CASE REPORT
JOP. J Pancreas (Online) 2013 Nov 10; 14(6):649-652.
Transpancreatic Hepatomesenteric Trunk Complicating Pancreaticoduodenectomy
Ashwin Rammohan, Jeswanth Sathyanesan, Ravichandran Palaniappan, Manoharan Govindan
Centre for GI Bleed, Division of HPB Diseases, Institute of Surgical Gastroenterology and Liver Transplantation, Stanley Medical College Hospital. Chennai, India
ABSTRACT
Context Standard celiac and hepatic arterial anatomy occur in approximately 60% of the patients; for the remaining, multiple variations have been described. A thorough knowledge of these anomalies is important in order to avoid unnecessary complications. In this report we describe one of the rarest arterial anomalies, a hepatomesenteric trunk supplying the liver. We attempt to elucidate its implications pertaining to the safe performance of a pancreaticoduodenectomy. Case report A 45-year-old male with a one-month duration painless progressive jaundice was evaluated and diagnosed as having a periampullary growth. Preoperative imaging did not suggest any arterial anomalies. Intraoperatively, the common hepatic artery was found to originate from the superior mesenteric artery. He underwent a pylorus preserving pancreaticoduodenectomy with a meticulous dissection and preservation of the aberrant hepatomesenteric trunk. His postoperative period was uneventful and is doing well on follow up. Conclusion Variations in hepatic and celiac arterial anatomy are common, and may not get picked up on preoperative imaging. A high index of suspicion in every patient along with a precise knowledge of the normal anatomy and awareness of the aberrant anatomy is a sine qua non to the performance of a safe pancreaticoduodenectomy.
INTRODUCTION
The surgical anatomy of the hepatic arterial supply is well described in the literature and the morphological arrangement of the hepatic arteries is notoriously variable [1]. A clear appreciation of these variations enhances the probability of a successful operation and limits harmful outcomes of complex pancreaticobiliary procedures such as the pancreaticoduodenectomy [2, 3]. Although anatomically interesting, the presence of aberrant hepatic arterial anatomy raises the surgical complexity and increases the potential risk of injury to the hepatic arterial supply during a pancreaticoduodenectomy. One of the rarest variation is the common hepatic artery arising from superior mesenteric artery [1]. This variation is termed as the “hepatomesenteric trunk”. Preservation of the hepatomesenteric trunk during pancreaticoduodenectomy is indispensable in most cases [4]. We present a case where a hepatomesenteric trunk was encountered coursing through the pancreas during pancreaticoduodenectomy and was successfully preserved without oncological compromise.
CASE REPORT
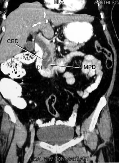
A 45-year-old male presented to the out-patient department with jaundice of 30-day duration. He had no abdominal pain, but gave a history of high colored urine along with pale stools. He also had pruritus along with significant weight loss of 15 kg over the previous two months. His past surgical history was significant for a history of laparoscopic cholecystectomy one year ago; the procedure and the post-operative period was uneventful. On examination, his vital parameters were stable, and apart from icterus, his general examination was unremarkable. Abdomen examination was unremarkable apart from healthy port-site scars. Per-rectal examination revealed pasty pale stools. His complete hemogram and renal function tests were within normal limits. His liver function tests revealed an increased direct fraction of bilirubin (6.08 mg/dL; reference range: 0-1 mg/dL), along with a raised alkaline phosphatase (722 IU/L; reference range: 80-290 IU/L) and gamma glutamyltranspeptidase (243 IU/L; reference range: 7-32 IU/L). An esophagogastroduodenoscopy was done which revealed a prominent ampulla. A side-viewing-scopy of the duodenum was done, which showed an ulcerated growth at the ampulla, a biopsy of which was inconclusive, with atypical cells. Imaging of the abdomen showed intrahepatic and extrahepatic biliary radical dilatation with obstruction at the level of the ampulla. The main pancreatic duct was also dilated up to the ampulla (Figure 1). CA 19-9 was done which was elevated at 74.28 ng/mL (reference range: 0-10 ng/mL). The patient was optimized and was taken up for a planned pancreaticoduodenectomy for the ampullary growth. Intraoperatively, on evaluation of the superior border of the pancreas, common hepatic artery was found to be absent. Further kocherization and careful dissection of the hepatoduodenal ligament revealed a replaced common hepatic artery arising from the superior mesenteric artery which was coursing through the uncinate process, posterior to the duodenum and portal vein. The artery crossed the portal vein laterally to lie anterior to the common bile duct at the superior border of the pancreas, where it divided into the left and right hepatic arteries (Figure 2). The gastroduodenal artery was absent; the right gastric artery arose from the left hepatic artery. Following an extended kocherization and hilar dissection, complete course of the artery was delineated. Pancreas was transected at the neck anterior to the portal vein and the uncinate process was successfully dissected free from the common hepatic artery (Figure 3). A pylorus preserving pancreaticoduodenectomy was completed. Patient developed grade I delayed gastric emptying (International Study Group for Pancreatic Surgery Criteria), which improved with conservative management. Rest of his post operative period was uneventful, and he was discharged on the 14th postoperative period. Histopathology revealed an ampullary adenocarcinoma, with all margins being free from tumor.

|
Figure 1. Contrast enhanced CT abdomen showing dilatation of common bile duct (CBD) and main pancreatic duct (MPD), suggestive of obstruction at the level of the ampulla. DII: second part of duodenum |

|
Figure 2. Post kocherization course of the hepatomesenteric trunk. D-II: second part of duodenum; HMT: hepatomesenteric trunk; IVC: inferior vena cava; PV: portal vein |

|
Figure 3. Post pancreaticoduodenectomy-preserved hepatomesenteric trunk. CHD: common hepatic duct; HMT: hepatomesenteric trunk; PS: pancreatic stump; PV: portal vein; UM: uncinate margin |
DISCUSSION
The so called “normal” anatomy of the celiac artery and its branches is observed in only 60% of the cases, while a normal hepatic arterial anatomy is seen in 52% to 80.3% of operative cases [1, 5]. These deviations occur due to the congenital persistence of vitelline arteries. Even though the first study detailing variation in hepatic arterial anatomy was in 1756, it was not until 1966 that an internationally recognized classification was proposed [5]. With increasing numbers of livers being transplanted, there is a better recognition of these anomalies. In 1994, the group from University of California, Los Angeles (UCLA) elucidated and reclassified hepatic arterial anatomy based on their experience of a 1,000 liver transplantations [1].
The term anomalous or aberrant encompasses both the “accessory” and the “replaced” vessels. An extra artery that supplies the liver, which also receives blood supply from a normally located hepatic artery, is termed as an accessory hepatic artery. If the liver receives its primary blood supply from the aberrant vessel, then it is called a replaced hepatic artery [1, 5, 6]. The most common abnormalities of the hepatic vasculature are the replaced right hepatic artery (11-21%) followed by the replaced left hepatic artery (3.8-10%) [1, 5, 6]. The hepatomesenteric trunk is the rarest of these anomalies (<1%). In a systematic analysis of radiologically diagnosed variations of the celiac axis and common hepatic artery in 5,002 patients, Song et al. have shown the superior mesenteric artery to be the commonest origin for an aberrant common hepatic artery. This aberrant artery is likely to either pass superior to the pancreatic head or inferior to the uncinate process (suprapancreatic, infrapancreatic). In the rarest of instances, it penetrates the parenchyma of the pancreas (transpancreatic). This was the variant noted in our patient [7].
The aberrant arterial anatomy is of enormous significance during surgery, especially during pancreaticoduodenectomy. The artery could necessitate altering the surgical approach, by interfering with the resection and/or lymphadenectomy. These anomalous vessels may interfere with reconstruction of the pancreatic remnant precluding safe pancreatic stump drainage. Aberrant anatomy increases the risk of injury to the hepatic arterial supply leading to unexpected bleed (intra- or post-operative) and ischemia [2, 3, 6, 8]. The extrahepatic biliary tree receives a substantial portion of its blood supply from the right hepatic artery. Any ischemia secondary to hepatic artery injury, will lead to ischemia of the biliary anastomosis resulting in biliary anastomotic leak. Ischemic liver dysfunction may also manifest in the form of elevations in hepatic enzymes [2, 3, 6, 8, 9]. During dissection of these arteries, excessive handling of the vessel should be avoided as it may damage the vessel adventitia, thereby increasing the chances of pseudoaneurysm. This can lead to catastrophic complications in the event of a concomitant pancreatic anastomotic leak [2, 3, 6, 9].
Preoperative imaging can detect up to 60-80% of all arterial anomalies. If the anomaly is detected preoperatively, an embolization of the vessel can be performed with microcoils. It also helps to forewarn the surgeon, thereby preventing inadvertent injury to common hepatic artery [10]. Multidetector row CT (MDCT) scan shows enhanced delineation of the pancreatic lesion and vascular structures along with the benefit of CT angiography in preoperative delineation of the arterial anatomy [11]. A visceral angiography is recommended only when very rare or complex visceral arterial anomalies encountered on noninvasive imaging. Brennan et al. described the technique of a virtual pancreaticoduodenectomy, where images that are postprocessed volume-rendered aid in preoperative identification of vascular anomalies [12].
Even though advance planning is ideal, extemporaneous decisions may be required intraoperatively [2, 3, 6]. When a replaced common hepatic artery is encountered, the origin must be identified, the most common origin being from the superior mesenteric artery (Michels type IX) [5]. During pancreaticoduodenectomy, ligation of the gastroduodenal artery should be delayed until the retropancreatic dissection and proper identification of the replaced common hepatic artery is complete. The pancreatic neck should not be divided over the superior mesenteric vein-portal vein confluence as is usually done in a conventional pancreaticoduodenectomy, this risks injury to the aberrant artery; instead it should be divided over the replaced common hepatic artery [4, 6, 9].
Following identification of a hepatomesenteric trunk, it should be dealt based on its course. Hepatomesenteric trunk that courses through the pancreatic parenchyma can be preserved by dividing the pancreas, but there is always a risk of not achieving tumor-free margins [6, 9]. If the hepatomesenteric trunk courses ventral to the pancreas, it can be displaced and dissected from the surface of the pancreas and a standard pancreaticoduodenectomy is performed. When a hepatomesenteric trunk has anastomotic connection to the left gastric artery or another accessory artery, ligation will result in no compromise to the blood supply [4]. In cases where the common hepatic artery is divided either inadvertently or for oncological purposes, it should be reconstructed using an autologous vascular graft such as the gastroduodenal artery or saphenous vein [2, 3, 6, 9].
Prevention of the injury is the best policy. Hence, an early step in every pancreaticoduodenectomy should be a conscious attempt to define the vascular anatomy. After a complete kocherization and opening of the pars flaccida, the porta hepatis should be palpated to determine the location of the arterial pulsation [2, 3, 6, 9]. Any variation in the normal location of the proper hepatic artery pulsations should raise a suspicion of an aberrant artery.
CONCLUSION
The all-important factor in the management of vascular anomalies is its recognition. There are multiple approaches to deal with an anomalous vessel interfering with the pancreatic resection. These include avoidance, ligation, dissection and traction away from the site of dissection and division and anastomosis. Forewarning in the form of clues provided by preoperative imaging can help better preparation and planning by the surgical team, decreasing the chances of intraoperative vascular injury and potentially help in avoiding postoperative complications.
Received June 11th, 2013 – Accepted September 11th, 2013
Key words Disease Management; Pancreaticoduodenectomy
Conflict of interest The authors have no potential conflict of interests
Correspondence
Ashwin
Rammohan
Institute of Surgical Gastroenterology and Liver Transplantation
Centre for GI Bleed
Division of HPB Diseases
Stanley Medical College Hospital
Chennai, 600 001
India
Phone: : +91-44.2528.9595
Fax: +91-44.2528.9595
E-mail: ashwinrammohan@gmail.com
References
1. Hiatt JR. Gabbay J, Busuttil RW. Surgical anatomy of the hepatic arteries in 1000 cases. Ann Surg 1994;220:50-2.
2. Rong GH, Sindelar WF. Aberrant peripancreatic arterial anatomy: considerations in performing pancreatectomy for malignant neoplasms. Am Surg. 1987;53:726–9.
3. Shukla PJ, Barreto SG, Kulkarni A, et al Vascular Anomalies Encountered During Pancreatoduodenectomy: Do They Influence Outcomes? Ann Surg Oncol 2010;17:186–193
4. Yamamoto S, Kubota K, Rokkaku K, et al. Disposal of replaced common hepatic artery coursing within the pancreas during pancreatoduodenectomy: report of a case. Surg Today 2005;35:984-7
5. Michels NA. Newer anatomy of the liver and its variant blood supply and collateral circulation. Am J Surg 1966;112:337-47.
6. Chamberlain RS, El-Sedfy A, Rajkumar D. Aberrant Hepatic Arterial Anatomy And The Whipple Procedure: Lessons Learned Am Surg 2011;77: 517-526
7. Song SY, Chung JW, Yin YH, et al. Celiac Axis and Common Hepatic Artery Variations in 5002 Patients: Systematic Analysis with Spiral CT and DSA. Radiology. 2010;255(1):278-88
8. Suzuki T, Nakayasu A, Kawabe K, Takeda H, Honjo I. Surgical significance of anatomic variations of the hepatic artery. Am J Surg. 1971;122:505–12.
9. Woods MS, Traverso LW, Sparing a replaced common hepatic artery during pancreaticoduodenectomy. Am Surg. 1993;59:719–21
10. Miyamoto N, Kodama Y, Endo H, Shimizu T, Miyasaka K, Tanaka E et al. Embolization of the replaced common hepatic artery before surgery for pancreatic head cancer: report of a case. Surg Today 2004;34:619–622.
11. Winston CB, Lee NA, Jarnagin WR, Teitcher J, DeMatteo RP, Fong Y, et al. CT Angiography for delineation of celiac and superior mesenteric artery variants in patients undergoing hepatobiliary and pancreatic surgery. Am J Roentgenol. 2007; 188:W13–9.
12. Brennan D, Zamboni G, Sosna J, Callery MP, Vollmer CM, Raptopoulos VD, et al. Virtual Whipple: preoperative surgical planning with volume-rendered MDCT images to identify arterial variants relevant to the Whipple procedure. AJR Am J Roentgenol. 2007;188:W451–5.