CASE REPORT
JOP. J Pancreas (Online) 2013 Sep 10; 14(5):515-520.
Synchronous Triple Cancers of the Pancreas, Stomach, and Cecum Treated with S-1 Followed by Pancrelipase Treatment of Pancreatic Exocrine Insufficiency
Koushiro Ohtsubo1, Daisuke Ishikawa1, Shigeki Nanjo1, Shinji Takeuchi1, Tadaaki Yamada1, Hisatsugu Mouri1, Kaname Yamashita1, Kazuo Yasumoto1, Toshifumi Gabata2, Osamu Matsui2, Hiroko Ikeda3, Yasushi Takamatsu4, Sakae Iwakami5, Seiji Yano1
1Division of Medical Oncology, Cancer Research Institute, 2Department of Radiology, and 3Division of Human Pathology, Kanazawa University; 4Takamatsu Clinic; 5Surgery, Kanazawa West Hospital. Kanazawa, Japan
ABSTRACT
Context Pancreatic cancer is frequently complicated by malignancies in other organs. However, synchronous triple cancers including pancreatic cancer have been seldom reported in the English language literature. Case report We describe the rare case of a 77-year-old man with triple cancers of the pancreas, stomach, and cecum. Biopsies revealed that all three tumors were adenocarcinomas. The pancreatic and gastric tumors were positive for cytokeratin 7 and negative for cytokeratin 20, whereas the cecal tumor was negative for cytokeratin 7 and positive for cytokeratin 20. K-ras mutations were present at codon 12 in the pancreatic tumor and at codon 13 in the cecal tumor, but were absent from the gastric tumor. Since the three tumors had different characteristics, the patient was diagnosed with synchronous triple cancers. Because invasive surgery was required to remove all three tumors and the patient had risk factors for surgery, we elected to treat him with chemotherapy. All three cancers were markedly reduced in size by treatment with cycles of 100 mg/day S-1 for 2 weeks, followed by a 1-week rest. The patient later developed hypoproteinemia and anasarca, which was diagnosed as pancreatic exocrine insufficiency due to pancreatic head cancer. Treatment with pancrelipase resulted in dramatic improvements in hypoproteinemia and anasarca. Conclusions This is the first case report in which S-1 was effective in triple cancers of the pancreas, stomach, and cecum. Patients with pancreatic head cancer should be monitored for pancreatic exocrine insufficiency.
INTRODUCTION
Pancreatic cancer is frequently complicated by malignancies in other organs [1]. However, to date a case of synchronous triple cancers of the pancreas, stomach, and cecum has not been reported in the English language literature.
Although gemcitabine-based chemotherapy has been widely employed to treat pancreatic cancer [2, 3], a recent clinical trial demonstrated that S-1 was non-inferior to gemcitabine in these patients [4]. S-1-based chemotherapy is the standard first-line treatment in Japan for patients with advanced gastric cancer [5, 6]. In addition, S-1 may become a chemotherapeutic option in metastatic colorectal cancer [7].
Pancreatic exocrine insufficiency occurs frequently in patients with chronic pancreatitis, cystic fibrosis, and pancreatic cancer, as well as in patients who have undergone pancreatic surgery [8]. Pancreatic enzyme replacement therapy has been reported to prevent loss of body weight and increase fat absorption in patients with pancreatic cancer [9].
We describe here a patient with synchronous triple cancers of the pancreas, stomach, and cecum, who was effectively treated with S-1. Subsequent malabsorption syndrome due to pancreatic exocrine insufficiency was improved by pancreatic enzyme replacement therapy.
CASE REPORT
A 77-year-old man was referred to our hospital after abdominal ultrasonography showed a mass on the pancreatic head 25 mm in diameter. He had a long-term history of diabetes mellitus, but no previous or family history of malignancy. Although his diabetes mellitus had been controlled by medication, his blood glucose concentration increased rapidly. He was a heavy smoker (40 cigarettes/day for 50 years). His Karnofsky performance score was 100%. His height, weight, and body surface area were 162 cm, 55 kg, and 1.59 m2, respectively.
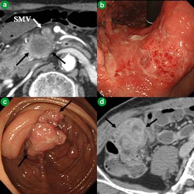
Computed tomography (CT) showed a pancreatic head mass 22 mm in diameter, accompanied by invasion of the superior mesenteric vein (Figure 1a). Upper gastrointestinal endoscopy showed a gastric tumor in the middle part of the stomach (Figure 1b), and lower gastrointestinal endoscopy and CT showed a cecal tumor (Figure 1cd). An endoscopic ultrasonography-guided fine needle aspiration (EUS-FNA) biopsy of the pancreatic head mass showed that it was an adenocarcinoma (Figure 2a), while biopsies of the gastric and cecal tumors revealed that both were well to moderately differentiated adenocarcinomas (Figure 2bc). The biopsies of the pancreatic and gastric tumors were positive for cytokeratin (CK) 7 and negative for CK20, whereas the cecal tumor was negative for CK7 and positive for CK20 (Figure 2defghi). Dual color in situ hybridization showed that the gastric tumor was positive for human epidermal growth factor receptor 2 (HER2/neu). K-ras mutations were observed in the pancreatic (glycine to valine at codon 12) and cecal (glycine to aspartic acid at codon 13) tumors, but not in the gastric tumor. Positron emission tomography revealed accumulating spots at all 3 sites, while no definite metastases were verified. Since the three tumors had different immunohistochemical and genetic characteristics, the patient was diagnosed with synchronous triple cancers of the pancreas, stomach, and cecum. The pancreatic tumor was classified as T3N0M0 and stage IIA, the gastric cancer as T2bN0M0 and stage IB, and the cecal tumor as T3N0M0 and stage IIA [10], respectively.

|
Figure 1. Appearance of the three cancers at diagnosis. a. Enhanced computed tomography showing a pancreatic head tumor 22 mm in diameter (black arrows) with superior mesenteric vein (SMV) invasion (white arrows). b. Upper gastrointestinal endoscopy showing a gastric tumor in the middle part of the stomach. c. Lower gastrointestinal endoscopy showing cecal cancer (black arrows). d. Computed tomography showing a large cecal tumor (black arrows). |

|
Figure 2. Hematoxylin-eosin (H-E) staining of the three tumors: a. Adenocarcinoma in pancreatic cancer (x200); b. Well to moderately differentiated adenocarcinoma in gastric cancer (x100); c. Well to moderately differentiated adenocarcinoma in cecal cancer (x100). Cytokeratin 7 staining of the three cancers. d. Positive in pancreatic cancer (x200); e. Positive in gastric cancer (x100); f. Negative in cecal cancer (x100). CK20 staining of the three cancers: g. Negative in pancreatic cancer (x200); h. Negative in gastric cancer (x100); i. Positive in cecal cancer (x100). |
Biochemical assays showed elevated concentrations of lipase (165 IU/L; reference range: 0-53 IU/L) and elastase-1 (730 ng/dL; reference range: 0-400 ng/dL), while amylase was within normal limits (76 IU/L; reference range: 40-113 IU/L). The serum tumor markers carcinoembryonic antigen (CEA) and DUPAN-II were elevated to 10.2 ng/mL (reference range: 0-5 ng/mL) and 5,750 U/mL (reference range: 0-150 U/mL), respectively, while carbohydrate antigen 19-9 (CA 19-9) was within normal limits (<1 IU/L; reference range: 0-37 IU/L). Blood urea nitrogen (13 mg/dL; reference range: 8.0-22.0 mg/dL) and creatinine (0.72 mg/dL; reference range, 0.6–1.0 mg/dL) were also within normal limits.
Because invasive surgery, including resection of the portal venous system, was required to remove all three tumors and the patient had risk factors for surgery, including older age and diabetes mellitus, we elected to treat him with chemotherapy. He was treated with cycles of 100 mg/day S-1 (TS-1, Taiho Pharmaceutical Co., Ltd., Tokyo, Japan) for 2 weeks, followed by a 1-week rest; the dose of S-1 had been reduced from 120 mg/day to 100 mg/day because of his older age. After 4 cycles of S-1 chemotherapy, the pancreatic head tumor decreased from 22 mm to 10 mm in diameter (Figure 3a), or 55% according to the Response Evaluation Criteria in Solid Tumors (RECIST) [11]. Upper gastrointestinal endoscopy and CT showed marked reductions in size of the gastric and cecal tumors, respectively (Figure 3bc). DUPAN-II was markedly reduced from 5,750 U/mL to 1,550 U/mL (Figure 4). The patient experienced no definite adverse effects of S-1, according to the Common Terminology Criteria for Adverse Events (CTCAE) version 4.0 [12].

|
Figure 3. Effects of S-1 chemotherapy on the three tumors. a. Enhanced computed tomography showing that the pancreatic head tumor had decreased from 22 mm to 10 mm in diameter (black arrows). b. Upper gastrointestinal endoscopy showing marked decrease in the size of the gastric tumor. c. Computed tomography showing markedly decrease in the size of the cecal tumor (black arrows). |

|
Figure 4. Clinical course of this patient. Along with the reduction in sizes of the three cancers, in the pancreas, stomach, and cecum, following S-1 chemotherapy, DUPAN-II was markedly reduced. Although albumin concentration was decreased after 3 cycles of S-1 chemotherapy, it was dramatically elevated after treatment with 1,800 mg/day pancrelipase. |
However, the patient developed hypoproteinemia and anasarca following 3 cycles of S-1 chemotherapy, including several hypoglycemic attacks. Marked reductions in serum total protein (4.0 g/dL; reference range: 6.7-8.3 g/dL), albumin (0.9 g/dL; reference range: 4.0-5.0 g/dL), and total cholesterol (55 mg/dL; reference range: 128-219 mg/dL) were observed, as were proteins with rapid turnover, including retinol-binding protein (1.2 mg/dL; reference range: 2.4-7.0 mg/dL) and prealbumin (6 mg/dL; reference range, 20-40 mg/dL). Pancreatic function was markedly decreased to 2.3% (reference range: 73.4-90.4%), but excretion of fecal fat was not observed.
Based on these findings, as well as decreased food intake, nephrotic syndrome due to diabetic nephropathy and protein-losing gastroenteropathy due to gastric and cecal cancers were excluded as the causes of malnutrition. In addition, cachexia due to triple cancers was unlikely, since the sizes of all three tumors had decreased. We suspected malabsorption syndrome due to pancreatic exocrine insufficiency, because CT showed atrophic distal pancreas due to pancreatic head cancer and decreased pancreatic exocrine function. We therefore treated this patient with 1,800 mg/day pancrealipase (LipaCreon, Abbott Japan Co., Ltd., Tokyo, Japan), an enteric-coated, delayed-release pancreatic enzyme. Four weeks later, his serum total protein, albumin, retinol-binding protein and prealbumin concentrations had markedly increased to 6.2 g/dL, 3.3 g/dL, 4.3 mg/dL, and 27 mg/dL, respectively (Figure 4). Subsequently, anasarca was dramatically improved. No definite adverse effects of pancrealipase were observed.
After 9 cycles of S-1 chemotherapy, CT showed that the pancreatic head and cecal masses had almost completely disappeared. After 10 cycles, he was transferred to another hospital. Surprisingly, after 11 cycles of S-1 chemotherapy, the cecal tumor was removed endoscopically. After 21 cycles of chemotherapy, S-1 was withdrawn due to bleeding from gastric cancer. Eighteen months after being diagnosed with triple cancers, he died of bleeding from gastric cancer.
DISCUSSION
About 3.1-20.0% of patients with pancreatic cancer also have malignancies in other organs [1]. Although two cases of synchronous triple cancers including pancreatic cancer have been documented [13, 14], synchronous triple cancers of the pancreas, stomach, and cecum have not been reported in the English language literature.
Immunohistochemical assays of CK7 and CK20 in our patient were compatible with pancreatic, gastric, and cecal cancers [15]. K-ras mutations are frequently observed in pancreatic and colonic cancers, but not in gastric cancer. Almost all K-ras mutations in pancreatic cancers are located at codon 12, not at codon 13 [16, 17]. We observed K-ras mutations in two of the tumors, at codon 12 in the pancreatic tumor and at codon 13 in the cecal tumor, but no K-ras mutation in the gastric tumor. Our patient was therefore diagnosed with synchronous triple cancers of the pancreas, stomach, and cecum, not with pancreatic metastasis from gastric or cecal cancers. We treated this patient with chemotherapy rather than surgery, because invasive operations, including resection of the portal venous system, were needed to remove all three tumors and the patient had risk factors for surgery, including older age and diabetes mellitus.
S-1 is an oral anticancer drug, consisting of tegafur, a prodrug of 5-fluorouracil, 5-chloro-2,4-dihydroxypyridine (CDHP) and potassium oxonate [18], with CDHP and potassium oxonate improving the tumor-selective toxicity of 5-FU [19, 20]. S-1 has been used to treat patients with gastric, colorectal, lung, laryngeal, breast, pancreatic, and biliary cancers in Japan. In early and late phase II trials, S-1 achieved complete or partial responses in 4 of 19 (21.1%) and 15 of 40 (37.5%) patients with metastatic pancreatic cancer, respectively [21, 22]. Although gemcitabine-based chemotherapy has been widely employed to treat pancreatic cancer throughout the world [2, 3], a recent clinical trial demonstrated that S-1 was non-inferior to gemcitabine in patients with advanced, unresectable pancreatic cancer [4]. In addition, S-1 was found to be non-inferior to 5-FU in patients with unresectable or recurrent gastric cancer. Moreover, being orally administered, S-1 could replace 5-FU [5]. S-1 plus cisplatin was found to be superior to S-1 alone in patients with gastric cancer [6], and S-1 plus cisplatin has been regarded as the standard first-line treatment for patients with advanced gastric cancer in Japan. S-1 treatment induced partial responses in 15 of 38 (39.5%) patients with metastatic colorectal cancer [7], suggesting that S-1 may become a chemotherapeutic option in patients with this condition.
There has been only one case report of patients with double pancreatic and gastric cancers, who were treated with chemotherapy with S-1, paclitaxel and lentinan [23]. We treated our patient with S-1 due to its efficacy in patients with cancers of the pancreas, stomach, and cecum and its relatively mild adverse effects, finding that S-1 decreased the sizes of all three tumors. To our knowledge, this is the first case report in which S-1 was effective in triple cancers of the pancreas, stomach, and cecum.
Pancreatic exocrine insufficiency is a frequent complication in patients with chronic pancreatitis, cystic fibrosis, and pancreatic cancer, and those who have undergone pancreatic surgery. Pancreatic exocrine insufficiency has been observed in 68-92% of patients with pancreatic cancer [24]. Pancreatic enzyme replacement therapy is the standard of care for patients with pancreatic exocrine insufficiency, regardless of etiology [8]. Pancreatic exocrine insufficiency is thought to be due to inadequate delivery of pancreatic enzymes into the small intestine for the digestion of ingested nutrients. Pancreatic enzyme replacement therapy has been reported to prevent loss of body weight and increase fat absorption in patients with pancreatic cancer [9]. Guidelines in the United Kingdom recommend pancreatic enzyme replacement therapy for patients with pancreatic cancer [25]. Pancreatic enzymes in the form of enteric-coated minimicrospheres are considered optimal. Pancrelipase is an enteric-coated, delayed-release pancreatic enzyme, with 6-to 9-fold greater enzymatic activity than conventional pancreatic enzymes. Pancrelipase is available in the United States for patients with chronic pancreatitis and those who have undergone pancreatic surgery [26].
In our patient, atrophic distal pancreas due to pancreatic head cancer and decreased pancreatic exocrine function suggested malabsorption syndrome due to pancreatic exocrine insufficiency. Therefore, he was treated with pancrelipase, resulting in dramatic improvements in hypoproteinemia and anasarca. Interestingly, although the pancreatic mass was markedly reduced in size after S-1 chemotherapy, pancreatic exocrine insufficiency remained a complication, suggesting that chemotherapy had no effect on the obstruction of the main pancreatic duct. Patients with pancreatic head cancer should be monitored for pancreatic exocrine insufficiency, even after reduction of the pancreatic mass.
In conclusion, we have described a rare case of synchronous triple cancers of the pancreas, stomach, and cecum. S-1 was effective in this patient, with subsequent malabsorption syndrome due to pancreatic exocrine insufficiency improved by treatment with pancrelipase.
Received June 26th, 2013 – Accepted August 2nd, 2013
Key words Cecal Neoplasms; Drug Therapy; Exocrine Pancreatic Insufficiency; Genes, ras; Pancreatic Neoplasms; Pancrelipase; Stomach Neoplasms
Abbreviations CDHP: 5-chloro-2,4-dihydroxypyridine
Conflict of interest The authors state that they have no conflict of interest
Correspondence
Koushiro Ohtsubo
Division of Medical Oncology
Cancer Research Institute
Kanazawa University
13-1 Takaramachi
Kanazawa 920-0934
Japan
Phone: +81-76.265.2794
Fax: +81-76.234.4524
E-mail:
ohtsubo@staff.kanazawa-u.ac.jp
References
1. Eriguchi N, Aoyagi S, Hara M, Okuda K, Tamae T, Fukuda S, et al. Synchronous or metachronous double cancers of the pancreas and other organs: report on 12 cases. Surg Today 2000; 30: 718-21. [PMID 11428609]
2. Burris HA 3rd, Moore MJ, Andersen J, Green MR, Rothenberg ML, Modiano MR, et al. Improvements in survival and clinical benefit with gemcitabine as first-line therapy for patients with advanced pancreas cancer: a randomized trial. J Clin Oncol 1997; 15: 2403-13. [PMID 9196156]
3. Moore MJ, Goldstein D, Hamm J, Figer A, Hecht JR, Gallinger S, et al. ; National Cancer Institute of Canada Clinical Trials Group. Erlotinib plus gemcitabine compared with gemcitabine alone in patients with advanced pancreatic cancer: a phase III trial of the National Cancer Institute of Canada Clinical Trials Group. J Clin Oncol 2007; 25: 1960-6. [PMID 17452677]
4. Ueno H, Ioka T, Ikeda M, Ohkawa S, Yanagimoto H, Boku N, et al. Randomized phase III study of gemcitabine plus S-1, S-1 alone, or gemcitabine alone in patients with locally advanced and metastatic pancreatic cancer in Japan and Taiwan: GEST Study. J Clin Oncol 2013; 31:1640-8. [PMID 23547081]
5. Koizumi W, Narahara H, Hara T, Takagane A, Akiya T, Takagi M, et al. S-1 plus cisplatin versus S-1 alone for first-line treatment of advanced gastric cancer (SPIRITS trial): a phase III trial. Lancet Oncol 2008; 9: 215-21. [PMID 18282805]
6. Boku N, Yamamoto S, Fukuda H, Shirao K, Doi T, Sawaki A, et al.; Gastrointestinal Oncology Study Group of the Japan Clinical Oncology Group Fluorouracil versus combination of irinotecan plus cisplatin versus S-1 in metastatic gastric cancer: a randomised phase 3 study. Lancet Oncol 2009; 10: 1063-9. [PMID 19818685]
7. Shirao K, Ohtsu A, Takada H, Mitachi Y, Hirakawa K, Horikoshi N, et al. Phase II study of oral S-1 for treatment of metastatic colorectal carcinoma. Cancer 2004; 100: 2355-61. [PMID 15160338]
8. Domínguez-Muñoz JE. Pancreatic exocrine insufficiency: diagnosis and treatment. J Gastroenterol Hepatol 2011; 26 Suppl 2: 12-6. [PMID 21323992]
9. Bruno MJ, Haverkort EB, Tijssen GP, Tytgat GN, van Leeuwen DJ. Placebo controlled trial of enteric coated pancreatin microsphere treatment in patients with unresectable cancer of the pancreatic head region. Gut 1998; 42: 92-6. [PMID 9505892]
10. Sobin LH, Gospodarowicz MK, Wittekind C (eds): UICC. TNM classification of malignant tumours. 7th ed. New York, Wiley-Liss, 2009.
11. Eisenhauer EA, Therasse P, Bogaerts J, Schwartz LH, Sargent D, Ford R, et al. New response evaluation criteria in solid tumours: revised RECIST guideline (version 1.1). Eur J Cancer 2009; 45: 228-47. [PMID 19097774]
12. National Cancer Institute. Cancer Therapy Evaluation Program. Common Terminology Criteria for Adverse Events (CTCAE) v4.0, 2009.
13. Taira K, Shiraishi M, Sunagawa H, Takushi Y, Shimoji H, Tomita S, et al. Resection of triple synchronous cancers: a case report. Hepatogastroenterology 1999; 46: 199-203. [PMID 10228792]
14. Sato K, Maekawa T, Yabuki K, Tamasaki Y, Maekawa H, Kudo K, et al. A case of triple synchronous cancers occurring in the gallbladder, common bile duct, and pancreas. J Gastroenterol 2003; 38: 97-100. [PMID 12560930]
15. National Comprehensive Cancer Network (NCCN). NCCN Clinical Practice Guidelines in Oncology-v.2012.
16. Bos JL. ras oncogenes in human cancer: a review. Cancer Res 1989; 49: 4682-9. [PMID 2547513]
17. Smit VT, Boot AJ, Smits AM, Fleuren GJ, Cornelisse CJ, Bos JL. KRAS codon 12 mutations occur very frequently in pancreatic adenocarcinomas. Nucleic Acids Res 1988; 16: 7773-82. [PMID 3047672]
18. Shirasaka T, Shimamato Y, Ohshimo H, Yamaguchi M, Kato T, Yonekura K, et al. Development of a novel form of an oral 5-fluorouracil derivative (S-1) directed to the potentiation of the tumor selective cytotoxicity of 5-fluorouracil by two biochemical modulators. Anticancer Drugs 1996; 7: 548-57. [PMID 8862723]
19. Tatsumi K, Fukushima M, Shirasaka T, Fujii S. Inhibitory effects of pyrimidine, barbituric acid and pyridine derivatives on 5-fluorouracil degradation in rat liver extracts. Jpn J Cancer Res 1987; 78: 748-55. [PMID 3114201]
20. Shirasaka T, Shimamoto Y, Fukushima M. Inhibition by oxonic acid of gastrointestinal toxicity of 5-fluorouracil without loss of its antitumor activity in rats. Cancer Res 1993; 53: 4004-9. [PMID 7689420]
21. Ueno H, Okusaka T, Ikeda M, Takezako Y, Morizane C. An early phase II study of S-1 in patients with metastatic pancreatic cancer. Oncology 2005; 68: 171-8. [PMID 16006754]
22. Okusaka T, Funakoshi A, Furuse J, Boku N, Yamao K, Ohkawa S, et al. A late phase II study of S-1 for metastatic pancreatic cancer. Cancer Chemother Pharmacol 2008; 61: 615-21. [PMID 17520253]
23. Kubota E, Kataoka H, Hayashi K, Kamiya T, Sasaki M, Ogasawara N, et al. Advanced stomach and pancreas cancer successfully treated with combination chemotherapy with S-1/paclitaxel/lentinan. Hepatogastroenterology 2009; 56: 106-10. [PMID 19453038]
24. Watson L. Exocrine insufficiency and pancreatic enzyme replacement therapy in pancreatic cancer. Clin Oncol 2010; 22: 390-2. [PMID 20466283]
25. Pancreatic Section, British Society of Gastroenterology; Pancreatic Society of Great Britain and Ireland; Association of Upper Gastrointestinal Surgeons of Great Britain and Ireland; Royal College of Pathologists; Special Interest Group for Gastro-Intestinal Radiology. Guidelines for the management of patients with pancreatic cancer periampullary and ampullary carcinomas. Gut 2005; 54 Suppl 5: v1-16. [PMID 15888770]
26. Whitcomb DC, Lehman GA, Vasileva G, Malecka-Panas E, Gubergrits N, Shen Y, et al. Pancrelipase delayed-release capsules (CREON) for exocrine pancreatic insufficiency due to chronic pancreatitis or pancreatic surgery: A double-blind randomized trial. Am J Gastroenterol 2010; 105: 2276-86. [PMID 20502447]