CASE REPORT
JOP. J Pancreas (Online) 2013 May 10; 14(3):286-288.
Adult Onset Nesidioblastosis Treated by Subtotal Pancreatectomy
Rahul Amreesh Gupta1, Roma Prahladbhai Patel2, Sanjay Nagral1
Departments of 1Surgical Gastroenterology and 2Histopathology, Jaslok Hospital and Research Centre. Mumbai, Maharashtra, India
ABSTRACT
Context Nesidioblastosis is a rare cause of non insulinoma pancreatogenous hypoglycemic syndrome seen in adults. It is characterized by postprandial hypoglycemia with high insulin and C-peptide levels without any detectable pancreatic lesion. The definitive diagnosis can be made only on histopathological examination of the resected specimen. Case report We report a case of a 50-year-old lady presenting with hypoglycemic attacks being misdiagnosed preoperatively as insulinoma and treated with enucleation leading to recurrence of symptoms after 6 months. Later medical therapy was tried which failed and patient needed subtotal pancreatectomy for resolution of symptoms. Conclusion Nesidioblastosis should be suspected in patients with endogenous hyperinsulinemic hypoglycemia without any detectable pancreatic tumor on preoperative imaging.
INTRODUCTION
Nesidioblastosis is a term coined by Laidlaw [1] who described the neo-formation of the islets of Langerhans from the pancreatic ductal epithelium. Nesidioblastosis is a well recognized disorder in infancy but rare in adulthood and only a limited number of cases have been described [2]. The incidence of nesidioblastosis is increasing and is mostly seen in adults after gastric bypass for morbid obesity [3]. We report a case of adult onset nesidioblastosis in a patient without any previous surgery treated by subtotal pancreatectomy.
CASE REPORT
A 50-year-old lady presented with the history of multiple episodes of giddiness and loss of consciousness since 1 year. On detailed evaluation at a tertiary medical center, she was diagnosed to have hyperinsulinemic hypoglycemia based on biochemical reports showing Insulin 12.8 IU/mL, C-peptide 3.6 mg/mL with blood sugar 30 mg/dL during the attack of unconsciousness. Contrast enhanced computed tomography of abdomen revealed multiple small enhancing lesions in the head and uncinate process of the pancreas suspected to be insulinomas. She underwent laparotomy with enucleation of 4 small pancreatic lesions in August 2010 under intra-operative ultrasound guidance. The sizes of the lesions were 2.0x1.2x0.3 cm, 2.0x1.0x0.3 cm, 1.2x1.2x0.5 cm, and 0.5x0.5x0.4 cm. On histopathological examination, these lesions showed hyperplastic irregular islets with prominent nuclei and ductuloinsular complexes suggestive of nesidioblastosis.
Following this surgery her hypoglycemia had improved for six months, but later she started getting recurrent hypoglycemic attacks. She had high serum insulin and C-peptide levels with low blood sugar levels suggesting recurrence. Contrast enhanced computed tomography (CT) and magnetic resonance imaging (MRI) of abdomen did not show any pancreatic lesion. She was treated with oral diazoxide and high sugar diet without response. Hence a decision was taken to subject to repeat laparotomy was taken. Intraoperative ultrasound and manual palpation of pancreas was done which failed to reveal any focal lesion. Hence subtotal pancreatectomy (80%) with splenectomy was performed as nesidioblastosis was suspected. Post operative course was uneventful.
The resected specimen was studied using hematoxylin and eosin (H&E), chromogranin and synaptophysin stains which revealed ductuloinsular complexes with islet cell hypertrophy suggestive of nesidioblastosis (Figures 1 and 2). After one year of subtotal pancreatectomy, she is asymptomatic. Her fasting and postprandial serum glucose levels revealed mild glucose intolerance which is being treated by dietary modifications.

|
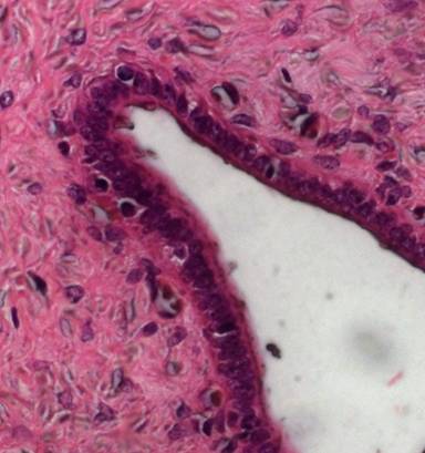
Figure 1. The pancreatic ductal epithelium showing vacuolated neuroendocrine cells (H&E, 40x). |

|
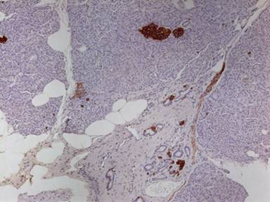
Figure 2. Ductuloinsular complex which is the hallmark of nesidioblastosis (immunohistochemistry synaptophysin, 20x). |
DISCUSSION
Hyperinsulinemic hypoglycemia in adults is most commonly caused by insulinomas. But rarely, it can be caused by nesidioblastosis which is a disease of infancy. Adult onset nesidioblastosis has now been incorporated into the description of non-insulinoma pancreatogenous hypoglycemic syndrome [4]. Differentiating non-insulinoma pancreatogenous hypoglycemic syndrome from insulinoma preoperatively is challenging but important because the surgical treatment differs and, if not suspected preoperatively, can lead to recurrence and reoperation as seen in our case.
The classical clinical feature of non-insulinoma pancreatogenous hypoglycemic syndrome is postprandial hypoglycemia (within 4 hours of meals) which is absent in patients with insulinoma [4]. However, fasting hypoglycemia may also occur in non-insulinoma pancreatogenous hypoglycemic syndrome. During episodes of hypoglycemia, like insulinoma, there is inappropriate elevation of plasma insulin, C-peptide, and proinsulin concentrations with low plasma beta-hydroxybutyrate, and a negative sulfonylurea/meglitinide screen [5]. A positive 72 h fasting test which is characteristic of insulinoma is negative in non-insulinoma pancreatogenous hypoglycemic syndrome but still not sufficient for definitive diagnosis. Conventional radiologic tests, like CT and MRI, are not reliably helpful in differentiating an insulinoma from nesidioblastosis [2]. Transgastric ultrasonography of the pancreas is very useful to localize insulinoma [2]. Special interventional tests, like selective arterial calcium stimulation test with hepatic venous sampling, may be performed to differentiate between a focal abnormality (insulinoma) and a diffuse process (islet cell hypertrophy/nesidioblastosis) [6]. Fluorine-18-L-dihydroxyphenylalanine (18F-DOPA) positron emission tomography is another useful preoperative imaging modality for diagnosis and differentiation of insulinoma from nesidioblastosis in case where other diagnostic tests are negative [7]. These tests were not performed in our patient because of lack of availability.
The diagnosis is mainly based on: 1) exclusion of an insulinoma by clinical diagnostic procedures; and 2) pathological analysis of the pancreatic tissue [8]. Hence, in a patient with postprandial hypoglycemia without any detectable pancreatic lesion, nesidioblastosis should be suspected and laparotomy should be performed with preparedness for doing subtotal/distal pancreatectomy. The role of intra-operative frozen section in absence of focal lesion for diagnosis is controversial [9].
The pathological criteria for establishing its diagnosis are the presence of differently-sized islets and poorly defined endocrine cell clusters scattered in the acinar parenchyma and often intimately connected with small or large ducts (ductuloinsular complexes) [10]. In our case, vacuolated cells could be seen arising from the pancreatic ductal epithelium (Figure 1). On immunohistochemistry these cells were be identified to be neuroendocrine cells forming ductuloinsular complexes (Figure 2).
Nesidioblastosis is classified into focal and diffuse types characterized by different clinical outcomes [11]. Focal nesidioblastosis exhibits nodular hyperplasia of islet like cell clusters, including ductuloinsular complexes and hypertrophied insulin cells with giant nuclei. In contrast, diffuse nesidioblastosis involves the entire pancreas with irregularly sized islets [11].
This case had features of both diffuse and focal types which suggest that there probably exists a ‘mixed type’, the possibility of which needs to be explored in future studies.
Our patient was asymptomatic for 6 months after first surgery before developing recurrence which appears to be very unusual. The possible theoretical explanations for this clinical course could be:
· the hyperplastic islets in the focal lesions had suppressed the insulin secretion from the rest of the pancreas which gradually started hypersecreting after removal of the focal lesions;
· the exact cause of adult onset nesidioblastosis is not known. It is possible that in a genetically predisposed individual, environmental stimulus, like Roux en Y gastric bypass, triggers neoformation of islets from ductular epithelium. It could be argued that, despite removal of focal lesions, the unknown stimuli continued to trigger islet cell hyperplasia in remaining pancreatic tissue leading to recurrence.
These hypotheses need to be studied in future studies for better understanding of etiopathogenesis of this disease.
The treatment strategies for non-insulinoma pancreatogenous hypoglycemic syndrome include pancreatectomy and medical therapy with diazoxide and octreotide [12, 13]. The medical treatment is more effective in postgastric bypass non-insulinoma pancreatogenous hypoglycemic syndrome than in idiopathic nesidioblastosis. Diazoxide is often used perioperatively to control blood sugar levels.
The extent of pancreatic resection is controversial. Some studies have shown that selective arterial calcium stimulation test may be useful to guide the extent of resection [14] but a study by Witteles et al. has shown that resection of 60-89% of pancreas (i.e., distal or subtotal pancreatectomy) is possibly the most appropriate surgery for nesidioblastosis because the risk of diabetes mellitus is below 10% with 70% success rate in achieving normoglycemia [2].
In summary, adult onset nesidioblastosis is a rare disorder which should be suspected in a patient with endogenous hyperinsulinemic hypoglycemia without insulinoma.
Received December 28th, 2012 – Accepted April 10th, 2013
Key words Hypoglycemia; Insulinoma; Nesidioblastosis; Pancreatectomy
Conflict of interests The authors have no potential conflict of interests
Correspondence
Rahul
Amreesh Gupta
Department of GI Surgery
20th floor, Jaslok Hospital and Research Centre
Mumbai, Maharashtra
India, 400026
Mobile: +91-809.733.0573
Fax: +91-222.352.0508
E-mail: rahul.g.85@gmail.com
References
1. Laidlaw GF. Nesidioblastoma, the islet cell tumor of the pancreas. Am J Pathol 1938; 14: 125-134.
2. Witteles RM, Straus II FH, Sugg SL, Koka MR, Costa EA, Kaplan EL. Adult-onset nesidioblastosis causing hypoglycemia: an important clinical entity and continuing treatment dilemma. Arch Surg 2001; 136: 656-663.
3. Qintar M, Sibai F, Taha M. Hypoglycemia due to adult onset nesidioblastosis, a diagnostic and management dileema. Avicenna J Med 2012;2:45-7
4. Service FJ, Natt N, Thompson GB, Grant CS, van Heerden JA, Andrews JC, et al. Noninsulinoma pancreatogenous hypoglycemia: a novel syndrome of hyperinsulinemic hypoglycemia in adults independent of mutations in Kir6.2 and SUR1 genes. J Clin Endocrinol Metab 1999; 84:1582-9.
5. Cryer PE, Axelrod L, Grossman AB, Heller SR, Montori VM, Seaquist ER, et al. Evaluation and management of adult hypoglycemic disorders: an Endocrine Society Clinical Practice Guideline. J Clin Endocrinol Metab 2009; 94:709.
6. Doppman JL, Chang R, Fraker DL, DL, et al. Localization of insulinomas to regions of the pancreas by intra-arterial stimulation with calcium. Ann Intern Med 1995; 123:269.
7. Kauhanen S, Seppanen M, Minn H, Gullichsen R, Salonen A, Alanen K, et al. Fluorine-18-L-Dihydroxyphenylalanine (18F-DOPA) Positron Emission Tomography as a Tool to Localize an Insulinoma or Cell Hyperplasia in Adult Patients. J Clin Endocrinol Metab 2007;92(4):1237–1244
8. Raffel A, Anlauf M, Hosch SB, Krausch M, Henopp T, Bauersfeld J, et al. Hyperinsulinemic hypoglycemia due to adult nesidioblastosis in insulin-dependent diabetes. World J Gastroenterol 2006; 12(44): 7221-7224.
9. Bright E, Garcea G, Ong SL, Madira W, Berry DP, Dennison AR. An Unusual Case of Concurrent Insulinoma and Nesidioblastosis. J Pancreas (Online) 2008; 9(5):649-653.
10. Heitz PU, Kloppel G, Hacki WH, Polak JM, Pearse AG. Nesidioblastosis: the pathologic basis of persistent hyperinsulinemic hypoglycemia in infants. Morphologic and quantitative analysis of seven cases based on specific immunostaining and electron microscopy. Diabetes 1977; 26: 632-642
11. Goossens A, Gepts W, Saudubray JM, Bonnefont JP, Nihoul-Fekete, Heitz PU, Kloppel G. Diffuse and focal nesidioblastosis. A clinicopathological study of 24 patients with persistent neonatal hyperinsulinemic hypoglycemia. Am J Surg Pathol 1989; 13:766-775
12. Arao T, Okada Y, Hirose A, Tanaka Y. A rare case of adult onset nesidioblastosis treated successfully with diazoxide. Endocr J 2006; 53: 95-100
13. Spanakis E, Gragnoli C. Successful medical management of status post-Roux-en-Y-gastric-bypass hyperinsulinemic hypoglycemia. Obes Surg 2009; 19:1333.
14. Draman MS, Ahern T, Smith T, O’Shea D. Selective intra-arterial calcium stimulation with hepatic venous sampling in investigation of hyperinsulinemic hypoglycemia. Ir J Med Sci 2006; 175(Suppl. 2):42.