CASE REPORT
A Rare Case of Incidental Pancreatic Arteriovenous Malformation Correctly Diagnosed with MDCT
Riccardo De Robertis Lombardi, Mirko D’Onofrio, Stefano Crosara, Stefano Canestrini, Emanuele Demozzi, Roberto Pozzi Mucelli
Department of Radiology, University of Verona, G.B. Rossi Hospital. Verona, Italy
ABSTRACT
Context Pancreatic arteriovenous malformations are a rare entity that can be incidentally discovered during MDCT examinations. Case report We describe a rare case of asymptomatic arteriovenous malformation presenting at MDCT as a hypervascular mass in the pancreatic head. Conclusion Pancreatic arteriovenous malformations are a rare entity, often asymptomatic, that can be correctly diagnosed by MDCT, especially with the use of specific electronic reconstructions.
INTRODUCTION
Pancreatic arteriovenous malformation is a rare entity, first reported in 1968 by Halpern et al. in a patient with Rendu-Osler-Weber disease, defined as a vascular anomaly that can be congenital or acquired as a result of inflammation, tumor, or trauma, constituted by an aberrant anastomosis between the arterial and venous systems in the pancreas [1].
It is usually asymptomatic but may occasionally cause portal hypertension, epigastric pain or gastrointestinal bleeding [2].
Despite definitive diagnosis is performed with angiography, MDCT can be useful for diagnosis of pancreatic arteriovenous malformations [3].
We describe a case of arteriovenous malformation, involving the pancreatic head in an adult female, incidentally discovered during a MDCT examination.
CASE REPORT
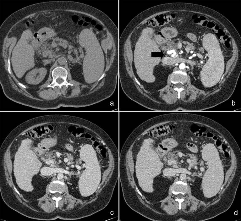
A 75-year-old female performed a quadriphasic abdominal CT examination for the characterization of a focal hepatic lesion, previously identified with a transabdominal ultrasound. Patient had a chronic HCV infection. The physical examination was substantially negative: particularly, the patient did not show any sign or symptom related to the pancreatic arteriovenous malformation or to gastrointestinal bleeding. The MDCT showed a hypervascular area of 3.5x2.5 cm in the pancreatic head, constituted of ectasic vessels (Figure 1); no calcifications were seen inside the mass. The lesion did not determine mass effect or dilation of the main pancreatic duct. During the arterial phase, there was also an early filling of the portal vein and the proximal portion of the superior mesenteric vein. Para-coronal maximum intensity projection and 3D electronic reconstructions made possible to identify the arterial afferents to the malformation (Figure 2), constituted by small aberrant branches from left gastric artery (Figure 3) and posterior inferior pancreaticoduodenal artery (Figure 4); it was also possible to identify the venous efferent drainage, constitute by the portal vein (Figure 5) and the superior mesenteric vein (Figure 6). Other MDCT findings were: presence of a cirrhotic liver with a solid 3.0x2.5 cm mass in the II segment, hyperdense in the arterial phase with washout during the portal phase, referable to hepatocellular carcinoma; an aberrant replacing right hepatic artery arising from the superior mesenteric artery; and a 1.5 cm solid hypodense lesion in the pancreatic body, with fat density and without contrast enhancement, referable to pancreatic lypomatosis.

|
Figure 1. Quadriphasic MDCT axial images, showing a hypervascular lesion in the arterial phase, made up of ectasic, tortuous vessels, at the pancreatic head (solid arrow in panel b). |

|
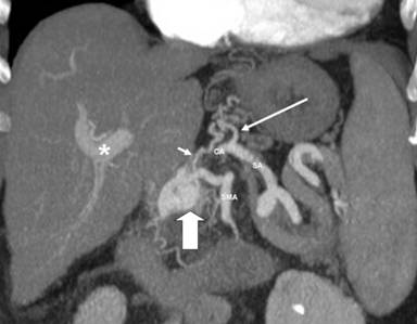
Figure 2. 3D paracoronal maximum intensity projection arterial phase reconstruction, showing the pancreatic arteriovenous malformation (solid arrow) and their arterial afferents arising from the left gastric artery (long arrow) and the inferior posterior pancreaticoduodenal artery (short arrow). Note the improper portal venous flow toward the liver (asterisk). Ao: aorta; CA: celiac artery; CHA: common hepatic artery; GDA: gastroduodenal artery; LGA: left gastric artery; SA: splenic artery; SMA: superior mesenteric artery |

|
Figure 3. Maximum intensity projection paracoronal arterial phase reconstruction image shows the pancreatic arteriovenous malformation (solid arrow) and its afferents (short arrow) arising from the left gastric artery (long arrow). Note the improper early appearance of intrahepatic portal vein (asterisk). CA: celiac artery; SA: splenic artery; SMA: superior mesenteric artery |

|
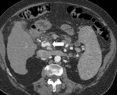
Figure 4. Arterial phase axial image shows the pancreatic arteriovenous malformation (solid arrow) and its afferent (short arrow) arising from posterior inferior pancreaticoduodenal artery. |

|
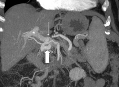
Figure 5. Maximum intensity projection paracoronal arterial phase reconstruction shows efferent venous flow (long arrow) from the pancreatic arteriovenous malformation (solid arrow) into the portal vein (asterisk). |

|
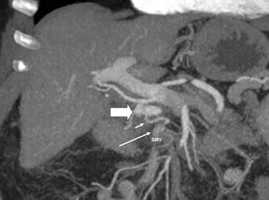
Figure 6. Maximum intensity projection paracoronal arterial phase reconstruction, which shows the venous efferent (short arrow) from the pancreatic arteriovenous malformation (solid arrow) to the superior mesenteric vein (SMV; long arrow). |
The patients underwent surgical resection for the hepatocellular carcinoma; the pancreatic arteriovenous malformation was not treated because it was asymptomatic and for the absence of clinical signs of portal hypertension.
DISCUSSION
Arteriovenous malformations of the gastrointestinal tract are uncommon. The real incidence is unknown, because it is commonly asymptomatic. In most cases, pancreatic arteriovenous malformation is considered a congenital anomaly arising from an anomalous differentiation in the rudimentary plexus of primordial blood vessels, as is Rendu-Osler-Weber syndrome [4]. Pancreatic arteriovenous malformations may also be acquired, as a result of trauma, tumor or inflammation [1].
Kanno et al. [5] in 2006 made a review of the literature and stated that only 51 cases of pancreatic arteriovenous malformations were reported; they most frequently involved pancreatic head (57%), followed by the body and the tail (31%), and the entire pancreas was involved in 6 patients (12%).
Pancreatic arteriovenous malformations are asymptomatic in most cases; when symptomatic, they may present with epigastric pain, gastrointestinal bleeding, and jaundice. The bleeding may occur as a consequence of portal hypertension, or as a direct bleeding from the malformation into adjacent structures including the pancreatic duct, the bile duct, the intestinal mucosa [6]. Acute pancreatitis is an uncommon clinical presentation of pancreatic arteriovenous malformations [7].
Despite angiography has been the gold standard for the diagnosis of pancreatic arteriovenous malformations, some authors reported that multiphase MDCT examination can be useful for the diagnosis because it might provide clear visual identification of the feeding arteries and the efferent veins. The typical CT features are the presence of a conglomeration of strong nodular stains and the early enhancement of the efferent drainage veins during the arterial phase [8].
In the presented case, the use of multiplanar reconstructions, as well as maximum intensity projection and 3D reconstructions, was fundamental to obtain the correct diagnosis, identifying afferent arteries and drainage veins.
Pancreatic arteriovenous malformations must be differentiated from other hypervascular pancreatic masses as neuroendocrine tumors, hypervascular metastases and angiosarcoma.
The treatment is reserved for bleeding and for the progressive enlargement of the malformation, causing a portal hypertension resistant to treatment. Treatment modalities include the ligation of the afferent artery, the embolization of feeding vessels, portocaval shunting, surgical resection or radiotherapy [9]. We presented a case in which MDCT with electronic multiplanar, three-dimensional and maximum intensity projection reconstructions, was useful in the precise diagnosis of the pancreatic arteriovenous malformation by identification of the feeding arteries, and the drainage veins.
Received November 10th 2012 – Accepted December 5th, 2012
Key words Arteriovenous Malformations; Pancreas; Tomography, X-Ray Computed
Conflict of interest We declare no potential conflicts of interest for this paper
Correspondence
Riccardo
De Robertis Lombardi
Department of Radiology
G.B. Rossi Hospital
University of Verona
Piazzale L.A. Scuro 10
37134 Verona
Italy
Phone: +39-45.812.4301
Fax: +39-45.802.7490
E-mail: riccardo.derobertis@hotmail.it
References
1. Halpern M, Turner AF, Citron BP. Hereditary hemorrhagic telangiectasia. An angiographic study of abdominal visceral angiodysplasias associated with gastrointestinal hemorrhage. Radiology 1968; 90(6): 1143-9. [PMID:5656734]
2. Koito K, Namieno T, Nagakawa T, et al. Congenital arteriovenous malformation of the pancreas: its diagnostic features on images. Pancreas 2001; 22(3): 267-73. [PMID:11291928]
3. Ogawa H, Itoh S, Mori Y, Suzuki K, Ota T, Naganawa S. Arteriovenous malformation of the pancreas: assessment of clinical and multislice CT features. Abdom Imaging 2009; 34(6): 743-52. [PMID:18953516]
4. Choi JK, Lee SH, Kwak MS, et al. A Case of Recurrent Acute Pancreatitis due to Pancreatic Arteriovenous Malformation. Gut Liver 2010; 4(1): 135-9. [PMID:20479928]
5. Kanno A, Satoh K, Kimura K, et al. Acute pancreatitis due to pancreatic arteriovenous malformation: 2 case reports and review of the literature. Pancreas 2006. 32(4): 422-5. [PMID:16670626]
6. Charalabopoulos A, Macheras N, Krivan S, Petropoulos K, Misiakos E, Macheras A. Arteriovenous malformation of the pancreas. Case Report Med 2011; 2011:612657. [PMID:21765845]
7. Ohtani N, Kimoto K, Yoshida S, Tanaka T, Inokuchi H, Kawai K. Pancreatic arteriovenous malformation with pancreatitis involving a pancreatico-venous fistula. Gastroenterol Jpn 1992; 27(1): 115-20. [PMID:1555741]
8. Makhoul F, Kaur P, Johnston TD, Jeon H, Gedaly R, Ranjan D. Arteriovenous malformation of the pancreas: A case report and review of literature. Int J Angiol 2008; 17(4): 211-3. [PMID:22477452]
9. Grasso RF, Cazzato RL, Luppi G, et al. Pancreatic arteriovenous malformation involving the duodenum embolized with ethylene-vinyl alcohol copolymer (Onyx). Cardiovasc Intervent Radiol 2012; 35(4):958-62. [PMID:21953209].