CASE REPORT
JOP. J Pancreas (Online) 2013 Jan 10; 14(1):99-101.
Recurrent Acute Pancreatitis in a Patient with Wirsungocele and Neuroendocrine Tumor of Ampulla of Vater
Vinay Dhir, Nitin Joshi, Suhirdan Vivekanandarajah, Suryaprakash Bhandari, Mukta Bapat, Amit Maydeo
Baldota Institute of Digestive Sciences. Mumbai, India
ABSTRACT
Context Wirsungocele has recently been shown to be associated with acute recurrent, severe necrotizing pancreatitis and chronic pancreatitis or chronic pain in abdomen. Till to date there is no report on association of wirsungocele with an ampullary neuroendocrine tumor, and recurrent pancreatitis. Case report We report a first ever case of wirsungocele diagnosed on EUS, its association with neuroendocrine tumor of ampulla and recurrent acute pancreatitis. Conclusion This case report highlights the diagnostic utility of EUS in diagnosing small ampullary pathology like wirsungocele and neuroendocrine tumor.
INTRODUCTION
Recurrent acute pancreatitis can rarely be due to an obstructive pathology at the ampulla of Vater. EUS is an excellent modality for detecting small ampullary pathology. Recently wirsungocele has been described as an etiological factor for recurrent pancreatitis. We encountered a patient who had recurrent pancreatitis due to a wirsungocele and a small neuroendocrine tumor at the ampulla of Vater, both diagnosed by endosonography.
CASE REPORT
A 63-year-old male had two episodes of acute pancreatitis by biochemistry and abdominal ultrasonography. EUS findings showed an ampullary mass and cystic dilatation of terminal portion of duct of Wirsung suggestive of wirsungocele (Figures 1 and 2). EUS guided FNA from the ampulla suggested a neuroendocrine tumor. MRCP confirmed EUS findings of wirsungocele and ampullary mass (Figure 3). ERCP (Figure 4) and endoscopic ampullectomy was then performed and patient made an uneventful recovery. The histopathological examination and immunohistochemistry showed neuroendocrine tumor (pathological classification: G1) with cells expressing synaptophysin and chromogranin (Figure 5). The Mib proliferation index was less than 2%. The pancreatic duct was seen well dilated within the tumor tissue.

|
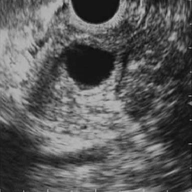
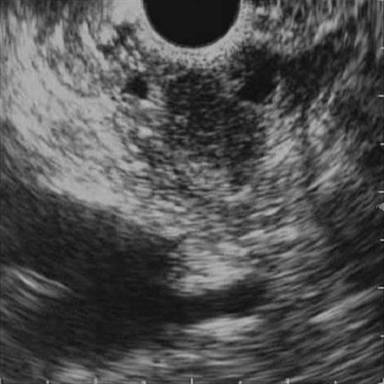
Figure 1. EUS of the ampulla of Vater showing cystic dilation of terminal pancreatic duct. |

|
Figure 2. EUS of the ampullary region showing hypoechoic lesion at the ampulla. The wirsungocele is also seen. |

|
Figure 3. MRCP showing cystic dilation of terminal part of main pancreatic duct. |

|
Figure 4. ERCP showing dilation of terminal part of pancreatic duct. |

|
Figure 5. Microphotograph showing neuroendocrine tumor at the ampulla. The pancreatic duct is also seen. (Magnification, x40). |
DISCUSSION
Wirsungocele is the term coined for cystic dilation of the terminal part of the duct of Wirsung. We found a total of eight cases of wirsungocele described in five papers indexed in PubMed [1, 2, 3, 4, 5]. Abu-Hamda et al. first described wirsungocele as an incidental finding on ERCP [1]. Four of these cases (50.0%) of wirsungoceles are associated with acute recurrent pancreatitis [1, 2, 3, 4, 5]. Five reported cases (62.5%) are males and age of presentation is after 4th decade [1, 2, 3, 4, 5]. Endoscopic pancreatic sphincterotomy and stenting appears very effective and durable [2, 3, 4]. Our patient also had good symptom relief following endotherapy. EUS as a diagnostic tool has not been used adequately so far. For the first time we could demonstrate wirsungocele on EUS and its association with neuroendocrine tumor.
Ampullary neuroendocrine tumor is a rare entity, and constitutes less than 1% of all gastrointestinal neuroendocrine tumors [5]. In our case possibility of wirsungocele formation due to long standing obstruction by the neuroendocrine tumor is unlikely. A complete upstream ductal dilatation is more likely to occur due to a tumor. The episodes of acute recurrent pancreatitis were more likely to be due to wirsungocele as the duct is not compressed by the tumor on histology.
CONCLUSION
This case report highlights the diagnostic utility of EUS in diagnosing small ampullary pathology like wirsungocele and neuroendocrine tumor. The association of wirsungocele with neuroendocrine tumor of ampulla and recurrent pancreatitis has also been reported for the first time.
Received December 2nd, 2012 – Accepted December 8th, 2012
Key word Endosonography; Neuroendocrine Tumors; Pancreatitis
Conflict interests The authors have no potential conflict of interest
Correspondence
Vinay Dhir
Baldota Institute of Digestive Sciences
35, Dr E. Borges Road, Hospital avenue, Parel
Mumbai 400012
India
Phone: +91-22.6767.0101
Fax: +91-22.2417.4435
E-mail: vinaydhir@gmail.com
References
1. Abu-Hamda EM, Baron TH. Cystic dilatation of the intraduodenal portion of the duct of Wirsung (Wirsungocele). Gastrointest Endosc 2004; 59:745- 7.
2. Rajesh Gupta, Sandeep Lakhtakia, Manu Tandan, Darisetty Santosh, Guduru Venkat Rao, Duvvuru Nageshwar Reddy Recurrent Acute Pancreatitis and Wirsungocele: A Case Report and Review of Literature. JOP 2008; 9:531-533.
3. Gabbrielli A, Bernardoni L, Manfredi R, Frulloni L, Benini L, Bassi C, Vantini I, Pederzoli P Wirsungocele. A Rare Cause of Severe Necrotic Acute Pancreatitis. JOP 2010 ; 11(5 Suppl):526.
4. Djalma Ernesto Coelho, José Celso Ardengh, Eder Rios de Lima-Filho, José Flávio Coelho. Different clinical aspects of Wirsungocele: case series of three patients and review of literature. Acta Gastroenterol Latinoam 2011;41:230-233.
5. Sang Won Kim, Sung Shick Jou Jong K,yu Han, Hyung Hwan Kim, Young Tong Kim. Imaging Findings of Wirsungocele: A Report of Two Cases. J Korean Radiol Soc 2008;59:317-320.