CASE REPORT
Primary Squamous Cell Carcinoma of the Ampulla of Vater
Helen Bolanaki1, Alexandra Giatromanolaki2, Efthimios Sivridis2, Anastasios J Karayiannakis1
1Second Department of Surgery and 2Department of Pathology, Democritus University of Thrace Medical School. Alexandroupolis, Greece
Abstract
Context Squamous carcinoma of the ampulla of Vater is a very rare tumor with only three cases been reported so far. Case report Here, we report the case of a 68-year-old man who presented with painless obstructive jaundice, general fatigue, loss of appetite and weight loss. Laboratory tests revealed hypochromic anemia. Total and direct bilirubin, alkaline phosphatase, liver enzymes, carbohydrate antigen 19-9 (CA 19-9) and carcinoembryonic antigen (CEA) were all elevated. Abdominal ultrasonography and computed tomography showed a distended gallbladder, dilatation of the intra- and extra-hepatic bile ducts and enlargement of the pancreatic head. Endoscopic retrograde cholangiopancreatography revealed a bulging papilla with infiltrative growth at the ampulla of Vater but endoscopic biopsies were inconclusive. The patient was treated with classical Whipple’s pancreaticoduodenectomy. Histopathological examination showed a moderately differentiated squamous cell carcinoma. Multiple serial sectioning of the tumor specimen failed to detect an adenomatous component. Regional lymph nodes and resection margins were free of tumor and the disease was classified as stage IIA (T3N0M0) according to the TNM system. Adjuvant treatment was not given. Despite curative resection, multiple liver metastases developed after four months and the patient succumbed to progressive hepatic failure 5 months after the operation. Conclusion Primary pure squamous cell carcinoma of the ampulla of Vater is a very rare histological type of carcinoma. Clinical characteristics and optimal treatment are obscure. Primary surgical treatment with curative intent should be performed although this type of carcinoma associates with dismal prognosis.
Introduction
Primary malignant tumors originating from the papilla of Vater are mostly adenocarcinomas accounting for about 1% of all adenocarcinomas and approximately for 5% of gastrointestinal tract carcinomas. Other forms such as pure squamous cell [1, 2, 3] or adenosquamous [4, 5, 6] carcinomas are extremely rare with only three cases of each reported so far in the literature. Traditionally, ampullary adenocarcinomas are considered to have a better prognosis after surgical resection compared to other periampullary carcinomas such as pancreatic head and lower common bile duct carcinomas. However, the biologic behavior, optimal treatment and prognosis of squamous cell carcinomas of the ampulla of Vater are largely unknown because clinical data are lacking. Here, we describe a patient with primary squamous cell carcinoma of the ampulla of Vater who was successfully treated by resectional surgery.
Case report
A 68-year-old man was admitted because of painless obstructive jaundice of 10-day duration when he noticed yellow colored scleras, dark colored urine and stool discoloration. He also reported general fatigue, loss of appetite and weight loss (9 kg) over the last two months. His past medical history was unremarkable and his family history was negative for malignancy or familial cancer syndrome. On physical examination the skin and sclera appeared yellow. Abdominal examination revealed mild tenderness in the right upper abdominal quadrant but was otherwise normal.
Laboratory tests revealed hypochromic anemia with hemoglobin levels at 11.7 g/dL (reference range: 13.5-17.5 g/dL) and hematocrit at 33.3% (reference range: 40-54%). Liver function tests were also elevated: aspartate aminotransferase (AST): 42 IU/L (reference range: 0-33 IU/L), alanine aminotransferase (ALT): 70 IU/L (reference range: 0-31 IU/L), γ-glutamyltranspeptidase: 491 IU/L (reference range: 7-32 IU/L), alkaline phosphatase: 238 IU/L (reference range: 30-120 IU/L), total bilirubin: 10.0 mg/dL (reference range: 0.3-1.2 mg/dL), direct bilirubin: 8.0 mg/dL (reference range: 0.0-0.2 mg/dL). Serum levels of carbohydrate antigen 19-9 (CA 19-9) and carcinoembryonic antigen (CEA) were elevated at 863 U/mL (reference range: 0-37 U/mL) and 41.7 ng/mL (reference range: 0.9-5.4 ng/mL), respectively.
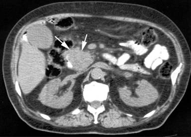
Abdominal ultrasonography showed a distended gallbladder, dilatation of the intra- and extra-hepatic bile ducts but not gallstones. An endoscopic retrograde cholangiopancreatography (ERCP) revealed a bulging papilla with infiltrative growth at the ampulla of Vater but endoscopic biopsies were inconclusive. The performed computed tomography (CT) of the abdomen showed enlargement of the pancreatic head (Figure 1). There were no hepatic lesions or enlarged intra-abdominal lymph nodes. These findings were confirmed at operation, and a classical Whipple’s pancreaticoduodenectomy was performed.

|
Figure 1. Abdominal CT scan showing enlargement of the pancreatic head (arrows). |
The macroscopic inspection of the resected specimen revealed a 5 cm, solid, whitish and ulcerated tumor originating from the ampulla of Vater and invading the pancreatic head through the duodenal wall (Figure 2). Histopathological examination showed a moderately differentiated squamous cell carcinoma. Multiple serial sections of the tumor specimen failed to detect an adenomatous component. Tumor cells were highly pleomorphic, arranged in solid nests or sheets with individual cell keratinization, intercellular bridges and well-formed keratin pearls (Figure 3). Immunohistochemical analysis showed that the tumor cells were positive for epithelial membrane antigen, pan-keratins and CEA but negative for cytokeratins 8, 18 and 19, S-100 protein, neuron specific enolase, chromogranin and ΗΜΒ45. Regional lymph nodes and resection margins were free of tumor and the disease was classified as stage IIA (T3N0M0) according to the sixth edition (2002) of the TNM system.

|
Figure 2. Detail of the transected gross specimen, showing the gray-white tumor tissue located within the wall of the ampulla of Vater (arrows). CBD: common bile duct. |

|
Figure 3. Microscopic appearance of a primary squamous cell carcinoma of the ampulla of Vater. Note keratinized cells with intercellular bridges (arrow). (H&E, original magnification x200). |
The patient's postoperative course was uneventful and he was discharged on the eighth postoperative day. Adjuvant treatment was not given and the patient remained under close follow-up. Four months after surgery an abdominal CT scan revealed multiple liver metastases, the patient refused any further treatment and eventually died one month later.
Discussion
The ampulla of Vater represents the common channel within the duodenal wall where the distal bile duct and the main pancreatic duct converge before emptying into the duodenum through the papilla although anatomic variations exist and about 10% of humans do not have a true common channel. Most ampullary tumors are adenocarcinomas arising either from the duodenal mucosa covering the papilla or from the pancreaticobiliary ampullary mucosa. Accordingly, two different types of ampullary carcinomas have been described, namely the intestinal and the pancreaticobiliary types. These two subtypes resemble duodenal and pancreatic carcinomas respectively, but have distinct histological and immunohistochemical features, and different molecular alterations, tumor growth and biology and clinical outcome or prognosis [7, 8, 9]. The ampulla of Vater is devoid of squamous epithelium and, therefore, the pathogenesis of ampullary squamous cell carcinoma remains elusive. Pure primary squamous cell carcinoma may be the result of malignant transformation of ectopic squamous epithelium or may originate from undifferentiated primitive multipotent cells. Squamous metaplasia and malignant transformation of ampullary epithelium in cases of chronic inflammation due to pancreaticobiliary maljunction, bile and pancreatic juice reflux, Caroli’s disease, choledochal cyst, choledocholithiasis, primary sclerosing cholangitis, ascariasis or liver fluke infestation has been postulated as a possible mechanism for this type of carcinoma but none of these factors was present in our patient. Transformation of an adenocarcinoma into adenosquamous and eventually to squamous cell carcinoma could be another possible mechanism. In these cases adenosquamous changes can be detected histologically. In our case, squamous cell carcinoma was observed in all areas of the tumor, thorough sampling of the tumor specimen by multiple serial sections failed to detect an adenomatous component, there was no evidence of squamous metaplasia, the immunohistochemical profiling excluded a neuroendocrine component in the tumor and extensive preoperative investigation excluded the presence of a primary squamous cell cancer elsewhere and, therefore, we consider this case as a pure primary squamous cell carcinoma of the ampulla of Vater. To the best of our knowledge, there have been only three case reports of ampullary squamous cell carcinoma in the literature so far [1, 2, 3] with one of these being metastatic squamous cell carcinoma [3] and another one being coexistent with a well-differentiated adenocarcinoma of the distal pancreatic duct [1].
The clinical presentation of squamous cell carcinoma of the ampulla of Vater is similar to that of other ampullary tumors with painless obstructive jaundice being the predominant syndrome and biochemical and tumor marker (both CA 19-9 and CEA) alterations being common as seen in this case. Imaging studies such as abdominal CT scan, magnetic resonance imaging and/or magnetic resonance cholangiopancreatography, and ERCP can reveal the tumor but histological diagnosis is not always possible as in our case where the tumor was located deeply into the ampulla and endoscopic biopsies were not diagnostic.
The optimal treatment and the prognosis of squamous cell carcinoma of the ampulla of Vater are elusive because of the rarity of this condition. Surgery is the corner stone in the management of malignant tumors of the ampulla of Vater irrespective of their histology consisting of Whipple’s pancreaticoduodenectomy with curative intention. This was achieved in our patient and also in two of previously reported cases [1, 2]. Our further policy was to follow-up him closely after surgery. However, multiple liver metastases were detected four months after surgery despite the fact that he had a non metastatic carcinoma and underwent curative resection. Further treatment was discussed at that time but the patient refused any further treatment and eventually died one month later with an overall survival of 5 months after surgery. This is a rather unexpected disease course and outcome for an ampullary carcinoma. Ampullary adenocarcinomas are considered to have a better prognosis after surgical resection compared to other periampullary carcinomas, namely carcinomas of the pancreatic head and of the lower common bile duct, probably because of early manifestation of symptoms due to their location and/or inherent features regarding tumor biology, growth and progression. Nevertheless, the squamous component confers worse prognosis in adenosquamous carcinomas of the biliary tract with pure squamous cell carcinomas having the worst survival [10, 11]. Therefore, postoperative adjuvant chemotherapy and/or radiotherapy should be also considered in patients with primary squamous cell carcinoma of the ampulla of Vater. Anticipating further evidence through increased numbers of reported cases some information might be extrapolated by adjuvant treatment of pancreaticobiliary squamous cell or adenosquamous carcinomas. Intraoperative radiotherapy and/or postoperative external radiation and/or chemotherapy using a variety of agents have been used for adenosquamous carcinomas of the gallbladder and of the extrahepatic bile duct suggesting better local disease control although with minimal or no survival benefit [10, 11, 12, 13, 14, 15] and may be also useful for squamous cell ampullary carcinomas.
In summary, primary pure squamous cell carcinoma of the ampulla of Vater is a very rare histological type of carcinoma. Its clinicopathological characteristics and optimal treatment are obscure and no information is available on patient survival. This case report suggests that primary surgical treatment with curative intent should be performed although this type of carcinoma associates with dismal prognosis. Further documentation of this rare tumor will provide a better understanding of its pathogenesis and management for optimal survival rates.
Received June 12th, 2013 – Accepted October 12th, 2103
Key words Ampulla of Vater /pathology /surgery; Carcinoma, Squamous Cell /pathology /surgery; Pancreaticoduodenectomy
Conflict of interest The authors have no potential conflict of interests
Correspondence
Anastasios
J Karayiannakis
Second Department of Surgery
Democritus University of Thrace Medical School
68100 Alexandroupolis
Greece
Phone: +30-2551.074.006
Fax: +30-2551.030.420
E-mail: akarayan@usa.net
References
1. Pathak GS, Deshmukh SD, Yavalkar PA, Ashturkar AV. Coexistent ampullary squamous cell carcinoma with adenocarcinoma of the pancreatic duct. Saudi J Gastroenterol 2011; 17:411-3. [PMID 22064341]
2. Gupta A, Kumar S, Kumaresh TS, Gupta S, Makhija M, Singh B. Primary squamous cell carcinoma of the ampulla of Vater - a rare entity. The Internet Journal of Surgery 2010; 22(2).
3. Chen CM, Wu CS, Tasi SL, Hung CF, Chen TC. Squamous cell carcinoma of the ampulla of Vater: a case report. Changgeng Yi Xue Za Zhi 1996; 19:253-7. [PMID 8921644]
4. Ueno N, Sano T, Kanamaru T, Tanaka K, Nishihara T, Idei Y, Yamamoto M, Okuno T, Kawaguchi K. Adenosquamous cell carcinoma arising from the papilla major. Oncol Rep 2002; 9:317-20. [PMID 11836599]
5. Song HG, Yoo KS, Ju NR, Park JC, Jung JO, Shin WG, Moon JH, Kim JP, Kim KO, Park CH, Hahn T, Park SH, Kim JH, Lee IJ, Min SK, Park CK. A case of adenosquamous carcinoma of the papilla of Vater. Korean J Gastroenterol 2006; 48:132-6. [PMID 16929159]
6. Yavuz E, Kapran Y, Ozden I, Bulut T, Dizdaroğlu F. Pancreatobiliary adenosquamous carcinoma (report of two cases). Pathologica 2000; 92:323-6. [PMID 11198466]
7. Kimura W, Futakawa N, Zhao B. Neoplastic diseases of the papilla of Vater. J Hepatobiliary Pancreat Surg 2004; 11:223-31. [PMID 15368105]
8. Fischer HP, Zhou H. Pathogenesis of carcinoma of the papilla of Vater. J Hepatobiliary Pancreat Surg 2004; 11:301-9. [PMID 15549428]
9. Westgaard A, Pomianowska E, Clausen OP, Gladhaug IP. Intestinal-type and pancreatobiliary-type adenocarcinomas: how does ampullary carcinoma differ from other periampullary malignancies? Ann Surg Oncol 2013; 20:430-9. [PMID 22956064]
10. Hong SM, Kim MJ, Jang KT, Yoon GS, Cho H, Frierson HF, Yu E. Adenosquamous carcinoma of extrahepatic bile duct: clinicopathologic study of 12 cases. Int J Clin Exp Pathol 2008; 1:147-56. [PMID 18784802]
11. Yamana I, Kawamoto S, Nagao S, Yoshida T, Yamashita Y. Squamous cell carcinoma of the hilar bile duct. Case Rep Gastroenterol 2011; 5:463-70. [PMID 21960950]
12. Abbas R, Willis J, Kinsella T, Siegel C, Sanabria J. Primary squamous cell carcinoma of the main hepatic bile duct. Can J Surg 2008; 51:E85-6. [PMID 18815636]
13. Lim SH, Yang HW, Kim A, Cha SW, Jung SH, Go H, Lee WC. Adenosquamous carcinoma of extrahepatic bile duct: a case report. Korean J Intern Med 2007; 22:206-10. [PMID 17939340]
14. Sugawara G, Yamaguchi A, Isogai M, Watanabe Y, Kaneoka Y, Suzuki M. Small cell neuroendocrine carcinoma of the ampulla of Vater with foci of squamous differentiation: a case report. J Hepatobiliary Pancreat Surg 2004; 11:56-60. [PMID 15747032]
15. Kodavatiganti R, Campbell F, Hashmi A, Gollins SW. Primary squamous cell carcinoma of the pancreas: a case report and review of the literature. J Med Case Rep 2012; 6:295. [PMID 22973995]