CASE REPORT
JOP. J Pancreas (Online) 2013 July 10; 14(4):446-449.
A Foregut Cystic Neoplasm with Diagnostic and Therapeutic Similarities to Mucinous Cystic Neoplasms of the Pancreas
Michael D Kluger1,2, Claude Tayar2, Andrea Belli2,5, Juan A Salceda2,6, Jeanne T van Nhieu3, Alain Luciani4, Daniel Cherqui1,2
1Hepatobiliary Surgery and Liver Transplantation, Weill Cornell Medical College. New York, NY, USA. Departments of 2Digestive and Hepatobiliary Surgery and Liver Transplantation, 3Pathology, and 4Radiology, Henri Mondor Hospital. Créteil, France. 5Department of Abdominal Surgical Oncology, G. Pascale National Cancer Institute. Naples, Italy. 6Hepato-Pancreato-Biliary Surgery and Liver Transplantation Unit, Italian Hospital of Buenos Aires. Buenos Aires, Argentina
ABSTRACT
Context Greater utilization of cross-sectional abdominal imaging has increased the diagnostic frequency of cystic neoplasms of the pancreas. The “International Consensus Guidelines 2012 for the Management of IPMN and MCN of the Pancreas” illustrates a diagnostic and therapeutic algorithm for these lesions based on current knowledge. Case report We present a case of a 49-year-old woman with two years of intermittent epigastric pain found to have an 8.5 cm head of the pancreas mass on CT. Evaluation was consistent with a mucinous cystic neoplasm for which she underwent an uneventful pancreaticoduodenectomy. Histology revealed a bronchogenic cyst of the head of the pancreas. Discussion Bronchogenic cysts are congenital anomalies of the ventral foregut that can migrate into the abdomen prior to fusion of the diaphragm. They can easily be misdiagnosed for other benign and malignant retroperitoneal lesions. Similarly to mucinous cystic neoplasms, bronchogenic cysts have been reported to undergo malignant transformation. They can also become infected and hemorrhage. Therefore, resection should be performed in appropriate risk candidates. It is possible, with increased use of high resolution cross-sectional imaging, that these lesions may be identified with greater frequency in the abdomen and confused with other pancreatic neoplasms. The presence of ciliated respiratory epithelium and cartilage on pathology provides for definitive diagnosis.
INTRODUCTION
Greater utilization of cross-sectional abdominal imaging has increased the frequency of cystic neoplasms of the pancreas being brought to the attention of physicians [1]. Zhang et al. in 2002 discovered pancreatic cystic lesions in 19.9% of 1,444 patients studied by MRI, nearly 52% of which were not simple in nature [2]. A study of 2,832 patients undergoing CT demonstrated pancreatic cystic lesions in 2.6% [3]. Pancreatic cystic neoplasms of concern are essentially divided between intraductal papillary mucinous neoplasms and mucinous cystic neoplasms, as serous cystic neoplasms and pseudocysts are benign [4]. The latter two lesions can also be more conclusively differentiated by non-invasive imaging and clinical history of pancreatitis or alcohol abuse, respectively. The “International Consensus Guidelines 2012 for the Management of IPMN and MCN of the Pancreas” provides a diagnostic and therapeutic algorithm based on current knowledge [5].
Nevertheless, obtaining a definitive diagnosis preoperatively may be challenging. Observing loculations, a capsule, communication with the pancreatic duct, cyst morphology, calcifications or mural nodules on cross-sectional imaging can help inform the differential diagnosis. However, typical features are often absent and this explains the varying diagnostic accuracy reported in the literature [6]. Even in an era of high quality cross-sectional imaging, age, gender, clinical history and the location of the cystic lesion frequently drive clinical decision making.
We describe a rare congenital lesion typically confined to the chest, but given the atypical location, it was difficult to discriminate from a mucinous cystic neoplasm based on clinical presentation and radiographic features. To our knowledge, this is the first report of this lesion being identified within the true pancreatic parenchyma.
CASE REPORT
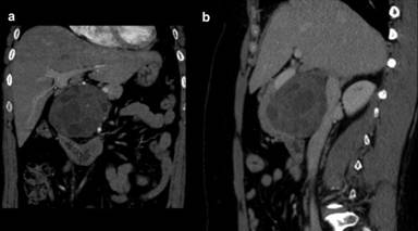
A 49-year-old woman presented with two years of intermittent epigastric pain. The episodes typically lasted a few days and were associated with nausea and anorexia. Her past medical, surgical, social and family history were non-contributory. Physical exam was only remarkable for a body mass index of 33 kg/m2, and common laboratory values were within normal range. A triple-phase CT demonstrated an 8.5 cm head of the pancreas mass with both solid and cystic components displacing the duodenum and pancreas anteriorly, and the vascular structures medially (Figure 1). There was no biliary or pancreatic ductal dilatation, and chest and liver imaging were unremarkable. The patient was subsequently referred to our hospital for further evaluation, at which time CA 19-9 and carcinoembryonic antigen levels were found to be normal. Endoscopic ultrasonography demonstrated a head of the pancreas mass with both solid and cystic components, thickened cyst walls, a fat plane between the vascular structures, and no suspicious lymphadenopathy. Fine needle aspiration revealed mucin, and benign cytology.

|
Figure 1. Coronal (a.) and sagittal (b.) views of an 8.5 cm head of the pancreas mass. |
A mucinous cystic neoplasm was thus suspected. The decision was made to proceed with pancreaticoduodenectomy after discussion at multidisciplinary tumor board because of her recurrent symptoms, young age, excellent functional status, and the malignant potential of the lesion [5]. Her peri-operative course and recovery were unremarkable. Pathology demonstrated a multi-loculated cystic mass measuring 12x9x7 cm filled with dense mucous (Figure 2). Histology revealed simple and pseudostratified, ciliated, mucus secreting cells and hyaline cartilage, supporting the final diagnosis of a bronchogenic cyst in the head of the pancreas (Figure 3). There was no cellular atypia noted.

|
Figure 2. Gross pancreaticoduodenectomy specimen demonstrating a well encapsulated mass comprised of multiple cysts separated by thick septae containing dense mucous. The cyst emerged from the uncinate process. |

|
Figure 3. H&E staining demonstrates multiple microcysts with intervening cartilaginous elements (top) and ciliated respiratory epithelium (bottom). |
DISCUSSION
Bronchogenic cysts are rare occurrences in the abdomen, without a clear predisposition based on sex, ethnicity or age [7, 8]. As such they are easily misdiagnosed for other benign and malignant retroperitoneal lesions such as adrenal tumors, pseudomixomas, or lymphangiomas. They are congenital anomalies resulting from abnormal budding of the tracheobronchial tree from the ventral foregut during early gestation and are typically found in the posterior mediastinum. However, caudal migration prior to fusion of the diaphragm through the pericardioperitoneal channel allows for entry into the abdominal cavity. Association with the pancreas accounts for less than ten reported cases in the English literature, and all have been found on the left side of the abdomen in a triangle defined by the midline, splenic vein and diaphragm [7, 8, 9, 10, 11, 12]. This location is where 82% of all reported sub-diaphragmatic bronchogenic cysts were described in one series, with only 16% (n=6) of cysts being found on the right side of the abdomen [8].
The current case is atypical in that the lesion was associated with the posterior surface of the pancreas to the right of the superior mesenteric artery, with the portal vein and duodenum stretched over its anterior surface. This is also an uncommon location (5%) for mucinous cystic neoplasms, but there is not a reliable way to differentiate these two lesions on imaging or cytology [4]. In fact, high-resolution cross sectional imaging is often inconclusive in discriminating pancreatic cystic neoplasms with atypical features. MRI is superior to CT, and has the added advantage of simultaneously studying the lesion, the ductal system and the pancreatic parenchyma in a single study [13]. Even if a slight hyperintensity or isointensity to skeletal muscle on T1-weighted images reported for thoracic bronchogenic cysts would have been observed (MRI was not performed), preoperative diagnosis would have been difficult given the atypical sub-diaphragmatic location [14].
Mucinous cystic neoplasms have a propensity for in-situ and invasive malignancy with increasing size, and resection is recommended for surgically fit patients [5, 15]. Similarly, bronchogenic cysts have been reported to undergo malignant transformation [16, 17]. Further indications for resection include mass effect and prevention of hemorrhagic and infectious complications [9, 17].
In conclusion, we report a rare case of a sub-diaphragmatic bronchogenic cyst that because of the uncommon association with the pancreatic gland, the peculiar location (right side of the abdomen) and imaging characteristics similar to those of a mucinous cystic neoplasm, made preoperative diagnosis problematic. The prevalence of bronchogenic cysts within the mediastinum and abdomen has not been defined. It is possible, with increased use of high resolution cross-sectional imaging, that these lesions may be identified with greater frequency in the abdomen and confused with other pancreatic neoplasms. The presence of ciliated respiratory epithelium and cartilage on pathology provide for definitive diagnosis.
Received January 16th, 2013 – Accepted May 7th, 2013
Keywords Bronchogenic Cyst; Neoplasms, Cystic, Mucinous, and Serous; Pancreatic Neoplasms
Conflict of interest The authors do not have any conflicts of interest, including financial, consultant, institutional and other relationships that might lead to bias in the preparation of this manuscript
Correspondence
Michael
D Kluger
Section of Hepatobiliary Surgery and Liver Transplantation
Department of Surgery
Weill Cornell Medical College
New York-Presbyterian Hospital
525 East 68th Street
New York, NY 10065
USA
Phone: +1-212.746.2127
Fax: +1-212.746.8948
E-mail: mik9020@med.cornell.edu
References
1. Tanaka M, Chari S, Adsay V, et al. International Consensus Guidelines for Management of Intraductal Papillary Mucinous Neoplasms and Mucinous Cystic Neoplasms of the Pancreas. Pancreatology 2006;6:17–32.
2. Zhang XM, Mitchell DG, Dohke M, Holland GA, Parker L. Pancreatic cysts: depiction on single-shot fast spin-echo MR images. Radiology 2002;223(2):547-53.
3. Laffan TA, Horton KM, Klein AP, et al. Prevalence of unsuspected pancreatic cysts on MDCT. Am J Roentgenol 2008 Sep;191(3):802-7.
4. Brugge WR, Lauwers GY, Sahani D, et al. Cystic Neoplasms of the Pancreas. NEJM 2004;351:1218-26.
5. Tanaka M, Fernandez-del Castillo C, Adsay V, et al. International Consensus Guidelines 2012 for the Management of IPMN and MCN of the Pancreas. Pancreatology 2012;12:183-197.
6. Maurea S, Fusari M, Imbriaco M et al. Pitfalls in diagnostic imaging of cystic pancreatic masses: a case of true cystic lesion mimicking a mucinous cystadenoma. JOP. 2012;13(1):83-6.
7. Andersson R, Lindell G, Cwikiel W, Dawiskiba S. Retroperitoneal bronchogenic cyst as a differential diagnosis of pancreatic mucinous cystic tumor. Dig Surg 2003;20(1):55-7.
8. Liang MK, Yee HT, Song JW, et al. Subdiaphragmatic bronchogenic cysts: a comprehensive review of the literature. Am Surg 2005;71(12):1034-41.
9. Coselli MP, de Ipolyi P, Bloss RS, et al. Bronchogenic cysts above and below the diaphragm: Report of eight cases. Ann Thorac Surg 1987;44:491–494.
10. Sumiyoshi K, Shimizu S, Enjoji M, et al. Bronchogenic cyst in the abdomen. Virchows Arch. A Pathol Anat Histopathol 1985; 408: 93–8.
11. Cetinkursun S, Ozturk H, Celasun B, et al. Isolate abdominal bronchogenic cyst: A case report. Eur J Pediatr Surg 1997;7:103–105.
12. Miller RF, Graub M, Pashuck ET. Bronchogenic cyst: Anomalies resulting from maldevelopment of primitive foregut and midgut. Am J Roentgenol 1953;70:771–785.
13. Fusari M, Maurea S, Imbriaco M, et al. Comparison between multislice CT and MR imaging in the diagnostic evaluation of patients with pancreatic masses. Radiol Med. 2010;115(3):453-66.
14. McAdams HP, Kirejczyk WM, Rosado-de-Christenson ML et al. Bronchogenic cyst: imaging features with clinical and histopathologic correlation. Radiology. 2000;217(2):441-6.
15. Wilentz RE, Albores-Saavedra J, Zahurak M, et al. Pathologic examination accurately predicts prognosis in mucinous cystic neoplasms of the pancreas. Am J Surg Pathol 1999;23:1320-7.
16. Sullivan SM, Okada S, Kudo M, et al. A retroperitoneal bronchogenic cyst with malignant change. Pathol Int 1999;49:338–341.
17. Fievet L, D'Journo XB, Guys JM et al. Bronchogenic cyst: best time for surgery? Ann Thorac Surg. 2012;94(5):1695-9.