CASE REPORT
Pancreatic Carcinosarcoma: Case Report of a Rare Type of Pancreatic Neoplasia
Erkan Oymaci1, Asuman Argon2, Ali Coşkun1, Ahmet Deniz Uçar1, Erdem Carti1, Nazif Erkan1, Mehmet Yildirim1
Departments of 1General Surgery and 2Pathology, Izmir Bozyaka Training and Research Hospital. Izmir, Turkey
ABSTRACT
Context Carcinosarcoma of the pancreas is a rare entity comprising a small subset of all pancreatic neoplasms. Diagnosis is usually established by immunohistochemical examination of the resected specimen. Prognosis is limited to several months after resection. Case report We review the current literature on this rare type of neoplasia, considering histopathological and clinical features. The pathologic findings revealed areas of both adenocarcinoma and sarcoma of the pancreas. The adenocarcinomatous areas localized to the tumor within the head of the pancreas whereas the sarcomatous areas localized to regions of the intraductal component. Discussion Carcinosarcoma of the pancreas is a rare disease having a dismal prognosis. To our knowledge, this carcinosarcoma is the very rare reported case of a primary pancreatic neoplasm with mixed carcinomatous and sarcomatous components.
INTRODUCTION
Carcinosarcoma of the pancreas is a rare entity comprising a small subset of all pancreatic neoplasms and very few clinical data and treatment options have been published. In the pancreas, only several cases of carcinosarcoma have been reported in the literature [1, 2, 3, 4, 5, 6]. According to World Health Organization (WHO) classification of tumors of the digestive system, the carcinosarcoma of the pancreas is classified together with sarcomatoid carcinoma and anaplastic giant cell carcinomas in undifferentiated (anaplastic) carcinoma of pancreas [7]. As it is well known, carcinosarcoma of the pancreas have cells recognizable as adenocarcinoma as well as a high-grade spindle-cell component. Each of these elements shows distinct immunohistochemical and ultrastructural characteristics. The histogenesis of carcinosarcoma is not clearly understood, with four main hypotheses having been proposed: collision, combination, conversion and composition tumor theories [8, 9]. Prognosis is limited to several months after resection [1, 2, 7]. Because of its extreme rarity, the histogenesis of pancreatic carcinosarcoma remains to be elucidated. We present a rare case of pancreatic carcinosarcoma, including the clinical and histopathological features and review the current literature on this rare type of neoplasia, considering histopathological and clinical features.
CASE REPORT
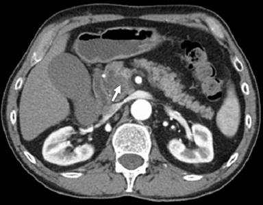
A 66-year-old male was admitted to our hospital suffering from abdominal pain and jaundice. Physical examination was significant for left upper quadrant tenderness. Laboratory examination revealed an elevation of liver function tests and bilirubin levels although serum amylase and lipase, and complete blood count were all within normal range. An abdominal computed tomography scan showed a cystic mass in the head of the pancreas. A horizontal section of a computed tomography scan indicated a cystic mass in the pancreatic uncinate process consisting of a unilocular cystic lesion of 3 cm in diameter and a hyperdense mural nodule of 1.5 cm in diameter (Figure 1). The patient underwent endoscopic retrograde cholangiopancreatography with pancreatic duct brushing, which not revealed a diagnosis of adenocarcinoma. No evidence of distant metastasis was identified. An extended pancreaticoduodenectomy was performed. The operation was uneventful and the patient was discharged from hospital postoperative 12th day. The patient re-admitted to our emergency unit due to upper gastrointestinal bleeding and died postoperative at the 20th day due to sudden gastrointestinal bleeding complication.

|
Figure 1. Computed tomography scan indicated a cystic mass in the pancreatic uncinate process (arrow). |
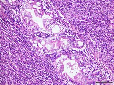
Grossly, the tumor was localized in head of pancreas, measured 3.5x2.0x1.5 cm and consisted of a solid mural nodule that had unilocular cystic lesion (Figure 2). After the samples were processed by routine tissue protocol, paraffin-embedded sections of formalin-fixed tissue were studied by routine histology using hematoxylin-eosin stain. Histologically, the tumor showed two components. The first component was moderately differentiated adenocarcinoma that it made common neural-lymphovascular invasion and peripancreatic fat tissue and duodenal wall infiltration. In addition, a sarcomatous area growing into the pancreatic ducts was observed (second component). The second component revealed a sarcomatous growth pattern composed predominantly of highly cellular areas with pleomorphic spindle cells and few necrotic areas were detected in the sarcomatous areas. The first component was within the second component one in focal areas (Figure 3).

|
Figure 2. The solid area is shown in a circle and the cystic area is shown with an arrow in the tumor localized in the head of the pancreas. |

|
Figure 3. Both components of tumor (adenocarcinomatous area is in the center of the figure and the sarcomatous area surrounds it). |
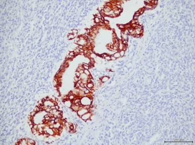
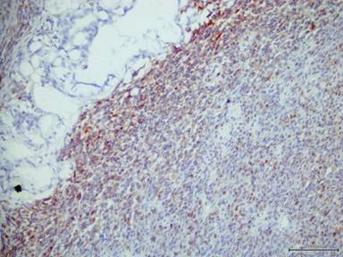
Immunohistochemistry was performed on an automated immunostainer by the avidin-biotin complex technique, using monoclonal antibodies to pan-cytokeratin, carcinoembryonic antigen, vimentin, smooth muscle actin (SMA), desmin, myogenin, CD68, CD117, S-100, CD34, p53, K-ras and Ki-67. We observed that the adenocarcinomatous component was positive for pan-cytokeratin and carcinoembryonic antigen (Figure 4). Both components were positive for p53 and K-ras, but they were negative for desmin, SMA, myogenin, CD68, CD117, S-100, and CD34. The Ki-67 proliferation index was 2%. The sarcomatous component exhibited diffuse immunoreactivity for vimentin (Figure 5) and focal immunoreactivity for SMA. Besides, two of sixteen peri-pancreatic lymph nodes showed a metastasis of the adenocarcinomatous component.

|
Figure 4. Carcinoembryonic antigen was positive in adenocarcinomatous component but negative in sarcomatous component (adenocarcinomatous area is in the center of the figure). |

|
Figure 5. Vimentin was positive in sarcomatous component but negative in adenocarcinomatous component (adenocarcinomatous area is on the left of the figure). |
DISCUSSION
Carcinosarcomas are rare neoplasms and predominantly located in the uterus [8]. The origin of mixed carcinosarcoma is unknown. They are histologically characterized by a carcinomatous and a sarcomatous component. It has been postulated that these neoplasms represent cellular elements derived from two different histological origins proliferating in one tumor [9]. The identification of identical DNA sequences in multiple genes supports the hypothesis that carcinosarcomas derive from a single stem cell. Although controversy remains, several studies have suggested a monoclonal origin for carcinosarcomas using diverse immunohistochemical and molecular analyses [10, 11, 12]. Although molecular examination could not be performed in the present case, immunohistochemically both components were positive for p53 and K-ras. These findings suggested that the pancreatic carcinosarcoma could be of monoclonal origin, and that the sarcomatous component might have arisen from metaplastic transformation of the carcinomatous component, as did the study by Wada et al. [9] and Kim et al. [12]. The molecular findings that suggest that the pancreatic carcinosarcoma could be of monoclonal origin must be supported with more cases.
Immunohistochemical diagnosis is established by reactivity of the carcinomatous and sarcomatous elements to cytokeratin and vimentin, respectively. Carcinosarcomas must be differentiated from sarcomatoid carcinomas, which immunohistochemically show only cytokeratin reactivity and are therefore considered to be true carcinomas. However, they have to be separated from epithelioid sarcomas which are defined as sarcomas as they lack cytokeratin reactivity but they do not contain two components [5]. In the present case, the lack of immunoreactivity desmin and myogenin and CD68, excluded the diagnoses of pleomorphic rhabdomyosarcoma and histiocytic sarcoma. No immunoreactivity for CD34, S-100 and CD117 ruled out hemangiopericytoma, angiosarcoma, malignant peripheral nerve sheath tumor, pleomorphic liposarcoma and extragastrointestinal stromal tumor.
Yamakazi proposed that carcinosarcomas begin growing as adenocarcinomas and later accumulate genetic alterations with consequent transformation into carcinosarcomas having two different histological patterns [13]. Millis et al. reported a case of carcinosarcoma that was composed of conventional adenocarcinoma and leiomyosarcoma [2]. The sarcomatous nature of the latter component was confirmed by a strong affinity of the spindle cells for anti-SMA, anti-vimentin, and anti-desmin antibodies. These authors also described focal areas of chondrosarcoma and rhabdomyosarcoma in association with the leiomyosarcoma [2].
Histologically, the tumor showed two components in our case. The first component was a moderately differentiated ductal adenocarcinoma. The second component revealed a sarcomatous growth pattern composed predominantly of highly cellular areas with pleomorphic spindle cells that had focal positive staining for SMA.
Based on the limited number of reported cases, the prognosis of carcinosarcoma of the pancreas appears dismal. Patients in 5 of the 6 cases that compiled died of the disease, with an average postoperative survival time of 6 months [1, 2, 3, 4]. Only one patient was alive one year after surgery [2]. Our patient died postoperative 20th day due to sudden gastrointestinal bleeding that occurred because of a leakage complication in the anastomosis site.
Medical treatment has an importance in the treatment of pancreatic adenocarcinoma in a neoadjuvant as well as in an adjuvant setting. In adjuvantly-treated patients who underwent resection for pancreatic cancer with curative intent, it delays the development of disease progression [13, 14].
Carcinosarcoma of the pancreas is a rare disease having a dismal prognosis. To our knowledge, the case of carcinosarcoma reported in the present paper is a very rare case of primary pancreatic neoplasm with mixed carcinomatous and sarcomatous components.
Received November 30th, 2012 – Accepted December 28th, 2012
Key words Carcinosarcoma; Pancreatic Neoplasms; Pancreaticoduodenectomy
Conflict of interest The authors have no potential conflict of interest
Correspondence
Erkan Oymaci
Department of General Surgery
Izmir Bozyaka Training and Research Hospital
Cankaya Mah. 131 sok. No: 61 Kat:1
Izmir, 35280
Turkey
Phone: +90-232.250.5050/4323
Fax: +90-232.250.2997
E-mail: erkan.oymaci@hotmail.com
References
1. Darvishian F, Sullivan J, Teichberg S, Basham K. Carcinosarcoma of the pancreas. Arch Pathol Lab Med 2002; 126:1114-17.
2. Millis JM, Chang B, Zinner MJ, Barsky SH. Malignant mixed tumour (carcinosarcoma) of the pancreas: a case report supporting organ-induced differentiation of malignancy. Surgery 1994; 115:132-7.
3. Bloomston M, Chanona-Vilchis J, Ellison EC, Ramirez NC, Frankel WL. Carcinosarcoma of the pancreas arising in a mucinous cystic neoplasm. Am Surg 2006; 72: 351-355.
4. Nakano T, Sonobe H, Usui T, et al. . Immunohistochemistry and k-ras sequence of pancreatic carcinosarcoma. Pathol Int 2008; 58: 672- 677.
5. Watanabe M, Miura H, Inoue H, et al. . Mixed osteoclastic/ pleomorphic-type giant cell tumor of the pancreas with ductal adenocarcinoma: Histochemical and immunohistochemical study with review of the literature. Pancreas 1997; 15: 201-208.
6. Wenig BM, Albores-Saavedra J, Buetow PC, Heffess CS. Pancreatic mucinous cystic neoplasm with sarcomatous stroma: A report of three cases. Am J Surg Pathol 1997; 21: 70-80.
7. Bosman T, Carneiro F, Hruban RH, Theise N.D. World Health Organization Classification of Tumours the Digestive system. 4th Edition. IARC Press Lyon. 2010.
8. Abeln EC, Smit VT, Wessels JW, de Leeuw WJ, Cornelisse CJ, Fleuren GJ. Molecular genetic evidence for the conversion hypothesis of the origin of malignant mixed mullerian tumours. J Pathol 1997; 183: 424-431.
9. Wada H, Enomoto T, Fujita M, et al. . Molecular evidence that most but not all carcinosarcomas of the uterus are combination tumors. Cancer Res 1997; 57: 5379-5385.
10. Silverberg SG, Major FJ, Blessing JA, Fetter B, Askin FB, Liao SY, Miller A. Carcinosarcoma (malignant mixed mesodermal tumor) of the uterus. A Gynecologic Oncology Group pathologic study of 203 cases. Int J Gynecol Pathol 1990; 9:1-19
11. Huszar M, Herczeg E, Lieberman Y, Geiger B. Distinctive immunofluorescent labeling of epithelial and mesenchymal elements of carcinosarcoma with antibodies specific for different intermediate filaments. Hum Pathol 1984; 15:532-8
12. Hyun-Soo Kim, Sun Hyung Joo, Dal Mo Yang, Sang Hyun Lee, Sung Ho Choi, Sung-Jig Lim. Carcinosarcoma of the Pancreas: A Unique Case with Emphasis on Metaplastic Transformation and the Presence of Undifferentiated Pleomorphic High-Grade Sarcoma. J Gastrointestin Liver Dis 2011; 20(2):197-200
13. Yamazaki K. A unique pancreatic ductal adenocarcinoma with carcinosarcomatous histology, immunohistochemical distribution of hCG-beta, and the elevation of serum alpha-feto-protein. J Submicrosc Cytol Pathol 2003; 35:343-9
14. Oettle H, Post S, Neuhaus P, Gellert K, Langrehr J, Ridwelski K, et al. . Adjuvant chemotherapy with gemcitabine vs observation in patients undergoing curative-intent resection of pancreatic cancer: a randomized controlled trial. JAMA 2007; 297:267-7.