CASE REPORT
JOP. J Pancreas (Online) 2013 July 10; 14(4):438-441.
Locally Advanced Pseudopapillary Neoplasm of the Pancreas in a Male Patient: A Case Report
Wafi Attaallah1, Mirhalig Javadov1, Fatma Gulcicek Ayranci2, Deniz Filinte2, Ender Dulundu1, Cumhur Yegen1
Departments of 1General Surgery and 2Pathology, Marmara University School of Medicine. Istanbul, Turkey
ABSTRACT
Context Solid pseudopapillary tumor of the pancreas is a rare neoplasm, predominantly observed in young women and with greatest incidence in the second and third decade. Although large at the time of diagnosis, it has clinically good behavior. The occurrence of infiltrating varieties of solid pseudopapillary tumors is very rare. Case report We report the case of a 48-year-old man with a giant mass in the pancreas, incidentally discovered during an abdominal ultrasonography. The mass was later investigated using multidetector computed tomography and magnetic resonance imaging. The lobulated lesion had cystic-necrotic appearances which lead the radiologists to suggest the possibility of either a gastrointestinal stromal tumor or a pancreatic cancer. The patient was operated. Operative signs showed that the tumor invaded the splenic hilum and mesentery of transverse colon. En-block resection of pancreas, spleen and transverse colon was performed as the mass was thought to be a locally advanced pancreas tumor. Pathological diagnosis reported a solid pseudopapillary tumor. Conclusion Although solid pseudopapillary tumor is considered a rare tumor, with a very rare rate of locally infiltrating variety, and rarely presents in males, it must be kept in mind while making the differential diagnosis of cystic pancreatic lesions to begin appropriate clinical management.
INTRODUCTION
Solid pseudopapillary tumors of the pancreas constitute approximately 1-2% of all exocrine pancreatic tumors [1]. They are rare, and occurs most frequently in young women (90%) [2]. It consists of an indolent group of epithelial neoplasms which frequently undergo hemorrhagic necrosis and subsequent cyst formation [3]. They rarely cause symptoms, and can be located anywhere in the pancreas [4]. Solid pseudopapillary tumors are usually discovered incidentally on computed tomography (CT) or magnetic resonance imaging (MRI) scans and the recommended treatment is a surgical resection because they have a malignant potential [2, 5]. Although solid pseudopapillary tumor is considered an indolent lesion with a low malignant potential and a favorable prognosis after surgical resection, some cases of locally infiltrating and metastatic variety, or recurrences after surgery, have been reported. The occurrence of infiltrating varieties of solid pseudopapillary tumor is very rare [6]. We report a male patient with a locally advanced solid pseudopapillary tumor who underwent distal pancreatectomy, splenectomy and segmentally transverse colon resection. A literature review of infiltrating solid pseudopapillary tumors allowed us to find a little number of patients with locally advanced solid pseudopapillary tumor and few cases with male gender.
CASE REPORT
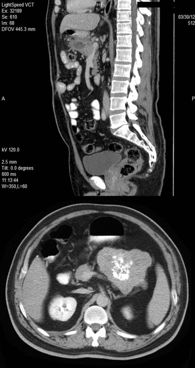
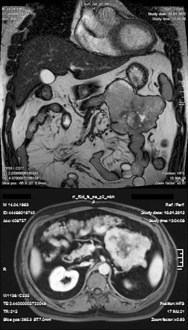
We report the case of a forty-eight year-old man with a giant mass in the pancreas, incidentally discovered during an abdominal ultrasonography on January 2012 in another hospital. The mass was later investigated by multidetector computed tomography which showed a 11 cm lobulated solid mass in the body and tail of pancreas including intensive calcifications. The mass was shown to be infiltrating splenic artery and vein. Considering the lobulated appearance of the lesion, radiologists suggested the possibility of a gastrointestinal stromal tumor or pancreas cancer (Figure 1). Magnetic resonance imaging showed an 11 cm cystic mass with a heterogeneous intensity pattern in the body and tail of the pancreas (Figure 2). The mass seemed to be attached to proximal segment of jejunum. The cystic-necrotic lobulated lesion with the heterogeneous pattern of the mass confirmed the CT diagnosis. Routine laboratory tests including carcinoembryonic antigen (CEA) and CA 19-9 were within the normal range. On January 2012 laparotomy was done and a neoplastic mass involving the body and tail of the pancreas, with encasement of the posterior part of stomach was found. Splenic hilum and mesentery of transverse colon were infiltrated by the tumor. There were no metastatic lesions in the liver or distant organs. The posterior part of the stomach was liberated by blunt dissection. En-block resection of distal pancreas, spleen and segmentally of transverse colon was performed as the mass was thought to be locally advanced pancreas tumor. The end sides of transverse colon were anastomized to each other. The postoperative course was uneventful and the patient was discharged from the hospital 4 days after surgery.

|
Figure 1. CT of the abdomen showing a large, lobulated solid-cystic mass in the body and tail of pancreas including intensive calcifications. |

|
Figure 2. MRI showing a solid-cystic mass with heterogeneous intensity pattern in the body and tail of the pancreas. The mass seemed to be attached to proximal segment of jejunum. |
Histopathology
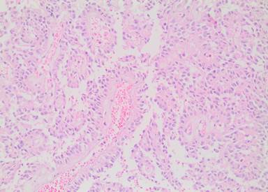
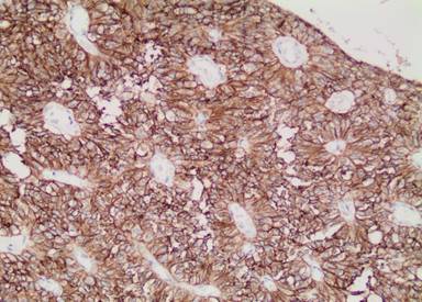
The pathological investigation showed a 13x12x11 cm pancreatic tumor, demarcated by a fibrous capsule and partial infiltration of fat tissue. Gross pathomorphology of the cut surface showed an inhomogeneous solid appearance with areas of bleeding and extensive calcifications. Microscopically, characteristic pseudopapillary formations were frequently observed (Figure 3). Pseudopapillae were formed when neoplastic cells drop away, leaving a variable number of cells surrounding delicate capillary-sized blood vessels. Immunohistochemistry was uniformly positive for vimentin (Figure 4) and CD 56 (Figure 5). Focal reactivity was detected for synaptophysin while negative reactions were found for chromogranin, neuron-specific enolase, CD10 and progesterone receptors. Proliferation index of Ki-67 was 1-2%. On the basis of these characteristic morphologic and immunohistochemical findings, the diagnosis of locally invasive solid pseudopapillary tumor of the pancreas was made. The pathologic investigation showed positive pancreatic resection margin for the tumor. For that reason re-resection of the pancreas was decided on a second look surgery. On April 2012 laparotomy was done and near total pancreatectomy was performed. The pathologic investigation for the second specimen showed negative pancreatic resection margin for tumor.

|
Figure 3. Microscopic findings of solid-pseudopapillary neoplasm on our biopsy specimen showing prominent pseudopapillary growth pattern (Hematoxylin and eosin, 20x high power field). |

|
Figure 4. Tumor cells showing immunopositivity for vimentin. |

|
Figure 5. Tumor cells showing immunopositivity for CD56. |
Follow-up
No adjuvant therapy was given. Follow-up included clinical examination, routine laboratory tests, and abdominal MRI. Eleven months after surgery, abdominal MRI showed no signs of disease relapse. The patient was alive and symptom free at the time we wrote this paper.
DISCUSSION
Solid pseudopapillary tumor is a rare neoplasm of the pancreas, accounting for only 1-2% of all exocrine pancreatic tumors [7]. Its morphological features were described for the first time by Frantz in 1959 [8, 9, 10]. Although solid pseudopapillary tumor occurs most frequently in young women, “with greatest incidence in the second and third decade”, and a female to male ratio of 10:1 [10] we reported a case of a forty-eight year-old man with a giant mass in the pancreas, incidentally discovered during an abdominal ultrasonography. In many published works, a low level of aggression and a good prognosis are reported for this tumor [9, 10, 11]. In its typical appearance, solid pseudopapillary tumor is a well-defined encapsulated mass composed of a mixture of cystic and solid components [6, 7, 8]. But preoperative diagnosis of solid pseudopapillary tumor remains difficult owing to its heterogeneous appearance; the rate of misdiagnosis reported in a work by Yang et al. is very high (38.5%) [12]. Radiologists should keep in mind that pancreatic lesions with cystic-solid appearance in young patients are compatible with solid pseudopapillary tumor, and that a differential diagnosis is important to begin appropriate clinical management. In our report we describe the morphological appearance of this tumor, considering the most important elements to make a differential diagnosis from common pancreatic cystic neoplasms. Solid pseudopapillary tumor of the pancreas is often asymptomatic and discovered incidentally during diagnostic exams; the most common symptom is a vague abdominal pain and there are no abnormalities in laboratory tests. In addition, serum markers of pancreatic neoplasms are normal as we showed in this case [13].
Immunocytochemical findings reported from our specimen were typical enough for the diagnosis of solid pseudopapillary tumor: indeed, almost all solid-pseudopapillary neoplasms strongly and diffusely express vimentin, CD10, neuron-specific enolase and progesterone receptors and about 75% express cyclin D1 too [14]. In this case immunohistochemistry was uniformly positive for vimentin and CD56. Focal reactivity was detected for synaptophysin while negative reactions were found for chromogranin, neuron-specific enolase, CD10 and progesterone receptors
Histological differential diagnosis of solid pseudopapillary neoplasm from pancreatic endocrine tumor or pancreatic adenocarcinoma is important. This is because solid pseudopapillary neoplasm has a much better prognosis compared with pancreatic endocrine tumor or pancreatic adenocarcinoma, with only 10% to 15% of cases recurring or metastasizing. More than 95% of solid pseudopapillary neoplasms are cured by complete surgical resection alone [15]. A review of the English literature from 1933 to 2003 collected a total of 718 solid pseudopapillary tumors, including pediatric cases [2]. The occurrence of infiltrating varieties of solid pseudopapillary tumor is infrequent (10-15%) [6]. In this presentation, the tumor showed an infiltrative pattern invading a splenic hilum and the mesentery of transverse colon. En-block resection of distal pancreas, spleen and segmentally of the transverse colon was performed as the mass was thought to be locally advanced pancreas tumor. The usefulness of chemotherapy for patients with solid pseudopapillary tumor is substantially unknown, although some anecdotal studies have investigated its benefit. Radiotherapy is seldom used for unresectable tumor or as an adjuvant after tumor resection [6].
In conclusion, preoperative diagnosis of solid pseudopapillary tumor remains difficult owing to its heterogeneous appearance. Malignant solid pseudopapillary tumor is a low grade tumor with a good prognosis. Adequate surgical intervention is necessary for the long-term survival of these patients. Whenever possible, radical surgery is justified for locally invasive solid pseudopapillary tumor. It should be kept in mind that pancreatic lesions with cystic-solid appearance in young patients are compatible with solid pseudopapillary tumor, and that a differential diagnosis is important to begin appropriate clinical management.
Received January 5th, 2013 – Accepted April 5th, 2013
Key words Diagnosis; Male; General Surgery; Pancreas; Pancreatic Neoplasms; Surgical Procedures, Operative
Conflict interest The authors have no potential conflict of interest
Correspondence
Wafi
Attaallah
Department of General Surgery
Mimar Sinan C. Marmara University Pendik Teaching and Research Hospital
Ust Kaynarca
Pendik, Istanbul
Turkey
Phone: +90-216.657.0606
Fax: +90-216.657.0695
E-mail: drwafi2003@yahoo.com
References
1. Kloppel G, Luttges J, Klimstra DS, et al. Solid pseudopapillary neoplasm. In: Hmailton SR, Aaltonene LA, eds. World Health Organization classfication of tumors: pathology and genetics of tumours of the digestive sytstem. Lyon: IARC Press, 2000; 473-80.
2. Papavramidis T, Papavramidis S. Solid pseudopapillary tumors of the pancreas: review of 718 patients reported in English literature. J Am Coll Surg 2005; 200: 965-972
3. Joon Seon Song, Chong Woo Yoo, Youngmee Kwon, Eun Kyung Hong. The Korean Journal of Pathology 2012; 46: 399-406
4. Adamthwaite JA, Verbeke CS, Stringer MD, Guillou PJ, Menon KV. Solid pseudopapillary tumour of the pancreas: diverse presentation, outcome and histology. JOP 2006; 7: 635-42.
5. Ky A, Shilyansky J, Gerstle J, et al. Experience with papillary and solid epithelial neoplasms of the pancreas in children. J Pediatr Surg 1998; 33: 42-4.
6. Cosimo Sperti, Mattia Berselli, Claudio Pasquali, Davide Pastorelli, Sergio Pedrazzoli. World J Gastroenterol 2008 February 14; 14(6): 960-965
7. Mao C, Guvendi M, Domenico DR, Kim K, Thomford NR, Howard JM. Papillary cystic and solid tumors of the pancreas: a pancreatic embryonic tumor? Studies of three cases and
cumulative review of the world's literature. Surgery 1995; 118: 821-828
8. Bostanoglu S, Otan E, Akturan S, Hamamci EO, Bostanoglu A, Gokce A, Albayrak L. Frantz's tumor (solid pseudopapillary tumor) of the pancreas. A case report. JOP 2009; 10(2): 209-211. PMID: 19287121
9. Zinner MJ, Shurbaji MS, Cameron JL. Solid and papillary epithelial neoplasms of the pancreas. Surgery 1990; 108(3), 475-480. PMID: 2396191
10. Volmer CM Jr, Dixon E, Grant DR. Management of solid pseudopapillary tumor of the pancreas with liver metastases. HPB (Oxford) 2003; 5(4), 264-267. PMID: 18333000.
11. Ulusan S, Bal N, Kizilkilic O, Bolat F, Yildirim S, Yildirim T, Niron EA. Case report: solid-pseudopapillary tumour of the pancreas associated with dorsal agenesis. Br J Radiol 2005; 78(929), 441-443. PMID: 15845940.
12. Yang F, Jin C, Long J, et al. Solid pseudopapillary tumor of the pancreas: a case series of 26 consecutive patients. Am J Surg 2009; 198(2), 210-215. PMID: 19268906.
13. Coleman KM, Doherty MC, Bigler SA. Solid-pseudopapillary tumor of the pancreas. Radiographics 2003; 23(6), 1644-1648. PMID: 14615569.
14. Joon Seon Song, Chong Woo Yoo, Youngmee Kwon, Eun Kyung Hong. Endoscopic Ultrasound-Guided Fine Needle Aspiration Cytology Diagnosis of Solid Pseudopapillary Neoplasm: Three Case Reports with Review of Literature. The Korean Journal of Pathology 2012; 46: 399-406
15. Klimstra DS, Wenig BM, Heffess CS. Solid-pseudopapillary tumor of the pancreas: a typically cystic carcinoma of low malignant potential. Semin Diagn Pathol 2000; 17: 66-80.