CASE REPORT
JOP. J Pancreas (Online) 2013 Nov 10; 14(6):642-645.
Solid and Cystic Papillary Neoplasm of the Pancreas in a 18-Year-Old Female: A Case Report
Hussein Fakhry1, Hosam Abdelhady2
1Department of Surgical Oncology, South Egypt Cancer Institute, and 2Department of Diagnostic Radiology, Faculty of Medicine; Assiut University. Assiut, Egypt
ABSTRACT
Context Solid and cystic papillary neoplasm of the pancreas is an extremely rare neoplasm that mostly affects young females in the mean age of 25 years and accounts for about 0.2-2.7% of all pancreatic tumors. Case report A 18-year-old female presented with progressively increasing mass in the left hypochondrium and epigastric regions and vague abdominal pain. There was no history of jaundice and vomiting. The mean diameter of the tumors was 17x24 cm. Preoperative core needle revealed solid and cystic papillary neoplasm. Distal pancreatectomy and splenectomy were performed. The patient did not receive adjuvant therapy and no tumor recurrence was detected in follow up. Conclusion Solid and cystic papillary neoplasm may reach large dimensions with a benign behavior and is curable by surgical excision. Differential diagnosis from other tumors with aggressive behavior is therefore important.
INTRODUCTION
Solid and cystic papillary neoplasm of the pancreas is an extremely rare tumor of the pancreas that normally occurs in young females. It was first described in 1959 by Frantz [1]. Various synonyms include papillary cystic neoplasm, papillary epithelial neoplasm, papillary and cystic tumor, papillary and cystic epithelial carcinoma, papillary and solid neoplasm, solid and cystic acinar cell tumor and Gruber -Frantz’s tumor [2]. For this reason the real incidence of solid and cystic papillary neoplasm of the pancreas is difficult to assess.
We describe clinical features and management of this rare tumor by presenting a young female in whom solid and cystic papillary neoplasm of the pancreas was diagnosed and managed in our institution, as well as we review of relevant literature.
CASE REPORT
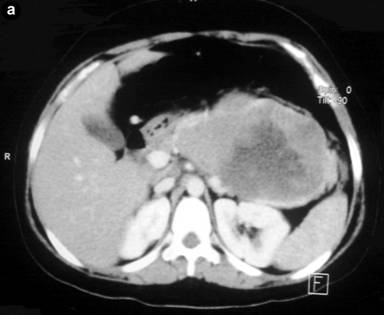
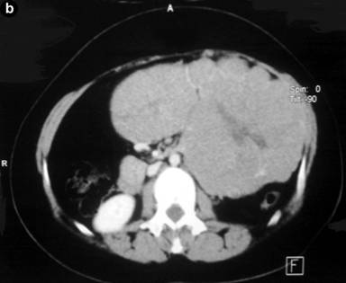
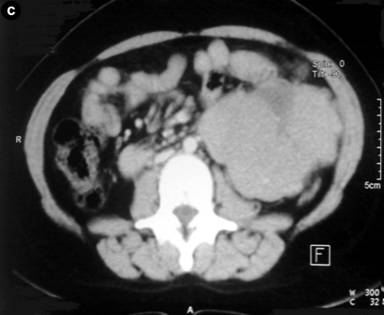
A 18-year old-female presented with progressively increasing mass in the left hypochondrium and epigastric regions of 6 months duration. There was no history of jaundice, vomiting, change in stool color, diarrhea, or flushing. On examination there was a painless, firm mass occupying the epigastric, left hypochondrium, umbilical regions which did not move with respiration. Laboratory investigations were normal, with normal serum level of CEA. Imaging in the form of ultrasonography revealed a large complex mass in the left retroperitoneum measuring 17x22x7 cm. Contrast enhanced multislice CT scan showed a large well defined mass of 17x24 cm with areas of degeneration, involving the region of the body and tail of pancreas, extending upward to the retrogastric space and downward to the level of aortic bifurcation, with no evidence of metastasis, with criteria suggestive for a solid and cystic papillary neoplasm of the pancreas (Figure 1).



|
Figure 1. Abdominal CT scan shows a large, well-demarcated, heterogeneous pancreatic mass. |
Core needle biopsy of the pancreatic mass demonstrated features suggestive of solid and cystic papillary neoplasm of the pancreas. On exploration a large, well circumscribed, heterogeneous lesion was present in the body and tail of pancreas up to the splenic hilum. The splenic vein was severely adherent to the mass and could not be dissected from it. Distal pancreatectomy to the left of the neck of the pancreas with 1 cm safety margin and splenectomy were done. Afterwards, a manual suture of the duct and parenchyma was done. A tube drain was left in place at the distal pancreatectomy area. Grossly, the tumor was large, 16x24 cm, heterogenous, nodular and capsulated (Figure 2). Postoperatively, patient had wound infection which was treated by drainage and repeated dressings till sound healing occurred.

|
Figure 2. Gross specimen shows large, encapsulated and nodular pancreatic tumor with spleen. |
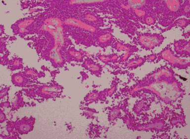
Histopathological examination of the resected tumor revealed that the tumor was composed of large areas of pseudopapillary structures with hyalinized fibrovascular cores lined by several layers of fragile epithelial cells with clear to eosinophilic cytoplasm, variable mucinous changes within the core with solid focal areas. Cells showed round/oval nuclei, finely stippled chromatin, nuclear grooves, indistinct nucleoli, few mitoses which was consistent with solid and cystic papillary neoplasm of the pancreas (Figure 3). No evidence of recurrence during a 2-year follow up period.

|
Figure 3. Low power shows polygonal cells with a pseudopapillary appearance (magnification: x10). |
DISCUSSION
A solid and cystic papillary neoplasm of the pancreas is an extremely rare tumor. It is considered as a low-grade malignant tumor with an excellent prognosis [3, 4, 5]. It constitutes 0.2 to 2.7% of the primary non-endocrine tumors of the pancreas and female:male ratio is 10:1 [6] with predominance in non-Caucasian women (more than 90% of the cases) [7].
The tumor can occur anywhere in the pancreas and frequently shows an exophytic growth [8]. In approximately 15% of the cases metastases occurred [9]. Metastases involved one or more of the following organs: lymph nodes, liver, spleen, colon, mesocolon and generalized carcinomatosis [10].
The presenting features of papillary cystic and solid tumors of pancreas are relatively non-specific with large tumors presenting with symptoms related to the compression of adjacent structures and a palpable mass and the smaller tumors as abdominal discomfort or pain. Jaundice is reported to be rare, even in tumors originating from head of pancreas [11, 12]. It may rarely present as an acute emergency due to rupture and hemoperitoneum. Even more infrequently, it presents with an acute pancreatitis or as a posttraumatic pancreatic pseudocyst [13, 14].
Ultrasonography usually reveals a sharply demarcated, well circumscribed, variable solid and cystic without any internal septations [15]. CT scan shows a sharply circumscribed, well encapsulated heterogeneous and hypodense lesion. Following i.v. contrast administration, enhancing solid areas are typically noted peripherally, whereas cystic spaces are usually more centrally located. Calcifications and enhancing solid areas may be present at the periphery of the mass [16]. On MRI, it typically presents as a large, well-defined, encapsulated lesion with heterogeneous high or low signal intensity on T1, heterogeneous high signal intensity on T2-weighted, and early peripheral heterogeneous enhancement with progressive fill-in on gadolinium-enhanced dynamic MR imaging [17]. Endoscopic ultrasonography provides an accurate diagnosis of papillary cystic and solid tumors of pancreas less than 2 cm; the estimated accuracy is 92-96% [18]. Fine-needle aspiration can be used to obtain a preoperative cytological diagnosis, but it is not specific because the branching papillae with myxoid stroma characteristic of this tumor are present in the FNA smears in most cases but are best seen in the cell block sections. Clinical correlation, cytomorphologic features, and immunostains applied to the cell block help to distinguish solid and cystic papillary neoplasm from pancreatic neoplasms with similar morphologic features, such as pancreatic endocrine tumors, acinar cell carcinoma, and papillary mucinous carcinoma [19].
In differential diagnosis, any cystic and/or solid pancreatic disease process should be considered. This includes inflammatory pseudocyst, mucinous cystic tumors, mucus secreting tumors (intraductal papillary mucinous neoplasm), microcystic adenoma, islet cell tumor, acinar cell carcinoma, cystadenocarcinoma, pancreaticoblastoma, and vascular tumors as hemangioma, lymphangioma and angiosarcoma. An inflammatory pseudocyst usually occurs after abdominal trauma or pancreatitis. Endocrine tumor occurs at a slightly older age than solid and cystic papillary neoplasm of the pancreas without gender predilection. Pancreatoblastoma is a childhood malignant pancreatic neoplasm with poor prognosis with a male predominance. Acinar cell tumors are always malignant and affect patients of both sexes in their sixth or seventh decades [10].
Surgery is the treatment of choice even in the case of distant metastasis or local recurrence [20, 21, 22]. With tumor involving the head of the pancreas, a pylorus preserving pancreaticoduodenectomy is recommended [23]. Central pancreatectomy and reimplantation of the pancreatic remnant into the stomach has been reported with the tumor involving the neck or body of the pancreas and splenic conservation following distal pancreatectomy has also been tried [24]. When the tumor is located at the pancreatic tail, distal pancreatectomy with splenectomy has been recommended [11]. Laparoscopic distal pancreatectomy was successful in a case reported by Marinis et al. [25]. Recurrence is rarely seen and should be treated by radical resection.
The role of neoadjuvant chemotherapy was described in only a few case reports. It has been done in a case of advanced disease with invasion of the superior mesenteric vein with good response [26, 27]. There is no clear established role of chemoradiation therapy in the management of papillary cystic and solid tumor [28].
Overall 5-year survival is as high as 97% in patients undergoing surgical resection [29].
In conclusion, solid and cystic papillary neoplasm is a rare low-grade malignant tumor usually seen in young women that may reach large dimensions. It is important to differentiate this tumor from other pancreatic tumors, as radical resection is the treatment of choice and offers an excellent prognosis even in case of metastases or local invasion.
Received March 23rd, 2013 – September 11th, 2013 Accepted
Key words Pancreas; Pancreatic Neoplasms
Conflict of interest The authors have no potential conflicts of interest
Correspondence
Hussein
Fakhry
Department of Surgical Oncology
South Egypt Cancer Institute
Assiut University
Assiut
Egypt
Phone: +20-88.233.7670
Fax: +20-88.233.3342
E-mail: hussein_hozayen@yahoo.com
References
1. Frantz V. K. Tumors of the pancreas. In: Atlas of tumor pathology. Washington DC: Armed Forces Institute of Pathology, 1959, pp. 32-3.
2. Takahashi H., Hashimato K., Hayakawa H. et al. Solid cystic tumor of the pancreas in elderly men: report of a case. Surgery Today, 1999, 29: 1264-7.[PMID:10639709]
3. Petrakis I., Vrachassotakis N., Kogerakis N. et al. Solid pseudopapillary neoplasm of the pancreas: report of a case after a 10-year follow-up and review of the literature. Pancreatology, 2001, 1: 123-8. [PMID:12120190]
4. Martin R. C., Klimstra D. S., Brennan M. F., Conlon K. C. Solid-pseudopapillary tumor of the pancreas: a surgical enigma? Ann Surg Oncol, 2002, 9: 35-40. [PMID 11833495]
5. Meshikhes A.-W. N., Atassi R. Pancreatic pseudopapillary tumor in a male child. J Pancreas, 2004, 5: 505-11. [PMID:15536292]
6. Mulkeen AL, Yoo PS, Cha C. Less common neoplasms of the pancreas. World J Gastroenterol 2006; 12:3180-5. [PMID: 16718837]
7. Salvia R, Bassi C, Festa L. et al. Clinical and biological behavior of pancreatic solid pseudopapillary tumors: report on 31 consecutive patients. J Surg Oncol 2007; 95:304-10. [PMID: 17326131]
8. Zeytunlu M., Firat O., Nart D. et al. Solid and cystic papillary neoplasms of the pancreas: report of four cases. Turk J Gastroenterol, 2004, 15: 178-82. [PMID:15492918]
9. Washington K. Solid-Pseudopapillary tumor of the pancreas: challenges presented by an unusual pancreatic neoplasm. Ann Surgl Oncol, 2002, 9: 3-4. [PMID:11829428]
10. Crawford BE. Solid and papillary epithelial neoplasm of the pancreas, diagnosis by cytology. South Med J, 1998, 91: 973-7. [PMID:9786298]
11. Lee WJ, Park YT, Choi JS, Chi HS, Kim BR. Solid and papillary neoplasm of the pancreas. Yonsei Med J 1996, 37:131-41. [PMID:8711936]
12. Kasem A, Ali Z, Ellul J. Papillary cystic and solid tumour of the pancreas: Report of a case and literature review. World J Surgical Oncol 2005, 3:62. [PMID:16188022]
13. Sakagami J., Kataoka K., Sogame Y. et al. Solid Pseudopapillary Tumor as a possible cause of acute pancreatitis. JOP, 2004, 5: 348-52. [PMID:15365201]
14. Hansson B., Hubens G., Hagendorens M. et al. Frantz tumour of the pancreas presenting as a post-traumatic pseudocyst. Acta Chir Belg 1999, 99: 82-4. [PMID:10352738]
15. Lee DH, Yi BH, Lim JW, Ko YT. Sonographic findings of solid and papillary epithelial neoplasm of the pancreas. J Ultrasound Med 2001, 20:1229-32. [PMID:11758028]
16. Dong PR, Lu DS, Degregario F. et al. Solid and papillary neoplasm of the pancreas: Radiological-pathological study of five cases and review of the literature. Clin Radiol 1996, 51:702-05. [ PMID:8893639]
17. Cantisani V., Mortele k J, Levy A. et al. MR imaging features of solid pseudopapillary tumor of the pancreas in adult and pediatric patients. Am J Roentgenol 2003, 181: 395-401. [PMID:12876017]
18. Koito K, Namieno T, Nagakawa T. et al. Solitary cystic tumor of the pancreas: EUS- pathologic correlation. Gastrointest Endosc 1997, 45:268-76. [PMID:9087833]
19. Bardales RH, Centeno B., Mallery J S et al. Endoscopic Ultrasound-guided fine-needle aspiration cytology diagnosis of solid-pseudopapillary tumor of the pancreas: A rare neoplasm of elusive origin but characteristic cytomorphologic features. Am J Clin Pathol, 2004, 121: 654-62. [PMID:15151205]
20. Tipton SG, Smyrk TC, Sarr MG, Thompson GB. Malignant potential of solid pseudopapillary neoplasm of the pancreas. Br J Surg 2006; 93:733-77. [PMID:16609955]
21. Kamat RN, Naik LD, Joshi RM. et al. Solid pseudopapillary tumor of the pancreas. Indian J Pathol Microbiol 2008; 51:271-3. [PMID:18603707]
22. Bostanoglu S, Otan E, Akturan S. et al. Frantz's tumor (solid pseudopapillary tumor) of the pancreas. A case report. JOP 2009; 10:209-11. [PMID:19287121]
23. Yang YJ, Chen JS, Chen CJ. et al. Papillary cystic tumor of the pancreas in children. Scand J Gastroenterol 1996, 31:1223-27. [PMID:8976016]
24. Panieri E, Krige JE, Bornman PC, et al. Operative management of papillary cystic neoplasm of the pancreas. J Am Coll Surg 1998, 186:319-24. [PMID:9510263]
25. Marinis A, Anastasopoulos G, Polymeneas G. A solid pseudopapillary tumor of the pancreas treated with laparoscopic distal pancreatectomy and splenectomy: a case report and review of the literature. J Med Case Rep 2010, 29:4-387. [PMID:21114814]
26. Das G, Bhuyan C, Das BK, et al. Spleen-preserving distal pancreatectomy following neoadjuvant chemotherapy for papillary solid and cystic neoplasm of pancreas. Ind J Gastroenterology, 2004, 23: 188-9. [PMID:15599007]
27. Strauss J. F., Hirsch V. J., Rubey C. N., Pollock M. Resection of solid and papillary epithelial neoplasm of the pancreas following treatment with cisplatinum and 5-FU : a case report. Med Pediatr Oncol, 1993, 21: 365-7.case report and review of the literature. J Med Case Reports 2010; 4:387. [PMID:8492753]
28. Schwartz DC, Campos MA. A woman with recurrent abdominal pain. Am J Med Sci 2001, 321:352-54. [PMID:11370800]
29. Tang LH, Aydin H, Brennan MF, Klimstra DS. Clinically aggressive solid pseudopapillary tumors of the pancreas: a report of two cases with components of undifferentiated carcinoma and a comparative clinicopathologic analysis of 34 conventional cases. Am J Surg Pathol 2005; 29:512-9. [PMID:15767807]