CASE REPORT
Isolated Pediatric Pancreatic Transection Secondary to Ocean-Related Trauma
Afif N Kulaylat1, Danielle M Pastor1, Mary C Santos2
1Department of Surgery, Penn State Hershey Medical Center, and 2Division of Pediatric Surgery, Penn State Hershey Children΄s Hospital. Hershey, PA, USA
ABSTRACT
Context Isolated pancreatic transection is a rare but well-recognized complication following blunt trauma of the abdomen. Diagnosis at presentation may be difficult and delayed due to subtle initial symptoms and evolving nature of the injury. Case report We describe an isolated complete pancreatic transection in a 14-year-old female secondary to a previously unreported and highly unusual mechanism (being tossed by a wave). Diagnosis was obtained by computed tomography scan 24 hours following initial trauma. She was managed operatively with an open distal pancreatectomy with splenic preservation and no subsequent complications. Conclusions The force sustained from the blunt abdominal trauma of being tossed by a wave can be significant. The management of pancreatic injuries in children, particularly in the context of ductal transection, is controversial. Timely recognition and management is critical to optimal outcomes. Early operative intervention may help to avoid complications such as abscess or pseudocyst formation.
INTRODUCTION
Pancreatic transection is a rare but well-recognized complication of blunt trauma to the abdomen. It is more frequently reported to be isolated in the pediatric population. Presentation and symptoms are often initially subtle leading to delays in diagnosis, which increase morbidity and mortality. Sustaining a pancreatic transection due to the force of impact with the ocean floor from being tossed by a wave was not previously reported. The management of pediatric pancreatic transection is controversial. We describe a 14-year-old female who developed, by the aforementioned mechanism, a grade III pancreatic injury according to the Association for the Surgery of Trauma (AAST) [1]. Diagnosis occurred 24 hours after traumatic insult. She underwent an open distal pancreatectomy with splenic preservation without subsequent complications. Challenges in diagnosis, mechanism of injury and controversies in management are discussed.
CASE REPORT
A 14-year-old female with epigastric pain, nausea, and emesis following ocean-related trauma was transferred to our institution. She was swimming when she was tossed by a large wave; her abdomen contacting the ocean floor with significant force. She initially complained of back and epigastric pain. In the subsequent twenty-four hours, her abdominal pain worsened in severity, with extension into her chest and pelvis. She developed anorexia, shortness of breath and multiple episodes of emesis prompting her presentation to a regional medical center.
She was found to be afebrile, with a heart rate of 108 beats per minute, blood pressure of 129/81 mmHg and a respiratory rate of 18 breaths per minute. Abrasions were noted in the epigastric region and left upper quadrant with accompanying tenderness, although her abdomen was soft, non-distended and otherwise non-tender. Her laboratory studies demonstrated a white blood cell count of 14,000 cells/µL (reference range: 4,800-10,800 cells/µL), a total bilirubin of 3.3 mg/dL (reference range: 0.2-1.0 mg/dL) and a lactic acid of 0.9 mmol/L (reference range: 0.5-1.6 mmol/L). The rest of her results were within normal limits. Amylase and lipase were not obtained at the time.
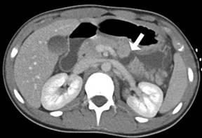
A computed tomography (CT) of the abdomen revealed complete transection of the pancreas at the junction of the body and tail (Figure 1) with associated peripancreatic fluid extending into the lesser sac, flattening the posterior stomach, as well as tracking into the left anterior perirenal space and left colic gutter. A moderate amount of pelvic free fluid was also evident, as well as generalized mild small bowel dilatation. Biliary and pancreatic ducts were normal in size. Duodenal hematoma was excluded; the spleen also appeared normal. CT scans of the cervical, thoracic, and lumbar spine were unremarkable.

|
Figure 1. CT scan of the abdomen demonstrating complete transection of the pancreas at the junction of the body and tail approximately 24 hours following initial injury. Arrow indicates pancreatic transection. |
She was subsequently transferred to our institution for definitive management. Upon arrival, the patient remained tachycardic and normotensive. Her physical exam revealed similar findings to those reported at the outside hospital and she was brought to the operating room for an exploratory laparotomy and anticipated distal pancreatectomy. Intraoperatively, the pancreatic transection was evident through the pancreatic body without vascular injuries. The spleen looked viable and healthy. A distal pancreatectomy with splenic preservation was performed. Extensive thickening and edema of the proximal pancreas precluded effective suture or staple repair and fibrin glue and oxidized cellulose polymer were applied. Drains were positioned superior and inferior to the pancreas in the pancreatic bed and the abdomen was closed. She had return of bowel function by post-operative day 4. Peripancreatic drains were discontinued on post-operative day 9. She was discharged with supplemental parenteral nutrition for inadequate oral intake, which was continued for one week. By her two-month follow-up, she had returned to her baseline.
DISCUSSION
Pancreatic transection is a rare event, but occurs in isolation more commonly in pediatric patients [2]. In the pediatric literature, the incidence of pancreatic injury from children sustaining blunt abdominal trauma is 2-9% and pancreatic transection reported to be less than 0.5% [3, 4]. The presentation of pancreatic injury or transection can be subtle with non-specific signs and symptoms, variable levels of pain and tenderness, and unpredictable radiographic characteristics and anatomic variables that can pose diagnostic challenges [5]. It is not uncommon for diagnosis to be delayed beyond 12 hours after presentation, with one study citing a mean delay of 36 hours for 55% of the children in their series [4].
The diagnostic challenge is related to the evolving nature of pancreatic injury. The typical epigastric abdominal pain and tenderness initially reported by the patient can improve over the first two hours to increase again over the next four to six hours [5]. Serum amylases can be misleading, particularly within the first three hours of initial trauma [6].
CT scan is commonly employed in assessing abdominal injury in pediatric trauma [2]. CT scan has a reported sensitivity and specificity of 80% in the detection of pancreatic injury, with recognized limitations especially to disclose ductal injury, particularly in the first twelve hours, as soft tissue changes require time to evolve [2, 5, 7]. Within this time frame, the full extent of injury may not be evident, and this is especially true in the setting of transection, which may not be demonstrated until edema or fluid development allows for sufficient parenchymal disruption and separation of transected edges [2, 4, 5]. One study found that the initial CT scan missed one third of pancreatic injuries that were documented subsequently at surgery or with follow-up imaging [8]. The paucity of retroperitoneal fat in children was thought to have a negative impact [8]. The presence of lesser sac hematoma, pre-pancreatic edema, obscured pancreatic duodenal interface, and non-visualization of the extra-pancreatic vessels should increase suspicion of pancreatic injury [5]. Repeat CT scans 24 hours after injury have been advocated when clinical suspicion persists and definitive diagnosis remains elusive [4, 7]. Endoscopic retrograde cholangiopancreatography can be used for further delineation of duct injury if unclear with CT [9, 10].
The benefit of serum markers such as amylase and lipase to aid in evaluation or management of pancreatic injury has been controversial. Elevated serum amylase and lipase are common with pancreatic injuries but not pathognomonic, nor is the degree of elevation of these enzymes necessarily indicative of the extent of injury [4]. It has been suggested that amylase and lipase are not cost-effective screening tools for pediatric pancreatic trauma and that routine repeat amylase and lipase levels are of limited value [3, 11]. Other literature suggests that delayed amylase levels or degree of amylase elevation can be reflective of pancreatic injury, or may be useful when imaging is inconclusive or in children with persistent unexplained abdominal pain [5, 6, 12, 13].
Lesion to the pancreas is typically caused by blunt trauma to the epigastrium, which compresses the pancreas against the vertebral column, resulting in crush or transection injuries. The major causes of pancreatic injury described involve motor vehicle crash, bicycle accident, all-terrain vehicles accident, assault, or fall [14]. Potential complications include intra-abdominal abscess, pancreatic fistula, pseudocyst and post-traumatic pancreatitis [15].
The management of pancreatic injury is controversial, particularly in the setting of pancreatic ductal involvement [7]. Arguments for early operative intervention are increased morbidity, complications, length of stay and the emotional stress of prolonged hospitalizations as costly complications of non-operative management [4, 12, 16]. Trauma with distal ductal injury demonstrate decreased morbidity when these patients are treated early with surgical management, most often open distal pancreatectomy with attempts at splenic preservation in pediatric patients [4, 10]. Laparoscopic approaches have also been described with comparable outcomes [9, 17, 18, 19]. Recent literature has suggested that morbidity and complication rates are comparable, with decreased median length of stay in laparoscopic groups [18, 19]. The optimal technique for addressing the pancreatic stump is controversial and varying degrees of success have been described with stapler or hand-sewn closure, duct ligation, ultrasonic dissection, fibrin glue/sealants, patches and meshes [20]. Delays in diagnosis and subsequent surgical intervention have been correlated with higher rates of pancreas-specific morbidity and mortality [21].
Recent pediatric literature has demonstrated that non-operative management of pancreatic ductal injury can be successful, with similar length of stay [2, 14, 16]. Non-operative management is more frequently associated with pancreatic related complications such as abscess or pseudocyst [10, 14, 16]. Pseudocysts can be managed successfully non-operatively with percutaneous drainage [22]. Higher injury severity scores and pancreatic grade injuries have been reported to be predictors of non-operative failure [10]. Aggressive treatment of complications such as pseudocyst and abscess is critical to successful non-operative management [2]. Long-term follow up demonstrates atrophy of the distal body and tail; however, occasionally the gland can heal and recanalize [2].
We describe a 14-year-old female who sustained an isolated grade III pancreatic transection after being tossed by a wave. She was managed operatively with an open splenic preserving distal pancreatectomy. Her hospital stay was 12 days, and she received 12 days of parenteral nutrition. At one-year follow up, she experienced no complications related to her pancreatic surgery. In review of the literature, a similar mechanism of pancreatic transaction was never reported, though one case report from 1981 describes a case of splenic rupture without pancreatic involvement secondary to similar mechanism, specifically body-surfing [23]. High index of suspicion must be maintained for patients with persistent epigastric pain, nausea or emesis, especially in the presence of free fluid in abdomen. The force of impact from being tossed by a wave is significant enough to cause a pancreatic transection and intra-abdominal injury should be recognized as a risk of ocean-related trauma. In this case, fibrin glue was successful in managing the proximal stump from a traumatic pancreatic transection with delay in diagnosis that was technically unamenable to suture or staple repair. In isolated pediatric transections, early diagnosis and operative intervention may help to avoid complications such as abscess or pseudocyst formation.
Received December 7th, 2012 Ð Accepted December 14th, 2012
Key words Adolescent; Child; Delayed Diagnosis; Pancreas /injuries /radiography /surgery; Pancreatectomy; Pancreatic Ducts; Wounds and Injuries /complications
Acknowledgments The authors would like to thank Dr. Robert E Cilley for his critical review of this manuscript
Conflict of interest All authors report no potential conflicts of interest
Financial support No internal or external financial support was used for this report
Correspondence
Mary
C Santos
Division of Pediatric Surgery
Department of Surgery
Penn State Hershey Children΄s Hospital
Penn State Milton S. Hershey Medical Center
500 University Drive
Hershey, PA 17033
USA
Phone: +1-717.531.8342
Fax: +1-717.531.4185
E-mail: msantos2@hmc.psu.edu
References
1. Moore EE, Cogbill TH, Malangoni MA, et al. Organ injury scaling, II: Pancreas, duodenum, small bowel, colon, and rectum. J Trauma 1990;30:1427-9. [PMID 2231822].
2. Wales PW, Shuckett B, Kim PC. Long-term outcome after nonoperative management of complete traumatic pancreatic transection in children. J Pediatr Surg 2001;36:823-7. [PMID 11329598].
3. Herman R, Guire KE, Burd RS, et al. Utility of amylase and lipase as predictors of grade of injury or outcomes in pediatric patients with pancreatic trauma. J Pediatr Surg 2011;46:923-6. [PMID 21616253].
4. Meier DE, Coln CD, Hicks BA, Guzzetta PC. Early operation in children with pancreas transection. J Pediatr Surg 2001;36:341-4. [PMID 11172430].
5. Smith DR, Stanley RJ, Rue LW, 3rd. Delayed diagnosis of pancreatic transection after blunt abdominal trauma. J Trauma 1996;40:1009-13. [PMID 8656454].
6. Jobst MA, Canty TG, Sr., Lynch FP. Management of pancreatic injury in pediatric blunt abdominal trauma. J Pediatr Surg 1999;34:818-23; discussion 23-4. [PMID 10359187].
7. Bosboom D, Braam AW, Blickman JG, Wijnen RM. The role of imaging studies in pancreatic injury due to blunt abdominal trauma in children. Eur J Radiol 2006;59:3-7. [PMID 16781837].
8. Sivit CJ, Eichelberger MR, Taylor GA, et al. Blunt pancreatic trauma in children: CT diagnosis. AJR Am J Roentgenol 1992;158:1097-100. [PMID 1566674].
9. Nikfarjam M, Rosen M, Ponsky T. Early management of traumatic pancreatic transection by spleen-preserving laparoscopic distal pancreatectomy. J Pediatr Surg 2009;44:455-8. [PMID 19231557].
10. Mattix KD, Tataria M, Holmes J, et al. Pediatric pancreatic trauma: predictors of nonoperative management failure and associated outcomes. J Pediatr Surg 2007;42:340-4. [PMID 17270545].
11. Adamson WT, Hebra A, Thomas PB, et al. Serum amylase and lipase alone are not cost-effective screening methods for pediatric pancreatic trauma. J Pediatr Surg 2003;38:354-7; discussion -7. [PMID 12632348].
12. Nadler EP, Gardner M, Schall LC, et al. Management of blunt pancreatic injury in children. J Trauma 1999;47:1098-103. [PMID 10608540].
13. Matsuno WC, Huang CJ, Garcia NM, et al. Amylase and lipase measurements in paediatric patients with traumatic pancreatic injuries. Injury 2009;40:66-71. [PMID 19135195].
14. Paul MD, Mooney DP. The management of pancreatic injuries in children: operate or observe. J Pediatr Surg 2011;46:1140-3. [PMID 21683212].
15. Levine RA, Bank MA. Traumatic transection of the pancreas. A case of delayed presentation. JOP 2011;12:47-9. [PMID 21206102].
16. Wood JH, Partrick DA, Bruny JL, et al. Operative vs nonoperative management of blunt pancreatic trauma in children. J Pediatr Surg 2010;45:401-6. [PMID 20152361].
17. Reynolds EM, Curnow AJ. Laparoscopic distal pancreatectomy for traumatic pancreatic transection. J Pediatr Surg 2003;38:E7-9. [PMID 14577094].
18. Iqbal CW, Levy SM, Tsao K, et al. Laparoscopic versus open distal pancreatectomy in the management of traumatic pancreatic disruption. J Laparoendosc Adv Surg Tech A 2012;22:595-8. [PMID 22691182].
19. Rutkoski JD, Segura BJ, Kane TD. Experience with totally laparoscopic distal pancreatectomy with splenic preservation for pediatric trauma--2 techniques. J Pediatr Surg 2011;46:588-93. [PMID 21376217].
20. Knaebel HP, Diener MK, Wente MN, et al. Systematic review and meta-analysis of technique for closure of the pancreatic remnant after distal pancreatectomy. Br J Surg 2005;92:539-46. [PMID 15852419].
21. Healey AJ, Dimarikis I, Pai M, Jiao LR. Delayed presentation of isolated complete pancreatic transection as a result of sport-related blunt trauma to the abdomen. Case Rep Gastroenterol 2008;2:22-6. [PMID 21490833].
22. Martinez-Ramos D, Cifrian-Perez M, Garcia-Vila JH, et al. Percutaneous drainage treatment of traumatic pancreatic rupture with pancreatic transection. Gastroenterol Hepatol 2010;33:102-5. [PMID 19896241].
23. Buchta RM. A ruptured spleen due to body surfing. J Adolesc Health Care 1981;1:317-8. [PMID 7333936].