CASE REPORT
JOP. J Pancreas (Online) 2013 May 10; 14(3):289-291.
Multifocal Anaplastic Pancreatic Carcinoma Requiring Neoadjuvant Chemotherapy and Total Pancreatectomy: Report of a Case
Teresa S Jones1, Edward L Jones1, Martine McManus2, Raj Shah3, Csaba Gajdos1
1Section of GI, Tumor and Endocrine Surgery, Department of Surgery; 2Division of Gastrointestinal Pathology, Department of Pathology; 3Division of Gastroenterology and Hepatology, Department of Medicine. University of Colorado at Denver. Aurora, CO, USA
ABSTRACT
Context Anaplastic pancreatic carcinoma is a rare tumor with poor survival. Data on surgical and medical therapies are currently limited to case reports and case series with small numbers. Case report We describe a case of multifocal anaplastic pancreatic carcinoma treated with neoadjuvant FOLFIRINOX (oxaliplatin, irinotecan, fluorouracil and leucovorin) and total pancreatectomy with subsequent patient disease-free survival currently at 12 months. Discussion The goal for anaplastic pancreatic carcinoma treatment should continue to be complete surgical resection. Optimum chemotherapeutic options continue to be investigated.
INTRODUCTION
Anaplastic pancreatic carcinoma is a rare, poorly-differentiated tumor that accounts for 2-7% of exocrine pancreas tumors [1]. Patients frequently present in their 6th to 8th decade of life with vague, non-specific complaints of pain, nausea, vomiting and occasionally jaundice [2]. Overall survival remains poor at a median 5.2 months after diagnosis and just 3% surviving up to 3 years [2, 3].
We report on a patient diagnosed with multifocal anaplastic pancreatic carcinoma treated with neoadjuvant FOLFIRINOX (fluorouracil, leucovorin, irinotecan, oxaliplatin) and total pancreatectomy with vascular reconstruction. To our knowledge, this is the first report to demonstrate prolonged survival after FOLFIRINOX and extensive resection for anaplastic pancreatic carcinoma, demonstrating exciting treatment possibilities for this otherwise devastating disease.
CASE REPORT
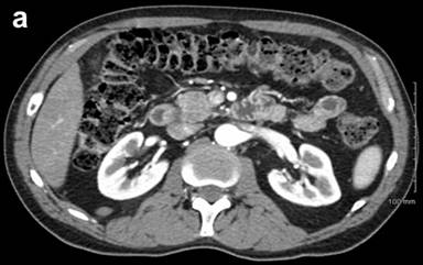
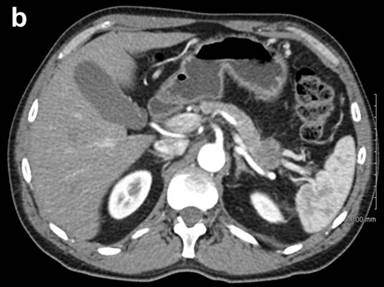
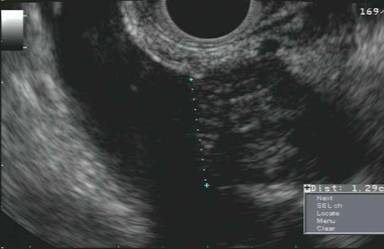
A previously healthy, non-diabetic 56-year-old man presented in March 2010 with abdominal pain and nausea to an outside facility. Following an extensive workup, including imaging, he was diagnosed with chronic pancreatitis. Repeat CT, one year later on re-presentation with jaundice, demonstrated an atrophic pancreas and a 3 cm hypodense area in the tail of the pancreas with splenic vein invasion as well as a second mass of 2 cm in the head of the pancreas with invasion of the portosplenic confluence (Figure 1). Endoscopic ultrasound with fine-needle aspiration confirmed the presence of both masses with the pancreas head lesion being concerning for invasion into the splenoportal vein confluence (Figure 2). Biopsy of the head mass demonstrated undifferentiated carcinoma with osteoclast-like giant cells. Based on these findings, diffuse involvement of the entire gland with neoplastic process was suspected.


|
Figure 1. a. Pancreatic head mass. b. Pancreatic tail mass. |

|
Figure 2. Pancreatic head mass abutting portal vein. |
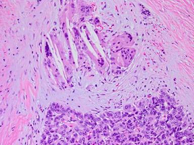
Following a visit to the University of Colorado Multidisciplinary Gastro-Intestinal Tumor Clinic, the patient underwent neo-adjuvant chemotherapy with 3 months of FOLFIRINOX followed by restaging. Repeat pancreas protocol CT scan showed a decrease in the size of the entire pancreas with both masses (head and tail) also decreasing in size. A total pancreatectomy was offered and performed (Figure 3). Segmental superior mesenteric vein resection was also done with an end to end anastomosis, as the tumor came within less than 1 millimeter from the retroperitoneal margin on frozen section. The postoperative course was uncomplicated and the patient was discharged home on day 7. The final pathology demonstrated two discrete tumor masses, 5.0 cm and 4.5 cm, with extensive colonization of the intervening pancreatic duct. On histology, the tumor consisted of sheets of undifferentiated carcinoma cells separated by dense fibrosis. Clusters of multinucleated foreign body-type giant cells, associated with cholesterol clefts and other degenerative features, were present in the stroma adjacent to the tumor cells. These were interpreted as neoadjuvant treatment effect and not as native component of the tumor (Figure 4). All margins, including the superior mesenteric vein segment, were negative for malignancy; three of 28 lymph nodes contained metastatic deposits. Immunohistochemical staining was positive for pancytokeratin AE1:AE3, CA 19-9 and patchy positive for B72.3, negative for chromogranin and synaptophysin and equivocal for CEA. Final pathologic staging was pT3N1M0.

|
Figure 3. Total pancreatectomy/splenectomy specimen. |

|
Figure 4. Foreign body giant cells. |
The patient remains without evidence of disease 12 months from the original diagnosis. Following extensive discussion on tumor board, additional 3 months of gemcitabine was administered postoperatively.
DISCUSSION
Anaplastic pancreatic carcinoma remains a rare and deadly disease with limited data on medical and surgical treatment. Presentation is nonspecific, as CEA and CA 19-9 levels are inconsistently elevated [4]. Tumors typically contain solid areas of highly pleomorphic cells and multi-nucleated giant cells and are likely ductal in origin [5, 6]. There are reports that anaplastic pancreatic carcinoma with osteoclast-like giant cells demonstrates better long-term survival; however, overall survival of anaplastic pancreatic carcinoma remains considerably worse than pancreatic adenocarcinoma, based on the very limited data available [4].
Due to this typically late presentation, there was a question of whether surgical resection had any impact on overall survival [7]. Strobel et al. demonstrated a 5-month survival benefit after an R0/R1 resection compared to palliative surgery [4]. Recently, Clark et al. reviewed all patients diagnosed with anaplastic pancreatic carcinoma un the 17 registries from the Surveillance, Epidemiology and End Results (SEER) database (http://seer.cancer.gov/resources/) between 1988 and 2008, resulting in the largest data group to date of 353 patients [8]. While overall survival of patients diagnosed with anaplastic pancreatic carcinoma was significantly worse than patients with pancreatic adenocarcinoma, patients who underwent resection had comparable survival to patients with pancreatic ductal adenocarcinoma.
To our knowledge, this case is the first report on the management of multifocal anaplastic pancreatic carcinomas with neoadjuvant therapy and total pancreatectomy with vascular resection. Aggressive surgical management is an important option and goal, considering almost 20% of anaplastic pancreatic carcinoma can be multifocal upon presentation [3].
Chemotherapeutic options also remain poorly studied with various responses in submitted case reports. In general, there is possible survival benefit for anaplastic pancreatic carcinoma from adjuvant/neoadjuvant therapy [9, 10, 11]. Improved survival in metastatic pancreatic adenocarcinoma with FOLFIRINOX has been published and was chosen for this patient [12]. This significantly improved response rates to FOLFIRINOX in metastatic disease suggests that this regimen be further investigated for neoadjuvant treatment in locally advanced anaplastic pancreatic carcinoma as well [13].
In conclusion, aggressive surgical management to achieve an R0/R1 resection should remain the goal in the treatment for anaplastic pancreatic carcinoma even with multifocal disease. Secondary to the rarity of disease, therapeutic options remain poorly studied; however, neoadjuvant therapy followed by aggressive surgical resection may be considered in appropriately selected candidates. Tumors containing osteoclast-like giant cells may follow a less aggressive course; however this case demonstrates successful treatment of a case of anaplastic pancreatic carcinoma despite unfavorable histology.
FOLFIRINOX: fluorouracil, leucovorin, irinotecan, oxaliplatin
Conflict of interests The authors have no potential conflict of interests
Correspondence
Csaba
Gajdos
Section of GI, Tumor and Endocrine Surgery
Department of Surgery
University of Colorado at Denver
1. Hamilton SR, Aaltonen LA eds. World Health Organization Classification of Tumours. Pathology and Genetics of Tumours of the Digestive system. Lyon: IARC Press 2000; 221–230.
2. Paal E, Thompson DL, Frommelt RA, Przygodzki RM, Heffess CS. A Clinicopathologic and Immunohistochemical study of 35 Anaplastic Carcinomas of the Pancreas with Review of the Literature. Annals of Diagn Pathol. 2001 Jun 5(3):129-140.
3. Chadha MK, LeVea C, Javle M, Kuvshinoff B, Vijaykumar R, Iyer R. Anaplastic Pancreatic Carcinoma. A Case Report and Review of Literature. JOP (Online) 2004;5(6):512-515.
4. Strobel O, Hartwig W, Bergmann F, Hinz U, Hackert T, Grenacher L et al. Anaplastic Pancreatic Cancer: Presentation, Surgical Management and Outcome. Surgery. 2011 Feb 149(2):200-8.
5. Bergmann F et al. Expression of L1CAM, Cox-2, EGFR, c-KIT and Her2/neu in Anaplastic Pancreatic Cancer: Putative Therapeutic Targets? Histopathology. 2010 Mar;56(4): 440-448.
6. Hoorens et al. Undifferentiated Carcinoma of the Pancreas: Analysis of Intermediate Filament Profile and Ki-ras Mutations Provides Evidence of a Ductal Origin. J of Pathology 1998 May;185(1)53-60.
7. Yamaguchi K, et al. Pleomorphic Carcinoma of the Pancreas:Reappraisal of Surgical Resection. Am J Gastroenterology 1998;93:1151-1155.
8. Clark C, Graham R, Arun J, Harmsen W, Reid-Lombardo K. Clinical Outcomes for Anaplastic Pancreatic Cancer: A Population-Based Study. Journal of the American College of Surgeons 2012 Nov;215(5), 627-634.
9. Wakatsuki T et al. Complete Response of Anaplastic Pancreatic Carcinoma to Paclitaxel Treatment Selected by Chemosensitivity Testing. Int J Clin Oncol. 2010 June;15(3): 310-313.
10. O’Reilly EM. Refinement of Adjuvant Therapy for Pancreatic Cancer. JAMA 2010 Sep 8;304(10):1124-1125.
11. Shinagare AB, Ramaiya NH, Bellizzi AM, Mayer RJ. Locally advanced anaplastic pancreatic adenocarcinoma with initial response to FOLFIRINOX and rapid progression after five months. Pancreatology. 2012 Jan-Feb;12(1):35-8. doi: 10.1016/j.pan.2012.01.001. Epub 2012 Jan 3.
12. Conroy T et al. FOLFIRINOX versus Gemcitabine for Metastatic Pancreatic Cancer. N Engl J Med. 2011 May 12;364(19):1817-25.
13. Levy A et al. FOLFIRINOX in Locally Advanced Pancreatic Cancer: The Starting Point for Questioning. Pancreas 2012 Aug;41(6):973-4.