CASE REPORT
JOP. J Pancreas (Online) 2013 Nov 10; 14(6):646-648.
Kissing Gastric Ulcers Causing Acute Pancreatitis and Portal Biliopathy: What’s the Link?
Alexandre Mensier1, Farid Bounoua1, Gabriel Beretvas1, Andreia Mosoi2, Sabrina Dardenne1
Departments of 1Digestive Surgery and 2Medical Imaging. Hospital of Armentières. Armentières, France
ABSTRACT
Context Acute pancreatitis is often caused by acute alcoholic intoxication or biliary stone migration. Other etiologies are less frequent. Case report We report an exceptional case of kissing ulcer as the cause of an acute pancreatitis due to the perforation of the posterior ulcus into the pancreas. More remarkable is the association of a left portal branch thrombosis and a portal biliopathy. Conclusion We describe a case of acute pancreatitis of unusual origin, associated with an equally uncommon pathology which is portal cavernoma. A literature review is then exposed to try to ascertain if there is a connection between these two entities.
INTRODUCTION
Perforated gastric ulcers and acute pancreatitis are frequent pathologies. The incidence rate is 6.5 per 100,000/year [1] for perforated peptic ulcers and from 27 to 32 per 100,000/year for a first attack of acute pancreatitis of all origins [2]. We report a case of a young patient who presented both of these diseases, the first being the suspected cause of the second, with portal vein thrombosis and portal cavernoma. All these pathologies simultaneously present are even more unusual.
CASE REPORT
A 28-year-old man was hospitalized in our surgical department due to an acutization of chronic epigastric pain. This patient had no previous medical history, especially no consumption of NSAIDs. He admitted a past alcohol addiction (5 to10 beers per day) for 7 years, but no actual consumption. He had also been a smoker.
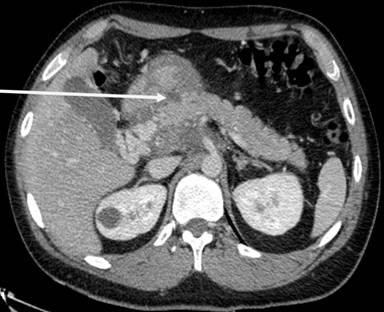
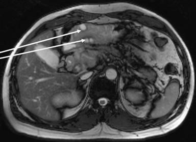
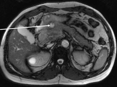
He came to the emergency room because he had felt abdominal pain in the epigastric area for two months, but the pain became constant and with increased intensity. He reported nausea and vomiting, but no modification of bowel habits. Clinical examination revealed stable hemodynamic signs but a marked tenderness with focalized guarding in the right hypochondrium and epigastric region. Laboratory analysis did not reveal anything specific, except elevated lipases at 696 U/L (reference range : 114-286 U/L). Abdominopelvic computed tomography (CT) (Figure 1) and then magnetic resonance imaging (MRI) showed kissing gastric ulcers of the antrum, with the posterior ulcus perforating the gastric wall into pancreatic parenchyma and a Balthazar C associated pancreatitis (Figures 2 and 3). Imaging also disclosed a left portal branch thrombosis and a portal biliopathy (with an amount of thin veins around the main biliary duct) (Figure 4). First, evolution was satisfactory with medical treatment (fasting, gastric protectors, and nasogastric tube). But pain returned with every attempt of food intake. Finally, an endoprosthesis in the pancreatic main duct was placed with a positive result and symptom resolution.

|
Figure 1. CT showing anterior and posterior gastric lesion with perforation of posterior wall in close contact with pancreatic parenchyma (arrow). |

|
Figure 2. MRI showing the gastric kissing ulcers (arrows). |

|
Figure 3. MRI showing a posterior lesion penetrating into the pancreas (arrow). |

|
Figure 4. MRI showing main biliary duct narrowed by venous network called portal cavernoma (arrow). |
DISCUSSION
Gastroduodenal ulcers are frequent. However, gastric kissing ulcers are rarely reported in literature. The more frequent etiologies are NSAIDs, aspirin, or Helicobacter pylori infection [3]. Other unusual causes exist; one of which is described in our case report.
Ulcer perforation is one of the possible complications with bleeding [4] and occurs in approximately in 7% of cases [5] but does not often reach neighboring organs.
Our patient presented a kissing ulcer, with anterior and posterior lesions, the second one perforated into pancreatic parenchyma, being the suspected cause of acute pancreatitis. We ruled out an acute ethylic intoxication and biliary pancreatitis.
Furthermore, we discovered a thrombosis of the left branch of the portal vein and a portal cavernoma, also called portal biliopathy.
Portal cavernoma is an anarchic venous network in which hepatopetal portal blood circulates, caused by a chronic thrombotic occlusion of extra-hepatic portal system. At least 3 weeks are necessary for the cavernoma development [6, 7]. The causes of portal biliopathy are those of portal vein thrombosis: local causes such as malignant process, intra-abdominal inflammation, trauma, and iatrogenic, or general disorders such as thrombophilia (as frequent as 72% of cases) [6, 8].
In our patient, portal thrombosis was assumed to be attributed to inflammation due to acute pancreatitis. We did not check the coagulation because the patient was treated by heparin.
Concerning the cavernoma, the majority of patients (70 to 95%) do not manifest any symptoms of biliary obstruction [9]; symptoms are usually related to portal hypertension [6].
We did not find any indirect sign of portal hypertension in the present case, neither clinic (collateral venous circulation, splenomegaly, etc.) nor biologic (low platelets count, etc.).
Transjugular measure of portal pressure was not performed because it was considered to be too invasive.
Nevertheless, portal biliopathy is a chronic phenomenon; so it is possible that portal thrombosis was present prior to the hospitalization. The patient had perhaps suffered from iterative episodes of acute pancreatitis, which explains the chronic epigastralgy. He admitted previous alcoholic consumption. That conduced our gastroenterologist colleagues to the inverse hypothesis: acute necrotic pancreatitis causing erosion of posterior gastric wall. But it does not correspond to tomodensitometry images and the anterior gastric lesion.
Finally, we evoked the exceptional possibility of hypertensive gastropathy as an etiology of the gastric ulcers by analogy with the case described by Oluyemi et al. [10] but it is, to our knowledge, the only case reported. In addition, as previously mentioned, our patient had no indirect sign of portal hypertension.
CONCLUSION
We described an exceptional case of acute pancreatitis, probably due to kissing gastric ulcer perforation, in a patient presenting partial portal vein thrombosis and portal cavernoma possibly caused by anterior episodes of pancreas inflammation. This is the most probable sequence of events. We did not find many papers in previous literature reporting this kind of association, or other possible connections between gastric ulcer, pancreatitis and portal biliopathy.
Received April 24th, 2013 – Accepted September 11th, 2014
Key words Pancreatitis; Portal Vein; Portal Vein, Cavernous Transformation Of; Stomach Ulcer; Thrombosis
Conflict of interest None
Correspondence
Sabrina
Dardenne
Centre Hospitalier d’Armentières 112
Rue Sadi Carnot – BP 189
59421 Armentières Cedex
France
Phone: +33-(0)320.483.333
Fax: +33-(0)320.483.380
E-mail: sabrinadardenne@hotmail.com
References
1. Thorsen K, Soreide JA, Kvaloy JT, Glomsaker T, Soreide K. Epidemiology of perforated peptic ulcer : age- and gender – adjusted analysis of incidence and mortality. World J Gastroenterol. 2013;19(3):347-54. (PMID: 23372356).
2. Sandzen B, Rosenmüller M, Haapamäki M.M, Nilsson E, Stenlund H.C, Oman M. First attack of acute pancreatitis in Sweden 1988-2003 : incidence, aetiological classification, procedures and mortality – a register study. BMC Gatroenterol. 2009;9:18. (PMCID: PMC2669478).
3. Uyanikoglu A., Danalioglu A., Akyuz F., Ermis F., Gulluoglu M., Kapran Y., Demir K., Ozdil S., Beisisk F., Boztas G., Mungan Z., Kaymakoglu S. Turk J Gastroenterol. 2012;23(2) :99-103. (PMID :22706736).
4. Vahedian J., Keramati MR., Hashemi MH., Vasigh M. DuodenalKissing Ulcer (sealed anterior perforated duodenal ulcer combined with hemorrhagic posterior ulcer) : report of a case. Govaresh.2010 ;15(3) :243-246.
5. Fujihara S., Mori H., Nishiyama N., Kobara H., Masaki T. Giant gastric ulcer penetrating into the pancreas. Arab J Gatsroenterol. 2012 ;13(3) :158-60. (PMID : 23122461).
6. Vibert E., Azoulay D., Castaig D., Bismuth H. Portal caverboma : diagnosis, aetiologies and consequences. Ann Chir.2002 ;127(10) :745-50. (PMID : 12538094).
7. Bayraktar Y.Portal ductopathy : clinical importance and nomenclature. World J Gastroenterol. 2011;17(11):1410-1415. (PMID : 21472098).
8. Quarrie R., Stawicki S.P. Portal vein thrombosis : What surgeons need to know. OPUS 12 Scientist 2008;2(3):30-33.
9. Somnath Chattopadhyay S, Nundy S. Portal biliopathy. World J Gastroenterol. 2012;18(43):6177-6182. (PMID : 23180936).
10. Oluyemi A., Amole A. Portal Hypertensive Duodenopathy Manifesting as « Kissing » Duodenal Ulcers in a Nigerian with alcoholic Cirrhosis : A case Report and brief review of the literature. Case Rep Med. 2012;2012(618729):1-4. (PMID : 23118766).