CASE REPORT
JOP. J Pancreas (Online) 2013 May 10; 14(3):296-301.
Isolated Desmoid Tumor of Pancreatic Tail with Cyst Formation Diagnosed by Beta-Catenin Immunostaining: A Rare Case Report with Review of Literature
Ram Nawal Rao1, Preeti Agarwal1, Praveer Rai2, Basant Kumar3
Departments of 1Pathology, 2Gastroenterology and 3Pediatric Surgery, Sanjay Gandhi Postgraduate Institute of Medical Sciences. Lucknow, UP, India
ABSTRACT
Context Isolated pancreatic desmoid tumors with cyst formation are uncommon benign mesenchymal soft tissue tumors, characterized by the dense fibroblastic proliferations with abundant extra-cellular collagen matrix. Intra-abdominal desmoid tumor usually involve the mesentery and retroperitoneum and mostly occur in association of familial adenomatous polyposis or Gardner’s syndrome. While desmoid tumors do not metastasize, their advancement can be life threatening due to aggressive local invasion, such as mesentery involvement. Isolated, sporadic pancreatic desmoid tumors have been considered anecdotal, with only 10 cases (cystic area in three cases) described in the literature. To our best of knowledge, this patient is fourth case report displaying cyst formation in desmoid tumor of pancreatic tail. Case report We herein report a very unusual location of sporadic desmoid tumor involving the pancreatic tail with cystic area diagnosed by beta-catenin immunostaining. A 11-year-old male presented with painless lump in left hypochondrium of abdomen. The diagnosis of pancreatic adenocarcinoma was suspected preoperatively and the patient underwent a splenopancreatectomy. Histopathological examination revealed dense fibroblastic proliferation with occasional mitosis suggestive of mesenchymal tumor. The diagnosis of desmoid tumor was confirmed by positivity of beta-catenin immunohistochemical analysis. Conservative treatment was given postoperatively. No recurrence was observed after ten months of follow-up. Conclusion Desmoid tumors are very rare in the tail of pancreas with cystic area and their diagnosis can be difficult, such as in our case where it presented as a solid-cystic lesion.
INTRODUCTION
Pancreatic desmoid tumors are an unusual benign soft tissue tumor displaying mature fibroblast proliferation and a dense collagen intercellular matrix. Desmoid tumors account for 0.03% of all neoplasms and 3% of soft tissue tumors, and their annual incidence has been estimated to be 2-4 cases per million per year in the general people [1]. Its progression is characterized by local invasion without metastatic potential [2]. Desmoid tumors arise very rarely in the pancreas [3, 4, 5, 6, 7, 8, 9, 10, 11]. Desmoid tumors usually develop asymptomatically for a long period of time before a diagnosis can be made on the basis of symptoms or mechanical complications [2]. Majority of intra-abdominal desmoid tumors are the often associated with familial adenomatous polyposis or Gardner syndrome (familial adenomatous polyposis with multiple osteomas and mesenchymal tumors of the skin and soft tissues) in up to 70% of the cases while sporadic cases are uncommon [12, 13, 14]. They generally involve fascial and musculo-aponeurotic tissues and belong to the fibromatosis process [15]. Histopathological analysis showed fibroblastic proliferation, and the diagnosis of desmoid tumors was confirmed by immunohistochemical staining for beta-catenin. Previous reports have recommended a link between desmoid tumors and hormonal factors or local traumatism [16, 17]. The treatment of desmoid tumors requires special alertness. In fact, recurrence after surgical resection occurs in up to 85% of cases and it should be considered only for rapidly growing and life-threatening tumors [18, 19]. The common first line effective treatments for desmoid tumors is considered as tamoxifen, toremifene, and sulindac as well as cytotoxic chemotherapy and radiation therapy [16].
CASE REPORT
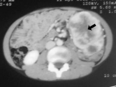
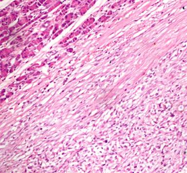
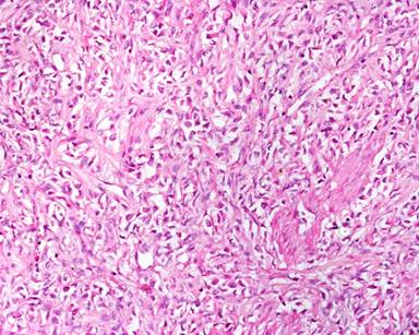
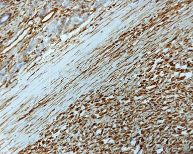
A 11-year-old male presented with complaints of painless hard swelling involving left lumber, umbilical and left hypochondrium of abdomen. According to his mother he was apparently asymptomatic 20 days back when he incidentally noticed firm to hard swelling in left upper abdomen. No history of fever, vomiting, jaundice, weight loss and hematemesis and bleeding per rectum was seen. No family history of a genetic disease was seen. Clinical examination was normal. Body fluid amylase was 4,800 U/L (reference range: 4-234 U/L) and liver function tests were normal. Computed tomography (CT) revealed a large mass measuring 10.0x8.8x7.5 cm in the pancreatic tail, mainly solid but small cystic component (Figure 1). The pancreatic tail mass was well-delimited but not encapsulated. There was no evidence of local invasion or metastasis. The surrounding vessels (celiac trunk, superior mesenteric artery, and splenic and portal veins) were not invaded. The surrounding pancreas was normal. The clinical diagnosis of adenocarcinoma of the pancreas was suspected. Resection of pancreatic tail mass and distal pancreatectomy with splenectomy was performed. Operative findings showed a mass with cyst involving pancreatic tail, adherent to splenic vein and artery, free from stomach and left kidney. The macroscopic examination revealed compressed pancreas measuring 4.0x1.0x0.5 cm, spleen measuring 8.5x6.0x3.5 cm with mesentery measuring 3.0x3.0x0.5 cm. and a well circumscribed, non-encapsulated, dense, mesenchymal tumor measuring 10.0x8.8x7.5 cm with a cystic area measuring 1.5 cm in diameter (Figure 2). Outer surface of the tumor was grey white and lobulated. No lymph node was seen. Histological examination showed a circumscribed tumor arranged in intersecting fascicles infiltrated the surrounding pancreatic parenchyma (Figure 3).Tumor cells are mildly anisomorphal with spindle shaped cells having elongated nuclei with blunt ends and bipolar cytoplasm. Mitosis is infrequent (less than 1-2 per 10 high power fields). Necrosis was not seen. Spindle shaped cells have a regular nucleus and were separated by large amounts of collagen fibers in edematous tissue with some inflammatory cells (Figure 4). The cystic component was seen within the tumor. Spleen showed congestion and focal fibrosis. Immunohistochemical analysis revealed that the tumor cells were strongly positive for beta-catenin (Figure 5), vimentin (Figure 6) and negative for cytokeratin (CK), CD34 (Figure 7), S100, CD68, CD117, smooth muscle actin (SMA) (Figure 8), muscle specific actin, desmin, CD99, Bcl2, anaplastic lymphoma kinase 1 (ALK-1) and human melanoma vlack 45. Proliferation marker Ki67 stained about 2% of the tumor cells. The immunohistochemistry and histopathological features were consistent with a confirmed diagnosis of desmoid tumor. A short term follow-up showed rapid disappearance of the symptoms which had revealed the desmoid tumor. Because of complete resection and the sporadic origin of the desmoid tumors, no corresponding treatment was given. After 10 months of follow-up, the patient is well and normal on clinical examination.

|
Figure 1. Computed tomography revealed a large mass (10.0x8.8x7.5 cm) in the pancreatic tail, mainly solid but with some cystic component (arrow). |

|
Figure 2. Pancreatic tail mass (10.0x8.8x7.5 cm) with distal pancreatectomy and splenectomy specimen revealed non-encapsulated tumor with cyst formation (arrow) and areas of whorling on cut surface. |

|
Figure 3. Section showed tumor composed of sheets of spindle shaped cells with bland nuclear morphology, fine chromatin, inconspicuous nucleoli and mild cytoplasm along with adjacent normal pancreas (H&E x40 magnification). |

|
Figure 4. Section showed sheets of spindle shaped cells with bland nuclear morphology, fine chromatin, inconspicuous nucleoli and mild cytoplasm (H&E x40 magnification). |

|
Figure 5. Tumor cells are strongly positive for beta-catenin immunostaining (x40 magnification). |

|
Figure 6. Tumor cells are strongly positive for vimentin immunostaining (x40 magnification). |

|
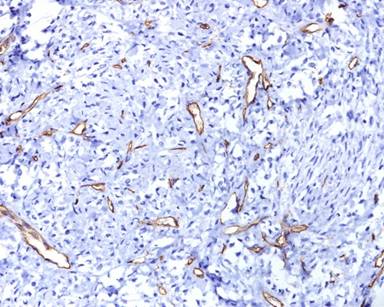
Figure 7. Tumor cells are negative for CD34 immunostaining (x40 magnification). |

|
Figure 8. Tumor cells are negative for smooth muscle actin (SMA) immunostaining (x40 magnification). |
DISCUSSION
Isolated desmoid tumor is an exceptional form of mesenchymal connective tissue tumor, also known as aggressive fibromatosis or musculo-aponeurotic fibromatosis which displaying neoplasms of fibroblastic origin characterized by lack of a capsule. Desmoid tumor is a benign mesenchymal neoplasia, characterized by local growth [2]. Whereas desmoid tumor has no metastatic potential, local invasion can provide mechanical complications such as compression and/or obstruction of blood vessels, or the digestive or urinary tract. Tail of pancreas is a very rare site for desmoid tumor. Ten cases have previously been reported involving the pancreas on a review of the literatures [3, 4, 5, 6, 7, 8, 9, 10, 11], with three being cystic desmoid tumor [8, 10, 11] as in our case (intratumoral cystic component) (Table 1). In the first and third case, the cystic component corresponded to a benign retentional cyst and the initial diagnosis was a mucinous cystadenocarcinoma. This was suggested because of the cystic component, the tail location and the female gender. In fact, the cystic component corresponded to retentional cysts as in our patient. The second case corresponded to an intraductal papillary mucinous neoplasia adjacent to a desmoid tumor with no true intratumoral cystic component [6]. These cases confirm the difficulties in diagnosis of incidental cystic pancreatic tumors. Desmoid tumors can be divided into three different localizations: desmoid tumor of the abdominal or pelvic wall (49% of cases), extra-abdominal desmoid tumor (shoulder girdle, chest and inguinal region in 43% of cases) and intra-abdominal desmoid tumor (retroperitoneum and mesentery in 8% of cases) [20]. Multiple desmoid tumors, major surgery and desmoid tumor recurrences can be life-threatening [12].
The basic underlying etiology for desmoid tumor development is likely multifactorial. Genetic, endocrine, and physical factors play a role since abdominal wall tumors often arise in young parous women following childbirth or in a postsurgical scar. Although to our knowledge the complete mechanism is not fully understood, usual increase in size of tumor during pregnancy is seen which suggests its hormonal responsiveness and hence reduction in size by tamoxifen. However most studies have shown that desmoid tumors are negative for estrogen receptor-alpha but positive for estrogen receptor-beta in tumor cells. In a recent study, 90% cases were positive for estrogen receptor-beta, whereas all were negative for ER-alpha and progesterone receptors. The direct relationship of the growth rate to the level of endogenous estrogen in the female patients and the demonstration of significant amounts of estradiol, but not progesterone, receptors in the tumor cytosol further suggest that the growth rate of desmoid tumor is regulated by steroid sex hormones. Most desmoids arise sporadically, slightly more in women than in men, with some desmoid tumors related to pregnancy and trauma, and others associated with hereditary cancer syndromes like familial adenomatous polyposis, which are often associated with a germline mutation in the adenomatosis polyposis coli (APC) gene. Desmoid tumor affects 10-15% of patients with familial adenomatous polyposis, and these patients have a more than 800-fold increased risk of developing desmoid tumor compared with the general population.
|
Table 1. Description of the 11 reported pancreatic desmoid tumors. |
|||||||||
|
Case ID |
Age/Sex |
Clinical symptoms |
Sporadic form |
Mass nature on CT scan |
Site and tumor size |
Operative procedures |
Cyst formation |
Follow-up |
Prognosis |
|
#1 [3] |
4
months |
Weight loss |
Yes |
Solid mass |
Diffuse |
Partial pancreatectomy |
No |
N/A |
Death |
|
#2 [4] |
2
months |
Jaundice |
Yes |
Solid mass |
Cephalic |
Partial pancreatectomy |
No |
20 months |
Desmoid tumor (recurrence) |
|
#3 [5] |
38
years |
None |
Yes |
Solid mass |
Tail |
Partial pancreatectomy |
No |
24 months |
No recurrence |
|
#4 [6] |
68
years |
Weight loss |
Yes |
Solid mass |
Cephalic |
Pancreatic biopsy |
No |
N/A |
N/A |
|
#5 [7] |
25
years |
Epigastric pain |
Yes |
Solid mass |
Tail |
Pancreatic biopsy |
No |
N/A |
Symptomatic treatment |
|
#6 [7] |
39
years |
Epigastric pain |
Yes |
Solid mass |
Tail |
Pancreatic biopsy |
No |
N/A |
Symptomatic treatment |
|
#7 [8] |
17
years |
Epigastric pain, weight loss |
No, FAP |
Cystic mass |
Tail |
Total pancreatectomy |
Yes |
17 months |
Reoperations at 9 and 17 months |
|
#8 [9] |
63
years |
Epigastric pain |
Yes |
Solid mass |
Tail |
Partial pancreatectomy |
No |
9 months |
No recurrence |
|
#9 [10] |
51
years |
Epigastric pain, weight loss |
Yes |
Solid-cystic mass |
Tail |
Splenopancreatectomy |
Yes |
12 months |
No recurrence |
|
#10 [11] |
68
years |
None |
Yes |
Solid-cystic mass |
Tail |
Partial pancreatectomy |
Yes |
60 months |
No recurrence |
|
#11 a |
11
years |
Left lumber lump |
Yes |
Solid-cystic mass |
Tail |
Resection of tail mass, splenectomy and distal pancreatectomy |
Yes |
10 months |
No recurrence |
|
FAP: familial adenomatous polyposis; N/A, not available a Present case |
|||||||||
Preoperative diagnosis of sporadic intra-abdominal forms is unlikely. Authors decided to operate on the suspicion of cystic pancreatic cancer; the finding of desmoid tumor was unexpected. Surgery is the treatment of choice for desmoid tumors, and radical resection is considered curative for all cases in which clear margins can be obtained [4, 21]. Some authors have reported successful treatment with an extended course of nonsteroidal anti-inflammatory drugs (NSAIDS) [22].
Intra-abdominal desmoid tumors are mostly associated with familial adenomatous polyposis; such association was found in only one of the 10 pancreatic desmoid tumors [8]. Interestingly, pancreatic desmoid tumors occurred subsequent to pancreatic surgery or biopsy in three cases [6, 7]. The symptoms were mainly related to epigastric pain (5/10) and weight loss (4/10). The desmoid tumors were mostly localized in the tail (8/10) as in our case and measured 30 to 85 mm. The laparotomy was performed in all patients, permitting tumor biopsy (n=3) or pancreatic resection (n=7). Definitive diagnosis of desmoid tumors from other types of mesenchymal soft tissue neoplasms can be difficult based on histological examination alone (Table 2). Immunohistochemistry and molecular technique are very useful in the differential diagnosis of desmoid tumors. Fortunately, nuclear staining for beta-catenin greatly aids in the diagnosis of desmoid tumors and is a consistent finding in approximately 80% of cases, although it is not specific and is also seen in a rather large variety of other tumors. The diagnosis can be confirmed by screening for mutations mainly in exon 3 of the beta-catenin gene, which are found in 85% of sporadic cases [23].
|
Table 2. Differential diagnoses of pancreatic desmoid tumor and its immunohistochemical findings. |
|||||||||||||
|
Type of tumors |
Immunohistochemical findings |
Molecular |
|||||||||||
|
CD117 |
CD34 |
S100 |
CD68 |
SMA |
Desmin |
Bcl2 |
MD-M2 |
Vimentin |
ALK-1 |
CK |
Beta-catenin |
||
|
Solitary fibrous tumor |
- |
+ |
- |
- |
- |
- |
+ |
- |
- |
- |
- |
- |
- |
|
Gastrointestinal |
+++ |
+++ |
- |
- |
- |
- |
- |
- |
+ |
- |
- |
- |
c-KIT or PDGFRA mutations |
|
Inflammatory myofibroblastic tumor |
- |
- |
- |
- |
+ |
- |
- |
- |
+ |
+++ |
- |
- |
ALK-1 mutation |
|
Leiomyoma and leiomyosarcoma |
- |
- |
- |
- |
+ |
+ |
- |
- |
+ |
- |
- |
- |
MD-M2 and CDK4 mutations |
|
Schwannoma |
- |
- |
+ |
- |
- |
- |
- |
- |
- |
- |
- |
- |
- |
|
Dedifferentiated liposarcoma |
- |
- |
- |
- |
- |
- |
- |
+ |
- |
- |
- |
- |
- |
|
Fibro-histiocytic tumor |
- |
+ |
- |
+ |
- |
- |
- |
- |
- |
- |
- |
- |
- |
|
Sarcomatoid carcinoma |
- |
- |
- |
- |
+ |
- |
- |
- |
+ |
- |
+++ |
- |
- |
|
Desmoid tumor |
- |
- |
- |
- |
- |
- |
- |
- |
+++ |
- |
- |
+++ |
Beta-catenin gene mutation |
|
CK: cytokeratin; ALK-1: anaplastic lymphoma kinase; SMA: smooth muscle actin |
|||||||||||||
The negativity of Bcl2, CD34, CD117, MD-M2 and CDK4 expression excluded a solitary fibrous tumor, a gastrointestinal stromal tumor (GIST) or a dedifferentiated liposarcoma [24, 25]. The absence of the mutation of PDGFRA and c-KIT genes exclude the diagnosis of a GIST [26, 27]. In c-KIT negative tumors, mutation in c-KIT or PDGFRA genes can be assessed by molecular pathology which distinguish GISTs from other soft tissue tumors. Solitary fibrous tumors can show striking hyalinization and may be difficult to differentiate from desmoid tumors, especially in those cases composed of only a few vessels with a classical “staghorn pattern.” However, soft tissue tumors typically express CD34, CD99, and Bcl2. Desmoid tumors are believed to be related to clonal myofibroblastic proliferation and to the somatic mutation of the Wnt/beta-catenin gene, leading to the nuclear accumulation of beta-catenin. In our case, positive nuclear immunostaining of beta-catenin was in accordance with these findings and confirmed the diagnosis of a desmoid tumor while the initial diagnosis was adenocarcinoma. This was suggested because of the tumor with cystic component, the tail location and the male gender. A recent study confirmed that nuclear beta-catenin immunostaining is competent in distinguishing desmoid tumors from other benign and malignant fibroblastic and myofibroblastic lesions [28]. Inflammatory myofibroblastic tumors have more cellular with moderate to marked nuclear atypia and inflammatory cells in the background. Anaplastic lymphoma kinase-1 positive and negative beta-catenin [29] immunohistochemistry helps in the diagnosis of inflammatory myofibroblastic tumors [30]. Hyalinization in retroperitoneal fibrosis is more prominent and often associated with marked lymphoplasmacytic infiltrate [31].
In the case of widespread invasion, potential life-threatening complications or medical treatment failure, surgical resection is generally performed. However, difficulties may occur due to extensive mesentery or retroperitoneal involvement [4]. In the case of intra-abdominal desmoid tumors with associated familial adenomatous polyposis, the recurrence rate could reach 90% while in sporadic desmoid tumors, it could reach 10% [32]. Treatment of pancreatic desmoid tumor consists of surgical resection in 7/10 cases (partial pancreatectomy) except for one case of total pancreatectomy with no significant perioperative complications as in our patient. The remaining patient did not reveal post-operative desmoid tumor growth. However, the postoperative follow-up were available in six cases [4, 5, 8, 9, 10, 11]. The recurrence occurred in the only one patient presenting a past history of familial adenomatous polyposis. This is consistent with the recurrence rate of intra-abdominal desmoid tumors not localized in the pancreas [12, 13]. In the current case, a sporadic form of desmoid tumor with cyst formation, there was a ten-month follow-up after surgery with no evidence of recurrence.
In conclusion, isolated sporadic desmoid tumors are very rare in the pancreas and their diagnosis can be difficult such as in our case where it presented as a solid-cystic lesion. However, according to current guidelines, surgery must be performed if there is any doubt as to diagnosis. Follow-up is necessary, regardless of the low-rate of tumor recurrence.
Received February 13th, 2013 – Accepted April 21st, 2013
Key words beta Catenin; Desmoid disease, hereditary [Supplementary Concept]; Fibromatosis, Abdominal; Fibromatosis, Aggressive; Pancreas
Abbreviations ALK-1: anaplastic lymphoma kinase 1; CK: cytokeratin; SMA: smooth muscle actin
Conflict of interest The authors have no potential conflict of interests
Correspondence
Ram
Nawal Rao
Pathology Department
Sanjay Gandhi Postgraduate Institute of Medical Sciences
New diagnostic block, SGPGIMS
Lucknow
226014 UP
India
Phone: +91-0522.249.5259
Fax: +91-0522.266.8017
E-mail: rnrao@sgpgi.ac.in; rnawalrao@gmail.com
References
1. Micke O, Seegenschmiedt MH;German Cooperative Group on Radiotherapy for Benign Diseases.Radiation therapy for aggressive fibromatosis (desmoid tumors): Results of a national Patterns of Care Study. Int J Radiat Oncol Biol Phys 2005;61:882– 891.
2. Clark SK, Phillips RK. Desmoids in familial adenomatous polyposis. Br J Surg 1996; 83:1494-1504.[PMID: 9014661]
3. Roggli VL, Kim HS, Hawkins E. Congenital generalized fibromatosis with visceral involvement. A case report. Cancer 1980; 45:954-60. [PMID: 7260846]
4. Ure BM, Holschneider AM, Gharib M, Halsband H, Hinselmann D. Clinical aspects, classification and prognosis of 7 cases of pediatric fibromatosis. Z Kinderchir 1988; 43:27-30. [PMID: 3376585]
5. Bruce JM, Bradley EL 3rd, Satchidanand SK. Adesmoid tumor of the pancreas. Sporadic intraabdominal desmoids revisited. Int J Pancreatol 1996; 19:197-203. [PMID: 8807365]
6. Sedivy R, Ba-Ssalamah A, Gnant M, Hammer J,Klöppel G. Intraductal papillary-mucinous adenoma associated with unusual focal fibromatosis: a"postoperative" stromal nodule. Virchows Arch 2002; 441:308-11. [PMID: 12242530]
7. Nursal TZ, Abbasoglu O. Sporadic hereditary pancreatic desmoid tumor: a new entity? J Clin Gastroenterol 2003; 37:186-8. [PMID: 12869894]
8. Pho LN, Coffin CM, Burt RW. Abdominal desmoid in familial adenomatous polyposis presenting as a pancreatic cystic lesion. Fam Cancer 2005; 4:135-8.[PMID:15951964]
9. Weiss ES, Burkart AL, Yeo CJ. Fibromatosis of the remnant pancreas after pylorus-preserving pancreaticoduodenectomy. J Gastrointest Surg 2006; 10:679-88. [PMID: 16773761]
10. Aurélien Amiot, Safi Dokmak and Alain Sauvanet et al . Sporadic Desmoid Tumor.An Exceptional Cause of Cystic Pancreatic Lesion : a Case Report. JOP. J Pancreas (Online)2008; 9(3):339-345. [ISSN 1590-8577]
11. F. Polistina, G. Costantin, E. D’Amore, and G. Ambrosino. Sporadic, Nontrauma-Related, Desmoid Tumor of the Pancreas:A Rare Disease—Case Report and Literature Review. Case Reports in Medicine. 2010, 1155: 2-4. Article [PMID 272760]
12. Clark SK, Neale KF, Landgrebe JC, Phillips RK.Desmoid tumours complicating familial adenomatous polyposis. Br J Surg 1999; 86:1185-9. [PMID 10504375]
13. Nieuwenhuis MH, De Vos Tot Nederveen Cappel W, Botma A, et al. Desmoid tumors in a dutch cohort of patients with familial adenomatous polyposis. Clin Gastroenterol Hepatol 2008; 6:215-9. [PMID: 18237870]
14. Hartley JE, Church JM, Gupta S, McGannon E, Fazio VW. Significance of incidental desmoids identified during surgery for familial adenomatous polyposis. Dis Colon Rectum 2004; 47:334-8. [PMID: 14991495]
15. Goellner JR, Soule EH. Desmoid tumors, an ultrastructural study of eight cases. Hum Pathol 1980;11:43-50. [PMID: 7364438]
16. 16.Rampone B, Pedrazzani C, Marrelli D, Pinto E, Roviello F. Updates on abdominal desmoid tumors. World J Gastroenterol 2007;13:5985-8. [PMID:18023087]
17. Cohen S, Ad-El D, Benjaminov O, Gutman H.Post-traumatic soft tissue tumors: case report and review of the literature a propos a post-traumatic paraspinal desmoid tumor. World J Surg Oncol 2008; 6:28. [PMID: 18312655]
18. Ballo MT, Zagars GK, Pollack A, Pisters PW, Pollack RA. Desmoid tumor: prognostic factors and outcome after surgery, radiation therapy, or combined surgery and radiation therapy. J Clin Oncol 1999; 17:158-67. [PMID: 10458229]
19. Kulaylat MN, Karakousis CP, Keaney CM, McCorvey D, Bem J, Ambrus Sr JL. Desmoid tumour: a pleomorphic lesion. Eur J Surg Oncol 1999; 25:487- 97. [PMID: 10527597]
20. Weiss S, Goldblum JR. Liposarcoma. In: Enzinger and Weiss’s Soft Tissue Tumors, 4th ed. St. Louis:Mosby, 2001: 641-93. [ISBN: 0323012000]
21. G. H. Sakorafas, C. Nissotakis, and G. Peros, “Abdominal desmoids tumors,” Surgical Oncology 2007, 16;(2):131–142.
22. K. Tanaka, R. Yoshikawa, H. Yanagi, et al.“Regression of sporadic intra-abdominal desmoid tumour following administration of non-steroidal anti-inflammatory drug,” World Journal of Surgical Oncology, vol. 6, article 17, 2008.
23. Carlson JW, Fletcher CD. Immunohistochemistry for beta-catenin in the differential diagnosis of spindle cell lesions: Analysis of a series and review of the literature. Histopathology 2007;51:509 –514.
24. Shimada S, Ishizawa T, Ishizawa K, et al. The value of MDM2 and CDK4 amplification levels using real-time polymerase chain reaction for the differential diagnosis of liposarcomas and their histologic mimickers. Hum Pathol 2006; 37:1123-9. [PMID: 16938516]
25. Miettinen M, Lasota J. Gastrointestinal stromal tumors: review on morphology, molecular pathology, prognosis, and differential diagnosis. Arch Pathol Lab Med 2006; 130:1466-78. [PMID: 17090188]
26. Lasota J, Miettinen M. c-KIT and PDGFRA mutations in gastrointestinal stromal tumors (GISTs).Semin Diagn Pathol 2006; 23:91-102. [PMID: 17193822]
27. Lucas DR, al-Abbadi M, Tabaczka P, et al. c-Kit expression in desmoidfibromatosis. Comparative immunohistochemical evaluation of two commercial antibodies. Am J Clin Pathol 2003; 119:339-45. [PMID: 12645334]
28. Bhattacharya B, Dilworth HP, Iacobuzio-Donahue C, et al. Nuclear betacatenin expression distinguishes deep fibromatosis from other benign and malignant fibroblastic and myofibroblastic lesions. Am J Surg Pathol 2005;29:653-9. [PMID: 15832090]
29. Carlson JW, Fletcher CD.Immunohistochemistry for beta-catenin in the differential diagnosis of spindle cell lesions: Analysis of a series and review of the literature. Histopathology 2007;51:509 –514.
30. Coffin CM, Hornick JL, Fletcher CD. Inflammatory myofibroblastic tumor: Comparison of clinicopathologic, histologic, and immunohistochemical features including ALK expression in atypical and aggressive cases. Am J Surg Pathol 2007;31:509 –520.
31. Swartz RD. Idiopathic retroperitoneal fibrosis: A review of the pathogenesis and approaches to treatment. Am J Kidney Dis 2009;54:546 –553.
32. Reitamo JJ.The desmoid tumor. IV. Choice of treatment, results, and complications. Arch Surg 1983; 118:1318-22. [PMID: 6639341]