CASE REPORT
JOP. J Pancreas (Online) 2013 Nov 10; 14(6):664-668.
Laparoscopic Distal Pancreatectomy for a Pancreatic Lymphoepithelial Cyst: Case Report and Review of Literature
Hiroaki Yanagimoto1, Sohei Satoi1, Hideyoshi Toyokawa1, Tomohisa Yamamoto1, Satoshi Hirooka1, Rintaro Yui1, So Yamaki1, Kazumasa Yoshida1, George Wada1, Masashi Okuno1, Kentaro Inoue1, Taku Michiura1, Yoichi Matsui1, Yorika Nakano2, Noriko Sakaida2, A-Hon Kwon1
Departments of 1Surgery and 2Pathology, Kansai Medical University, Hirakata Hospital. Shinmachi, Hirakata, Japan
ABSTRACT
Context Lymphoepithelial cysts of the pancreas are a rare disease of true pancreatic cysts, the cause of which is unknown. The differential diagnosis is broad and includes many benign and malignant cystic lesions of the pancreas and surrounding organs. A combination of imaging modalities and fine needle aspiration might narrow the differential diagnosis. However, the final diagnosis can only be achieved with certainty after resection of the cyst. Case report The present case report is a lymphoepithelial cyst of the pancreas that was resected laparoscopically. A 53-year-old man was incidentally found to have a cystic tumor in the tail of the pancreas after undergoing an abdominal ultrasound, which showed a 41x33 mm cystic mass in the pancreatic tail. He had no abdominal symptoms. Laparoscopic distal pancreatectomy and splenectomy were performed. Histologic examination revealed a lymphoepithelial cyst. Conclusion Herein, we discuss the diagnostic difficulties and management decisions that face surgeons treating pancreatic cysts.
INTRODUCTION
Lymphoepithelial cysts of the pancreas, first reported in 1985 by Luchtrath and Schriefers, are very rare, benign lesions [1]. In 1987, Truong et al. [2] reported a second case and named this lesion “lymphoepithelial cyst of the pancreas”.
Since then, over 100 cases have been reported in the literature. The differential diagnosis is often difficult. One reason is that imaging studies of lymphoid epithelial cysts show various presentations and surgery is usually indicated for differential diagnosis. The findings of this tumor from CT or magnetic resonance imaging strongly does not suggest a malignant tumor. Minimally invasive pancreatectomy is currently available and regarded as safe [3]. Further, the blood loss and length of stay are also decreased with minimally invasive resections [3]. This article is a case report on lymphoepithelial cyst of the pancreas that have been resected laparoscopically.
CASE REPORT
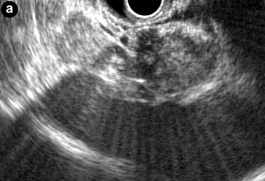
A 53-year-old man was incidentally found to have a cystic tumor in the tail of the pancreas after undergoing an abdominal ultrasound (US), which showed a 41x33 mm cystic mass in the pancreatic tail. He had no abdominal symptoms. The tumor markers, including DUPAN 2, and carbohydrate antigen 19-9, were within the normal ranges. The patient was referred to our hospital for further investigations. A contrast-enhanced CT scan (Figure 1) showed a non-enhanced cyst between the spleen and the pancreas with no solid component. Magnetic resonance cholangiopancreatography (Figure 2) revealed that the main pancreatic duct was regular and had no dilatation, and there was no communication between the cyst and the pancreatic duct. Magnetic resonance imaging (MRI) showed a lesion with a slightly high signal on a T1-weighted image; the lesion, which was well circumscribed, was in the tail of the pancreas (Figure 3). MRI on a T2-weighted image also showed the lesion with a high signal. The cystic tumor was negatively visualized on the PET image. Endoscopic ultrasound (EUS) was performed, which showed a 55x31 mm pancreatic tail lesion with a solid and cystic mixed component (Figure 4a). An endoscopic ultrasound-guided fine-needle aspiration biopsy in a trans-gastric approach of this lesion suggested a diagnosis of a benign squamous cyst (Figure 4b).


|
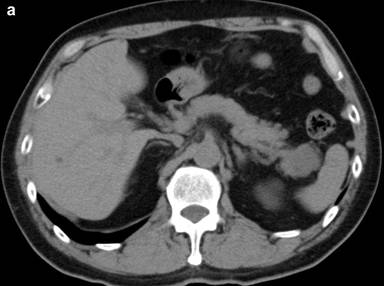
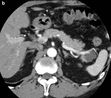
Figure 1. a. Abdominal computed tomography (CT) findings showing a 41x33 mm cyst between the spleen and the pancreas. b. Contrast-enhanced CT findings showing a nonenhanced cyst. The solid component was not recognized. The cyst is close to the splenic hilum. |

|
Figure 2. Magnetic resonance cholangiopancreatography revealed that the main pancreatic duct was normal and had no dilatation. |


|
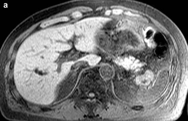
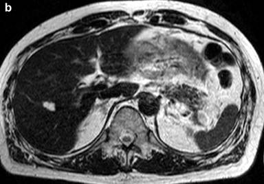
Figure 3. Abdominal magnetic resonance imaging findings. a. Slightly high intensity on a T1-weighted image. b. High intensity on a T2-weighted image. |


|
Figure 4. a. Endoscopic ultrasound was performed, which showed a 55x21 mm pancreatic tail lesion with solid and cystic mixed component. b. Endoscopic ultrasound-guided fine-needle aspiration biopsy in a transgastric approach of this lesion. |
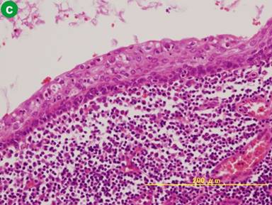
We thought preoperative differential diagnosis was neuroendocrine tumor, mucinous cystic neoplasm and intraductal papillary mucinous neoplasm. Because the malignant potential of the relatively large tumor could not be completely ruled out, a laparoscopic distal pancreatectomy and splenectomy were performed. The tumor was located in the tail, protruding from the surface. This operation was done via four laparoscopic operating ports, initially mobilizing the distal pancreas and spleen. Although the cystic tumor and the splenic vessels near the splenic hilum were so closely adherent, we succeeded that many branches from the splenic vein should be carefully cut using the ultrasonically activated device. A sling was applied behind the pancreas, and an Endo GIA roticulator 60-mm stapler (Covidien, Mansfield, MA, USA) was used to excise the distal pancreas. The total operation time took about 337 minutes, and about 50 mL of blood loss was noted without a blood transfusion. The patient’s postoperative course was uneventful. Although there was a grade A postoperative pancreatic fistula defined by the International Study group of Pancreatic Fistula [4], he was discharged from the hospital on the 6th postoperative day. The patient returned to his normal activities. Macroscopically, the surface of the cyst was smooth, the wall of the cyst was not thin, and the lesion was filled with yellowish pasty material (Figure 5a). Histological examination revealed that the cyst wall was lined with squamous epithelium and surrounded by abundant mature lymphoid tissue. The contents of the cyst were keratinous. There were no hairs or sebaceous glands in the squamous epithelium. Nuclear pleomorphism and mitotic changes were absent. These findings were characteristic of a lymphoepithelial cyst (Figure 5bc).



|
Figure 5. a. Macroscopically, the surface of the cyst was smooth, the wall of the cyst was not thin, and the lesion was filled with yellowish pasty material. b. c. Pathological findings showing the cyst wall was lined with squamous epithelium surrounded by abundant lymphoid tissue (H&E). |
DISCUSSION
Lymphoepithelial cysts of the pancreas are rare lesions. The cyst was well circumscribed and demarcated from the surrounding pancreatic tissue. The cyst contained caseous, cheesy, or curd-like material, and was lined by squamous epithelium surrounded by lymphoid tissue with rare follicles [2]. Since Luchtrath and Schriefers first reported in 1985 [1] over 100 cases have been reported in the English literature. We reviewed 106 cases of lymphoepithelial cysts of the pancreas including this case [5].
Twenty-one patients were female (19.8%), and the mean age of all patients was 56 (20-82) years. Forty-seven patients (44.3%) presented with clinical symptoms, and the rest were incidentally found during a routine medical check-up or evaluation of other unrelated medical problems. Abdominal pain and discomfort (symptomatic patients) were the most frequent symptoms (n=44; 41.5%) while the other 3 patients had abdominal palpable mass. Lymphoepithelial cysts are often rounded and have a well-defined wall that sharply demarcates them from the pancreas and surrounding adipose tissue. The average size of a lymphoepithelial cyst is 4.1 cm (range, 0.5-17 cm). They can be multilocular or unilocular (in about 50%). These lesions seem to be equally distributed in the head, body, and tail regions of the pancreas. Surgery should be considered for patients with abdominal pain and discomfort, since the symptom itself is a clinical problem for patients with a lymphoepithelial cyst. In a comparative analysis between symptomatic and asymptomatic lymphoepithelial cyst, the only category with significant differences between groups was age (Table 1). In addition, patients with a lymphoepithelial cyst larger than 5 cm in size were significantly correlated to abdominal pain (Table 2; P=0.042).
|
Table 1. Comparative analysis according to the presence of symptoms (abdominal pain and discomfort) in 106 lymphepithelial cyst patients reported previously. Median values, ranges and frequencies are shown in the table |
|||
|
|
Asymptomatic |
Symptomatic |
P value |
|
Age (years) |
57.5 (36-77) |
49.0 (20-82) |
0.002 a |
|
Gender: |
|
|
0.623 b |
|
Radiolucency: |
|
|
0.844 b |
|
Localization: |
|
|
0.197 c |
|
Tumor size (cm) |
4.0 (0.5-17.0) |
5.0 (1.5-10.4) |
0.282 a |
|
The statistical analysis was made by means of the IBM SPSS Statistics package (Version 21 for Windows) a Mann-Whitney U-test b Fisher’s exact test b Pearson’s chi-squared test |
|||
|
Table 2. Comparative analysis according to the tumor size in a diameter in 106 lymphoepithelial cyst patients reported previously. Median values, ranges and frequencies are shown in the table. |
|||
|
Tumor size |
≤5 cm |
>5 cm |
P value |
|
Age (years) |
56 (20-82) |
55 (35-74) |
0.909 a |
|
Gender: |
|
|
0.812 b |
|
Radiolucency: |
|
|
0.046 b |
|
Localization: |
|
|
1.000 b |
|
Symptomatic c |
22 (33.3%) |
22 (55.0%) |
0.042 b |
|
The statistical analysis was made by means of the IBM SPSS Statistics package (Version 21 for Windows) a Mann-Whitney U-test b Fisher’s exact test c Abdominal pain and discomfort |
|||
Lymphoepithelial cysts have been described in the parotid and submandibular glands, lungs, and thyroid and cervical regions [6]. To date, there have been no reports of lymphoepithelial cysts becoming malignant or recurring after surgical resection. The cysts can occur anywhere in the pancreas, most commonly in the tail and body, followed by the head and neck. They have been described as being up to 17 cm in size [6]. Clinically, lymphoepithelial cysts are usually found incidentally, most commonly in middle-aged men during investigations for abdominal symptoms when symptomatic patients can present with abdominal pain, nausea, vomiting, anorexia and weight loss. Physical examination is usually noncontributory.
The main differential diagnosis is malignant neoplasms and the final diagnosis can only be done after resection. The differential diagnosis includes primary splenic cysts, pseudocysts, cystadenocarcinomas, left adrenal cysts, cystic aneurysms, retroperitoneal cysts, duplication cysts, and mesenteric cysts; most of these diagnoses can be excluded by MRI, as was done in this case. CT scans usually show a low-attenuation mass with a thin enhancing rim and focal wall calcification, as in our case. Ultrasonography can be used to further support the cystic nature of these lesions. Most cysts are radiologically consistent with a pancreatic pseudocyst; fine needle aspiration may be of utility to exclude malignant cells [7].
The pathogenesis of lymphoepithelial cyst of the pancreas is uncertain. Several hypotheses have been formulated, as follows [8]: i) squamous metaplasia of the pancreatic ducts with subsequent cystic transformation; ii) ectopic remnants of a brachial cleft cyst that is misplaced and fused with the pancreas during embryogenesis; iii) epithelial remnants with peripancreatic lymph nodes; and iv) ectopic pancreatic tissue included in a peripancreatic lymph node.
Recently, cytology from EUS-FNA provides a well-established modality for diagnosing most pancreatic lesions. For many purely cystic lesions, cytology can be difficult because of acellular aspirates. However, for lymphoepithelial cysts, at least 20 cases have been reported in which the diagnosis was made based on CT or EUS-FNA. Some reports have suggested FNA to be useful for diagnosis and helpful in avoiding unnecessary surgery [9]. However, owing to the difficulty of confirming the diagnosis and the seriousness of missing a malignancy, surgical resection is still advised. The patient subsequently underwent a distal pancreatectomy and splenectomy due to the proximity of the lesion to the splenic hilum.
Laparoscopic distal pancreatectomy for cystic lesions remains a relatively new procedure, with only small numbers reported in the literature. A recent systematic review found minimally invasive pancreatic resection, when compared with open pancreatic surgery, to be similar in terms of morbidity and mortality [3]. Blood loss and length of stay are decreased and it is cosmetically better with minimally invasive resections. There are only two other reports of laparoscopic resection for a lymphoepithelial cyst [10, 11].
SUMMARY
Lymphoepithelial cyst of the pancreas is a rare disease that often presents as an incidental radiological finding. Radiological work-ups are of great utility in ruling out other diagnoses. In this patient, a definite diagnosis was difficult, and tumor size was large. For the cysts that are close to the splenic hilum, distal pancreatectomy and splenectomy are indicated to avoid potential lesions to the spleen and complete specimen resection to exclude the presence of cancer. Laparoscopic surgery may be preferable to open surgery in the treatment of cystic pancreatic lesions that are strongly suspicious of benign disease.
Received June 29th, 2013 – Accepted September 28th, 2013
Key words Laparoscopy; Pancreatectomy; Pancreatic Cyst
Conflict of interest statement Hiroaki Yanagimoto and other co-authors have no conflict of interest
Correspondence
Sohei
Satoi
Department of Surgery
Kansai Medical
University, Hirakata Hospital
2-3-1, Shinmachi
Hirakata 573-1191
Japan
Phone: +81-72.804.0101
Fax: +81-72.804.2578
E-mail: satoi@hirakata.kmu.ac.jp
Reference
1. Luchtrath H, Schriefers KH. Pankreaszyste unter dem Bild einer Sogenannten Brachiogenen Zyste. Der Pathologe 1985; 6:217–219.
2. Truong LD, Rangdaeng S, Jordan PH Jr. Lymphoepithelial cyst of the pancreas. Am J Surg Pathol 1987; 11:899-903. [PMID: 3674287]
3. Briggs CD, Mann CD, Irving GR, et al. Systematic review of minimally invasive pancreatic resection. J Gastrointest Surg. 2009; 13:1129–1137.
4. Bassi C, Dervenis C, Butturini G, et al. Postoperative pancreatic fistula: an international study group (ISGPF) definition. Surgery. 2005; 138:8-13.
5. Sewkani A, Purohit D, Singh V, Jain A, Varshney R, Varshney S. Lymphoepithelial cyst of the pancreas: a rare case report and review of literature. Indian J Surg. 2010 ; 72:427-432.
6. Truong LD, Stewart MG, Hao H, et al. A comprehensive characterization of lymphoepithelial cyst associated with the pancreas. Am J Surg 1995; 170:27-32.
7. Mandavilli SR, Port J, Ali SZ. Lymphoepithelial cyst (LEC) of the pancreas: cytomorphology and differential diagnosis on fine-needle aspiration (FNA). Diagn Cytopathol 1999; 20:371-374.
8. Truong L, Stewart M, Hao H, Yutani CH, Osaka J. A comprehensive characterization of lymphoepithelial cyst associated with the pancreas. Am J Surg 1995; 170:27–32.
9. Nasr J, Sanders M, Fasanella K, Khalid A, McGrath K. Lymphoepithelial cysts of the pancreas: an EUS case series. Gastrointest Endosc 2008; 68:170-173.
10. Au-Yong IT, Wemyss-Holden S, Lloyd DM. Laparoscopic distal pancreatectomy for lymphoepithelial cyst of the pancreas. JSLS. 2004; 8:389–390.
11. Toumi Z, Ammori MB, Al-Habba S, Filobbos R, Ammori BJ. Laparoscopic distal pancreatectomy for a large pancreatic lymphoepithelial cyst: a rare entity. Surg Laparosc Endosc Percutan Tech. 2010; 20:e211-214.