pancreas and the distal edge of the duct sent for pathology as well. Frozen section from the distal margin revealed atypical cells in the mucosal leaning of the bile duct. The biopsy from the hepatic duct bifurcation revealed normal cells. Due to these findings we have opted to continue with a Whipple operation. Operative and post-operative course was uneventful. Microscopically the tumor of the common bile duct was a mixed poorly differentiated adenoneuroendocrine carcinoma. The tumor showed invasion to the fat tissue, lymphatic vessels and nerves (Figure 2a). Immunohistochemical analysis showed neoplastic cells diffusely positive for chromogranin A, synaptophysin and C56 (Figure 2b). No lymph node metastases were found in the fatty tissue surrounding the bile duct. Multiple foci of moderately differentiated adenocarcinoma were found in the head of the pancreas at microscopic examination of the pancreas. Two out of nine lymph nodes adjacent to the pancreas showed metastases. One bearing neuroendocrine carcinoma metastasis, and the other metastasis of adenocarcinoma. All other lymph nodes in the specimen were negative for tumor cells.

|
Figure 1. CT scan showing a lesion within the common bile duct (a.) resulting in proximal bile duct dilatation (b.). |

|
Figure 2. Mixed adenoneuroendocrine carcinoma of common hepatic duct. a. Mixture of usual cholangiocarcinoma (left part of the picture) and small cell neuroendocrine carcinoma (right part) (hematoxylin & eosin, x50). b. Positive synaptophysin immunostaining in neuroendocrine carcinoma; absence of staining in cholangiocarcinoma (immunoperoxidase, x50). |
On 6-month follow-up the patient is doing well, he shows no signs of pancreatic or nutritional insufficiency and has achieved full return to his daily physical activities.
DISCUSSION
Neuroendocrine tumors of the bile duct are rare. Eighty percent of the tumors arising of the extrahepatic bile ducts are well-differentiated adenocarcinomas. Primary endocrine tumors of the extrahepatic biliary tree are exceedingly rare.
This case represents a mixed adenoneuroendocrine carcinoma: the biliary adenocarcinoma being well differentiated and the neuroendocrine carcinoma showing high grade, poorly differentiated lesion. This is a common feature in this extremely rare hepatobiliary mixed adenoneuroendocrine carcinomas [3].
It is unclear whether the adenocarcinoma and neuroendocrine carcinoma in mixed cases originate from pluri-potent stem cell in the bile ducts or are “collision tumors”, coincidentally present at the same location.
High grade neuroendocrine component in biliary mixed adenoneuroendocrine carcinoma can be erroneously interpreted by pathologist as “usual” poorly differentiated adenocarcinoma. Immunohistochemical stains for neuroendocrine markers (synaptophysin, chromogranin and CD56) are useful in establishing the correct diagnosis. In our case, all three markers were strongly positive in the neuroendocrine carcinoma component and negative in the “regular” biliary adenocarcinoma.
The presence of two separate metastases in two different lymph nodes (one infiltrated by “usual” adenocarcinoma and the second one by neuroendocrine carcinoma) may provide some evidence of relative independence of the two components in the same tumor. Clinical experience suggests that the neuroendocrine component of mixed tumors behave more aggressively than the regular biliary adenocarcinoma component. This clinical behavior may have an important role in the management of this clinical entity.
Received September 26th, 2012 – Accepted October 16th, 2012
Key words Adenocarcinoma; Common Bile Duct; Neuroendocrine Tumors
Conflict of interest The authors have no potential conflict of interest
Correspondence
Offir
Ben-Ishay
Department of Surgery
Rambam Health Care Campus
Haifa
Israel
Mobile: +972-50.206.2370
Phone: +972-4.854.2273
Fax: +972-4.854.2231
E-mail: o_ben-ishay@rambam.health.gov.il
References
1. Kloppel G, Perren A, Heitz PU, The gastroenteropancreatic neuroendocrine cell system and its tumors. The WHO classification. Ann N Y Acad Scin 2004, 1014 13-27.
2. Klopper G, Tumor biology and histopathology of neuroendocreine tumors. Best Pract Res Clin Endocrinol Metab, 2007, 21, 15-31.
3. Kopelman D., Schein M., Kerner H., Bahuss H., Hashmonai M. Carcinoid tumour of the common bile duct. HPB Surg, 1996, 10 (1): 41-43.
4. Pawlik TM, Shah S, Eckhauser FE. Carcinoid tumor of the biliary tract: treating a rare cause of bile duct obstruction. Ann Surg 2003; 69(2):98- 101.
5. Ross A. C., Hurley J. B., Hay W. B., Rusnac C. H., Petrunia D. M. Carcinoids of the common bile duct : a case report and literature review. Can J Surg, 1999, 42 : 59-63.
6. Hao L., Freidman A. L., Navarro V. J., West B., Robert M. E. Carcinoid tumor of the common bile duct producing gastrin and seratonin. J Clin Gastro-enterol, 1996, 23: 63-5.