CASE REPORT
JOP. J Pancreas (Online) 2013 July 10; 14(4):450-453.
Unresectable Pancreatic Ductal Adenocarcinoma in the Remnant Pancreas Diagnosed during Every-6-Month Surveillance after Resection of Branch Duct Intraductal Papillary Mucinous Neoplasm: A Case Report
Koji Tamura1, Takao Ohtsuka1, Noboru Ideno1, Teppei Aso1, Hiroshi Kono1, Yousuke Nagayoshi1, Koji Shindo2, Yasuhiro Ushijima3, Junji Ueda1, Shunichi Takahata1, Tetsuhide Ito4, Yoshinao Oda2, Kazuhiro Mizumoto1, Masao Tanaka1
Departments of 1Surgery and Oncology, 2Anatomic Pathology, 3Clinical Radiology, and 4Medicine and Bioregulatory Science; Graduate School of Medical Sciences, Kyushu University. Fukuoka, Japan
ABSTRACT
Context There are few studies regarding the surveillance period and interval of resected or observed branch duct intraductal papillary mucinous neoplasms (IPMNs) of the pancreas in terms of early detection of concomitant pancreatic ductal adenocarcinoma. Despite a strict surveillance protocol, some patients are diagnosed with metastatic distinct ductal adenocarcinoma after resection of IPMN. Case report We herein report a patient with unresectable pancreatic ductal adenocarcinoma that developed in the remnant pancreas 18 months after resection of branch duct IPMN. Although the patient was surveyed every 6 months after the operation and imaging studies at 6 and 12 months postoperatively demonstrated no evidence of recurrence, invasive ductal adenocarcinoma with liver metastasis appeared 18 months after the operation. The patient subsequently underwent chemotherapy; however, he died 9 months after the diagnosis of metachronous pancreatic ductal adenocarcinoma. Conclusions In some patients with branch duct IPMNs, 6-month surveillance seems to be insufficient to detect resectable concomitant pancreatic ductal adenocarcinoma. Therefore, identification of high-risk patients who require surveillance at shorter intervals is urgently needed.
INTRODUCTION
Intraductal papillary mucinous neoplasms (IPMNs) of the pancreas, first described by Ohashi et al. in 1982 [1], are morphologically characterized as intraductal mucin-producing neoplasms with definitive malignant potential. Furthermore, according to recent surveillance studies of patients with branch duct IPMNs, they are expected to become a good predictor of early detection of distinct pancreatic ductal adenocarcinoma (PDAC) [2, 3, 4, 5]. However, some metachronous PDACs are found to be unresectable in long-term follow-up after the initial pancreatectomy for branch duct IPMNs. We previously reported two patients with unresectable PDAC that developed in the remnant pancreas 7 and 14 years after distal pancreatectomy for branch duct IPMNs with high-grade dysplasia of gastric subtype features [6]. In these two patients, unresectable PDAC with hepatic metastases developed 8 and 13 months after previously normal imaging studies [6]. Several recent reports of the development of distinct PDAC in patients with branch duct IPMN suggest that surveillance using computed tomography (CT) or magnetic resonance cholangiopancreatography (MRCP) at 6-month intervals might be suitable based on the 0.7% to 1.1% yearly risk of PDAC development [2, 3, 4, 5, 7, 8, 9]. Thus, annual examination seems to be insufficient to detect concomitant PDACs in resectable situations. For this reason, we have been checking all patients by alternate CT and magnetic resonance imaging (MRI) using a 6-month protocol, even during long-term follow-up after resection of IPMNs [6].
However, despite such a frequent and strict surveillance protocol, we recently experienced a patient with unresectable PDAC in the remnant pancreas diagnosed during surveillance after resection of branch duct IPMN every 6 months. We herein present the patient’s clinical course and emphasize the importance of frequent investigation of patients with IPMN, especially patients with branch duct IPMNs at high risk for distinct PDAC.
CASE REPORT
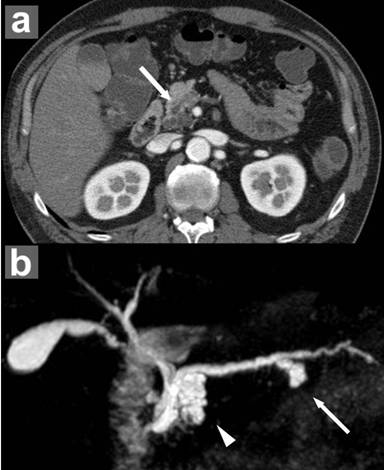
A 55-year-old Japanese male patient was admitted to our hospital for detailed examination of cystic lesions in the pancreas. He had neither a past history of diabetes mellitus nor a family history of malignancy, including PDAC. Physical examination showed no abnormalities. Laboratory examination revealed slight elevation of the serum carcinoembryonic antigen (CEA) level (4.3 ng/mL; reference range: 0-2.5 ng/mL at our institution), while the carbohydrate antigen (CA) 19-9 level (0.6 IU/mL) was within normal limits (reference range: 0-37 IU/mL). Enhanced CT and MRCP demonstrated multilocular cystic lesions in the pancreas head (25 mm in diameter) and body (16 mm in diameter) (Figure 1). Endoscopic ultrasonography (EUS) showed multiple branch duct IPMNs without findings suspicious for a mural nodule. Endoscopic retrograde pancreatography (ERP) showed a dilated duodenal papilla orifice caused by mucus hypersecretion and revealed that the cystic lesions in the pancreas head and body communicated with the main pancreatic duct; however, no irregularity of the main pancreatic duct itself was noted (Figure 2a). Subsequent peroral pancreatoscopy showed a fish egg-like appearance at the orifice of the dilated branch duct in the pancreas head, and pancreatic juice cytology revealed class V, highly suggestive of adenocarcinoma (Figure 2b).

|
Figure 1. Preoperative enhanced computed tomography (CT) and magnetic resonance cholangiopancreatography (MRCP). a. Enhanced CT shows a 20-mm diameter multilocular cystic lesion in the head of the pancreas (arrow). b. MRCP also shows a multilocular cystic lesion in the head of the pancreas (arrowhead) and a unilocular cystic lesion in the body (arrow), indicating multiple branch duct IPMNs. |

|
Figure 2. Preoperative endoscopic retrograde pancreatography (ERP) and peroral pancreatoscopy. a. ERP shows cystic lesions in the pancreas head (arrowhead) and body (arrow), both of which communicate with the main pancreatic duct. The main pancreatic duct in the pancreas head is slightly dilated. b. Peroral pancreatoscopy reveals a fish egg-like appearance at the orifice of the dilated branch duct in the pancreas head. |
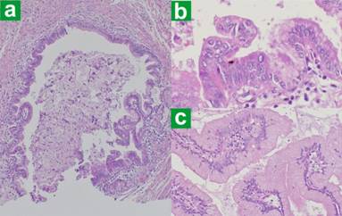
The patient underwent pancreaticoduodenectomy based on the preoperative diagnosis of a malignant branch duct IPMN of the pancreas head. Intraoperative frozen section histology of the pancreatic cut margin and intraoperative irrigation cytology of the pancreatic duct in the remnant pancreas [10] were both negative for neoplastic cells. The IPMN in the pancreas body was left without resection in the remnant pancreas. Histological examination of the resected IPMN specimen showed high-grade dysplasia of pancreatobiliary subtype in a gastric subtype background (Figure 3). In addition, molecular analysis revealed no GNAS gene mutation at codon 201 in the resected neoplasm.

|
Figure 3. Pathological findings of the resected specimen. a. b. Microscopic finding of the resected specimen demonstrates high-grade dysplasia of IPMN of the pancreatobiliary subtype (a. H&E x40; b. H&E x200). c. Most of the neoplastic lesions comprise low-grade dysplasia of IPMN with the gastric subtype (H&E x100). |
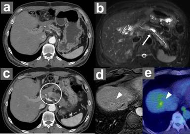
Thereafter, the patient was surveyed using alternate CT and MRCP at 6-month intervals to check for possible occurrence of distinct PDAC and morphological changes of the residual IPMN in the remnant pancreas according to our postoperative surveillance protocol after resection of IPMN [6]. Postoperative imaging studies, such as CT at 6 months and MRCP at 12 months postoperatively, showed no morphological changes of the residual branch duct IPMN and no evidence of a new lesion in the remnant pancreas (Figure 4ab). Notably, although the serum CEA level decreased to 2.4 ng/mL immediately after the operation, it increased to 4.4 ng/mL 12 months after the operation. At 18 months after the operation (i.e., 6 months after the latest MRCP), the serum CEA and CA 19-9 levels increased to 6.5 ng/mL and 55.4 IU/mL, respectively; the hemoglobin A1c level also increased to 7.0% (reference range: 4.3-5.8%). Enhanced CT 18 months after the operation showed a 20-mm diameter solid mass with delayed enhancement in the remnant pancreas (Figure 4c). EUS-guided fine needle aspiration cytology revealed adenocarcinoma. In addition, MRI and positron emission tomography revealed a solitary liver metastasis in the right hepatic lobe (Figure 4de). The patient was diagnosed with PDAC with liver metastasis and subsequently underwent chemotherapy using gemcitabine; however, he died 9 months after the diagnosis of PDAC.

|
Figure 4. Postoperative imaging studies. a. Enhanced CT 6 months after the operation shows no evidence of recurrence. b. MRCP 12 months after the operation also shows no morphological changes of the residual branch duct IPMN (white arrow) and no evidence of a new lesion in the remnant pancreas. c. Enhanced CT 18 months after the operation shows a solid mass with delayed enhancement in the remnant pancreas (white circle). d. Enhanced MRI reveals a ring-enhanced solid mass in the right lobe of the liver, indicating a liver metastasis (arrowhead). e. Positron emission tomography also reveals a solitary liver metastasis in the right lobe of the liver. |
DISCUSSION
Since the publication of the international consensus guidelines for the management of IPMN of the pancreas in 2006 and their revision in 2012, IPMNs have been widely recognized [11, 12]. In addition, their biological behaviors and the possible coexistence of concomitant PDACs have been gradually clarified in recent reports [2, 3, 4, 5]. Tanno et al. reported that concomitant PDAC was found in 5.4% (9/168) of patients with branch duct IPMN [8]. We also reported that concomitant PDAC was detected synchronously or metachronously in 9.3% (22/236) of patients with IPMN treated by surgical resection [2], and that about 80% of the patients with concomitant PDAC underwent curative resection [6]. Therefore, IPMN has been recognized as a potential clue to early detection of PDAC. However, there are few studies describing effective surveillance protocols in terms of duration, interval, and diagnostic modalities for resected or observed branch duct IPMN for early detection of concomitant PDAC.
IPMNs are considered to represent a pancreatic “field defect” theory, and all pancreatic ductal epithelial cells are at risk of dysplastic change. This must be true because many patients have multifocal branch duct IPMNs. Izawa et al. [13] reported a hypothesis of a field cancerization effect in patients with IPMN using molecular analysis, which allowed for the identification of frequent, multiple, and distinct K-ras gene mutations in different areas of ductal hyperplasia within the same pancreas. On the other hand, pathological examinations of resected IPMNs revealed extensive pancreatic intraepithelial neoplastic lesions (PanIN), which are recognized as possible precursors of PDACs, in the whole pancreatic ductal system [14, 15]. This finding suggests that all patients who undergo partial pancreatectomy for IPMNs may have a risk of developing distinct PDAC in the remnant pancreas despite a negative surgical margin at the time of the operation.
We previously demonstrated that careful inspection of the entire pancreatic gland is necessary for early detection of PDACs in patients with branch duct IPMNs [3], especially when deterioration of diabetes mellitus or abnormal serum CA 19-9 levels have manifested [2]. In fact, the serum CA 19-9 level in our patient had increased to 55.4 IU/mL and deterioration of diabetes mellitus had already been observed before the diagnosis of unresectable PDAC. It might be necessary to add ERP and/or EUS to our current surveillance protocol using alternate CT and MRI every 6 months for such high-risk patients, because ERP and EUS can often detect early-stage PDACs that cannot be diagnosed by CT or MRI [16]. Alternatively or additionally, shortening the surveillance interval to every 3 to 4 months in such high-risk patients may be necessary. A prospective setting is necessary to determine the most effective surveillance protocol for early detection of a PDAC in high-risk patients with branch duct IPMNs.
We recently showed that IPMN with distinct PDAC is frequently of the branch duct type, gastric subtype, and GNAS gene wild type [17]. The present patient had the pancreatobiliary subtype of IPMN in a gastric type background and GNAS gene wild type, as did the other two patients with unresectable metachronous PDACs described in the introduction section of the present paper. Therefore, patients with gastric subtype and GNAS gene wild type branch duct IPMNs might also be candidates for frequent and intense imaging investigations in addition to patients with such clinical signs as elevation of the CA 19-9 level and deterioration of glucose tolerance or diabetes.
In conclusion, in some patients with branch duct IPMNs, every-6-month surveillance seems to be insufficient to detect resectable concomitant PDACs; thus, identification of high-risk patients who require intense surveillance using shorter intervals or ERP/EUS is urgently necessary.
Received February 21st, 2013 – Accepted May 7th, 2013
Key words Carcinoma, Pancreatic Ductal; GNAS protein, human [Supplementary Concept]; Neoplasms, Cystic, Mucinous, and Serous; Recurrence
Abbreviations ERP: endoscopic retrograde pancreatography; PDAC: pancreatic ductal adenocarcinoma
Conflicts of interest The authors report no conflicts of interest
Correspondence
Masao
Tanaka
Department of Surgery and Oncology
Graduate School of Medical Sciences
Kyushu University
3-1-1 Maidashi, Higashi-ku
Fukuoka 812-8582
Japan
Phone: +81-92.642.5437
Fax: +81-92.642.5457
E-mail: masaotan@surg1.med.kyushu-u.ac.jp
References
1. Ohashi K, Murakimi Y, Maruyama M, Takekoshi T, Ohta H, Ohashi I, et al. Four cases of “mucin-producing” cancer of the pancreas on specific findings of the papilla of Vater. Prog Dig Endosc 1982; 20:348-51.
2. Ingkakul T, Sadakari Y, Ienaga J, Satoh N, Takahata S, Tanaka M. Predictors of the presence of concomitant invasive ductal carcinoma in intraductal papillary mucinous neoplasm of the pancreas. Ann Surg 2010; 251:70-5. [PMID: 20009749].
3. Yamaguchi K, Ohuchida J, Ohtsuka T, Nakano K, Tanaka M. Intraductal papillary-mucinous tumor of the pancreas concomitant with ductal carcinoma of the pancreas. Pancreatology 2002; 2:484-90. [PMID: 12378117].
4. Yamaguchi K, Kanemitsu S, Hatori T, Maguchi H, Shimizu Y, Tada M, et al. Pancreatic ductal adenocarcinoma derived from IPMN and pancreatic ductal adenocarcinoma concomitant with IPMN. Pancreas 2011; 40:571-80. [PMID: 21499212].
5. Uehara H, Nakaizumi A, Ishikawa O, Ishi H, Tatsumi K, Takakura R, et al. Development of ductal carcinoma of the pancreas during follow-up of branch duct intraductal papillary mucinous neoplasm of the pancreas. Gut 2008; 57:1561-5. [PMID: 18477671].
6. Ohtsuka T, Kono H, Tanabe R, Nagayoshi Y, Mori Y, Sadakari Y, et al. Follow-up study after resection of intraductal papillary mucinous neoplasm of the pancreas; special references to the multifocal lesions and development of ductal carcinoma in the remnant pancreas. Am J Surg 2012; 204:44-8. [PMID: 21996346].
7. Tanno S, Nakano Y, Koizumi K, Sugiyama Y, Nakamura K, Sasajima J, et al. Pancreatic ductal adenocarcinomas in long-term follow-up patients with branch duct intraductal papillary mucinous neoplasms. Pancreas 2010; 39:36-40. [PMID: 19745777].
8. Tanno S, Nakano Y, Sugiyama Y, Nakamura K, Sasajima J, Koizumi K, et al. Incidence of synchronous and metachronous pancreatic carcinoma in 168 patients with branch duct intraductal papillary mucinous neoplasms. Pancreatology 2010; 10:173-8. [PMID: 20484955].
9. Tada M, Kawabe T, Arizumi M, Togawa O, Matsubara S, Yamamoto N, et al. Pancreatic cancer in patients with pancreatic cystic lesions. A prospective study in 197 patients. Clin Gastroenterol Hepatol 2006; 4:1265-70. [PMID: 16979953].
10. Mori Y, Ohtsuka T, Tsutsumi K, Yasui T, Sadakari Y, Ueda J, et al. Multifocal pancreatic ductal adenocarcinomas concomitant with intraductal papillary mucinous neoplasms of the pancreas detected by intraoperative pancreatic juice cytology. A case report. JOP 2010; 11:389-92. [PMID: 20601817].
11. Tanaka M, Chari S, Adsay V, Fernandez-del Castillo C, Falconi M, Shimizu M, et al. International consensus guidelines for management of intraductal papillary mucinous neoplasms and mucinous cystic neoplasms of the pancreas. Pancreatology 2006; 6:17-32. [PMID: 16327281].
12. Tanaka M, Fernández-del Castillo C, Adsay V, Chari S, Falconi M, Jang JY, et al. International consensus guidelines 2012 for the management of IPMN and MCN of the pancreas. Pancreatology 2012; 12:183-97. [PMID: 22687371].
13. Izawa T, Obara T, Tanno S, Mizukami Y, Yanagawa N, Kohgo Y. Clonality and field cancerization in intraductal papillary-mucinous tumors of the pancreas. Cancer 2001; 92:1807-17. [PMID: 11745253].
14. Biankin AV, Kench JG, Biankin SA, Lee CS, Morey AL, Dijkman FP, et al. Pancreatic intraepithelial neoplasia in association with intraductal papillary mucinous neoplasms of the pancreas: Implications for disease progression and recurrence. Am J Surg Pathol 2004; 28:1184-92. [PMID: 15316318].
15. Hruban RH, Takaori K, Klimstra DS, Adsay NV, Albores-Saavedra J, Biankin AV, et al. An illustrated consensus on the classification of pancreatic intraepithelial neoplasia and intraductal papillary mucinous neoplasms. Am J Surg Pathol 2004; 28:977-987. [PMID: 15252303].
16. Ohtsuka T, Ideno N, Aso T, Nagayoshi Y, Kono H, Mori Y, et al. Role of endoscopic retrograde pancreatography for early detection of pancreatic ductal adenocarcinoma concomitant with intraductal papillary mucinous neoplasm of the pancreas. J Hepatobiliary Pancreat Sci 2013; 20: 356-61. [PMID: 22878836].
17. Ideno N, Ohtsuka T, Kono H, Fujiwara K, Oda Y, Aishima S, et al. Intraductal papillary mucinous neoplasms of the pancreas with distinct pancreatic ductal adenocarcinomas are frequently of gastric subtype. Ann Surg 2013; 258:141-51. [PMID: 23532108].