CASE REPORT
JOP. J Pancreas (Online) 2013 Nov 10; 14(6):653-656.
Case Report of Pancreatic Dermoid Cyst: Can Fine Needle Aspiration Make the Diagnosis?
Daniel A Lyons1, Emily A Coberly2, Ghassan M Hammoud3, Michael B Nicholl1,4
1Division of Surgical Oncology, Department of Surgery; 2Department of Pathology; 3Division of Gastroenterology, Department of Medicine - University of Missouri-Columbia. 4Ellis Fischel Cancer Center. Columbia, MO, USA
ABSTRACT
Context Pancreatic dermoid cysts are rare, benign, germ cell tumors and part of the differential diagnosis for cystic neoplasms of the pancreas. Case report A 35-year-old man presented with an incidentally discovered, 2 cm cystic pancreatic neoplasm of the pancreatic tail identified on CT scan. Endoscopic ultrasound (EUS) revealed a complex, honeycomb lesion. Fine needle aspiration (FNA) yielded a sample of whitish, necrotic material containing histiocytes, benign epithelial cells, and lymphocytes. After distal pancreatectomy and splenectomy was performed, histology revealed a cyst lined by stratified squamous epithelium with benign sebaceous units consistent with a pancreatic dermoid cysts. Discussion Although axial imaging reliably detects cystic neoplasms of the pancreas, diagnostic criteria for rare lesions are lacking; therefore alternative modalities such as EUS/FNA can be utilized. This case report highlights the EUS and FNA findings associated with pancreatic dermoid cysts.
INTRODUCTION
Although rare, dermoid cysts must be considered in the differential diagnosis of cystic neoplasms of the pancreas [1]. These benign germ cell tumors are most commonly found along the path of ectodermal cell migration, thereby explaining why the ovary, testes, retroperitoneum, mediastinum, and brain are common locations [2]. Reports of pancreatic dermoid cysts in the literature are uncommon [3].
Pancreatic dermoid cysts are usually found incidentally or present with non-specific symptoms. Clinical findings of abdominal pain, nausea, vomiting, weight loss, and fatigue are most common [4]. Pancreatic dermoid cysts can be detected with axial imaging, but lack of pathognomonic imaging characteristics makes diagnosis by this modality alone challenging [5]. Surgical resection remains the gold standard for diagnosis and treatment. Endoscopic ultrasound (EUS) with fine needle aspiration (FNA) is an important part of the evaluation of pancreatic cysts, but data is lacking to use this tool for the definitive diagnosis of pancreatic dermoid cysts [6]. In this report, we discuss the EUS and FNA findings associated with a pancreatic dermoid cysts and the potential utility of this modality in this disease process.
CASE REPORT
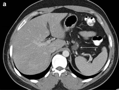
A 35-year-old man presented to the emergency department with complaints of abdominal and back pain after a fall. On axial imaging, a cystic neoplasm of the pancreas was incidentally discovered. The CT scan revealed a 2.1x1.7 cm, well-defined, low-density, non-calcified cystic lesion arising from the pancreatic tail (Figure 1a). The differential diagnosis included pseudocyst, mucinous or serous pancreatic cyst, and malignant pancreatic cyst. The serum tumor markers included normal CEA and CA 19-9; chromogranin A was elevated at 237 ng/mL (reference range: 0-95 ng/mL) and neuron specific enolase was also elevated at 14.2 µg/L (reference range: 3.7-8.9 µg/L). MRI and 18F-FDG-PET were not utilized.
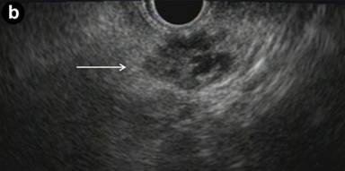
The patient underwent EUS and FNA to further characterize the cyst and guide management recommendations. EUS described an irregular, heterogeneous, complex cyst-like lesion at the tail of pancreas. The cyst did not appear to communicate with the main pancreatic duct and the main pancreatic duct appeared normal. Multiple septations and hypoechoic debris gave a complex cyst appearance (Figure 1b). FNA using a 22 gauge needle retrieved a whitish, necrotic appearing material. CEA and amylase levels could not be determined because no fluid was returned. Cytology of the FNA specimen identified histiocytes, benign epithelial cells and lymphocytes.


|
Figure 1. a. CT image of pancreatic dermoid cyst (white arrow) demonstrating a well-circumscribed, hypodense lesion. b. EUS revealed a complex cyst (white arrow) in the tail of the pancreas. |
Surgical resection was recommended since a definitive diagnosis was not reached and, despite recovering from the fall, the patient continued to complain of vague epigastric abdominal discomfort. The patient underwent distal pancreatectomy and splenectomy. Macroscopic evaluation of the excised mass showed a 2.5 cm well-circumscribed, encapsulated cyst containing a central, friable brown material (Figure 2). Histologic evaluation revealed a pancreatic cyst lined by a stratified squamous epithelium with many benign sebaceous glands (Figure 3). No cellular atypia or mitotic activity was identified and there was no invasion of surrounding structures.

|
Figure 2. Photo of the gross specimen showing a well-circumscribed collapsed tan cyst (black arrow) surrounded by normal-appearing pancreatic tissue. |

|
Figure 3. Photomicrograph of H&E stain at 20x magnification showing stratified squamous epithelium (black arrow), sebaceous units (white arrow), and surrounding lymphocyte infiltration. |
DISCUSSION
Dermoid cysts, also known as mature cystic teratomas, are benign germ cell neoplasms which can be constituted of tissues derived from endoderm, mesoderm or ectoderm. These well-differentiated cysts can be found in the sacrococcygeal region, ovaries, testes, cranium, mediastinum, omentum, or retroperitoneum [7]. Only rarely they are found in the pancreas [3]. Although continual improvement of diagnostic imaging technology with widespread integration into modern medical care over the past century has led to an increased number of pancreas cyst reports [8], less than 40 cases of pancreatic dermoid cyst exist in the literature at the time of this report [3].
The clinical presentation of symptomatic pancreatic dermoid cysts is non-specific, wherein patients may complain of abdominal pain, back pain, nausea, vomiting, weight loss, or fever [2, 9]. Only a small portion of patients with pancreatic dermoid cysts are asymptomatic [6]. Asymptomatic lesions may be identified incidentally following abdominal CT or MRI. Surgery is undertaken to treat symptoms or to make a definitive diagnosis. Pancreatic dermoid cysts are not known to have malignant potential, but dermoid cysts at other sites can undergo malignant transformation, so this consideration may be taken into treatment recommendations as well [4].
By axial imaging, most pancreatic dermoid cysts will appear as round, delineated, hypodense lesions, but the density will vary with the fat content of the cyst [3]. Internal and peripheral calcifications may also be present [5]. The few reports of transabdominal ultrasound which exist describe a hyperechoic mass with distinct margins [5, 10]. Noninvasive imaging may raise suspicion for a dermoid cyst, but the low incidence of the disease and lack of pathognomic imaging findings mean pancreatic dermoid cysts is rarely a leading preoperative diagnosis [3, 9]. The differential diagnosis for these lesions at this point in the evaluation will almost certainly include both benign cystic lesions and malignant neoplasms [11].
EUS-guided FNA has proven a safe and cost-effective technique to detect both malignant and benign neoplasms of the pancreas, allowing for differentiation between solid tumors, cystic neoplasms, pseudocysts, and reactive change. A review of EUS-guided FNA of the pancreas reveals the technique to be both sensitive and specific (64-98% and 80-100%, respectively), as well providing a high positive predictive value (98.4-100%) [12]. Furthermore, rapid on site evaluation (ROSE) may be employed to improve diagnostic yield and accuracy [13]. In our case, EUS appearance of an irregular complex cyst with internal debris shares characteristics with previous reports, but also overlaps with those of microcystic serous adenoma, an entity which carries no malignant potential [14]. The discordance in characteristics between EUS and CT seen in our case and in previous reports is commonly noted when these imaging modalities are used to evaluate pancreas cysts [15]. Determining a pancreatic dermoid cysts by imaging alone is difficult because specific diagnostic imaging criteria have not yet been defined. FNA may help reach the diagnosis.
The FNA sample obtained in our case was a whitish, necrotic material which gave the impression of sebaceous secretions, a finding ultimately confirmed on gross pathology. The cytology showed a mix of cell types including histiocytes, benign epithelial cells, and lymphocytes. The few previous descriptions of pancreatic dermoid cysts FNA cytology are also characterized by benign appearing, mature squamous cells, inflammatory cells and keratin debris [16]. FNA cytology of lymphoepithelial cysts may yield comparable results; therefore, these cysts must be considered in the differential diagnosis [17]. EUS and FNA play a role in evaluating pancreatic cysts but lack of data limits utility for pre-operative diagnosis of pancreatic dermoid cysts.
Improvements in preoperative CT and MR imaging, coupled with EUS-guided FNA, has allowed for safer and more reliable means of preoperative diagnosis of pancreatic lesions. EUS-guided FNA can provide information regarding the potential malignant nature of the lesion, but a firm diagnosis may be difficult to reach in the case of pancreatic dermoid cysts. Because mature cystic teratomas are believed to not undergo malignant transformation, some authors have argued surgical resection may not be needed for asymptomatic lesions [14]. A noninvasive or minimally invasive means for definitive diagnosis such as EUS and FNA would allow patients with pancreatic dermoid cysts avoid pancreatic surgery, but until more data regarding the ultrasound and cytological features are available, surgical resection of the pancreatic mass continues to be the standard of therapy.
Received July 3rd, 2013 – Accepted September 11th, 2013
Key words Biopsy, Fine-Needle; Cyst Fluid; Endosonography; Pancreatic Cyst
Conflict of interest The authors have no potential conflict of interest
Correspondence
Michael
B Nicholl
Division of Surgical Oncology
Department of Surgery
University of Missouri-Columbia
One Hospital Drive, DC116.94
Columbia MO 65212
USA
Phone: +1-573.882.8454
Fax: +1-573.884.6054
E-mail: nichollm@health.missouri.edu
References
1. J.J. Farrell, C. Fernandez-del Castillo, Pancreatic cystic neoplasms: management and unanswered questions. Gastroenterology 144 (2013) 1303-1315.
2. M. Mester, H.J. Trajber, C.C. Compton, H.S. de Camargo Junior, P.C. de Almeida, H.C. Hoover, Jr., Cystic teratomas of the pancreas. Arch Surg 125 (1990) 1215-1218.
3. J. Lane, A. Vance, D. Finelli, G. Williams, P. Ravichandran, Dermoid cyst of the pancreas: a case report with literature review. Journal of radiology case reports 6 (2012) 17-25.
4. G. Tucci, M.G. Muzi, C. Nigro, F. Cadeddu, D. Amabile, F. Servadei, A.M. Farinon, Dermoid cyst of the pancreas: presentation and management. World journal of surgical oncology 5 (2007) 85.
5. J.E. Jacobs, B.J. Dinsmore, Mature cystic teratoma of the pancreas: sonographic and CT findings. AJR. American journal of roentgenology 160 (1993) 523-524.
6. B.K. Goh, Y.M. Tan, Y.F. Chung, P.K. Chow, P.C. Cheow, C.H. Thng, S. Mesenas, W.K. Wong, L.L. Ooi, Pancreatic cysts: a proposed management algorithm based on current evidence. American journal of surgery 193 (2007) 749-755.
7. B. Bowen, P.R. Ros, M.J. McCarthy, W.W. Olmsted, B.M. Hjermstad, Gastrointestinal teratomas: CT and US appearance with pathologic correlation. Radiology 162 (1987) 431-433.
8. W.R. Brugge, G.Y. Lauwers, D. Sahani, C. Fernandez-del Castillo, A.L. Warshaw, Cystic neoplasms of the pancreas. The New England journal of medicine 351 (2004) 1218-1226.
9. J. Scheele, T.F. Barth, J. Strassburg, M. Juchems, M. Kornmann, D. Henne-Bruns, Dermoid cyst of the pancreas. International journal of colorectal disease 25 (2010) 415-416.
10. G. Strasser, M. Kutilek, P. Mazal, W. Schima, Mature teratoma of the pancreas: CT and MR findings. European radiology 12 Suppl 3 (2002) S56-58.
11. M. Seki, E. Ninomiya, A. Aruga, K. Yamada, R. Koga, A. Saiura, J. Yamamoto, T. Yamaguchi, K. Takano, R. Fujita, K. Sasaki, Y. Kato, Image-diagnostic features of mature cystic teratomas of the pancreas: report on two cases difficult to diagnose preoperatively. Journal of hepato-biliary-pancreatic surgery 12 (2005) 336-340.
12. M.R. Antillon, K.J. Chang, Endoscopic and endosonography guided fine-needle aspiration. Gastrointestinal endoscopy clinics of North America 10 (2000) 619-636, vi.
13. S. Hebert-Magee, S. Bae, S. Varadarajulu, J. Ramesh, A.R. Frost, M.A. Eloubeidi, I.A. Eltoum, The presence of a cytopathologist increases the diagnostic accuracy of endoscopic ultrasound-guided fine needle aspiration cytology for pancreatic adenocarcinoma: a meta-analysis. Cytopathology : official journal of the British Society for Clinical Cytology 24 (2013) 159-171.
14. K.J. Koomalsingh, R. Fazylov, M.I. Chorost, J. Horovitz, Cystic teratoma of the pancreas: presentation, evaluation and management. JOP : Journal of the pancreas 7 (2006) 643-646.
15. K. de Jong, J.E. van Hooft, C.Y. Nio, D.J. Gouma, M.G. Dijkgraaf, M.J. Bruno, P. Fockens, Accuracy of preoperative workup in a prospective series of surgically resected cystic pancreatic lesions. Scandinavian journal of gastroenterology 47 (2012) 1056-1063.
16. V. Markovsky, V.L. Russin, Fine-needle aspiration of dermoid cyst of the pancreas: a case report. Diagnostic cytopathology 9 (1993) 66-69.
17. S. Osiro, J.R. Rodriguez, K.J. Tiwari, Rodriguez, II, N. Mathenge, R.S. Tubbs, M. Loukas, Is preoperative diagnosis possible? A clinical and radiological review of lymphoepithelial cysts of the pancreas. JOP : Journal of the pancreas 14 (2013) 15-20.