CASE REPORT
JOP. J Pancreas (Online) 2013 Nov 10; 14(6):632-635.
Uncommon Lymphoepithelial Cyst with Sebaceous Glands of the Pancreas
Tsukasa Nakamura1,2, Yoshio Osaka2, Shoichi Ishikawa2, Hirotaka Sako2, Naoaki Akamatsu3, Yoshihiro Yamamoto4, Yohei Hosokawa4, Norio Yoshimura1
1Department of Organ Transplantation and General Surgery, Kyoto Prefectural University of Medicine. Kamigyo-ku, Kyoto, Japan. Departments of 2Surgery, 3Gastroenterology, and 4Pathology, Omihachiman Medical Community Center. Omihachiman, Shiga, Japan
ABSTRACT
Context Lymphoepithelial cysts with sebaceous glands of the pancreas are extremely rare, with only 7 cases, including this case, published in English literature. Case report We herein present the case of a 67-year-old Asian man who underwent a resection of a lymphoepithelial cyst of the pancreas during the follow up care for lung cancer. Fourteen years previously he underwent a right lower lobectomy at the right segment nine for lung cancer. A 20 mm mass in the body of the pancreas was identified by CT scan 4 years ago, and the diagnosis was intraductal papillary mucinous neoplasm (IPMN) at that time. Over a 5-year period, this mass grew to 42 mm without dilatation of the main pancreatic duct. The preoperative evaluation, including endoscopic ultrasound-guided fine-needle aspiration (EUS-FNA), indicated a cystic neoplasm with suspicion of malignancy. Intraoperative frozen section revealed a squamous-lined cyst accompanied by sebaceous glands without any malignant findings. Following this pathological finding, resection of the cyst was performed. Consequently, microscopic examination revealed that it was a lymphoepithelial cyst with sebaceous glands of the pancreas. Conclusions Pancreatic lymphoepithelial cysts can be cured by conservative resection, but if they are asymptomatic and are diagnosed before surgery, no treatment is necessary. To our knowledge, this is the first ever published case of a lymphoepithelial cyst with sebaceous glands of the pancreas, which was found during the follow up care for lung cancer.
INTRODUCTION
Squamous-lined cysts of the pancreas, which are classified as cystic pancreatic lesions, are divided into three types: lymphoepithelial cysts (LECs); epidermoid cysts in intrapancreatic accessory spleen; dermoid cysts [1]. Squamous-lined cysts of the pancreas are generally considered as benign lesions [2, 3, 4]. Etiology of LECs is uncertain, as it is difficult to obtain a correct diagnosis preoperatively, and a subsequent resection is often inevitably performed. Luchtranth and Schriefers [5] described LECs first in 1985, and fewer than 90 cases have been reported since then. From the first case of pancreatic LECs with sebaceous glands published by Fitko et al. in 1994 [6], this lesion represents a rare entity with 7 cases, including the present one, reported in the international articles [6, 7, 8, 9, 10, 11]. Here we present pancreatic LECs with sebaceous glands, in order to promote awareness of this rare entity and the appropriate surgical management.
CASE REPORT
A 67-year-old Asian man with a medical history of lung cancer (well differentiated adenocarcinoma stage I) 14 years previously was followed up at our outpatient clinic after a right lower lobectomy. His serum HIV antibody was negative and there was no other significant medical history. A 20 mm mass in the body of the pancreas, which was a small cystic lesion in 2002, was clearly identified by CT scan and MRI in 2008, 2012, and 2013 respectively (Figures 1 and 2). Subsequent diagnosis of a serous adenoma based on diagnostic imaging and EUS-FNA had been obtained 2 years previously. However, there was a growing tendency, from 20 mm to 42 mm, over the 5-year period, and consequently we decided to resect the lesion. A transition of carcinogenic antigen 19-9 (CA 19-9) during this follow up period is illustrated in Figure 3. The intraoperative frozen section revealed a squamous-lined cyst accompanied by sebaceous glands without any malignant findings. Subsequently, resection of the cyst was performed. Chemical analysis of the cyst fluid was not performed due to an extremely small amount of fluid.

|
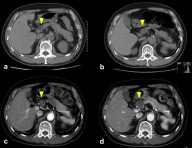
Figure 1. CT scan revealed a cystic lesion at the pancreatic body (yellow arrow head) in 2002 which slowly advanced over the 5 years: 40 mm mass in 2013 (a. 2002; b. 2008; c. 2012; d. 2013). |

|
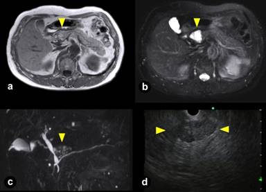
Figure 2. Magnetic resonance imaging (a., b., c.) and endoscopic ultrasonography (d.) of LECs with sebaceous glands in 2013. a. T1-weighted image revealed hypo- and hyper-intensity (yellow arrow head). b. T2-weighted image identified a hyper-intense polycystic lesion which protruded toward extra-pancreas (yellow arrow head). c. MRCP also revealed a polycystic lesion which resembled cheerios-like appearance (yellow arrow head). d. EUS revealed a solid-appearing lesion, measuring 4 cm, with slight posterior enhancement in the pancreatic head (between yellow arrow heads). |

|
Figure 3. Pathological findings for the lymphoepithelial cysts revealed that the cysts contained sebaceous glands (yellow arrow head) and were surrounded by squamous-lined epithelium, accompanied by infiltration of lymphocytes and plasma cells with a dense lymphoid follicle inside the cystic wall. CA 19-9 label immunohistology demonstrated CA19-9 expression in squamous epithelium. |
Macroscopically, the 4.2x2.4x2.2 cm surgical specimen, which weighed 9 g, demonstrated a polycystic lesion filled with soft cheesy material (Figure 4). Microscopic pathological findings revealed that the cysts contained sebaceous glands and were surrounded by squamous-lined epithelium, accompanied by infiltration of lymphocytes and plasma cells with a dense lymphoid follicle inside the cystic wall (Figure 3). These findings were consistent with LECs with sebaceous glands of the pancreas.

|
Figure 4. The cysts are enveloped by a fibrotic capsule and separated from the pancreatic parenchyma. A cross section of the cysts demonstrated a polycystic lesion and filled with soft cheesy material. |
His clinical course was stable without complications, and he was discharged after 11 days of hospitalization.
DISCUSSION
All cases of squamous-lined cysts (LECs, epidermoid cysts in intrapancreatic accessory spleen, and dermoid cysts) are rare; roughly 90, 50, and 35 cases published in the literature respectively at this moment. To our knowledge, LECs with sebaceous glands of the pancreas are extremely rare with only 7 cases reported in the worldwide articles (Table 1). Interestingly, all cases are middle-aged males: namely, the mean age is 60.7±7.0 year-old. The mean size is 5.4±2.1 cm (range: 4.0-10.0 cm) which is slightly larger than the mean of LECs (4.7 cm) [1].
|
Table 1. Summary of previous reported LECs with sebaceous glands. |
|||||||||||
|
Reference |
Age |
Sex |
Symptoms |
Location |
Size |
CA 19-9 |
Loculation |
HIV |
Diagnostic |
FNA diagnosis |
Surgery |
|
Fitko [6] |
60 |
M |
Abdominal pain |
Body |
4.5x2.2x2 |
N/A |
Unilocular |
N/A |
CT, US, FNA |
Not obtained |
Resection |
|
Koga [7] |
62 |
M |
Asymptomatic |
Head |
5.2x5.2 |
N/A |
Multilocular |
N/A |
CT, US, MRI, ERCP |
N/A |
PD |
|
Rino [8] |
58 |
M |
Asymptomatic |
Head |
5x5x5 |
39 |
Multilocular |
N/A |
CT, ERCP, US, FNA |
Obtained |
Resection |
|
Fukukura [9] |
70 |
M |
Diarrhea |
Tail |
10x7 |
N/A |
Unilocular |
N/A |
CT, MRI |
N/A |
DP |
|
Fujiwara [10] |
60 |
M |
Asymptomatic |
Tail |
4x3x3 |
98 |
Unilocular |
N/A |
CT, US, MRI, ERCP |
N/A |
Resection |
|
Hebert [11] |
48 |
M |
Asymptomatic |
Body |
5x4x3 |
N/A |
Unilocular |
N/A |
CT, EUS, FNA |
Obtained |
Resection |
|
Present case |
67 |
M |
Asymptomatic |
Body |
4.2x2.4x2.2 |
69.2 |
Multilocular |
No |
CT, MRI, EUS, FNA |
Not obtained |
Resection |
|
CA 19-9: serum carcinogenic antigen 19-9; DP: distal pancreatectomy; M: male; N/A: not available information; PD: pancreaticoduodenectomy; R: resection |
|||||||||||
It seems there is still slight confusion in regard to categorization of squamous-lined cysts of the pancreas. However, cysts with dense lymphoid tissue and sebaceous glands, like this case, are categorized as LECs. The pathogenesis of LECs remains unclear. Therefore, it is important to obtain the correct diagnosis and investigate the natural history of LECs. It has been pointed out that there is a clear correlation between LECs of the parotid gland and HIV infection [12]. Furthermore, Bedat et al. [13] recently reported HIV seropositive LECs of the pancreas. However, within 7 reports of LECs with sebaceous glands (Table 1), there was no HIV positive patient. Further information regarding this correlation should be researched.
With regard to preoperative diagnosis of squamous-lined cysts of the pancreas, it is generally considered to be difficult. Although US, CT, MRI, and EUS-FNA are applied in the same way as other pancreatic tumors, there are some cases diagnosed as LECs of the pancreas preoperatively by means of EUS-FNA. Over the last two decades, EUS-FNA has been established as the mainstay tool for diagnosing pancreatic tumors [14]. However, the limitation in obtaining sufficient amount of tissue due to a narrow needle might lead to a difficulty in diagnosing, especially for a rare entity. Therefore, it can be argued that the utilization of CT-FNA, which can use a thicker needle, is effective for squamous-lined cysts of the pancreas. Although risk of dissemination should be paid attention, CT-FNA may be recommended for cases that cannot be diagnosed by EUS-FNA.
From the aspect of diagnostic imaging of squamous-lined cysts, the cysts tend to protrude toward extra-pancreas with a clear margin. This finding may help distinguish from a cystic adenocarcinoma of the pancreas. Although only epidermoid cysts in intrapancreatic accessory spleen have a preference location (pancreatic tail), LECs and dermoid cysts locate in any site of the pancreas.
Intraoperative findings are generally consistent with the diagnostic imaging mentioned above. The cysts are separated from the pancreatic parenchyma with a fibrotic capsule which makes exfoliation of LECs from the pancreas easy. Therefore, it is reasonable not to perform unnecessary surgery such as a pancreaticoduodenectomy or distal pancreatectomy, etc. Given the fact that there is no report that refers to a recurrence of LECs, resection of LECs of the pancreas should be recommended as a surgical procedure at this time. However, if they are asymptomatic and diagnosed correctly before surgery, no treatment is necessary.
It has been pointed out that in one case, that could not obtain a normalization of CA 19-9 after resection, LEC was combined with a pancreatic cancer [15]. Generally, LECs can be considered as benign lesions, but it is clearly important to observe patients closely in order not to overlook a combination of malignant tumors. Furthermore, a simple cystic wall sometimes produces CA 19-9. Following this argument, a serum CA 19-9 level cannot conclude as to whether it is a malignant or benign lesion. Considering our case, the patient has a medical history of lung cancer. Currently, there is no clear correlation between LECs and lung cancer, because a 14-year time lag is significant. However, accumulation of LECs may find pathogenesis in the future.
He will continue to need observation, with particular attention paid to recurrence of LECs or a combination of malignant tumors.
In summary, to date, there are only 7 reports that refer to LECs with sebaceous glands of the pancreas. Although preoperative correct diagnosis may be difficult, characteristic intra-operative findings and frozen section can help in diagnosis of LECs which will prevent unnecessary surgery. When correct diagnosis is obtained preoperatively, pure laparoscopic resection of LECs may be recommended for symptomatic LECs. As a result of this report, we would like to make clinicians more aware of LECs of the pancreas. When recognized and managed appropriately, laparoscopic resection will lead to better surgical management and improved outcome in patients with LECs.
Received June 16th, 2013 – Accepted August 2nd, 2013
Key words Epidermal Cyst; Pancreas; Pancreatic Cyst; Pancreatic Diseases; Sebaceous Glands
Abbreviations LEC: lymphoepithelial cyst
Conflict of interest statement None
Funding None
Correspondence
Tsukasa
Nakamura
Department
of Organ Transplantation and General Surgery
Kyoto Prefectural University of Medicine
Kajii-cho 465
Kamigyo-ku, Kyoto
Japan
Phone: +81-75.251.5532
Fax: +81-75.223.6189
E-mail: tsukasa@koto.kpu-m.ac.jp
References
1. Adsay, N. V., F. Hasteh, J. D. Cheng, and D. S. Klimstra, Squamous-lined cysts of the pancreas: lymphoepithelial cysts, dermoid cysts (teratomas), and accessory-splenic epidermoid cysts. Semin Diagn Pathol, 2000. 17(1): p. 56-65.
2. Osiro, S., J. R. Rodriguez, K. J. Tiwari, Rodriguez, II, N. Mathenge, R. S. Tubbs, et al., Is preoperative diagnosis possible? A clinical and radiological review of lymphoepithelial cysts of the pancreas. JOP, 2013. 14(1): p. 15-20.
3. Horn, A. J., and S. M. Lele, Epidermoid cyst occurring within an intrapancreatic accessory spleen. A case report and review of the literature. JOP, 2011. 12(3): p. 279-82.
4. Tucci, G., M. G. Muzi, C. Nigro, F. Cadeddu, D. Amabile, F. Servadei, et al., Dermoid cyst of the pancreas: presentation and management. World J Surg Oncol, 2007. 5: p. 85.
5. Luchtrath, H., and K. H. Schriefers, A pancreatic cyst with features of a so-called branchiogenic cyst. Pathologe, 1985. 6(4): p. 217-9.
6. Fitko, R., P. A. Kampmeier, F. H. Batti, R. A. Benjoya, and S. M. Rao, Lymphoepithelial cyst of the pancreas with sebaceous differentiation. Int J Pancreatol, 1994. 15(2): p. 145-7.
7. Koga, H., K. Takayasu, K. Mukai, Y. Muramatsu, Y. Mizuguchi, H. Furukawa, et al., CT of lymphoepithelial cysts of the pancreas. J Comput Assist Tomogr, 1995. 19(2): p. 221-4.
8. Rino, Y., T. Morohoshi, K. Funo, T. Imada, Y. Yamamoto, T. Jojima, et al., Lymphoepithelial cyst of the pancreas: a preoperatively diagnosed case based on an aspiration biopsy. Surg Today, 1995. 25(12): p. 1043-6.
9. Fukukura, Y., H. Inoue, N. Miyazono, Y. Kajiya, F. Fujiyoshi, T. Yano, et al., Lymphoepithelial cysts of the pancreas: demonstration of lipid component using CT and MRI. J Comput Assist Tomogr, 1998. 22(2): p. 311-3.
10. Fujiwara, H., N. Kohno, S. Nakaya, and Y. Ishikawa, Lymphoepithelial cyst of the pancreas with sebaceous differentiation. J Gastroenterol, 2000. 35(5): p. 396-401.
11. Hebert-Magee, S., D. Garvin, S. Ahlawat, and N. Haddad, Lymphoepithelial cyst of the pancreas with sebaceous differentiation: cytologic diagnosis by fine-needle aspiration. Diagn Cytopathol, 2009. 37(12): p. 937-9.
12. Steehler, M. K., M. W. Steehler, and S. P. Davison, Benign lymphoepithelial cysts of the parotid: long-term surgical results. HIV AIDS (Auckl), 2012. 4: p. 81-6.
13. Bedat, B., M. Genevay, J. M. Dumonceau, J. L. Frossard, J. Forget, P. Morel, et al., Association between lymphoepithelial cysts of the pancreas and HIV infection. Pancreatology, 2012. 12(1): p. 61-4.
14. Vilmann, P., G. K. Jacobsen, F. W. Henriksen, and S. Hancke, Endoscopic ultrasonography with guided fine needle aspiration biopsy in pancreatic disease. Gastrointest Endosc, 1992. 38(2): p. 172-3.
15. Shigeta, M., K. Okamura, Y. Fujita, Y. Kouchi, and H. Miyashita, Lymphoepithelial cyst of the pancreas associated with carcinoma of the pancreas: a case report. Jpn J Gastroenterol Surg, 2005. 38(4): p. 447-451.