CASE REPORT
JOP. J Pancreas (Online) 2013 July 10; 14(4):458-462.
Collision Tumors: Pancreatic Adenocarcinoma and Mantle Cell Lymphoma
Constantin A Dasanu1, Alexei Shimanovsky4, Edyta K Rotundo2, Anthony F Posteraro3, Dennis L Cooper5, Jonessa A Atienza4
Departments of 1Hematology-Oncology, 2Anatomic and Clinical Pathology, and 3Radiology; St. Francis Hospital and Medical Center. Hartford, CT, USA. 4Department of Internal Medicine, University of Connecticut Medical Center. Farmington, CT, USA. 5Department of Hematology, Yale University School of Medicine. New Haven, CT, USA
ABSTRACT
Context Collision tumors are very rare entities composed of two or more distinct tumor components, each separated by normal tissue. Perhaps due to technical advances in the last decade, the incidence of collision tumors has been on the rise. To the best of our knowledge, collision tumors featuring mantle cell lymphoma and pancreatic adenocarcinoma have not been previously described in the scientific literature. Case report For the first time, we describe herein the clinical course of a collision tumor between pancreatic adenocarcinoma and mantle cell lymphoma. Discussion We hypothesize several aspects in the pathogenesis of a such event and review the existing literature on collision tumors.
INTRODUCTION
Collision tumors are composed of two distinct tumor components, each separated by normal tissue. Collision tumors featuring mantle cell lymphoma and pancreatic adenocarcinoma have not been previously described in the scientific literature. To our knowledge, this is the first such case. Herein, we describe a unique patient with a collision tumor between mantle cell lymphoma and pancreatic adenocarcinoma.
CASE REPORT
A 65-year-old Caucasian male presented in October 2011 to the primary care office complaining with fevers, chills and night sweats for the previous six months. In addition, the patient reported a twelve-pound weight loss during this period of time and painless cervical nodes noticed three weeks prior to the current presentation. Past medical history was significant for hypertension, bronchial asthma, osteoarthritis and bilateral cataracts. He was an ex-smoker with a five pack-year history. Family history was significant for breast cancer and throat cancer, respectively, in two of his aunts. Physical examination revealed bilateral cervical, supraclavicular and axillary lymphadenopathy, the largest measuring 4x2 cm. Moreover, he had a somewhat distended abdomen with massive splenomegaly, measuring approximately 25 cm in the largest diameter. No hepatomegaly was appreciated. The rest of the physical examination was normal. A complete blood count revealed a moderate anemia and thrombocytopenia, with a hemoglobin of 12.4 g/dL (reference range: 13.0-16.0 g/dL) and a platelet count of 93,000/mm3 (reference range: 150,000-450,000/mm3), respectively. The white blood cell count was normal. Positron emission and computer tomography (PET/CT) scan revealed important FDG activity in the enlarged spleen, along with extensive abdominal, pelvic, retroperitoneal and axillary lymphadenopathy sites (Figure 1). Of note, no pathologic uptake was appreciated in the liver. Subsequently, the patient underwent a bone marrow aspirate and biopsy, which revealed an extended population of kappa monotypic B-cells co-expressing CD5 antigen. These cells were negative for CD10, CD23, FMC7 and CD11c, CD11b and CD25. Flow cytometry demonstrated neoplastic B-lymphocytes expressing CD19 and CD20 antigens, with a co-expression of aberrant CD5. Fluorescence in situ hybridization (FISH) studies revealed t(11;14) translocation. Immunohistochemical studies indicated the presence of neoplastic CD20+ B-cells with expression of BCL-2, CD5 and cyclin D1. These studies were consistent with a kappa-restricted mantle cell lymphoma. Given the patient’s symptoms and disseminated involvement of extralymphatic organs, he was diagnosed with Ann-Arbour stage IVB mantle cell lymphoma. He was started on a therapy with rituximab, cyclophosphamide, hydroxydaunorubicin, vincristine and prednisone (R-CHOP). The mantle cell lymphoma was re-staged with PET/CT scans after every 3 cycles of chemotherapy with R-CHOP. The patient responded favorably to treatment, with clinical improvement as well as decreasing organomegaly on subsequent imaging with PET/CT. Following the completion of the eighth cycle of R-CHOP, a referral in view of an autologous stem cell transplant was planned.

|
Figure 1. Pre-treatment PET/CT scan showing extensive FDG-avid tumor featuring mantle cell lymphoma with diffuse nodal involvement and massive splenomegaly. |
On follow-up in May 2012, the patient reported feeling generally well, except for a new onset of abdominal discomfort, occurring 30 minutes after eating, lasting for 30-60 minutes and associated with diarrhea. He did not complain of other new symptoms. A PET/CT after eight cycles of chemotherapy indicated a near-complete disappearance of the disease at the level of spleen and lymph nodes, but a new mass at the tail of the pancreas measuring 2.0x2.5 cm (Figure 2). Several small (5 mm) hypodense lesions were noted in the liver. These findings were not present on the PET/CT done after the sixth cycle of chemotherapy. To evaluate the focal area of persistent uptake in the pancreatic tail, a CT scan was done in June 2012. It confirmed the mass in the tail of the pancreas, highly suspicious for malignancy (Figure 3). His anemia and thrombocytopenia remained stable. The white blood cell count was within normal range, but showed persistently decreased absolute lymphocyte count. Serum IgG and IgM immunoglobulin levels were decreased to 642 mg/dL (reference range: 782-1,195 mg/dL) and 31 mg/dL (reference range: 53-334 mg/dL), respectively. Serum IgA was normal. CA 19-9 level was elevated at of 1,177 U/mL (reference range: 0-30 U/mL). Biopsy of the pancreatic mass revealed poorly differentiated adenocarcinoma (Figure 4). Immunohistochemical stains of the biopsy specimen revealed positive pankeratin, CK7, CA 19-9, BerEP4, CEA and p63 markers, suggesting primary adenocarcinoma of the pancreas. The patient was considered for possible distal pancreatectomy. However, a preoperative laparoscopic exam showed multiple liver and peritoneal tumor implants, with a biopsy showing pancreatic adenocarcinoma (Figure 4). In addition, the liver biopsy revealed an adjacent atypical lymphoid infiltrate consistent with the patient’s previous mantle cell lymphoma, staining positive for CD20, CD5, BCL-2 and cyclin D1 (Figure 4). The close proximity of the metastatic pancreatic cancer lesions and the mantle cell lymphoma infiltrate was consistent with collision tumors in the hepatic parenchyma (Figure 4).

|
Figure 2. Post-treatment PET/CT scan documenting a response at essentially all the sites previously involved with lymphoma, but demonstrating a focal persistent uptake in the pancreatic tail. |


|
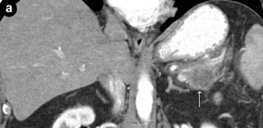
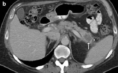
Figure 3. The coronal (a.) and axial (b.) CT scan views demonstrating a mass in the tail of the pancreas (arrow) characteristic of a pancreatic adenocarcinoma. |




|
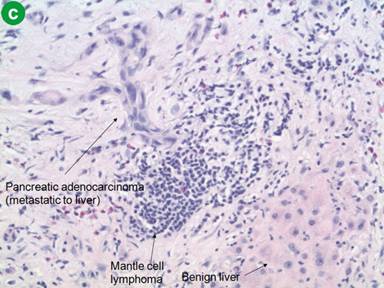
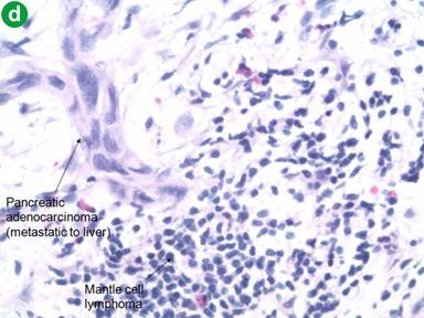
Figure 4. Pathology microphotographs of the liver core biopsy. a. Liver biopsy specimen showing a diffuse monomorphic infiltrate of small-to-medium sized lymphocytes and adjacent metastatic poorly differentiated pancreatic adenocarcinoma (H&E, 4x magnification). b. Mantle cell lymphoma showing positive staining for cyclin D1 immunohistochemical stain (H&E, 4x magnification). c. Liver biopsy showing a diffuse monomorphic infiltrate of small-to-medium sized lymphocytes and adjacent metastatic poorly differentiated pancreatic adenocarcinoma (H&E, 20x magnification). d. Liver biopsy showing a diffuse monomorphic infiltrate of small-to-medium sized lymphocytes and adjacent metastatic poorly differentiated pancreatic adenocarcinoma (H&E, 40x magnification).
|
The patient was started on a FOLFIRINOX (fluorouracil, irinotecan, oxaliplatin) regimen. Rituximab was continued at the dose of 375 mg/m2 every eight weeks as maintenance therapy for the lymphoma. He completed twenty cycles of FOLFIRINOX, with a near-complete normalization of serum CA 19-9 and disappearance of the pancreatic and liver masses on PET/CT scan. Remarkably, he remains symptom-free and with a minimal amount of intra-abdominal disease twelve months after the diagnosis of metastatic pancreatic adenocarcinoma.
DISCUSSION
Pancreatic adenocarcinoma is an aggressive solid malignancy arising in the exocrine pancreas and representing the fourth leading cause of death from cancer in the United States. Mantle cell lymphoma is a subtype of non-Hodgkin’s lymphoma characterized by monoclonal CD5-positive mature B-cells. Overexpression of cylcin-D1 is thought to play a crucial role in the mantle cell lymphoma pathogenesis. Mantle cell lymphoma is generally characterized by an aggressive behavior and a suboptimal response to conventional chemotherapy. Overexpression of cyclin D1 brought about by t(11;14)(q13;q32) translocation is regarded as the inciting event in the pathogenesis of mantle cell lymphoma. However, there are other secondary chromosomal and molecular alterations that target regulatory elements of the cell cycle (BMI1/INK4/ARF/CDK4/RB1), DNA damage response pathways (ATM/CHK2/p53), and cell survival signals associated with this disease entity [1].
Cyclin D1, the regulatory partner of the G1 cyclin-dependent kinases, plays a major role in cell cycle progression through the first gap phase (G1), thereby leading to cell proliferation [2]. The translocation t(11;14)(q13;q32) activates its encoding gene CCND1 generating two mRNAs, cyclin D1a and cyclin D1b, each one having a distinct C-terminus. Of these two, cyclin D1b is regarded as a nuclear oncogene [3]. While the overexpression of cyclin D1 is associated with mantle cell lymphoma, it has been reported to play a role in other malignancies, such as esophageal cancer, breast cancer and hepatocellular carcinoma. Moreover, amplification of the cyclin D1 gene and overexpression of the gene product has been demonstrated in pancreatic adenocarcinoma [2, 4]. Our case is unique in that it illustrates, for the first time, the collision of a mantle cell lymphoma and a primary pancreatic adenocarcinoma. Certainly, given the role of cyclin D1 in the pathogenesis of both malignancies, this protein might have implications for the collision of the two cancers in the hepatic parenchima in our patient.
Collision tumors are rare entities consisting of two distinct neoplasms occurring in the close proximity of each other in the same organ or anatomic location. Due to advancement of medical science, the incidence of collision tumors has been rising. Collision tumors have been reported in patients with colorectal cancer, non-small cell lung cancer, gastric cancer and breast cancer [5, 6, 7, 8, 9]. Within the gastrointestinal tract, collision tumors are known to occur with the cancers of esophagus and stomach [10, 11, 12]. However, collision tumors of the pancreas are extremely rare. A case series by Niu et al. [13] described ten pancreatic and periampullary collision tumors, where intraductal papillary mucinous neoplasms (IPMNs) with other concurrent neoplasms were the most common type of a collision tumor. Interestingly, their case series describes collision tumors between two solid tumors, with no cases involving co-existence of a pancreatic neoplasm and a hematologic malignancy. Of note, collision tumors between adenocarcinoma and lymphoma, although rare, have been reported with colorectal carcinomas [14]. Moreover, two cases of collision tumors involving mantle cell lymphoma and colorectal adenocarcinoma have been reported [15, 16]. Cornes et al. [14] suggested that coexisting adenocarcinomas occur either synchronously or after, but never precede the lymphoma occurrence. Our case is similar in that the mantle cell lymphoma preceded the development of a pancreatic adenocarcinoma. One would argue that the patient had disseminated lymphoma before therapy with R-CHOP, therefore, its presence at the level of liver comes with no surprise. Nonetheless, no disease was identified at the level of liver pre-mantle cell lymphoma therapy. Subsequent re-staging PET/CT scans after 3 and 6 cycles of R-CHOP showed a response of mantle cell lymphoma to this chemotherapy and no evidence of a pancreatic mass. The pancreatic mass was first identified after 8 cycles of chemotherapy, therefore, we believe that it developed in the previous 6 weeks or so. We also have reasons to believe that the pancreatic cancer was very aggressive and progressed rapidly, as evidenced by its poorly differentiated histology. In addition, the liver lesions were two small to be characterized by the PET/CT; they were identified as suspicious and biopsied only at laparoscopy. As a result, the metastatic pancreatic cancer lesions and adjacent mantle cell lymphoma lesions are consistent with collision tumors.
The pathogenesis of collision tumors remains obscure with no solid evidence towards one specific mechanism. Previous case reports and studies suggest that the exquisite rarity of collision tumors could be due to chance rather than any specific mechanism. However, Hopster et al. [17] postulated that lymphoma may predispose patients to the development of adenocarcinoma due to decreased immunological surveillance. Certainly, the fact that the mantle cell lymphoma in our patient precedes the appearance of the adenocarcinoma supports this hypothesis. The pancreatic adenocarcinoma in the context of a treated mantle cell lymphoma in our patient may also be a consequence of underlying immunosuppression due to both lymphoma and its therapy. However, altered immune surveillance leading to second malignancy so early (within months) is not readily supported with available literature. Nonetheless, reduced immune surveillance featuring lymphopenia and hypogammaglobulinemia is a known side effect of R-CHOP chemotherapy [18]. In our patient, secondary hypogammaglobulinemia was demonstrated by absolute lymphopenia, along with low IgM and IgG levels obtained after the eighth cycle of R-CHOP. While there is no clear-cut relationship between secondary hypogammaglobulinemia and the development of adenocarcinoma, patients with primary agammaglobulinemia have a 30-fold increased risk of developing colorectal cancer [19].
In addition, amplification of cyclin D1 gene is known to be present in pancreatic adenocarcinoma and is associated with poor prognosis [20]. Perhaps, development of a second tumor is a multistep process, with a mutation of cyclin-D1 gene being the initial step. Reduced immune surveillance with a decreased immune response due to secondary hypogammaglobulinemia, could have further promoted the uncontrolled growth of the pancreatic cancer cells.
Due to the rarity of collision tumors, there are no specific guidelines in regards to their treatment. In the present case, the initial treatment was directed at mantle cell lymphoma with R-CHOP and the patient demonstrated an excellent response to this therapy. However, development of a pancreatic adenocarcinoma with intra-abdominal metastases complicated the clinical picture. Consequently, the patient was started on FOLFIRINOX for metastatic pancreatic cancer. At the same time, there was histopathological evidence of lymphoma and, as such, the patient was continued on maintenance rituximab therapy. In addition, oxaliplatin is also known to have anti-lymphoma activity. The sustained response of both collision tumors to these therapies is remarkable in our patient, who remains in a near-complete response one year after the diagnosis of pancreatic cancer.
Information on the outcomes of the previous case reports is also limited, likely due to the rarity of collision tumors. Furthermore, there are no other reports in the literature describing a collision between mantle cell lymphoma and pancreatic adenocarcinoma. This case describes an extremely rare occurrence, providing a full clinical course after the diagnosis and the base for a potential treatment regimen. While previous reports suggest that development of collision tumors is a serendipitous event, we hypothesize a plausible sequence in their pathogenesis. Of course, further research is required to elucidate both genetic and molecular events preceding the occurrence of these cancers, as well as to configure an optimal approach to their diagnosis and therapy. Hopefully, light will also be shed on effective surveillance in patients on chemotherapy in order to identify and treat early the second malignancies.
Received April 14th, 2013 – Accepted May 7th, 2013
Key words Cyclin D1; Lymphoma, Mantle-Cell; Pancreatic Neoplasms
Abbreviations FOLFIRINOX: fluorouracil, irinotecan, oxaliplatin; R-CHOP: rituximab, cyclophosphamide, hydroxydaunorubicin, vincristine and prednisone
Conflict of interest and financial support We certify that we do not have any affiliation with or financial involvement in any organization or entity with a direct financial interest in the subject matter or materials discussed in the manuscript (e.g., employment, consultancies, stock ownership, honoraria, and expert testimony). We do not have any commercial or proprietary interest in any drug, device, or equipment mentioned in the article below. No financial support was used for this work
Correspondence
Constantin
A Dasanu
Medical Oncology and Blood Disorders, LLP
Gothic Park, 43 Woodland Street, Suite G-80
Hartford, CT 06105
USA
Phone: +1-347.679.9455
Fax: +1-860.430.5603
E-mail: c_dasanu@yahoo.com
References
1. Jares P, Campo E. Advances in the understanding of mantle cell lymphoma. Br J Haematol. 2008;142(2):149-65.
2. Diehl J, Benzeno S. Cyclin D1 and pancreatic carcinoma: a proliferative agonist and chemotherapeutic antagonist. Clin Cancer Res. 2005;11;5665.
3. Krieger S, Gauduchon J, Roussel M, et al. Relevance of cyclin D1b expression and CCND1 polymorphism in the pathogenesis of multiple myeloma and mantle cell lymphoma. BMC Cancer. 2006; 6:238.
4. Gansauge S, Gansauge F, Ramadani M, Stobbe H. Overexpression of cyclin D1 in human pancreatic carcinoma is associated with poor prognosis. Cancer Res 1997;57:1634-1637.
5. Ekelund GR, Pihl B. Multiple carcinomas of the colon and rectum. Cancer 1974;33:1630–4.
6. Barron BA, Localio SA. A statistical note on the association of colorectal cancer and lymphoma. Am J Epidemiol 1976;104: 517–22.
7. Wahner-Roedler DL, Reynolds CA, Boughey JC. Collision tumors with synchronous presentation of breast carcinoma and lymphoproliferative disorders in the axillary nodes of patients with newly diagnosed breast cancer: a case series. Clin Breast Cancer. 2011;11(1): 61-6.
8. Doggui MH, Ben Yaghlène L, Hefaiedh R, et al. A gastric collision tumor composed of adenocarcinoma and gastrinoma: case report. Tunis Med. 2008;86(8):755-7.
9. Sun Y, Shi YF, Zhou LX, et al. Synchronous pulmonary squamous cell carcinoma and mantle cell lymphoma of the lymph node. Case Rep Genet. 2011;2011:945181.
10. Komatsu D, Sakurai M, Nakafuji H, et al. Granulocyte colony stimulating factor-producing collision tumor of the gastric cardia. J Gastroenterol 2003;38:1013–15.
11. Nishino N, Konno H, Baba S, et al. Synchronous lymphoma and adenocarcinoma occurring as a collision tumor in the stomach: report of a case. Surg Today. 1996;26:508–12.
12. Spagnolo DV, Heenan PJ. Collision carcinoma at the esophagogastric junction: report of two cases. Cancer. 1980;46:2702–8.
13. Niu GM, Jin da Y, Ji Y, et al Survival analysis of pancreatic and periampullary collision cancers. J Dig Dis. 2010;11(4):231-6
14. Cornes JS. Multiple primary cancers: primary malignant lympho- mas and carcinomas of the intestinal tract in the same patient. J Clin Pathol 1960;13:483–9.
15. Kanehira K, Braylan RC, Lauwers GY. Early phase of intestinal mantle cell lymphoma: a report of two cases associated with advanced colonic adenocarcinoma. Mod Pathol 2001;14:811–7.
16. Padmanabhan V, Trainer TD. Synchronous adenocarcinoma and mantle cell lymphoma of the colon. Arch Pathol Lab Med. 2003;127:E64–6.
17. Hopster D, Smith PA, Nash JR, et al. Synchronous multiple lymphomatous polyposis and adenocarcinomata in the large bowel. Postgrad Med J. 1995;71:443.
18. Venhoff N, Effelsberg NM, Salzer U, et al. Impact of rituximab on immunoglobulin concentrations and B cell numbers after cyclophosphamide treatment in patients with ANCA-associated vasculitides. PLoS One. 2012;7(5):e37626.
19. Van Der Meer, J. M., & Weening, R. S. (1993). Colorectal cancer in patients with X-linked agammaglobulinaemia. Lancet. 1993; 341(8858):1439
20. Qiao Q, Ramadani M, Gansauge S, et al. Reduced membranous and ectopic cytoplasmic expression of beta-catenin correlate with cyclin D1 overexpression and poor prognosis in pancreatic cancer. Int J Cancer 2001;95:194–197