CASE REPORT
JOP. J Pancreas (Online) 2013 May 10; 14(3):283-285.
A First Report of Endoscopic Ultrasound for the Diagnosis of Pancreatic Amyloid Deposition in Immunoglobulin Light Chain (AL) Amyloidosis (Primary Amyloidosis)
Somashekar G Krishna1, Manoop S Bhutani1, Charles H Mosher2, Gregg A Staerkel2, Brian R Weston1
Departments of 1Gastroenterology, Hepatology and Nutrition, and 2Pathology, The University of Texas M. D. Anderson Cancer Center. Houston, TX, USA
ABSTRACT
Context Pancreatic involvement in systemic light chain (AL)-amyloidosis is exceedingly rare. Prior reports of endoscopic ultrasound (EUS) for the diagnosis of amyloidosis are also limited. Case report We report the first description of EUS-guided fine needle aspiration (FNA) for the diagnosis of primary AL-amyloidosis involving the pancreas. Conclusion EUS-FNA can be effectively utilized for the characterization and cytologic diagnosis of pancreatic amyloidosis and potentially other accessible extraluminal amyloid deposits.
INTRODUCTION
Immunoglobulin light chain (AL) amyloidosis, or primary amyloidosis, is a plasma cell dyscrasia resulting in abnormal extracellular deposition of fibrillary protein which can occur in association with multiple myeloma [1]. Systemic AL-amyloidosis can involve multiple organs; however, pancreatic involvement is exceedingly rare. Prior reports of endoscopic ultrasound (EUS) for the diagnosis of amyloidosis are also limited. We report the first description of EUS-guided fine needle aspiration (EUS-FNA) for the diagnosis of primary AL-amyloidosis involving the pancreas.
CASE REPORT
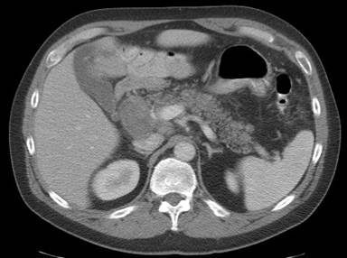
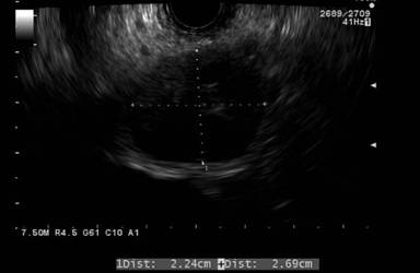
A 50-year-old man undergoing staging evaluation for multiple myeloma was referred for EUS evaluation of a pancreatic head mass seen on abdominal CT scan (Figure 1). EUS confirmed an approximate 26.9x22.4 mm mostly hypoechoic solid mass process with smaller anechoic spaces suggestive of cystic component involving the pancreatic head and adjacent porta hepatis region (Figure 2). EUS-FNA was performed with a 25-gauge needle (Cook Medical, Bloomington, IN, USA). A total of four trans-duodenal passes were taken without complication (Figure 3). Antibiotic prophylaxis to prevent infection was provided due to possible cystic component. Cytopathology revealed abundant amorphous acellular waxy appearing proteinaceous deposits (Figure 4). Congo red staining of these deposits demonstrated apple-green birefringence under polarized light indicative of amyloid (Figure 5). The patient underwent subsequent autologous stem cell transplantation for treatment of myeloma with subsequent resolution of the pancreatic process.

|
Figure 1. CT scan showing pancreas head process. |

|
Figure 2. EUS image showing pancreatic head process (linear echoendoscope at 7.5MHz). |

|
Figure 3. EUS image showing fine needle aspiration of pancreatic head process. |



|
Figure 4. Select images of cytopathology slides from FNA of pancreatic process revealing abundant amorphous acellular waxy appearing proteinaceous deposits (Papanicoloau stain - high power). |

|
Figure 5. Direct smear from FNA of pancreatic head process stained with Congo red demonstrating apple-green birefringence under polarized light indicative of amyloid. |
DISCUSSION
To our knowledge, this is the first description of EUS-FNA for the diagnosis of primary AL-amyloidosis involving the pancreas. Primary AL-amyloidosis is a plasma cell dyscrasia resulting in abnormal extracellular deposition of fibrillary protein which can occur in association with multiple myeloma [1]. Systemic AL-amyloidosis can involve multiple visceral organs including the mesentery and retroperitoneal space [1, 2]. Pancreatic involvement is nonetheless rare having been previously described only in isolated reports [3, 4]. Prior EUS descriptions of amyloidosis have been limited to a few reports of gastric and duodenal wall deposition [5, 6, 7, 8]. In these cases, EUS features of hypoechoic thickening of mucosal and submucosal layers with loss of normal gastric wall echo-layers were characterized. There are no EUS reports of isolated pancreatic or peripancreatic amyloid deposits to date. Pancreatic islet cell amyloidosis manifesting as a diffusely enlarged hypoechoic pancreas (mimicking pancreatitis) by trans-abdominal ultrasound has been reported [4]. The diagnosis of amyloid is typically made by core needle or excisional tissue biopsy with a subsequent tissue section stained with Congo red for the identification of amyloid. In this case, adequate cytologic material was obtained by FNA for direct smear and cytospin preparations which permitted confirmatory Congo red staining. This case illustrates that the recognition of characteristic cytologic features of amyloid, in particular the presence of amorphous waxy-like proteinaceous deposits, can provide clues to the diagnosis of amyloidosis and prompt Congo red staining for confirmation even in the absence of other clinical evidence for amyloidosis or myeloma [9, 10, 11]. In summary, EUS-FNA can be effectively utilized for the characterization and cytologic diagnosis of pancreatic amyloidosis and potentially other accessible extraluminal amyloid deposits in select rare cases when indicated; excisional tissue biopsy from periumbilical fat or rectal biopsy are the usual method of choice for the diagnosis of amyloidosis.
Received March 2nd, 2013 – Accepted March 23rd, 2013
Correspondence
Brian R Weston
Department of Gastroenterology, Hepatology and Nutrition
The University of Texas M. D. Anderson Cancer Center
1515 Holcombe Blvd. Unit 1466
Houston, Texas 77030-4009
USA
Phone: +1-713.794.5073
Fax: +1-713.563.4408
E-mail: bweston@mdanderson.org
References
1. Ebert EC, Nagar M. Gastrointestinal manifestations of amyloidosis. Am J Gastroenterol 2008;103:776-87. [PMID: 18076735].
2. Kyle RA, Gertz MA. Primary systemic amyloidosis: clinical and laboratory features in 474 cases. Semin Hematol 1995;32:45-59. [PMID: 7878478].
3. Troussard X, Hurault de Ligny B, Gallet B, Ganeval D, Mandard JC, Ryckelynck JP, Leporrier M. Massive systemic amyloidosis associated with light chain deposition disease. Nephron 1989;52:139-43. [PMID: 2500613].
4. Onur MR, Yalniz M, Poyraz AK, Ozercan IH, Ozkan Y. Pancreatic islet cell amyloidosis manifesting as a large pancreas. Korean J Radiol 2012;13:94-7. [PMID: 22247642].
5. Gandolfi L, Colecchia A, Leo P, Caletti G, Rossi A, Primerano A, Torresan F. Endoscopic ultrasongraphy in the diagnosis of gastrointestinal amyloid deposits: clinical case report. Endoscopy 1995;27:132-4. [PMID: 7601026].
6. Grape T, Wurm Johansson G, Eriksson M, Toth E, Thorlacius H. Primary gastroduodenal amyloidosis. Endoscopy 2011;43:E288. [PMID: 21915830].
7. Shuttleworth E, Keld R, Willert R, Benbow EW. Amyloidosis: an EUS view. Gastrointest Endosc 2012;75:218-20. [PMID: 21470605].
8. Sawada T, Adachi Y, Akino K, Arimura Y, Ishida T, Ishii Y, Endo T. Endoscopic features of primary amyloidosis of the stomach. Endoscopy 2012;44:E275-6. [PMID: 22814919].
9. Halliday BE, Silverman JF, Finley JL. Fine-needle aspiration cytology of amyloid associated with nonneoplastic and malignant lesions. Diagn Cytopathol 1998;18:270-5. [PMID: 9557261].
10. Michael CW, Naylor B. Amyloid in cytologic specimens. Differential diagnosis and diagnostic pitfalls. Acta Cytol 1999;43:746-55. [PMID: 10518125].
11. Sahoo S, Reeves W, Demay RM. Amyloid tumor: a clinical and cytomorphologic study. Diagn Cytopathol 2003;28:325-8. [PMID: 12768639].