CASE REPORT
JOP. J Pancreas (Online) 2013 July 10; 14(4):432-437.
Alternative Arterial Reconstruction After Extended Pancreatectomy. Case Report and Some Considerations of Locally Advanced Pancreatic Cancer
Benedetto Ielpo, Valentina Ferri, Riccardo Caruso, Hipolito Duran, Eduardo Diaz, Isabel Fabra, Catalina Oliva, Sergio Olivares, Yolanda Quijano, Emilio Vicente
General Surgery Department, Madrid Sanchinarro University Hospital, San Pablo University. Madrid, Spain
ABSTRACT
Context The clinical benefits of distal pancreatectomy with en bloc celiac axis resection for locally advanced pancreatic body cancer remains controversial and, therefore, declared unresectable in most cases. Appleby first described extended distal pancreatectomy with celiac axis resection for locally advanced gastric cancer. Case report We report a case of a 65-year-old female who presented a locally advanced pancreatic carcinoma with infiltration of celiac axis. After radio-chemo neoadjuvant treatment, the patient underwent exploratory laparoscopy and subsequent distal pancreatectomy with en bloc resection of celiac axis. Arterial reconstruction was necessary as hepatic flow was not adequate, determined by intraoperative Doppler ultrasonography. It consisted of end to end anastomosis with prosthetic graft between hepatic artery directly to the aorta, as an atheromatous plaque was at the origin of the celiac axis. The postoperative course was uneventful with a perfect relief of pain. She presents a long term survival of 36 months, very exceptional for this type of disease. Conclusion The particularity of this case is not only the surgical treatment, rarely offered to these patients, but also and especially the subsequent vascular reconstruction. To our knowledge, this is the first report of this type of arterial reconstruction. Besides, we briefly discuss the recent advances in results of extended distal pancreatectomy with arterial resection for locally advanced pancreatic carcinoma.
INTRODUCTION
The advances in pancreatic surgery during the past decade have made possible the surgical management of locally advanced disease in particular cases formerly considered unresectable. Several retrospective studies have shown that it is possible to perform pancreatectomy with vascular resection with the mortality and morbidity rates of a standard procedure in selected patients [1, 2, 3, 4]. However, unlike venous resection, major arterial resection is still a controversial issue.
It is essential to take into account a worse perioperative outcome when pancreatic resection with arterial resection is performed and they are still to be proved the benefits of this approach [5].
Most of the reported cases of arterial resection during pancreatic surgery due to tumoral infiltration include common hepatic artery or celiac axis [5]. It usually happens in tumors located in the pancreatic body or tail. When distal pancreatectomy is performed, reconstruction might not be required, as described by Appleby [6] and later by Mayumi et al. [7]. However, if the hepatic arterial flow is not adequate, it is necessary reconstruct it.
Few of these reconstructions have been reported before; they can be performed by an end to end anastomosis or less frequently, if a tension free anastomosis is not feasible, a vascular or prosthetic graft could be used [8].
Here we present an unusual case of pancreatic body adenocarcinoma invading the celiac axis with atherosclerosis at its aortic origin, treated with en bloc resection. Subsequent arterial reconstruction was performed successfully with a prosthetic graft from common hepatic artery directly to the aorta.
To the best of our knowledge, this is the first report in literature of this type of arterial reconstruction. With this report we would like to add to literature one more successful distal pancreatectomy with celiac axis resection case and to briefly discuss about the benefits of this type of procedure.
CASE REPORT
A 65-year-old woman is referred to our institution for severe epigastric and back pain and weight loss (10 kg in almost six months).
Her past medical history included appendectomy at 10 years of age and arterial hypertension. Her family history was significant for gastrointestinal cancer (father and sister with colonic cancer). Physical examination and laboratory findings were normal, except for increased CA 19.9 level.
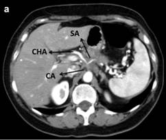
Ultrasonography of the abdomen revealed a hypoechoic 30x40 mm mass in the pancreatic body. Abdominal CT scan confirmed a solid heterogeneous mass of the pancreatic body, without cystic component. No radiologic signs of metastasis were found (Figure 1). Vascular reconstruction of CT scan showed a suspicious infiltration of the common hepatic and the splenic arteries with a total occlusion of the celiac trunk with a normal flow thought the gastro-duodenal artery. Furthermore, multiples atheromatous plaques with calcification were seen in the aorta. Similar findings were found in the pancreatic magnetic resonance. In the endosonographic study, the mass presents a high vascularization, confirming the infiltration of the major arteries at the origin of the celiac trunk. In the same study a biopsy was performed, compatible with adenocarcinoma.


|
Figure 1. Preoperative CT scan. a. A 4 cm tumor in the body of the pancreas narrowing of the vessels at the origin of the celiac axis due to tumor encasement. b. Superior mesenteric artery is not involved. CA: celiac axis; CHA: common hepatic artery; SA: splenic artery; SMA: superior mesenteric artery |
Finally, PET demonstrated a clear enhancement exclusively in the pancreatic body (SUVmax: 11.6).
Preoperative neoadjuvant chemo- and radio-therapies were administered consisting of gemcitabine plus nab-paclitaxel regimen with concomitant radiotherapy. No toxicity was reported.
Once neoadjuvant therapy was finished, we evaluate its response by repeating staging study consisting of CT scan showing a mild reduction of the mass to 20x30 mm, confirmed with endosonograpy. SUVmax decreased to 6.5 at PET scan. Back pain was quite similar if compared before treatment, with only a slight improvement with pain killers.
At the light of the preoperative study data, surgical treatment was planned 5 weeks after neoadjuvancy. We started the procedure with a staging laparoscopy to assess the presence of peritoneal dissemination that was negative; a bilateral subcostal laparotomy was performed planning a pancreatic distal resection with celiac axis resection. We observed the mass depending from the pancreatic body. A Kocher maneuver was performed and the superior mesenteric artery and the superior mesenteric vein resulted free of disease. The hepatoduodenal ligament was dissected and the hepatic proper and gastroduodenal arteries were identified and preserved. Then the common hepatic artery was found to be densely encased by tumor, as well as the splenic artery. Portal vein tunnel was performed without tumoral involvement.
The next step was to perform an en bloc mobilization of distal pancreas and spleen and opening the avascular retroperitoneal plane to reach the aorta. The diaphragmatic slips around the aorta were excised with cautery and the root of celiac trunk was identified and dissected anteriorly. Therefore, transection of the celiac axis at its origin was necessary to achieve an R0 resection.
Cholecystectomy was performed. Then the pancreas was divided along the right side of the portal vein. The splenic vein and the inferior mesenteric vein were identified; the splenic vein was divided at the confluence with the superior mesenteric vein.
Palpation of the hepatic artery shows a weak pulse and macroscopic exploration of liver showed a change in color and turgidity; furthermore, a Doppler ultrasound was performed showing minimum arterial hepatic flow (180 mL/min); therefore, we decided to perform arterial reconstruction.
Splenectomy was performed and the pancreatic body was dissected out of the retroperitoneum with carefully preservation of the pancreaticoduodenal arcades. The left gastric artery and the common hepatic artery were then ligated.
Negative margins were confirmed on the frozen pancreatic sections. The cut end of the pancreas was oversewn with 5-0 prolene suture material. Regional lymphadenectomy was performed.
End to end anastomosis from common hepatic artery and celiac axis resulted technically impossible due to the distance between both ends. Besides, at ultrasound we found an atheromatous plaque at the origin of the celiac axis. Therefore, we performed an end to end anastomosis with a prosthetic graft (8 mm Dacron graft, 5-0 prolene suture) from common hepatic artery directly to the aorta, over the celiac axis, where no atheromatous plaque was found at ultrasound (Figure 2). When the vascular clamp to the aorta was released, the following Doppler showed an acceptable flow thought the distal hepatic artery. One round 19F Blake abdominal drain was left in place.

|
Figure 2. Intraoperative view. AO: aorta; LRV: left renal vein; P: prosthesis; PV: portal vein; SRV: supra-renal vein |
Histopathological examination of the surgical specimen revealed that all surgical margins were free of disease with a tumor of almost 3 cm (Figure 3). The specimen showed a near complete response to neoadjuvant treatment (tumor regression rate 1 calculated with the Ryan score).


|
Figure 3. Specimen. a. Distal pancreatectomy with spleen. b. The bifurcation of the celiac axis and splenic artery incased with the tumor. CA: celiac axis; SA: splenic artery |
According to the UICC/AJCC staging system the patient had a pT4N1 poorly differentiated adenocarcinoma with two regional metastatic lymph nodes (2/26) and perineural infiltration extending to the celiac plexus.
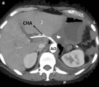
Her postoperative course was uneventful, back pain disappeared completely. She was dismissed on the 15th postoperative day after a new CT scan with vascular reconstruction (Figure 4).


|
Figure 4. Postoperative CT scan. a. Dacron prosthesis between aorta and common hepatic artery. b. 3D reconstruction with the stump of the celiac axis. AO: aorta; CA: celiac axis; CHA: common hepatic artery; P: prosthesis; SA: splenic artery; SMA: superior mesenteric artery |
Postoperative chemotherapy consisting of gemcitabine was started 5 weeks after surgery.
A routine follow-up with TC of the abdomen was obtained 3 months after surgery and showed no evidence of recurrent disease. Currently the patient continues to do well with no evidence of recurrence after 36 months of follow up.
DISCUSSION
The overall 5-year survival rate of pancreatic cancer has remained very poor in spite of the addition of neoadjuvant and adjuvant chemo- and radio-therapy [9]. Most of these patients have already local invasive or metastatic disease at the time of diagnosis and, therefore, resulting in a poorer prognosis. In fact, studies report a resectability rate ranging from 10% to 30% [10].
The only possible chance to reach for a hypothetically cure of the disease has proven to be the achievement of a R0 resection which is only possible in a certain number of patients by a more aggressive resection including vascular structures and complex reconstructive procedures.
Although, vascular involvement has traditionally been a formal main contraindication for resective surgery in pancreatic cancer, in light of later studies, pancreatectomy with portal vein resection seems to be justified with acceptable mortality and morbidity rates [3]. Notwithstanding, arterial involvement (mainly celiac axis) most common in the body and tail of pancreas is still a contraindication for surgery in the current guidelines.
Regarding locally advanced gastric cancer, Appleby was the first to describe an adequate blood flow to hepatic artery even after an en bloc celiac axis resection with distal pancreatectomy and subtotal gastrectomy [6]. This flow is maintained by collateral circulation between the superior mesenteric artery and the pancreaticoduodenal arcades. This principle was adopted and modified later for locally advanced cancer of the pancreatic body and tail by Mayumi et al. [7].
A total of 26 case series reports have been included in a recent meta-analysis. They all have shown the feasibility of these resective techniques but they still have failed to prove benefits in terms of perioperative complications and long term survival when compared with pancreatectomy without arterial resection, as stated in their conclusions [5].
However, the later reports of this meta-analysis show a slight increase in survival rates and reduced perioperative complications [11, 12, 13, 14]. This change in pattern might be due to several reasons.
First of all, multiagent neoadjuvant chemoradiotherapy maximizes survival duration and represents an important tool to achieve a potentially R0 resection for locally advanced pancreatic cancer [15].
Regarding this issue, a study is being carried out in our institution in which the early conclusions point at that neoadjuvant treatment with infusion of gemcitabine plus nab-paclitaxel induces a higher rate of pathologic response in patient with pancreatic resected adenocarcinoma, assessed with elastography [16]. Neoadjuvant regimen of our institution consist of simultaneous quemotherapy (nab-paclitaxel 125 mg/m2 followed by 1,000 mg/m2 gemcitabine for 4 weeks) with concurrent session of radiotherapy (50.4 Gy/28 fractions, 5 days a week) for 6 weeks.
Another factor that influences the final outcome is a careful selection of patients that might undergo this type of surgery taking into account age, previous diseases, cardiovascular status and so on. In fact, it is important to offer this radical surgery only to selected patients. Besides, in our practice, we usually perform arterial resection only to patients who have a significant regression of disease after chemoradiotherapy assessed by CT and PET scan and in which vascular invasion seems to be the only obstacle to complete tumor clearance.
Preoperative studies provide essential information to better select patients for potentially curative pancreatic surgery. Both multi-slice CT scan with vascular reconstruction and endosonography allow us to accurately define the vascular involvement and are performed routinely in all patients at our institution along with PET scan and exploratory laparoscopy in order to assess peritoneal malignancy. Besides, CT scan is important to define the collateral pathway developed when vascular infiltration exists.
As far as we are concerned, the intraoperative assessment of hepatic flow after celiac axis resection is also essential to determine the surgical outcome. It is important to decide whether a vascular reconstruction procedure is needed. In fact, although hepatic flow is believed to be replaced fully by the blood supply from the pancreaticoduodenal arcade, Wu et al. reported an important increase of transaminase enzymes after surgery in association with cholecystitis and gastric ulcers; all of them symptoms of an insufficient hepatic flow. This means that subjective palpation of an adequate hepatic artery pulse and lack of macroscopic evidence of visceral ischemia after clamping celiac axis may be not sufficient to assess an incorrect hepatic blood flow in the immediate postoperative period. Besides, extensive lymphadenectomy and nerve plexus resection performed during these surgeries might induce a postoperative arterial vasospasm, not evident at the time of the surgery [17]. For this reason, in our opinion, even with an apparent intraoperative adequate hepatic flow, in some cases, vascular reconstruction may reduce the incidence of hepatic and gastric dysfunction. In the last decade, Doppler ultrasonography and measurement of hepatic vein oxygen saturation seem to be sensible procedures to assess an adequate hepatic flow [11] and we have adopted both techniques in all our interventions in order to decide if a reconstructive procedure is needed.
Potentially postoperative ischemic complications might also be reduced performing preoperative coil embolization of the common hepatic artery, as described by Kondo et al. [18]. This procedure seems to stimulate the development of collateral pathways from the pancreaticoduodenal arcades prior to surgery.
In our case we did not performed any preoperative embolization as celiac axis stenosis secondary to the tumor might already been induced collateral blood flow to the liver.
Few techniques have been described to perform arterial reconstruction when necessary. It can be performed with an end to end anastomosis between common hepatic artery and the remnant celiac axis. In certain case this is not possible, due mainly to a more extensive resection; in this case an arterial (middle colic artery-gastroepiploic artery bypass), vein (inferior mesenteric vein or saphenous vein) or prosthetic graft (Dacron most commonly) may be used.
In the present case according with the Doppler ultrasonography, vascular reconstruction was indicated after arterial resection. A reconstructive procedure directly to aorta as ours has not been reported before, but in this case it was necessary due to the atherosclerosis found at the origin of celiac axis. This type of reconstruction is similar to that of liver transplantation when the recipient hepatic artery is inadequate [19].
However, it is important to underline that the type of reconstruction here described has to be considered only in life threating situation. In fact, it is well known that prosthetic graft has two major complications: infection and thrombosis. Infection is usually related to pancreatic fistula, but its incidence is low as, in these cases, most of the pancreas is resected with a secondary low output fistula.
These complex procedures must be undertaken exclusively by experienced hepatopancreatobiliary surgeons in high-volume center, and by means of a multidisciplinary team effort. The management of these patients during the postoperative course is crucial to achieve success.
In our institution, which has incorporated therein a comprehensive oncological center, there is an expert surgical team with previous experience in liver transplantation. We perform an average of 70 pancreatic surgical procedures per year which allow us to undergo this type of surgery with an acceptable morbidity and mortality.
The rarity of this case is not only the type of vascular reconstruction, but also the long survival, a real exception for this type of locally advanced tumor.
Finally, another point that we would like to highlight, is the excellent pain control, as in the case herein presented, which is hardly achieved in this group of patients with medical treatment only. It might be due to the fact that radical distal pancreatectomy with en bloc celiac axis resection includes complete removal of the celiac plexus and celiac ganglions therefore interfering with pain pathways [20].
In summary, pancreatic cancer surgery with arterial resection have not proven to improve perioperative morbidity and long term survival when compared with that of patients receiving conventional distal pancreatectomy without arterial resection [5]. However, it may be justified in highly selected patients in light of the last neoadjuvant treatment, better technical procedures and excellent pain control, assuming that the only alternative for this group of patients is palliative treatment and not resection without arterial resection.
Thus, our case report and this discussion should serve to stimulate further scientific research.
As far as all the aspects that influence the outcome of these patients improve, we expect an overall increase in both perioperative and long term survival rate in the future.
Received February 12th, 2013 – Accepted April 10th, 2013
Key words Celiac Artery; Pancreatic Neoplasms
Conflict interest The authors have no potential conflict of interest
Correspondence
Benedetto
Ielpo
General
Surgery Department
Madrid Sanchinarro University Hospital
San Pablo University, CEU
Calle Oña 10, 28050
Madrid
Spain
Phone: +34-91.756.7803
Fax: +34-91.756.7804
E-mail: ielpo.b@gmail.com
References
1. Harrison LE, Klimstra DS, Brennan MF. Isolated portal vein involvement in pancreatic adenocarcinoma. A contraindication for resection? Ann Surg 1996; 224: 342-47.
2. Sasson AR, Hoffman JP, Ross EA, et al. En bloc resection for locally advanced cancer of the pancreas: is it worthwhile? J Gastrointest Surg 2002; 6: 147-157.
3. Tseng JF, Raut CP, Lee JE, el al. Pancreatoduodenectomy with vascular resection: margin status and survival duration. J Gastrointest Surg 2004; 8: 935-49.
4. Kondo S, Katoh H, Hirano S, et al. Results of radical distal pancreatectomy with en bloc resection of the celiac artery for locally advanced cancer of the pancreatic body. Langenbecks Arch Surg 2003; 388: 101-6.
5. Mollberg N, Rahbari NN, Koch M, et al. Arterial resection during pancreatectomy for pancreatic cancer. A systematic review and meta-analysis. Ann Surg 2011; 254: 882-93.
6. Appleby LH. The coeliac axis in the expansion of the operation for gastric. Cancer 1953; 6: 704-7.
7. Mayumi T, Nimura Y, Kamiya, et al. Distal pancreatectomy with en bloc resection of the celiac artery for carcinoma of the body and tail of the pancreas. Int J Pancr 1997; 22: 15-21.
8. Gagandeep S, Artinyan A, Jabbour N, Mateo R, et al. Extended pancreatectomy with resection of the celiac axis: the modified Appleby operation. Am J Surg 2006; 192: 330-35.
9. Muller SA, Hartel A, Mehrabi A, et al. Vascular resection in pancreatic cáncer surgery: survival determinants. J Gastrointest Surg 2009; 13: 784-92.
10. Sohn TA, Yeo CJ, Cameron JL, et al. Resected adenocarcinoma of the pancreas-616 patients: results, outcome, and prognostic indicators. J Gastrointest Surg 2000; 4: 567-79.
11. Almano H, Miura F, Toyota N, et al. Is pancreatectomy with arterial recontsruction a safe and useful procedure for locally advanced pancreatic cancer? J Hepatobiliary Pancreat Surg 2009; 16: 850-57
12. Denecke T, Andreou A, Podrabsky P, et al. Distal pancreatectomy with en bloc resection of the celiac trunk for extended pancreatic tumor disease: an interdisciplinary approach. Cardiovasc Intervent Radiol 2010; 34: 1058-64
13. Hartwig W, Hackert T, Hinz T, et al. Multivisceral resection for pancreatic malignancies: risk-analysis and long-term outcome. Ann Surg 2009; 250: 81-7.
14. Wu X, Tao R, Lei R, et al. Distal pancreatectomy combined combined with celiac axis resection in treatment of carcinoma of the body/tail of the pancreas: a single-center experience. Ann Surg Oncol 2010; 17: 1359-66.
15. Goff SL, Chabot JA. A neoadjuvant strategy for the management of nonmetastatic pancreatic cancer. Cancer J 2012; 18: 602-8.
16. Duran H. Vicente E, Quijano Y, Ielpo B, et al Study of degree of tumor regression in resected adenocarcinoma of pancreas following a neoadjuvant treatment (Gemcitabine and Abraxane). Predictive value of the endosonographic elastography. 10th World congress of the IHPBA 2012; 104.
17. Yamamoto Y, Sakamoto Y, Ban D, et al. Is celiac axis resection justified for T4 pancreatic body cancer? Surgery 2012; 151: 61-9.
18. Kondo S, Katoh H, Shimizu T, Omi M, et al. Preoperative embolization of the common hepatic artery in preparation for radical pancreatectomy for pancreas body cancer. Hepatogastroenterology 2000; 47: 1447-9.
19. Tzakis AG, Gordon RD, Makowka L, et al. Clinical considerations in orthotopic liver transplantation. Radiol ClinNoth Am 1987; 25: 289-97.
20. Kondo S, Katoh H, Shimizu T, Omi M, et al. Radical distal pancreatectomy with en bloc resection of the celiac artery, plexus, and ganglions for advanced cancer of the pancreatic body: a preliminary report on perfect pain relief. JOP 2001; 2; 93-7