CASE SERIES
JOP. J Pancreas (Online) 2013 May 10; 14(3):250-255.
Lymphoepithelial Cysts of the Pancreas. Can Preoperative Imaging Distinguish This Benign Lesion from Malignant or Pre-Malignant Cystic Pancreatic Lesions?
Srinivas Kavuturu1, Nabeel E Sarwani2, Fransesca M Ruggeiro3, Isabelle Deshaies1, Eric T Kimchi1, Jussuf T Kaifi1, Kevin F Staveley-O’Carroll1, Niraj J Gusani1
1Section of Surgical Oncology, Department of Surgery; 2Section of Abdominal Imaging, Department of Radiology; 3Department of Pathology. Penn State College of Medicine. Hershey, PA, USA
ABSTRACT
Context Lymphoepithelial cysts of the pancreas are rare true benign cystic tumors of the pancreas of uncertain etiology. Cystic neoplasms of the pancreas present a significant diagnostic dilemma in differentiating benign from premalignant or malignant variants. Since the first description of lymphoepithelial cysts in 1985, 109 cases have been reported in the literature. We describe 6 cases of this rare tumor, the preoperative imaging results, and a review the literature. Patients Five males and one female ranging in age from 47 to 76 years underwent resection for lymphoepithelial cysts. Five patients presented with abdominal pain related to the lesion and in one patient the lesion was discovered incidentally. Four patients had elevated serum CA 19-9 levels. Pre-operative imaging with a CT scan and MRI of the abdomen typically revealed a well defined hypodense mass with Hounsfield units (HU) in the range of 15 to 20. One patient had papillary projections into the lesion. The mean size was 3.3 cm (ranging from 1.8 cm to 4 cm). All lesions were exophytic off the pancreatic parenchyma (1 cyst was located in the head of the pancreas, 2 were in the body, and 3 were in the tail region). Pre-operative EUS-guided/CT-guided needle aspiration, when performed, was not diagnostic. All patients underwent resection (one pancreaticoduodenectomy, five left pancreatectomies) to remove these cystic neoplasms. Pathology revealed a cyst lined by non-dysplastic squamous cells surrounded by sheets of benign lymphocytes. No evidence of malignancy was found. Conclusion Lymphoepithelial cysts of the pancreas are rare and are characteristically seen in men. While a hypodense mass (less than 20 HU) with papillary projections should be considered suspicious for lymphoepithelial cyst, a definitive diagnosis cannot be made solely based on preoperative imaging. EUS-guided biopsy coupled with biochemical/tumor marker studies are increasingly being used as a diagnostic tool to help differentiate between the various types of cystic pancreatic neoplasms. Imaging findings of lymphoepithelial cysts are non-specific and hence surgical resection is often required to rule out the presence of a malignant or pre-malignant cystic pancreatic lesion. In true lymphoepithelial cysts, malignant transformation is not seen and patients who have these cysts are not at increased risk of developing a pancreatic malignancy.
INTRODUCTION
Cystic neoplasms of pancreas are relatively common, representing up to 70% of all pancreatic cystic lesions [1]. The development, widespread use, increasing spatial resolution, and decreased costs of advanced imaging techniques (computed tomography (CT) and magnetic resonance imaging (MRI)) have increased the number of pancreatic cysts discovered, while new applications of minimally invasive techniques and improved morbidity of pancreatic surgery have resulted in an increase in the number of cyst resections performed. Given the malignant potential of certain cystic tumors, it is important that lymphoepithelial cysts, a benign entity, be differentiated from other cystic lesions of the pancreas.
Since it was first described in 1985 [2], 109 cases of lymphoepithelial cysts are reported in the literature. We describe 6 cases of this rare tumor along with their preoperative imaging results and review the literature with the regard to preoperative diagnosis of these lesions.
MATERIALS AND METHODS
A retrospective review of our institutional pancreatic resection database (from December 1999 to December 2009) revealed six cases of lymphoepithelial cysts of the pancreas. We reviewed the charts of these patients (with institutional review board approval) for patient demographics, symptomatology, laboratory studies, imaging, perioperative data, pathology, and follow-up.
RESULTS
Clinical Findings
Patient demographics are summarized in Table 1. Four of the six patients presented with right upper quadrant pain. One presented with vague abdominal pain and nausea. One case was incidentally diagnosed.
|
Table 1. Patient demographics, clinical findings and surgical procedures. |
|||||||
|
|
Age |
Gender |
Size |
Location |
CA 19-9 |
Lymph nodes |
Procedure |
|
Case #1 |
76 years |
Male |
4 cm |
Body/head |
68 |
2 |
Whipple resection |
|
Case #2 |
61 years |
Male |
19 cm |
Tail |
N/a |
N/a |
Left pancreatectomy |
|
Case #3 |
47 years |
Male |
1.8 cm |
Tail |
70 |
6 |
Left pancreatectomy |
|
Case #4 |
63 years |
Male |
4 cm |
Tail |
17.4 |
3 |
Left pancreatectomy |
|
Case #5 |
63 years |
Male |
3.6 cm |
Tail |
79.3 |
5 |
Left pancreatectomy |
|
Case #6 |
76 years |
Female |
2 cm |
Tail |
2.3 |
5 |
Left pancreatectomy |
|
N/a: not available |
|||||||
Imaging Findings
Various radiologic investigations were used in the pre-operative evaluation of the lesions. Imaging studies included CT scans, MRI and endoscopic ultrasound (EUS). All lesions were exophytic with one cyst originating from the head of the pancreas, two from the body, and three from the tail region. One patient had papillary projections into the lesion. Multiphase enhanced CT scan of the abdomen typically revealed a well-defined hypodense mass with imperceptible walls and Hounsfield units in the range of 15-20 (Figures 1 and 2). MRI of the abdomen was performed in one case and again showed a well-circumscribed exophytic lesion of the body of the pancreas with high T1 signal intensity, intermediate T2 signal intensity, with no enhancement following intravenous contrast administration (Figure 3). magnetic resonance cholangiopancreatography (MRCP) sequences did not show any continuity with the ductal system.
|
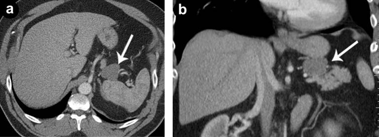
Figure 1. A 47-year-old male, with incidental pancreatic mass discovered on chest CT (Case #3). Axial (a.) and coronal (b.) venous phase CT show a well defined mass (arrows) arising off the superior aspect of the pancreatic body, measuring just above fluid attenuation. |

|
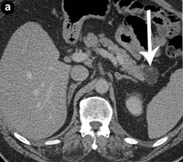
Figure 2. A 63-year-old male being worked up for a pancreatic mass (Case #4). Axial (a.) and sagittal (b.) venous phase CT show a well defined pancreatic tail mass measuring approximately fluid attenuation, with an enhancing mural nodule (arrowhead). |


|
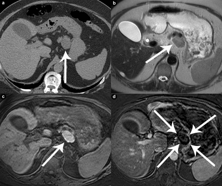
Figure 3. A 63-year-old male with incidentally discovered pancreatic mass (Case #5). a. Unenhanced axial CT shows a well defined mass arising off the superior aspect of the pancreatic body (arrow) measuring above fluid attenuation, and incompletely evaluated without intravenous contrast. Due to decreased glomerular filtration rate, MRI was used to characterize the lesion. Axial T2 weighted images (b.) show a well defined mass of intermediate signal intensity, which shows inherent high signal intensity on unenhanced T1 weighted images (c.). T1 post-contrast subtraction imaging (d.) shows the mass having a black non-enhancing center, with a thin rim of peripheral enhancement. |

Diagnostic Studies and Laboratory Evaluation
EUS-guided fine needle aspiration was done in one case and the cytology was non diagnostic. Elevated serum CA 19-9 levels were seen in three patients. Since the suspicion for a neoplastic cyst was high, complete surgical resection of the lesions was performed in all cases.
Operative Management and Perioperative Course
A Whipple resection was performed in one case and left (distal) pancreatic resection in the other five cases. Patients did well post-operatively and were discharged from the hospital with a median length of stay of 7 days.
Pathology
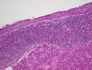
The final pathological reports in these six patients were consistent with lymphoepithelial cysts of the pancreas. The cysts were multiloculated and were lined with a well differentiated, keratinized squamous epithelium and associated with aggregates and sheets of benign lymphocytes (Figure 4). One of the cysts contained keratinaceous debris and one showed numerous small nodular projections, which protruded into the lumen.

|
Figure 4. Cyst wall lined by benign squamous epithelium with underlying lymphoid aggregates. Normal pancreas is present beneath this (Case #5). |
DISCUSSION
Differentiation and classification of cysts of the pancreas is important in the risk stratification and management of pancreatic lesions. The choice between surgical or conservative management depends on the type of cyst and its malignant potential based on imaging, biochemical markers, and endoscopic evaluation. Pancreatic cystic lesions are broadly divided into pseudocysts, non-neoplastic cysts and pancreatic cystic neoplasms. Pseudocysts (30%) occur as a result of ductal disruption due to pancreatic inflammation secondary to trauma or acute or chronic pancreatitis. Pseudocysts do not have an epithelial lining, have no malignant potential, and can be managed conservatively or treated with endoscopic or surgical drainage in symptomatic patients.
Non neoplastic cysts (less than 5%) include congenital cysts, alimentary duplication cysts, tropical pancreatic cysts (Echinococcal cysts, Taenia solium cysts) and endometrial cysts. Pancreatic cystic neoplasms (70%) include serous cystic neoplasms, mucinous cystic neoplasms, intraductal papillary mucinous neoplasms, solid pseudopapillary lesions and the rare lymphoepithelial cysts. Since the first report of lymphoepithelial cysts of the pancreas in 1985 by Luchtrath and Schriefers [2], 109 cases are reported in the literature representing about 0.5% of all pancreatic cysts [3]. It was Truong et al. [4] who named this lesion “lymphoepithelial cyst of the pancreas”. Though multiple hypotheses have been proposed on the histogenesis of the tumor, its etiology still remains uncertain. Truong et al. proposed three theories regarding their possible pathogenesis: the presence of an ectopic remnant of brachial cyst in the pancreas proliferating into a cystic lesion; a protrusion of an obstructed pancreatic duct into the peripancreatic lymph nodes which then undergoes metaplasia; and the presence of ectopic pancreatic tissue in a peripancreatic lymph node undergoing squamous metaplasia [4].
The patients are predominantly middle aged men with an average age of 54 years (range 26-82 years in different studies) with a male to female ratio of 4 to 1 [3]. Though vague abdominal pain is common, many lesions are incidentally discovered during workup for unrelated reasons. Malaise, fever, nausea, back pain, anorexia and weight loss have also been associated but the symptoms do not seem to be specific or directly attributable to the lesion [5, 6, 7]. Two thirds of the cysts arise from the body or tail of the pancreas and one third from the head region. The size of the lesions can vary from 2-19 cm with the largest lesion reported from our study.
The diagnosis of lymphoepithelial cyst is important as the management and prognosis of this lesion is different compared to other cystic tumors. CT scan and/or ultrasound are important in making a diagnosis, although radiographic appearance of lymphoepithelial cysts may be similar to that of a pseudocyst or a mucinous cystic neoplasm. Lymphoepithelial cyst is seen as a well-defined, low attenuation mass, attached to the pancreas and not associated with pancreatic duct dilatation. It measures water density and may have septations or demonstrate a multilocular structure. They are predominantly exophytic and medium sized cystic lesions [8]. Due to the thick fibrous tissue and relatively large blood vessels, the wall of the cyst and the septations demonstrate hypointensity on T1 and T2 weighted MRI images and can enhance following contrast administration. One particular distinguishing characteristic which may be present is a large volume of granular keratinized material within a lymphoepithelial cyst, which is considered to be the cause for increased density on precontrast CT scan, high signal intensity on T1 and low signal intensity on T2 weighted MRI images [9, 10]. Another feature of lymphoepithelial cyst seen on diffusion-weighted (DWI) MRI is profound water restriction assumed to be due to the presence of viscous fluid containing keratinized material [11]. Kudo et al. reported slight signal reduction in out-of-phase MRI compared to that of in-phase, indicating co-existence of fat and water [12]. They concluded that in-phase and out-of-phase MRI may help diagnosis of lymphoepithelial cyst in an elderly male patient with a multilocular cyst [12].
Preoperative diagnosis of lymphoepithelial cyst over other cystic neoplastic pancreatic lesions which require surgical intervention is difficult based solely on radiological and clinical criteria. EUS and EUS-guided biopsy (fine needle aspiration (FNA) cytology or core biopsy) coupled with biochemical/tumor marker studies are increasingly being used to increase the diagnostic accuracy [13, 14, 15]. Lymphoepithelial cysts have distinct histopathological features. The cysts may be unilocular or more often multilocular with a lining of well-differentiated keratinized squamous epithelium and a fibrous wall containing aggregates and sheets of benign lymphoid cells. FNA in the case of lymphoepithelial cyst demonstrates nucleated and anucleated squamous cells, lymphocytes, keratinous and amorphous debris and cholesterol crystals. A core biopsy can demonstrate part of the cyst wall with a mature keratinized squamous epithelium lining with an adjacent stromal layer of lymphoid infiltrate [6]. While these findings are typical and sensitive to diagnose lymphoepithelial cyst, a similar microscopic pattern may be seen in dermoid cysts, epidermoid cysts, lymphangioma, adenosquamous carcinoma and metastatic squamous cell carcinoma [6, 16].
In a recent retrospective EUS series on lymphoepithelial cysts of pancreas, Nasr et al. [17] reported that thick milky, creamy or frothy aspirates were found on FNA in 5 out of 9 cases (56%) and should raise the suspicion of the diagnosis. The exception for this would be a chylous cyst which can be differentiated by measuring the cyst fluid triglyceride level. On cytological examination they found squamous material (nucleated/anucleated squamous cells or keratin debris) in all cases and lymphocytes in 56% of aspirates. They concluded that presence of squamous material and lymphocytes on cytological examination is diagnostic of lymphoepithelial cyst and six patients in their series of nine could avoid surgery on this basis. Jian et al. [16] (three cases) and Karim et al. [18] (one case) reported lymphoepithelial cysts with EUS finding of keratin debris, anucleated squamous cells, lymphocytes, cholesterol crystals and macrophages on FNA. Similar FNA findings could be seen in dermoid cyst, epidermoid cyst, lymphangioma and pseudocyst of the pancreas but immunohistochemical stains for endothelial markers and cytokeratins could help in differentiation [16]. Larger series are needed to validate these findings.
Elevated serum levels of tumor markers have been inconsistent and nonspecific. In a review by Takamatsu et al. [19], six patients had elevated levels of carbohydrate antigen (CA) 19-9 and carcinoembryonic antigen (CEA) out of 14 cases. Kaiserling et al. [20] reported very high concentration of CEA (5,000 ng/mL) and CA 19-9(187 U/L) in the cyst fluid in spite of a completely benign histology. He also found that epithelial cells lining the cyst were immunoreactive to CEA and CA 19-9 similar to the lining cells of the pancreatic ducts. Similar findings were reported by Hamamoto et al. [21], suggesting a possible histiogenesis from pancreatic duct cells. Three of our patients among six had elevated serum CA 19-9. However, we did not investigate tumor marker levels in the cyst fluid.
Malignant transformation of a lymphoepithelial cyst of the pancreas has not been reported. However, Misonou et al. [22] reported mucoepidermoid carcinoma arising within a branchiogenic lymphoepithelial cyst in the neck (considering the postulated histiogenesis of lymphoepithelial cysts to be of ectopic branchial cleft remnant in pancreas, there is a theoretical possibility of malignancy in lymphoepithelial cysts of the pancreas and danger of dissemination of the cells by a fine needle aspiration biopsy, but this has not been reported.) Elevated tumor markers cannot reliably be used as an indicator for malignancy as up to about 30-40% of lymphoepithelial cysts of the pancreas have raised serum levels of CEA and CA 19-9 despite a completely benign pathology.
In conclusion a definitive diagnosis of lymphoepithelial cyst often cannot be made solely based on preoperative imaging, whether CT or MRI. The addition of EUS-guided FNA and/or core biopsy coupled with biochemical/tumor marker studies are increasingly being used to increase the diagnostic accuracy and, in a recent small series, six out of nine patients could be offered a conservative approach of wait and watch based on the typical FNA cytology findings [17]. As larger series are needed to validate this approach, lymphoepithelial cyst still continues to present a diagnostic dilemma and surgical resection is often offered due to the clinical concern for a malignant or pre-malignant cystic pancreatic lesion.
Received October 5th, 2012 – Accepted October 18th, 2012
Key words Pancreatic Cyst; Pancreatic Neoplasms
Conflict of interest The authors have no potential conflict of interest
Correspondence
Niraj
J Gusani
Section of Surgical Oncology
Penn State College of Medicine
500 University Drive-H070
PO Box 850
Hershey PA 17033
USA
Phone: +1-717.531.5965
Fax: +1-717.531.3649
E-mail: ngusani@psu.edu
References
1. Vyas S, Markar S, Ezzat TM, Ajit A. Cystic lesions of the pancreas: current trends in approach and management. Postgrad Med J. 2011 Mar;87(1025):207-14.
2. Luchtrath H, Schriefers KH. [A pancreatic cyst with features of a so-called branchiogenic cyst]. Pathologe. 1985 Jul;6(4):217-9.
3. Adsay NV, Hasteh F, Cheng JD, Bejarano PA, Lauwers GY, Batts KP, et al. Lymphoepithelial cysts of the pancreas: a report of 12 cases and a review of the literature. Mod Pathol. 2002 May;15(5):492-501.
4. Truong LD, Rangdaeng S, Jordan PH, Jr. Lymphoepithelial cyst of the pancreas. Am J Surg Pathol. 1987 Nov;11(11):899-903.
5. Katz DS, Scatorchia GM, Wojtowycz AR, Botash RJ. Lymphoepithelial cyst of the pancreatic head. AJR Am J Roentgenol. 1995 Aug;165(2):489.
6. Mitchell ML. Fine needle aspiration biopsy of peripancreatic lymphoepithelial cysts. Acta Cytol. 1990 May-Jun;34(3):462-3.
7. Worrall NK, Drebin JA. Pancreaticoduodenectomy for lymphoepithelial cyst of the pancreas. Am Surg. 2000 Aug;66(8):732-4.
8. Kim WH, Lee JY, Park HS, Won HJ, Kim YH, Choi JY, et al. Lymphoepithelial cyst of the pancreas: comparison of CT findings with other pancreatic cystic lesions. Abdom Imaging. May 19.
9. Shinmura R, Gabata T, Matsui O. Lymphoepithelial cyst of the pancreas: case report with special reference to imaging--pathologic correlation. Abdom Imaging. 2006 Jan-Feb;31(1):106-9.
10. Zaheer A, Pokharel SS, Wolfgang C, Fishman EK, Horton KM. Incidentally detected cystic lesions of the pancreas on CT: review of literature and management suggestions. Abdom Imaging. Apr 26.
11. Nam SJ, Hwang HK, Kim H, Yu JS, Yoon DS, Chung JJ, et al. Lymphoepithelial cysts in the pancreas: MRI of two cases with emphasis of diffusion-weighted imaging characteristics. J Magn Reson Imaging. Sep;32(3):692-6.
12. Kudo D, Hashimoto N, Toyoki Y, Narumi S, Hakamada K. Usefulness of in-phase and out-of-phase magnetic resonance imaging for the detection of pancreatic lymphoepithelial cyst. Hepatogastroenterology. Jul-Aug;58(109):1403-5.
13. Ali S, Wilkinson N, Jensen CS, Gerke H. EUS-guided Trucut biopsies may enable the diagnosis of lymphoepithelial cysts of the pancreas. Report of two cases. JOP. 2009;10(4):409-12.
14. Allen PJ, D'Angelica M, Gonen M, Jaques DP, Coit DG, Jarnagin WR, et al. A selective approach to the resection of cystic lesions of the pancreas: results from 539 consecutive patients. Ann Surg. 2006 Oct;244(4):572-82.
15. Moparty B, Logrono R, Nealon WH, Waxman I, Raju GS, Pasricha PJ, et al. The role of endoscopic ultrasound and endoscopic ultrasound-guided fine-needle aspiration in distinguishing pancreatic cystic lesions. Diagn Cytopathol. 2007 Jan;35(1):18-25.
16. Jian B, Kimbrell HZ, Sepulveda A, Yu G. Lymphoepithelial cysts of the pancreas: endosonography-guided fine needle aspiration. Diagn Cytopathol. 2008 Sep;36(9):662-5.
17. Nasr J, Sanders M, Fasanella K, Khalid A, McGrath K. Lymphoepithelial cysts of the pancreas: an EUS case series. Gastrointest Endosc. 2008 Jul;68(1):170-3.
18. Karim Z, Walker B, Lam E. Lymphoepithelial cysts of the pancreas: the use of endoscopic ultrasound-guided fine-needle aspiration in diagnosis. Can J Gastroenterol. Jun;24(6):348-50.
19. Takamatsu S, Maruyama M, Sugano N, Ebuchi M. Lymphoepithelial cyst of the pancreas. Journal of Hepato-Biliary-Pancreatic Surgery. 1996;3(4):485-90.
20. Kaiserling E, Seitz KH, Rettenmaier G, Seidel W, Kahlfuss R, Walz-Mattmuller R, et al. Lymphoepithelial cyst of the pancreas. Clinical, morphological, and immunohistochemical findings. Zentralbl Pathol. 1991;137(5):431-8.
21. Hamamoto I, Ishimura K, Okada S, Kobayashi S, Kushida Y, Maeba T, et al. Extrapancreatic lymphoepithelial cyst of the pancreas. Journal of Hepato-Biliary-Pancreatic Surgery. 1996;3(2):186-91.
22. Misonou J, Iwabuchi K, Aizawa M, Murakami S. Mucoepidermoid carcinoma arising in a lymphoepithelial cyst--report of a case and review of the literature on branchiogenic carcinoma. Jpn J Surg. 1989 Jul;19(4):474-9.