HIGHLIGHT ARTICLE
JOP. J Pancreas (Online) 2013 July 10; 14(4):388-390.
Highlights on Novel Imaging Methods of Pancreatic Cancer
Highlights from the “2013 ASCO Annual Meeting”. Chicago, IL, USA; May 30 - June 4, 2013
Saravanan Kokila Krishnamoorthy1, Morris Hayim2, Tyler Vestal1, Muhammad Wasif Saif3
1Department of Radiology, Columbia University. New York, NY, USA. 2Department of Radiology, University of Massachusetts Medical Center. Worcester, MA, USA. 3Department of Medicine and Cancer Center, Tufts Medical Center. Boston, MA, USA
Summary
Pancreatic cancer is the fourth leading cause of cancer deaths. Since the majority of patients present with incurable metastatic disease, novel imaging methods are needed to identify pancreatic cancer and assess response to therapy. Research presented at the 2013 American Society of Oncology (ASCO) Annual Meeting provided insight into potential imaging methods. We discuss Abstracts #4049, #TPS4144, #TPS4146, and #E15069 in this paper.
What We Knew Before the 2013 American Society of Clinical Oncology (ASCO) Annual Meeting
Pancreatic cancer is the fourth leading cause of cancer deaths in men and women [1]. The five-year survival for all patients with pancreatic adenocarcinoma is less than 5% [2]. Metastatic pancreatic cancer remains a difficult disease to cure. Assessing response to treatment has been based primarily on the primitive Response Evaluation Criteria In Solid Tumors (RECIST) that has high variability [3, 4]. The usefulness of RECIST as an endpoint is suspect [5, 6]. Alternatives are needed that either: 1) assess the mechanism of the therapy; or 2) perform image feature analysis.
What We Learnt at the 2013 American Society of Clinical Oncology (ASCO) Annual Meeting
This paper summarizes the abstract presentations of pancreatic cancer imaging at recent ASCO Annual Meeting (Table 1).
|
Table 1. 2013 American Society of Clinical Oncology (ASCO) Annual Meeting: imaging of pancreatic cancer abstracts. |
|
|
Abstract |
Title |
|
#4049 [7] |
Clinical characterization of hypoxia in pancreatic ductal adenocarcinoma (PDAC) by 18F-FAZA PET and pimonidazole |
|
#E15069 [9] |
Comparing RECIST and Choi's criteria to evaluate radiological response to chemotherapy in patients with advanced pancreatic cancer |
|
#TPS4144 [13] |
Randomized phase II study of gemcitabine (G), cisplatin (C) with or without veliparib (V) (arms A, B) and a phase II single-arm study of single-agent veliparib (arm C) in patients with BRCA or PALB2-mutated pancreas adenocarcinoma (PC) |
|
#TPS4146 [18] |
Pilot, proof-of-concept studies for determining the feasibility of the use of FLT-PET in patients with pancreatic adenocarcinoma |
Clinical Characterization of Hypoxia in Pancreatic Ductal Adenocarcinoma (PDAC) by 18F-FAZA PET and Pimonidazole (Abstract #4049 [7])
Pimonidazole has been studied as a marker of hypoxia in malignancy for over a decade [8]. By administrating pimonidazole into tumors, immunohistochemistry can be performed of pathology specimens to assess for hypoxia. Since certain therapies attempt to treat pancreatic adenocarcinoma via hypoxia, imaging of hypoxia may allow us to non invasively assess treatment response without the randomness and risks of needle biopsy. In this study, 16 patients were imaged with PET using 18F-fluoroazomycin arabinoside (FAZA) as a functional tracer for hypoxia. The PET-CT images were registered with the immunohistochemistry slices to correlate the uptake on PET to histopathology of the surgically resected cancer. In this small sample of studies, a SUVmax of 1.27 defined the threshold for hypoxic percent of 0-60% with minimal hypoxia of less than 10%.
Comparing RECIST and Choi’s Criteria to Evaluate Radiological Response to Chemotherapy in Patients with Advanced Pancreatic Cancer (Abstract #e15069 [9])
Since there are significant limitations to assessing treatment response by single dimensional measurements, there has been intense interest in finding advanced imaging features that may perform with less variability and better accuracy. The mean density of malignant tissue on CT can decrease with response to treatment as the neoplastic cells become necrotic. Choi’s criteria has been studied in other tumors, such as gastrointestinal stromal tumors [10], melanoma [6], and colorectal metastases to the liver [11]. In this study, RECIST and the Choi’s criteria were used as biomarkers for overall survival in 66 patient with locally advanced adenocarcinoma (40 patients) and metastatic disease (26 patients). The patients received either gemcitabine or FOLFIRINOX (5-fluorouracil, oxaliplatin, irinotecan, leucovorin). Choi’s criteria had a significant difference between partial response, stable disease, and progressive disease (Table 2). Only the Choi’s criteria showed a significant difference between: 1) partial response plus stable disease; and 2) progressive disease with a P=0.02.
|
Table 2. Response Evaluation Criteria In Solid Tumors (RECIST) versus Choi’s criteria (Vecchiarelli et al. Abstract #e15069 [9]). |
|||
|
Criteria |
Overall survival (months) |
||
|
Partial |
Stable |
Progressive |
|
|
RECIST (P=0.05) |
13.5 |
13.7 |
10.0 |
|
Choi’s (P=0.004) |
14.0 |
16.4 |
9.7 |
Discussion
Functional imaging or advanced image feature analysis offer the potential for improved assessment of treatment response in pancreatic adenocarcinoma as compared to RECIST. Hypoxia imaging is one method that is important since certain chemotherapy agents work via hypoxia. Nascente et al. showed the feasibility of correlating surgically resected specimens with PET imaging [7]. This pilot data can be used to perform a study with a larger number of patients in order to determine if hypoxia imaging with 18F-FAZA PET will correlate with overall survival. If such a study is positive, then 18F-FAZA PET may allow for selecting patients who will respond to hypoxia chemotherapy.
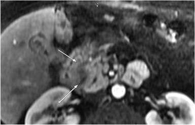
An alternative approach is to perform advanced image feature analysis. One such feature is the density of a mass on CT (Choi’s critera) rather than a single dimension, as with RECIST. Vecchiarelli et al. showed that the Choi’s criteria may be a better biomarker of overall survival than RECIST [9]. One reason for concern with monitoring changes in the imaging features of pancreatic adenocarcinoma on imaging is the ill-defined margins that are classic for this cancer (Figure 1). Therefore, differences in imaging parameters and difficulty in identifying the full volume of the mass may cause this technique to fail when applied in multiple centers.

|
Figure 1. Contrast enhanced MRI of pancreatic adenocarcinoma (arrows) with the characteristic ill defined margins that render this type of cancer difficult to delineate. |
Given the positive result with other image features in other malignancies, such as lung, further work can be done using additional imaging features with existing research software [12]. By employing such techniques, we will better understand the robustness of these imaging features.
The remainder of the studies are in progress. Abstract #TPS4144 addressed the interesting category of BRCA or PALB2-mutated pancreas adenocarcinoma with phase II arms [13]. Since multicenter trials for the most part involve standard RECIST criteria, it is uncertain how robust the future data from this study will be if expanded to a larger population. Furthermore, drug dosing is typically capped by toxicity rather than response in imaging, which means some patients will not tolerate the chemotherapy. An alternative method is to determine the dosing needed to render a change on imaging, as has been shown using dynamic contrast enhancing MRI before and after anti-angiogenesis drugs at various dosing levels [14].
In the realm of functional imaging, fluorinated thymidine analog, 3’-deoxy-3’-(18F) fluorothymidine (FLT) PET has shown promise in a variety of cancers [15, 16, 17] as a biomarker of tumor-proliferating activity since FLT is phosphorylated by thymidine kinase-1. The research outlined in Abstract #TPS4146 is a proof of concept study to assess the feasibility of FLT-PET in pancreatic adenocarcinoma [18].
Key words (18F)-1-alpha-D-(2-deoxy-2-fluoroarabinofuranosyl)-2-nitroimidazole; Pancreatic Neoplasms; Positron-Emission Tomography; Predictive Value of Tests
Abbreviations FAZA: 18F-fluoroazomycin arabinoside; FLT: 3’-deoxy-3’-(18F) fluorothymidine
Conflict of interest The authors have no potential conflict of interest
Correspondence
Saravanan
Kokila Krishnamoorthy
Department of Radiology. Columbia University
180 Fort Washington Avenue, 3rd Floor
Harkness Pavillion, Room 313
New York, NY 10032
USA
Phone: +1-212.305.9729
Fax: +1-212.305.5777
E-mail: sk3552@columbia.edu
References
1. Jemal A, Siegel R, Xu J, et al. Cancer statistics, 2010. CA Cancer J Clin 2010;60:277-300.
2. Siegel R, Naishadham D, Jemal A. Cancer statistics, 2012. CA Cancer J Clin 2012;62:10-29.
3. Muenzel D, Engels HP, Bruegel M, et al. Intra- and inter-observer variability in measurement of target lesions: implication on response evaluation according to RECIST 1.1. Radiol Oncol. 2012 Mar;46(1):8-18.
4. Zhao B, Tan Y, Bell DJ, et al. Exploring intra- and inter-reader variability in uni-dimensional, bi-dimensional, and volumetric measurements of solid tumors on CT scans reconstructed at different slice intervals. Eur J Radiol. 2013 Jun;82(6):959-68.
5. Katz MH, Fleming JB, Bhosale P, et al. Response of borderline resectable pancreatic cancer to neoadjuvant therapy is not reflected by radiographic indicators. Cancer. 2012 Dec 1;118(23):5749-56.
6. Uhrig M, Hassel JC, Schlemmer HP, et al. Therapy response assessment in metastatic melanoma patients treated with a BRAF inhibitor: adapted Choi criteria can reflect early therapy response better than does RECIST. Acad Radiol. 2013 Apr;20(4):423-9.
7. Nascente CM, Dhani NC, Vines D, Yeung I, Metser U, Serra S, et al. Clinical characterization of hypoxia in pancreatic ductal adenocarcinoma (PDAC) by 18F-FAZA PET and pimonidazole. J Clin Oncol 31, 2013 (Suppl.): Abstract #4049.
8. Varia MA, Calkins-Adams DP, Rinker LH, et al. Pimonidazole: a novel hypoxia marker for complementary study of tumor hypoxia and cell proliferation in cervical carcinoma. Gynecol Oncol. 1998 Nov;71(2):270-7.
9. Vecchiarelli S, Macchini M, Grassi E, Ferroni F, Ciccarese F, Calculli L, et al. Comparing RECIST and Choi’s criteria to evaluate radiological response to chemotherapy in patients with advanced pancreatic cancer. J Clin Oncol 31, 2013 (Suppl.): Abstract #e15069.
10. Schramm N, Englhart E, Schlemmer M, et al. Tumor response and clinical outcome in metastatic gastrointestinal stromal tumors under sunitinib therapy: comparison of RECIST, Choi and volumetric criteria. Eur J Radiol. 2013 Jun;82(6):951-8.
11. Chung WS, Park MS, Shin SJ, et al. Response evaluation in patients with colorectal liver metastases: RECIST version 1.1 versus modified CT criteria. AJR Am J Roentgenol. 2012 Oct;199(4):809-15.
12. Lee HJ, Kim YT, Kang CH, et al. Epidermal Growth Factor Receptor Mutation in Lung Adenocarcinomas: Relationship with CT Characteristics and Histologic Subtypes. Radiology. 2013 Mar 7. [Epub ahead of print].
13. O'Reilly EM, Lowery MA, Yu KH, Capanu M, Stadler ZK, Epstein AS, et al. Randomized phase II study of gemcitabine (G), cisplatin (C) with or without veliparib (V) (arms A, B) and a phase II single-arm study of single-agent veliparib (arm C) in patients with BRCA or PALB2-mutated pancreas adenocarcinoma (PC). J Clin Oncol 31, 2013 (Suppl.): Abstract #TPS4144.
14. Yopp AC, Schwartz LH, Kemeny N, et al. Antiangiogenic therapy for primary liver cancer: correlation of changes in dynamic contrast-enhanced magnetic resonance imaging with tissue hypoxia markers and clinical response. Ann Surg Oncol. 2011 Aug;18(8):2192-9.
15. McKinley ET, Smith RA, Zhao P, et al. 3'-Deoxy-3'-18F-fluorothymidine PET predicts response to (V600E)BRAF-targeted therapy in preclinical models of colorectal cancer. J Nucl Med. 2013 Mar;54(3):424-30.
16. Corroyer-Dulmont A, Pérès EA, Petit E, et al. Detection of glioblastoma response to temozolomide combined with bevacizumab based on μMRI and μPET imaging reveals (18F)-fluoro-L-thymidine as an early and robust predictive marker for treatment efficacy. Neuro Oncol. 2013 Jan;15(1):41-56.
17. Contractor K, Challapalli A, Tomasi G, et al. Imaging of cellular proliferation in liver metastasis by (18F)-fluorothymidine positron emission tomography: effect of therapy. Phys Med Biol. 2012 Jun 7;57(11):3419-33.
18. Lamarca A, Manoharan P, Asselin MC, Trigonis I, Hindmarsh P, Wood S, et al. Pilot, proof-of-concept studies for determining the feasibility of the use of FLT-PET in patients with pancreatic adenocarcinoma. J Clin Oncol 31, 2013 (Suppl.): Abstract #TPS4146.