CASE REPORT
JOP. J Pancreas (Online) 2013 Jan 10; 14(1):88-91.
Ascariasis as an Unexpected Cause of Acute Pancreatitis with Cholangitis: A Rare Case Report from Urban Area
Pochamana Phisalprapa, Varayu Prachayakul
Department of Medicine, Faculty of Medicine, Siriraj Hospital, Mahidol University. Bangkok, Thailand
ABSTRACT
Context Ascaris lumbricoides is one of the most common parasitic infestations of human gastrointestinal tract. This parasitic infestation might be asymptomatic and only few studies on extraintestinal ascariasis have been reported. Ascending cholangitis and acute pancreatitis as a result of the Ascaris lumbricoides migrating into the biliary system and pancreatic duct were very rare complications. Here, we presented a case report of biliary ascariasis induced acute pancreatitis with cholangitis without imaging supported in a patient coming from urban area. Case report A 33-year-old woman lives in Bangkok, urban area of Thailand. She presented with severe epigastric pain for one day. Her diagnosis was Ascaris lumbricoides induced acute pancreatitis accompanied with ascending cholangitis. The investigation results showed no eosinophilia and no ascaris eggs in stool examination. The abdominal computed tomography showed slightly common bile duct dilatation. The parasite was found during an endoscopic retrograde cholangiopancreatography performed. The cholangiography revealed a roundworm in common bile duct. The parasite was successfully removed by using an extraction balloon catheter and a snare. Microbiological examination of the parasite revealed a 22 cm long adult form of Ascaris lumbricoides. Conclusion Ascaris lumbricoides is the uncommon cause of biliary obstruction with complications. It is also a possible cause even in the patients who live in urban areas. Endoscopic removal is the treatment of choice in addition to antihelminthic medications.
INTRODUCTION
Ascaris lumbricoides is the second most common intestinal parasite affecting more than 1.4 billion people in the world. The endemic areas are rural especially developing countries of Asia and Latin America. It is acquired by ingestion of eggs with embryos in raw vegetables. Infestation with Ascaris lumbricoides causes about 20,000 deaths every year [1], usually as a result of intestinal obstruction and infant malnutrition [2]. Poor sanitation is the most important risk factor [3]. The infestation might be asymptomatic. Whereas intestinal ascariasis generally does not cause any severe medical problems, the extraintestinal ascariasis is likely to cause more severe conditions such as biliary colic, acute cholecystitis, acute cholangitis, acute pancreatitis or hepatic abscess [1]. Ascending cholangitis and acute pancreatitis as a result of the Ascaris lumbricoides migrating into the biliary system and pancreatic duct are very rare complications [4, 5, 6]. Up to the present, there was some cases of Ascaris lumbricoides found in common bile duct reported from the endemic area around the world. However, those patients had evidence of only acute cholangitis or pancreatitis at the presentation. Here, we presented a case of biliary ascariasis induced acute pancreatitis accompanied with cholangitis in the patient who came from urban area.
CASE REPORT
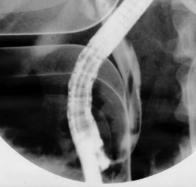
A 33-year-old healthy woman was born and lives in Bangkok which is the largest urban area of Thailand. She works as a secretary of a private company. She loves eating fresh vegetables. She had the history of intermittent epigastric pain for two months and presented with severe abdominal pain radiating to her back with nausea and vomiting for one day. Physical examination revealed febrile (37.5°C), no jaundice, marked tenderness at epigastrium and decreased bowel sound. Laboratory testing results showed leukocytosis of 11.7 x103/µL (reference range: 4.0-11.0 x103/µL) with 72% granulocytes (reference range: 40-74%) and 3% eosinophil (reference range: 0-7%), AST 105 U/L (reference range: 0-40 U/L), ALT 157 U/L (reference range: 0-40 U/L), alkaline phosphatase 229 U/L (reference range: 32-92 U/L), total bilirubin 1.4 mg/dL (reference range: 0.3-1.2 mg/dL), direct bilirubin 1.0 mg/dL (reference range: 0-0.5 mg/dL) and serum amylase 2,036 U/L (reference range: 0-220 U/L). Stool testing for parasites and ova were negative for three days. Abdominal computed tomography (CT scan) showed dilated common bile duct (0.8 cm in diameter) without filling defects and no gallstone. No evidence of acute pancreatitis was found from this study. She was initially diagnosed with acute mild gallstone pancreatitis with suspected retained common bile duct stone by over all clinical manifestations. Endoscopic retrograde cholangiography was performed and swollen ampulla with purulent bile were noted (Figure 1). Cholangiogram showed dilated common bile duct of 1.2 cm and there was a cylindrical filling defect about 6-7 cm in length inside the common bile duct (Figure 2). After endoscopic sphincterotomy, the parasite popped out and was extracted, using an extraction balloon catheter, then removed with a snare. The cholangiogram after removing this parasite showed markedly decreased in size of common bile duct without residual filling defect. The parasite in duodenum was shown in Figure 3. It was identified as a 22 cm long adult form of Ascaris lumbricoides (Figure 4).
The patient’s symptoms improved dramatically after the procedure. She had no abdominal pain, nausea and vomiting and fever. The leukocyte count, AST, ALT, bilirubin and amylase returned to normal within two days. The patient was prescribed with ceftriaxone 2 g once daily for her cholangitis. Although no eggs were found on repeated stool examination, albendazole 400 mg once daily was prescribed for three days in case that there was still a male or an immature female parasite. Finally, this patient had a complete recovery and was discharged home within 7 days.

|
Figure 1. Endoscopic retrograde cholangiopancreatography showing a cylindrical filling defect (arrows) on the dilated common bile duct. |

|
Figure 2. The cholangiogram after removal of parasite showed decreased size of common bile duct without filling defect. |


|
Figure 3. The endoscopy revealed a roundworm extracted from ampulla of Vater and floating in the duodenum. |

|
Figure 4. A 22 cm long adult form of Ascaris lumbricoides after extraction from common bile duct. |
DISCUSSION
This is a case report of biliary ascariasis induced acute pancreatitis accompanied with ascending cholangitis without imaging supported in a patient who came from an urban area of Thailand and was successfully treated by endoscopic retrograde cholangiopancreatography (ERCP) and anthelmintic drug. Up to the present, there was only one case report of biliary ascariasis with same presentations and supported by imaging from South Africa [7]. The pathogenesis of Ascaris lumbricoides induced acute pancreatitis and cholangitis are similar to those from the other causes such as common bile duct stone. The roundworms are actively motile and can migrate from their natural habitat in the duodenum and proximal jejunum into the ampulla of Vater and enter the bile duct or pancreatic duct. Some complications such as biliary colic, cholangitis or pancreatitis might occur and depend on the parasitic load. Fortunately, biliary complications are not frequent. However, these can cause severe morbidity and mortality. Therefore, early diagnosis and management are essential.
In the previous studies, 80% of the patients with biliary ascariasis had previously undergone cholecystectomy and/or sphincterotomy and they claimed that sphincterotomy leads to the development of biliary ascariasis [6]. However, there is no history of sphincterotomy or cholecystectomy in this case. In urban areas, acute pancreatitis and cholangitis associated with Ascaris lumbricoides are unusual and its prevalence is less than gallstone diseases. In India, which is the endemic area, 23% of acute pancreatitis is caused by biliary ascariasis. It is composed of 78% of mild pancreatitis, 22% of severe pancreatitis and it is also accompanied with pyogenic cholangitis in 13.6% of cases. Endoscopic treatment was successful in 95% of the cases [8]. A few cases of pancreatitis due to biliary ascariasis have been reported from areas where it is uncommon and it was stated that treatment by endoscopic methods was successful in all of them [9, 10, 11, 12].
However, most patients with biliary ascariasis present with unspecific symptoms and the diagnosis is sometimes incidental [3]. The diagnosis is usually made by abdominal ultrasonography which showed bile duct dilation and the presence of the parasite, a hyperechoic linear structure with a hypoechogenic line inside, which is sometimes motile [3, 13, 14]. Abdominal CT scan can also be helpful. In this case, the diagnosis was missed with abdominal CT scan but ERCP was able to reveal the parasite. The presence of eosinophilia should have raised suspicion of the possibility of a parasitic infestation. However, Ascaris is not a tissue parasite, so no eosinophilia was shown in our patient. There was only 5 to 12 percent of eosiniphilia reported in extrapulmonary ascariasis. Stool testing is the most important method in the diagnosis of ascariasis and yields false negative results about 80% in biliary ascariasis. In this case, no ascaris eggs were also found on three days of stool examination and it was therefore thought that biliary ascariasis was caused by a male or immature female parasite. ERCP is the gold standard method for identifying and removing the parasite from the duodenal, biliary or pancreatic tract [3]. Görgül et al. reported a case of biliary ascariasis in which it was removed by balloon extraction after endoscopic sphincterotomy. This procedure is feasible and harmless in the treatment of biliary ascariasis [15] and ERCP with parasitic extraction has been reported successful in up to 90% of the patients with biliary ascariasis [1]. Management of biliary ascariasis consists of administration of intravenous fluids, broad-spectrum intravenous antibiotics indicated if signs of cholangitis presented and early intervention with ERCP followed by anthelmintic medication will reduce morbidity and mortality including recurrent rate in the future [16, 17, 18]. Because of the lack of enterohepatic circulation of anthelmintics, there is inadequate bile concentration level to kill the parasites within the biliary tree. Thus only anthelmintics is not enough to treat biliary ascariasis.
In conclusion, Ascaris lumbricoides is the uncommon cause of biliary obstruction with complications. It is also a possible cause even in the patients who live in urban area. Endoscopic removal is the treatment of choice in addition to anthelmintic medications.
Received October 16th, 2012 – Accepted November 27th, 2012
Key words Ascaris lumbricoides; Cholangiopancreatography, Endoscopic Retrograde; Common Bile Duct; Pancreatitis, Acute Necrotizing
Potential conflicts of interest None
Correspondence
Varayu
Prachayakul
Division of Gastroenterology
Department of Medicine, Faculty of Medicine
Siriraj Hospital, Mahidol University
Bangkok 10700
Thailand
Phone: +662-2419.7281
Fax: +662-411.5013
E-mail: kaiyjr@gmail.com
References
1. Khuroo MS. Ascariasis. Gastroenterology clinics of North America 1996; 25: 553-77.
2. Villamizar E. Ascaris lumbricoides infestation as a cause of intestinal obstruction in children: experience with 87 cases. Journal of pediatric surgery 1996; 31: 201-4. [PMID:8632280]
3. Misra SP, Dwivedi M. Clinical features and management of biliary ascariasis in a non-endemic area. Postgraduate medical journal 2000; 76: 29-32. [PMID:10622777]
4. Al-Qurashi A, Maklad KM, Al Abdulwahed O. Pancreatitis due to ascaris lumbricoides, a case report. J Egypt Soc Parasitol 2003; 33: 657-62. [PMID:14708843]
5. Madsen RB, Djurhuus H. Acute pancreatitis caused by Ascaris lumbricoides. Ugeskr Laeger 2000; 162: 3730-1. [PMID:10925634]
6. Sandouk F, Haffar S, Zada MM, Graham DY, Anand BS. Pancreatic-biliary ascarisis: experience of 300 cases. Am J Gastroenterol 1997; 92: 2264-7. [PMID:9399767]
7. Krige J, Shaw J. Cholangitis and pancreatitis caused by biliary ascariasis. Clin Gastroenteral Hepatol 2009;7(5):A30. [PMID:19138758]
8. Khuroo MS, Zargar SA, Yattoo GN. Ascaris-induced acute pancreatitis. Br J Surg 1992; 79: 1335-8. [PMID:1486433]
9. Saowaros V. Endoscopic retrograde cholangio-pancreatographic diagnosis and extraction of massive biliary ascariasis presented with acute pancreatitis: a case report. J Med Assoc Thai 1999; 82: 515-9. [PMID:10443103]
10. Guelrud M, Herrera I. Acute pancreatitis due to pancreatic duct Ascaris migration after pancreatic sphincterotomy and pancreatic stent placement. Endoscopy 1997; 29: 53. [PMID:9476778]
11. Asrat T, Rogers N. Acute pancreatitis caused by biliary ascaris in pregnancy. J Perinatol 1995; 15: 330-2. [PMID:8558344]
12. Morovic-Vergles J, Sabljar-Matovinovic M, Scrbec B. Acute pancreatitis caused by Ascaris lumbricoides in acute renal failure: case report. Lijec Viesn 1995; 117 Suppl 2: 87-8. [PMID:8649171]
13. Hoffmann H. In vivo and in vitro studies on the sonographical detection of Ascaris lumbricoides. Pediatric radiology 1997; 27: 226-9. [PMID:9126575]
14. Ferreyra NP, Cerri GG. Ascariasis of the alimentary tract, liver, pancreas and biliary system: its diagnosis by ultrasonography. Hepatogastroenterology 1998; 45: 932-7. [PMID:9755984]
15. Görgül A, Kayhan B, Ünal S. A case of biliary ascariasis treated medically. Gazi Medical Journal 1995; 6: 187-9. [PMID:14558975]
16. Shah OJ, Zargar SA, Robbani I. Biliary ascariasis: a review. World J Surg 2006; 30: 1500-6. [PMID:16874446]
17. Gonzแlez AH, Regalado VC, Van den Ende J. Non-invasive management of Ascaris lumbricoides biliary tact migration: a prospective study in 69 patients from Ecuador. Trop Med Int Health 2001; 6: 146-50. [PMID:11286203]
18. Wani NA, Shah OJ, Naqash SH. Postoperative biliary ascariasis: presentation and management—experience. World J Surg 2000; 24: 1143-5. [PMID:11036295]