Thalis Christophides1, Adam E Frampton1, Patrizia Cohen2, Tamara MH Gall1, Long R Jiao1, Nagy A Habib1, Madhava Pai1
1HPB Surgical Unit, Department of Surgery and Cancer and 2Department of Histopathology; Imperial College Healthcare NHS Trust, Hammersmith Hospital campus. London, United Kingdom
ABSTRACT
Context Localized reactive lymphoid hyperplasia is a rare condition characterized by the presence of lymphoid follicles. Case report We describe a case of a 60-year-old woman who presented with right upper quadrant pain and was found to have a reactive nodular hyperplasia of the pancreas involving the uncinate process, body and tail of the gland. Due to the multifocal distribution of these hypoechoic vascular lesions, a total pancreatectomy was performed since malignancy could not be safely excluded. Conclusion There have been a handful of cases reporting reactive lymphoid hyperplasia affecting the pancreas; however, it is uncommon to perform such a radical pancreatic resection for this benign condition.
INTRODUCTION
Nodular lymphoid hyperplasia of the pancreas is a rare entity. There are very few reports in the English literature describing similar cases [1, 2, 3, 4, 5, 6]. Localized lymphoid hyperplasia, previously called “pseudolymphoma”, is characterized by the presence of lymphoid follicles, resembling more of a reactive process without having any malignant potential. It has been found in various organs including the stomach [7], skin [8], breast [9], lung [10, 11], liver [12], and orbit [13]. Up to 5% of pancreatectomies performed with the preoperative clinical diagnosis of carcinoma will prove to be non-neoplastic by pathological examination [14]. The radiological findings in pancreatic lymphoid hyperplasia are not well known; therefore it is difficult to distinguish this benign process from other pancreatic neoplasms. Here we discuss a case presenting as multifocal hypervascular lesions suspicious for neuroendocrine tumor.
CASE REPORT
Patient Report
Reported herein is the case of a 60-year-old patient who was referred to our unit after an initial ultrasound scan for non-specific right upper quadrant pain identified a pancreatic mass. There was no significant past medical history or co-morbidities. Follow-up computed tomographic (CT) scan could not confirm the presence of the tumor; however, a repeat ultrasound scan showed a 2.7 cm mass within the body of the pancreas with a feeding arterial vessel into the lesion. Magnetic resonance imaging (MRI) confirmed a 2.3 cm lesion within the body of the pancreas and a further 1.8 cm lesion in the uncinate process (Figure 1a). These lesions demonstrated low signal on the T1-weighted images and an intermediate signal on the T2-weighted images. After the administration of radio-opaque contrast, the lesions enhanced to nearly the same degree as the adjacent normal pancreas, but appeared mildly hyperintense in the portal phase without any significant washout. Though the results were not completely characteristic of an adenocarcinoma, the suspicion of a neuroendocrine tumor (NET) was raised. Thereafter she was investigated with an endoscopic ultrasound (EUS). This revealed a round, 2 cm hypoechoic vascular lesion in the neck of the pancreas with clear margins, which was highly suspicious for a NET. In addition, two other lesions in the uncinate process and tail of the pancreas were identified, but did not have the classical characteristics of NETs. Next, a pancreatic protocol CT scan was organized, and surprisingly no focal enhancing lesion could be demonstrated. Only after using the previous MRI images as a guide, a 1.8 cm lesion was suggested within the body of the pancreas. The laboratory tests, including tumor markers and gut hormones, were all within the normal limits. A total pancreatectomy with splenectomy was performed based on the localization of the lesions.



|
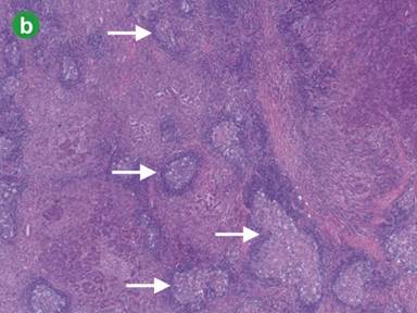
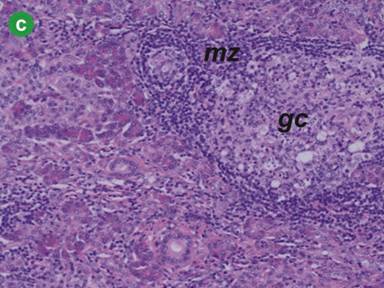
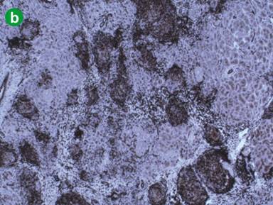
Figure 1. a. Magnetic resonance imaging (MRI) demonstrates two lesions (red arrows: 1.8 cm diameter in uncinate process and 2.3 cm diameter in body of pancreas) which are homogeneously hypo-intensive (T1-weighted sequence). b. Hematoxylin and eosin stained section from the nodule in the body of pancreas reveals an area of nodular lymphoid hyperplasia consisting of several hyperplastic lymphoid follicles with large germinal centers of varying sizes (white arrows) within the pancreatic parenchyma (original magnification x20). c. Higher magnification showing reactive germinal center (gc) with tingible body macrophages with well-preserved mantle zone (mz) and adjacent exocrine pancreatic parenchyma. Pathological diagnosis was pancreatic nodular lymphoid hyperplasia previously called “pseudolymphoma” (hematoxylin and eosin staining; original magnification x100). |
Histopathologic Findings
Macroscopic examination of the specimen showed an ill-defined whitish nodule measuring 1.5 cm in diameter in the uncinate and another in the body of the pancreas. The microscopic examination of this area in the body showed nodular lymphoid hyperplasia measuring 1.7x2.0 cm. The lymphoid tissue contained well-formed follicles and large germinal centers with macrophages surrounded by fibrotic stroma (Figure 1bc). The lymphoid follicles were mainly composed of large B cells in the center, with small T-cells at the periphery. A similar focus of nodular lymphoid hyperplasia was identified in the uncinate process measuring 1.5x1.8 cm in size. The tail of the pancreas was unremarkable apart from scattered small foci of lymphoid hyperplasia and a few areas low grade PanIN. Eighteen lymph nodes identified within the specimen were all normal. At this point the probable diagnosis of nodular lymphoid hyperplasia needed to be differentiated from follicular lymphoma (a mature B-cell lymphoma that is thought to originate from cells in the germinal center). Therefore, additional immunostains were performed (Figures 2 and 3). The follicular germinal centers showed CD10(+) and were negative for BCL2. CD21(+) and CD23(+) highlighted dendritic cell meshworks, whereas CD3(+) and CD5(+) showed small T-cells. Cyclin D1 appeared negative in lymphoid cells and kappa/lambda light chain restriction analysis did not reveal a monotypic lymphoid population. Therefore, the appearances confirmed the diagnosis of reactive inflammatory infiltrate and no malignancy. At follow-up, contrast enhanced CT of the chest, abdomen and pelvis 6 months post-operatively has shown no disease recurrence or new lesions.




|
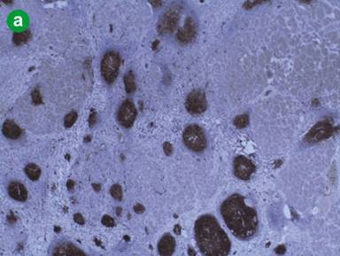
Figure 2. Immunohistochemical staining revealed a follicular infiltrate which was composed of centers with cells expressing B-cell characteristics that were CD10 positive (a,) and BCL-2 negative (b.) (BCL-2 negativity implies reactive rather than neoplastic follicles), whilst CD21 (c.) and CD23 (d.) staining demonstrated regular and orderly network of follicular dendritic cells as in reactive lymphoid follicles, thus supporting the diagnosis of reactive lymphoid follicular hyperplasia. |



|
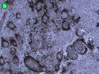
Figure 3. Further immunohistochemical staining. Whilst the lymphoid follicles are mainly composed of large B cells in the center, the periphery consisted of small T-cells positive for CD3 (a.) and CD5 (b.). Immunostaining for cyclin D1 (c.) was negative in lymphoid cells, therefore excluding mantle cell lymphoma. |
DISCUSSION
Reactive lymphoid hyperplasia of the pancreas is extremely rare condition with few cases described in full with regards to details of presentation, operative findings and histological assessment. It is extremely difficult to differentiate from malignancy and therefore surgery is commonly offered to patients.
Only one out of the six previous reports of reactive lymphoid hyperplasia had a similar multifocal distribution to our case that required total pancreatectomy [4]. Unique features among the other cases include the concomitant finding in the liver, as reported by Amer et al. [1], and the spontaneous regression of a focus of pseudolymphoma in the remnant pancreas after surgical resection, as reported by Nakata et al. [6].
The precise mechanism for the development of reactive lymphoid hyperplasia is not clear. There are only few cases involving the pancreas; therefore, conclusions cannot be extracted. After reviewing the clinicopathological characteristics of patients with hepatic lymphoid hyperplasia, Ishida et al. suggested that an autoimmune or immune reaction to a gastrointestinal malignancy could be the potential triggering factor [15]. Based mostly on reported cases regarding hepatic involvement, it seems that this condition is more commonly found in adult females, a factor which could be in favour of the suspected autoimmune mechanism. In some other cases, the administration of a vaccination or anticonvulsant drugs have been suggested as the trigger [16, 17]. Reactive lymphoid hyperplasia is primarily considered a benign condition and spontaneous regression of lesions in the liver and lungs has been observed [12, 18]. However, the malignant transformation of pseudolymphoma it has also been sporadically reported [19, 20]. For this reason the term reactive lymphoid hyperplasia seems to be more appropriate, as it better denotes the benign nature of this entity.
It seems that it is difficult to differentiate the exact nature of this uncommon pancreatic lesion based only on imaging. According to similar reports involving the liver, these lesions demonstrate low signal in T1-weighted images and intermediate or high signal T2-weighted images [21]. Contrast-enhanced CT scan could not identify the lesions within the pancreas in our patient, confirming other reports that lymphoid hyperplasia appears as a hyperdense lesion which is impossible to differentiate from a pancreatic malignancy [1, 4]. However, EUS demonstrated a well-defined rounded hypoechoic vascular lesion, highly suggestive of a NET in our case, but unfortunately fine-needle aspiration (FNA) was not conclusive. Importantly, primary pancreatic lymphoma should be differentiated from lymphoid hyperplasia. Though this may share some radiologic characteristics [22], the diagnosis should be confirmed based on histology obtained by FNA-biopsy.
Immunophenotyping can help to differentiate reactive lymphoid hyperplasia from mantle cell, mucosa-associated lymphoid tissue (MALT) and follicular lymphomas. Mantle cell lymphoma is a non-Hodgkin’s lymphoma, which may arise from a peripheral B-cell of the inner mantle zone (naïve pre-germinal center type) [23]. Its characteristic immunophenotype is usually CD20(+), CD10(-), CD5(+) (80%) and CD23(+) [24, 25]. Mantle cell lymphomas also exhibit strong expression of BCL2 protein (95%) [23, 25]. In addition, mantle cell lymphoma tumor cells have a unique t(11;14) (q13;q32) chromosomal translocation that juxtaposes the cyclin D1 gene (CCND1) on chromosome 11 to the immunoglobulin heavy chain (IgH) [24]. This results in CCND1 overexpression, which is directly related to mantle cell lymphoma pathogenesis. In contrast, MALT lymphomas typically have the immunophenotype: CD19(+), CD20(+), CD21(+), CD79a(+), CD5(-), CD10(-), CD23(-) and cyclin D1(-) [26], Whereas follicular lymphomas are characterized by t(14;18) (q32;q21) translocation, involving the Bcl-2 gene (BCL2) on chromosome 18 juxtaposed with the immunoglobulin heavy chain (IgH) [27]. This leads to upregulation of the anti-apoptotic BCL2 protein (85-92%) [25, 27, 28]. Follicular lymphomas also express a large spectrum of B-cell markers (CD20, CD19, CD22, CD79a, and Pax5), and are normally: CD10(+) (up to 90%), BCL6(+), CD5(-) and cyclin D1(-) [28]. The observation of CD10(+) B cells co-expressing BCL2 in the follicles favors the diagnosis of follicular lymphoma [28].
CONCLUSION
Though an extremely rare condition, reactive lymphoid hyperplasia should be included in the differential diagnosis of hypoechoic lesions localized in the pancreas. Conclusions cannot be made regarding its diagnosis and management, since there are only a few papers published so far describing this entity within the pancreas. Its benign nature can allow a more conservative management (with active follow-up), rather than radical surgery, provided that a definitive and safe diagnosis can be achieved.
Received December 17th, 2012 – Accepted December 27th, 2012
Keywords Pseudolymphoma; Pancreas; Pancreatectomy
Abbreviations MALT: mucosa-associated lymphoid tissue
Conflicts of interest and source of funding The authors have disclosed that they have no significant relationships with, or financial interest in, any commercial companies pertaining to this article
Correspondence
Madhava
Pai
HPB Surgical Unit
Department of Surgery and Cancer
Imperial College, Hammersmith Hospital campus
Du Cane Road
London, W12 0HS
United Kingdom
Phone: +44-208.383.3937
Fax: +44-208.383.3212
E-mail: madhava.pai04@imperial.ac.uk
References
1. Amer A, Mafeld S, Saeed D, Al-Jundi W, Haugk B, et al. (2012) Reactive lymphoid hyperplasia of the liver and pancreas. A report of two cases and a comprehensive review of the literature. Clin Res Hepatol Gastroenterol 36: e71-80.
2. Babaryka I, Thomas E (1981) [Pancreatitis lymphomatosa (author's transl)]. Zentralbl Allg Pathol 125: 315-318.
3. Hatzitheoklitos E, Buchler MW, Friess H, DiSebastiano P, Poch B, et al. (1994) Pseudolymphoma of the pancreas mimicking cancer. Pancreas 9: 668-670.
4. Kim JW, Shin SS, Heo SH, Jeong YY, Kang HK, et al. (2011) Imaging findings of localized lymphoid hyperplasia of the pancreas: a case report. Korean J Radiol 12: 510-514.
5. Nakashiro H, Tokunaga O, Watanabe T, Ishibashi K, Kuwaki T (1991) Localized lymphoid hyperplasia (pseudolymphoma) of the pancreas presenting with obstructive jaundice. Hum Pathol 22: 724-726.
6. Nakata B, Amano R, Matsuoka J, Sugimori S, Ohsawa M, et al. (2012) Spontaneously complete regression of pseudolymphoma of the remnant pancreas after pancreaticoduodenectomy. Pancreatology 12: 215-218.
7. Tokunaga O, Watanabe T, Morimatsu M (1987) Pseudolymphoma of the stomach. A clinicopathologic study of 15 cases. Cancer 59: 1320-1327.
8. Bergman R (2010) Pseudolymphoma and cutaneous lymphoma: facts and controversies. Clin Dermatol 28: 568-574.
9. Chang DW, Weiss PR (1995) Pseudolymphoma of the breast. Plast Reconstr Surg 95: 145-147.
10. Abbondanzo SL, Rush W, Bijwaard KE, Koss MN (2000) Nodular lymphoid hyperplasia of the lung: a clinicopathologic study of 14 cases. Am J Surg Pathol 24: 587-597.
11. Saltzstein SL (1963) Pulmonary Malignant Lymphomas and Pseudolymphomas: Classification, Therapy, and Prognosis. Cancer 16: 928-955.
12. Zen Y, Fujii T, Nakanuma Y (2010) Hepatic pseudolymphoma: a clinicopathological study of five cases and review of the literature. Mod Pathol 23: 244-250.
13. Knowles DM, Jakobiec FA, McNally L, Burke JS (1990) Lymphoid hyperplasia and malignant lymphoma occurring in the ocular adnexa (orbit, conjunctiva, and eyelids): a prospective multiparametric analysis of 108 cases during 1977 to 1987. Hum Pathol 21: 959-973.
14. Adsay NV, Basturk O, Klimstra DS, Kloppel G (2004) Pancreatic pseudotumors: non-neoplastic solid lesions of the pancreas that clinically mimic pancreas cancer. Semin Diagn Pathol 21: 260-267.
15. Ishida M, Nakahara T, Mochizuki Y, Tsujikawa T, Andoh A, et al. (2010) Hepatic reactive lymphoid hyperplasia in a patient with primary biliary cirrhosis. World J Hepatol 2: 387-391.
16. Choi TS, Doh KS, Kim SH, Jang MS, Suh KS, et al. (2003) Clinicopathological and genotypic aspects of anticonvulsant-induced pseudolymphoma syndrome. Br J Dermatol 148: 730-736.
17. Pham-Ledard A, Vergier B, Doutre MS, Beylot-Barry M (2010) Disseminated cutaneous lymphoid hyperplasia of 12 years' duration triggered by vaccination. Dermatology 220: 176-179.
18. Miyoshi S, Hamada H, Katayama H, Hamaguchi N, Irifune K, et al. (2010) A case of pulmonary nodular lymphoid hyperplasia with a resected cavity, followed by spontaneous regression of the remaining lesions. Intern Med 49: 1617-1621.
19. Kulow BF, Cualing H, Steele P, VanHorn J, Breneman JC, et al. (2002) Progression of cutaneous B-cell pseudolymphoma to cutaneous B-cell lymphoma. J Cutan Med Surg 6: 519-528.
20. Schwartz MS, Sherman H, Smith T, Janis R (1989) Gastric pseudolymphoma and its relationship to malignant gastric lymphoma. Am J Gastroenterol 84: 1555-1559.
21. Machida T, Takahashi T, Itoh T, Hirayama M, Morita T, et al. (2007) Reactive lymphoid hyperplasia of the liver: a case report and review of literature. World J Gastroenterol 13: 5403-5407.
22. Saif MW (2006) Primary pancreatic lymphomas. JOP 7: 262-273.
23. Cortelazzo S, Ponzoni M, Ferreri AJM, Dreyling M (2012) Mantle cell lymphoma. Critical Reviews in Oncology/Hematology 82: 78-101.
24. Witzig TE, Geyer SM, Ghobrial I, Inwards DJ, Fonseca R, et al. (2005) Phase II Trial of Single-Agent Temsirolimus (CCI-779) for Relapsed Mantle Cell Lymphoma. Journal of Clinical Oncology 23: 5347-5356.
25. Stanford (2012) Surgical Pathology Criteria - Lymphomas. Stanford School of Medicine.
http://surgpathcriteria.stanford.edu/bcell/mantle/differentialdiagnosis.html#t1
26. Suzuki H, Saito Y, Hibi T (2009) Helicobacter pylori and Gastric Mucosa-associated Lymphoid Tissue (MALT) Lymphoma: Updated Review of Clinical Outcomes and the Molecular Pathogenesis. Gut Liver 3: 81-87.
27. Husson H, Carideo EG, Neuberg D, Schultze J, Munoz O, et al. (2002) Gene expression profiling of follicular lymphoma and normal germinal center B cells using cDNA arrays. Blood 99: 282-289.
28. Klapper W (2011) Pathobiology and diagnosis of follicular lymphoma. Semin Diagn Pathol 28: 146-160.