CASE REPORT
JOP. J Pancreas (Online) 2013 Sep 10; 14(5):502-505.
Autoimmune Pancreatitis Complicated by Spontaneous Subcapsular Splenic Haemorrhage
Mina S Hanna, Ana Terlevich, Robert Przemioslo, Peter Marden
Department of Gastroenterology, Frenchay Hospital, North Bristol NHS Trust. Bristol, United Kingdom
ABSTRACT
Context Autoimmune pancreatitis is a rare but increasingly recognised condition with unique clinical, immunological and histological features. We report the first case of autoimmune pancreatitis associated with spontaneous splenic haemorrhage. Case report A 75-year-old man presented with severe epigastric pain radiating to the back associated with nausea and vomiting. A CT-scan of his abdomen showed a large pseudocyst within the pancreatic tail as well as a subcapsular splenic haemorrhage. His IgG4 levels were elevated and clinical history and investigations were consistent with severe acute pancreatitis, but were negative for other known causes of pancreatic disease. The patient was started on steroid therapy and improved dramatically clinically, immunologically and radiologically thus confirming the diagnosis of autoimmune pancreatitis. His splenic haemorrhage was managed conservatively in view of his haemodynamic stablity and eventually self-resolved. Conclusion Autoimmune pancreatitis should not be overlooked in cases of acute pancreatitis without other obvious etiology. Furthermore, superimposed splenic haemorrhage is a rare but important complication of autoimmune pancreatitis.
INTRODUCTION
Autoimmune pancreatitis is a rare but increasingly recognised condition with unique clinical, immunological and histological features. Spontenaous splenic haemorrhage has not been previously reported as a complication of autoimmune pancreatitis. We report the first case of autoimmune pancreatitis causing sponteanous splenic haemorrhage and discuss the possible pathophysiological mechanisms.
CASE REPORT
A 75-year-old man presented to the accident and emergency department with a 2-day history of severe epigastric pain, radiating to the back, associated with nausea and vomiting. His past medical history included hypertension and hypercholesterolemia, which had been well controlled by ramipril, bendroflumethazide and simvastatin for several years. He never drank more than 4 units of alcohol per week. Clinical examination revealed moderate epigastric tenderness only.
Laboratory investigations on admission showed a white blood cell count of 17.4 x109/L (reference range: 4.0-11.0 x109/L) and CRP 199 mg/L (reference range: 0-5 mg/L) consistent with a significant inflammatory response. His serum lipase was elevated at 124 U/L (reference range: 22-51 U/L), serum amylase levels were elevated at 427 U/L (reference range: 40-120 U/L). LDH levels were grossly elevated at 954 IU/L (reference range: 285-540 IU/L). Serum IgG4 level was high at 2.01 g/L (reference range: 0.01-1.31 g/L). His autoimmune panel revealed that he was antinuclear antibody positive and weakly positive for smooth muscle antibody. Liver enzymes were all within the normal range and liver synthetic function was well preserved. Random cholesterol, corrected calcium levels and renal function tests were normal. Abdominal ultrasound showed a normal gallbladder without stones and a normal biliary tree. A diagnosis of acute pancreatitis was made in accordance with the Atlanta classification for acute pancreatitis [1] based on the typical abdominal pain and more than 3-fold upper limit of normal elevated serum amylase level.
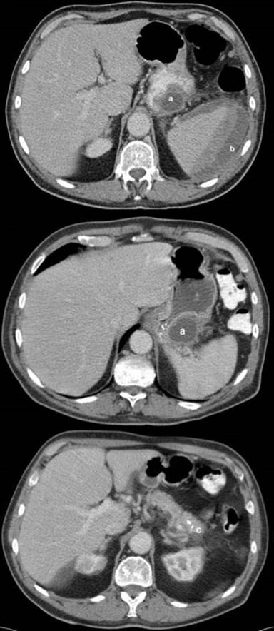
A contrast CT-scan of his abdomen (Figure 1) showed a large pseudocyst at the tail of the pancreas (37x33 mm) and a large, spontaneous, contained, subsplenic haemorrhage (96x55 mm). Furthermore, some minor calcification in the body of the pancreas was noted. The gallbladder and biliary tree were normal. The patient was initially kept nil by mouth for 48 hours and given supplementary i.v. fluids, analgesia and antiemetics for his acute pancreatitis.

|
Figure 1. Initial CT scan on admission showing a large pseudocyst (a.) measuring (37x33 mm) within the pancreatic tail, associated subcapsular splenic haemorrhage (b.) measuring (96x55 mm) and calcification in the pancreatic body (c.) |
In view of his age (more than 55 years) and elevated LDH (more than 350 IU/L) and white cell count (more than 16 x109/L), his Ranson score was three. According to the 2012 revision of the Atlanta classification system for acute pancreatitis by international consensus [1] our patient had moderately severe pancreatitis in view of the evidence of local pancreatic complication in the form of a pseudocyst.
Seventy-two hours post admission he was started on oral prednisolone for suspected autoimmune pancreatitis at a daily dose of 40 mg once a day, once the elevated IgG4 levels and other negative investigations were known and the initial standard management for acute pancreatitis had improved the abdominal pain and vomitting. His contained subsplenic haemorrhage was managed conservatively with close observation, bed rest and analgesia, as the patient was haemodynamically stable. Ten days post admission his abdominal pain completely resolved, his inflammatory markers and lipase had improved and the patient was discharged home.
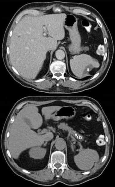
Follow-up laboratory investigations at 2 months revealed that his lipase, amylase and serum IgG4 levels had normalised. Follow up CT-scans of the abdomen at 2 and 6 months (Figure 2) showed the pancreatic pseudocyst had resolved and the splenic haemorrhage had reduced in size to 39x15 mm. In view of these findings, his steroid dose was tapered and completely stopped after a total of 4 months. The patient was followed up in the outpatient clinic for a further 6 months during which time he remained well with no relapse of his autoimmune pancreatitis.

|
Figure 2. CT scan at 6 months. Improvement in the size of the splenic haemorrhage (a.) to 39x15 mm and resolution of the pancreatic pseudocyst and pancreatic calcification (b.) |
DISCUSSION
This case is unique as autoimmune pancreatitis has not previously been reported to cause sponteanous splenic haemorrhage.
In September 2009, when our patient initially presented, the 2007 Mayo clinic HISORt criteria for diagnosing autoimmune pancreatitis were the current diagnostic criteria. They utilised its five cardinal features: Histology, imaging, serology, other organ involvement and response to therapy [2]. The cardinal features are grouped together into 3 diagnostic categories: category A, histology; category B, imaging and serology; and category C, response to steroids [3]. A patient with pancreatitis, must meet at least one set of criteria to confirm the diagnosis of autoimmune pancreatitis. As our patient had an elevated serum IgG4 level, a negative work-up for other common causes of acute pancreatitis and showed clinical, biochemical and radiological improvement with steroid therapy, he fits into Group C of this classification.
In 2012, the International Consensus Diagnostic Criteria for Autoimmune Pancreatitis were published [4]. This classification utilises the same cardinal features of autoimmune pancreatitis as the Mayo HISORt criteria [2], but makes a distinction between type I and type II autoimmune pancreatitis as two separate clinical entities within the disease spectrum of autoimmune pancreatitis.
Type I autoimmune pancreatitis (or lymphoplasmacytic sclerosing pancreatitis) is characterised histologically by dense periductal lymphoplasmacytic infiltrate, obliterative venulitis, storiform fibrosis, with IgG4-positive immunohistochemical staining of plasma cells (more than 10/HPF) in the pancreatic tissue, whereas type II autoimmune pancreatitis (idiopathic duct-centric pancreatitis typically shows histologically insignificant IgG4 staining of the pancreas granulocytic infiltration of duct wall with or without granulocytic acinar inflammation [5].
The clinical profile of type I and type II also differs. While both diseases are steroid responsive, type I autoimmune pancreatitis predominantly affects elderly males and is associated with elevated serum IgG4 levels and can be associated with other organ involvement such as the biliary tree, salivary gland and kidneys. On the other hand, type II autoimmune pancreatitis tends to affect younger patients, shows no gender predominance, is characterised by normal serum IgG4 levels and approximately 30% of cases are associated with inflammatory bowel disease [2, 6, 7].
This consensus classification also grades the strength of the supporting criteria to increase diagnostic accuracy into grade 1 and grade 2. Hence a diagnosis of probable and definitive autoimmune pancreatitis can now be made depending on the strength of the evidence.
Within this classification, our patient would be classified as probable type I autoimmune pancreatitis as his serum IgG4 levels were elevated between 1 and 2-fold upper limit of normal (level 2 evidence), there were focal pancreatic changes (level 2 evidence) and as his disease was steroid responsive. This is further supported by the fact that our patient’s advanced age and male gender are classical of the age and gender profile found in type I autoimmune pancreatitis.
Interestingly, our patient presented with moderately severe acute pancreatitis. Most commonly patients present with features mimicking pancreatic malignancy such as obstructive jaundice, a pancreatic mass and weight loss (likely related to reduced appetite and exocrine dysfunction) [8]. The abdominal pain associated with autoimmune pancreatitis tends to be mild [8, 9]. A literature review found that 3.3% autoimmune pancreatitis patients have recurrent acute pancreatitis but the severity of pancreatitis was not established [10].
The cause for our patient’s presentation with moderately severe acute pancreatitis is unclear. The minor pancreatic calcification which was noted on his CT scan at presentation may be indicative that our patient had subclinical attacks of pancreatitis prior to presenting to our accident and emergency department. The fact that he had a pancreatic pseudocyst on his initial CT scan, which subsequently resolved with steroid therapy deserves special mention. A Japanese case series of 48 autoimmune pancreatitis patients showed that 3 (6%) patients had pancreatic pseudocysts, which unlike pseudocysts of other etiologies resolved with steroid therapy [11], as was the case with our patient. They also found that histologically these pseudocysts were marked by severe lymphoplasmacytic infiltration and abundant IgG4-bearing plasma cells. It could therefore be the case that an exaggerated inflammatory response led our patient’s severe acute pancreatitis and pseudocyst formation. Unfortunately, endoscopic ultrasound guided biopsy was not available to us at the time of presentation and was subsequently not required for the diagnosis of autoimmune pancreatitis, as the case met HISORt criteria for the diagnosis of autoimmune pancreatitis (group C). Further studies are certainly required to establish the exact association of autoimmune pancreatitis to acute pancreatitis and its severity and whether this phenomenon actually represents an unrecognised subtype of autoimmune pancreatitis marked by a more severe inflammatatory response.
Although spontaneous splenic haemorrhage is a rare recognised complication of acute pancreatitis, it has not been previously reported as a complication of acute pancreatitis secondary to autoimmune pancreatitis. In a series of 159 CT scans in 100 patients with acute pancreatitis, 2% of patients had subcapsular splenic haemorrhage [12].
Different underlying pathophysiological mechanisms for spontaneous splenic haemorrhage in acute pancreatitis have been postulated with the three main theories being those of splenic thrombosis with subsequent portal hypertension, enzymatic digestion via leakage from a pseudocyst and bleeding from splenic artery pseudoaneursyms eroded by the contents of the pseudocysts [13]. In the case of our patient due to the presence of a pancreatic tail pseudocyst in close proximity to the spleen, and the absence of splenic vascular abnormalities, enzymatic digestion via leakage from the pseudocyst was the likely cause of the subcapsular splenic haemorrhage.
Rupture of the spleen may occur if the haemorrhage is large enough [14]. Management of splenic haemorrhage complicating acute pancreatitis will depend on the patients clinical condition. In view of the haemodynamic stability of our patient conservative management was indicated but unstable patients may require emergency laparotomy and either splenectomy or distal pancreatosplenectomy [14].
In summary, our case report highlights two important issues. Firstly, autoimmune pancreatitis can present as severe acute pancreatitis. In the case of our patient, a timely diagnosis of autoimmune pancreatitis was made during his first presentation. Therefore, patients presenting with ideopathic severe acute pancreatitis should be investigated for autoimmune pancreatitis, as this is a condition which responds promptly to steroid therapy. Furthermore, spontenaous splenic haemorrhage is rare but an important complication of autoimmune pancreatitis.
Received January 3rd, 2013 – Accepted August 2nd, 2013
Key words Autoimmune Diseases; Immunoglobulin G; Pancreatic Pseudocyst; Pancreatitis, Acute Necrotizing; Splenic Diseases
Declaration of funding sources None
Conflict of interest disclosure None
Correspondence
Mina
S Hanna
Department
of Gastroenterology
Frenchay Hospital
North Bristol NHS Trust
Frenchay
Park Road
Bristol, BS16 1LE
United Kingdom
Phone: +44-(0)117.340.3815
Fax: +44-(0)117.957.3075
E-mail: mina.hanna@nhs.net
References
1. Banks PA, Bollen TL, Dervenis C, Gooszen HG, Johnson CD, Sarr MG, et al. Classification of acute pancreatitis-2012: revision of the Atlanta classification and definitions by international consensus. Gut 2013; 62:102-11. [PMID: 23100216]
2. Chari ST. Diagnosis of autoimmune pancreatitis using its five cardinal features: introducing the Mayo Clinic's HISORt criteria. J Gastroenterol 2007; 42(Suppl 18):39-41. [PMID: 17520222]
3. Gardner TB, Levy MJ, Takahashi N, Smyrk TC, Chari ST. Misdiagnosis of autoimmune pancreatitis: a caution to clinicians. Am J Gastroenterol 2009; 104:1620-3. [PMID: 19574965]
4. Shimosegawa T, Chari ST, Frulloni L, Kamisawa T, Kawa S, Mino-Kenudson M, et al. International consensus diagnostic criteria for autoimmune pancreatitis: guidelines of the International Association of Pancreatology. Pancreas 2011; 40:352-8. [PMID: 21412117]
5. Sugumar A, Smyrk TC, Takahashi N, et al. Lymphoplasmacytic sclerosing pancreatitis (LPSP) and idiopathic duct centric pancreatis (IDCP) are distinct clinical forms of autoimmune pancreatitis (AIP). Pancreas 2008; 37:497.
6. Sah RP, Chari ST, Pannala R, Sugumar A, Clain JE, Levy MJ, et al. Differences in clinical profile and relapse rate of type 1 versus type 2 autoimmune pancreatitis. Gastroenterology 2010; 139:140-8. [PMID: 20353791]
7. Sugumar A, Kloppel G, Chari ST. Autoimmune pancreatitis: pathologic subtypes and their implications for its diagnosis. Am J Gastroenterol 2009; 104:2308-10. [PMID: 19727085]
8. Law R, Bronner M, Vogt D, Stevens T. Autoimmune pancreatitis: a mimic of pancreatic cancer. Cleve Clin J Med 2009; 76:607-15. [PMID: 19797461]
9. Pearson RK, Longnecker DS, Chari ST, Smyrk TC, Okazaki K, Frulloni L, Cavallini G. Controversies in clinical pancreatology: autoimmune pancreatitis: does it exist? Pancreas 2003; 27:1-13. [PMID: 12826899]
10. Pezzilli R. Acute recurrent pancreatitis: An autoimmune disease? World J Gastroenterol 2008; 14: 999-1006. [PMID: 18286678]
11. Muraki T, Hamano H, Ochi Y, et al. Corticosteroid-responsive pancreatic cyst found in autoimmune pancreatitis. J Gastroenterol 2005; 40:761-6. [PMID: 16082595]
12. Mortele KJ, Mergo PJ, Taylor HM, et al. Splenic and perisplenic involvement in acute pancreatitis: determination of prevalence and morphological helical CT features. J Comput Assist Tomogr 2001; 25:50-4. [PMID: 11176293]
13. Kurzbaum A, Lieberman L, Qarawany M, Nasrallah N, Safori G. Spontaneous splenic rupture: A rare complication of chronic pancreatitis. Israeli Journal of Emergency Medicine 2008; 8 :35-8.
14. Patil PV, Khalil A, Thaha MA. Splenic parenchymal complications in pancreatitis. JOP. J Pancreas (Online) 2011; 12:287-91. [PMID: 21546711]