CASE REPORT
Pancreatic Somatostatinoma Diagnosed Preoperatively: Report of a Case
Yasuhisa Mori1, Norihiro Sato1, Ryuta Taniguchi1, Toshihisa Tamura1, Noritaka Minagawa1, Kazunori Shibao1, Aiichiro Higure1, Mitsuhiro Nakamoto2, Masashi Taguchi3, Koji Yamaguchi1
Departments of 1Surgery and 2Pathology and Cell Biology, and 3Third Department of Internal Medicine, School of Medicine, University of Occupational and Environmental Health. Kitakyushu, Japan
ABSTRACT
Context Somatostatinoma is a rare neoplasm of the pancreas. Preoperative diagnosis is often difficult. Case report We report a 72-year-old woman with a pancreatic head tumor measuring 37 mm in diameter, and enlargement of the lymph nodes on the anterior surface of the pancreatic head and the posterior surface of the horizontal part of the duodenum. Laboratory data showed an elevated plasma somatostatin concentration. Examination of a biopsy specimen of the pancreatic head mass obtained by endoscopic ultrasound-guided fine needle aspiration (EUS-FNA) showed histopathological features of a neuroendocrine tumor. Immunohistochemical staining showed that the tumor cells were positive for somatostatin, leading to a preoperative diagnosis of pancreatic somatostatinoma. The patient underwent pylorus-preserving pancreaticoduodenectomy. The plasma somatostatin concentration decreased progressively after surgery. Conclusions A rare case of pancreatic somatostatinoma with lymph node metastases was presented. Immunohistochemical analysis of a biopsy specimen obtained by EUS-FNA was useful for preoperative diagnosis.
INTRODUCTION
Somatostatinoma is a rare neoplasm that usually arises in the pancreas or duodenum, and has an incidence of 1 in 40 million [1]. Pancreatic somatostatinoma was first described in 1977 by Larsson et al. [2]. The clinical manifestations of somatostatinoma syndrome, such as diabetes mellitus, cholelithiasis, and steatorrhea, result from the inhibition of other gastrointestinal hormones by somatostatin [1, 3]. Definitive preoperative diagnosis is often difficult because of the rarity of this tumor and the variable clinical manifestations. We report herein a patient with pancreatic somatostatinoma with lymph node metastases who was diagnosed preoperatively after immunohistochemical staining of a biopsy specimen obtained by endoscopic ultrasound (EUS)-guided fine needle aspiration (FNA).
CASE REPORT
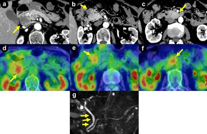
A 72-year-old woman was admitted to our hospital in 2012 after detection of a pancreatic head mass during follow-up ultrasonography for an ovarian cystic tumor. She was asymptomatic. Abdominal examination revealed no tenderness or palpable mass. She had a past history of cerebral infarction, but no other comorbidities including diabetes mellitus. She had no family history of malignancy. Laboratory test results including blood cell counts, blood biochemistry, tumor marker levels (carcinogenic embryonic antigen and carbohydrate antigen 19-9), and serum hormone levels (gastrin, insulin, calcitonin, prolactin, and intact parathyroid hormone) were all within normal limits. Enhanced computed tomography showed a low-density mass measuring 37 mm in diameter in the head of the pancreas (Figure 1a) and enlarged lymph nodes on the anterior surface of the pancreatic head (Figure 1b) and the posterior surface of the horizontal part of the duodenum (Figure 1c), measuring 28 mm and 34 mm in diameter, respectively. No liver metastasis was identified. 18F-fluorodeoxy-glucose positron emission tomography showed increased uptake in all three lesions with a maximum standardized uptake value ranging 3-4 (Figure 1def). Magnetic resonance cholangiopancreatography showed that the middle portion of the common bile duct was shifted to the left by the tumor in the head of the pancreas (Figure 1g). There was no dilation of the bile duct or the main pancreatic duct. EUS showed a hypoechoic mass measuring 37×30 mm in the head of the pancreas (Figure 2a) and two hypoechoic masses measuring 25×15 mm each adjacent to the pancreatic head (Figure 2bc). Selective angiography showed two hypervascular tumors in the head of the pancreas supplied by the gastroduodenal artery (Figure 2d), and a third tumor supplied by the inferior pancreaticoduodenal artery (Figure 2e). Histological examination of a biopsy specimen of the pancreatic head mass obtained by EUS-FNA using a 22-gauge needle showed a proliferation of uniform polygonal cells with hyperchromatic round nuclei and eosinophilic fine granular cytoplasm arranged in alveolar nests, sheets, or partial rosette-like patterns (Figure 3a). There were few mitotic figures. Immunohistochemical staining showed that many of the tumor cells were positive for somatostatin (Figure 3b), synaptophysin (Figure 3c), and chromogranin A (Figure 3d), but negative for glucagon, CD38, CD56, and pancreatic polypeptide. The MIB-1 labeling index was less than 5% (Figure 3e). Considered together, these findings led to a tentative preoperative diagnosis of somatostatinoma of the pancreas with lymph node metastases.

|
Figure 1. Enhanced computed tomography showed a low-density mass measuring 37 mm in diameter in the head of the pancreas (a.) and enlarged lymph nodes on the anterior surface of the pancreatic head (b.) and the posterior surface of the horizontal part of the duodenum (c.), measuring 28 mm and 34 mm in diameter, respectively. 18F-fluorodeoxy-glucose positron emission tomography showed increased uptake in all three lesions, with a maximum standardized uptake value ranging 3–4 (d. e. and f.). Magnetic resonance cholangiopancreatography showed that the middle portion of the common bile duct was shifted to the left by the tumor in the head of the pancreas (g.). |

|
Figure 2. Endoscopic ultrasonography showed a hypoechoic mass measuring 37×30 mm in the head of the pancreas (a.) and two hypoechoic masses adjacent to the head of the pancreas (b. and c.). Selective angiography showed two hypervascular tumors in the head of the pancreas supplied by the gastroduodenal artery (d.), and a third tumor supplied by the inferior pancreaticoduodenal artery (e.). |

|
Figure 3. Examination of the biopsy specimen obtained by endoscopic ultrasound-guided fine needle aspiration showed a proliferation of almost uniform polygonal cells with hyperchromatic round nuclei and eosinophilic fine granular cytoplasm, arranged in alveolar nests, sheets, or partial rosette-like patterns (a.). Immunohistochemical staining showed that many tumor cells were positive for somatostatin (b.), synaptophysin (c.), and chromogranin A (d.). The MIB-1 labeling index was less than 5% (e.). |
The patient underwent pylorus-preserving pancreaticoduodenectomy. Intraoperative exploration did not reveal peritoneal dissemination or liver metastasis. The pancreas was transected above the portal vein, and pylorus preserving pancreaticoduodenectomy with lymph node dissection was performed, followed by hepaticojejunostomy and duodenojejunostomy in the Billroth II fashion. The operation time was 498 minutes and the blood loss was 650 g.
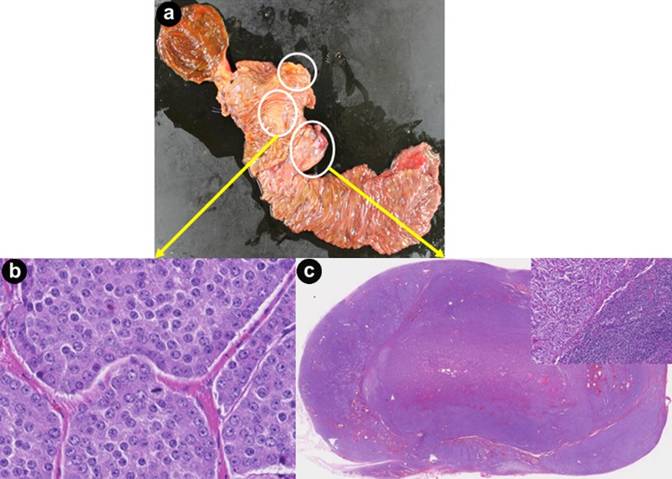
Pathological examination of the resected specimen showed poorly defined nodular lesions in the pancreatic head and the duodenal wall, composed of a proliferation of uniform polygonal cells with hyperchromatic round nuclei and eosinophilic granular cytoplasm arranged in a nested alveolar or sheet-like pattern with necrotic areas (Figure 4). Occasional mitotic figures were seen (2 per 10 high-power fields) and the MIB-1 labeling index was 5%. The diagnosis was well-differentiated endocrine carcinoma measuring 22×15 mm. Two lymph nodes adjacent to the pancreas contained metastatic tumor cells. Immunohistochemical staining showed that many tumor cells were positive for somatostatin, and some were also positive for insulin and chromogranin A, but most were negative for glucagon, gastrin, and pancreatic polypeptide. Based on the World Health Organization Classification 2010, these findings indicated pancreatic somatostatinoma G2.

|
Figure 4. a. Schematic representation of the locations of the pancreatic somatostatinoma and lymph node metastases. b. Pathological examination of the resected specimen showed poorly defined nodular lesions in the pancreatic head (hematoxylin and eosin staining, magnification ×200). c. Two lymph nodes adjacent to the pancreas contained metastatic tumor cells (hematoxylin and eosin staining, magnification ×100). |
The postoperative course was uneventful. Although the patient refused adjuvant chemotherapy, she did not have any signs of local recurrence or distant metastasis at her latest follow-up visit, 12 months after surgery. Her plasma somatostatin concentration measured by enzyme immunoassay (EIA) kit (USCN, Wuhan, China) was 34.2 pg/mL preoperatively, 5.9 pg/mL at 1 month postoperatively, and 2.4 pg/mL at 6 months postoperatively (reference range: 0-27.0 pg/mL).
DISCUSSION
Somatostatinoma originates from delta cells and is a rare neoplasm, accounting for about 1% of gastroenteropancreatic endocrine neoplasms [1]. About half of somatostatinomas originate in the pancreas, and the remainder originate in other parts of the gastrointestinal tract, mainly in the duodenum [1]. Since the first case report of pancreatic somatostatinoma in 1977 by Larsson et al. [2], only about 80 cases have been reported. The most common location is the pancreatic head followed by the pancreatic body and tail. The tumors are usually large, ranging in size from 3 to 11 cm, and have often metastasized to the liver and lymph nodes at the time of diagnosis [4]. Pancreatic somatostatinomas may cause somatostatinoma syndrome, including diabetes mellitus, cholelithiasis, steatorrhea, and hypochlorhydria, caused by the inhibitory actions of somatostatin secreted from the islet D cells; however, these symptoms were present in only 20% of patients with somatostatinoma [5].
It is often difficult to make a definite preoperative diagnosis of pancreatic somatostatinoma before the advanced stage. Tomono et al. [5] reported a case of pancreatic somatostatinoma measuring 1 cm in diameter that was detected incidentally and was originally diagnosed as a non-functioning endocrine tumor. Most pancreatic somatostatinomas without obvious symptoms or characteristic features on imaging examinations are diagnosed by postoperative histopathological examination. Somatostatin receptor scintigraphy and positron emission tomography have previously been reported to be accurate tools for the detection and management of neuroendocrine tumors, because of the high binding affinity to the somatostatin receptors of the tumor cells [6]. However, somatostatin receptor scintigraphy is only available in a limited number of institutions in Japan. EUS has been shown to be useful for precise preoperative localization of some gastrointestinal and pancreatobiliary tumors. Preoperative diagnosis by examination of a biopsy specimen obtained by EUS-FNA is standard procedure for several pancreatic diseases, with high diagnostic accuracy and negligible complication rates including bleeding and pancreatitis. Vilman et al. [7] reported that the accuracy of EUS-FNA using different sized needles for the diagnosis of solid pancreatic masses was over 94%. Dinesh et al. [8] reported a case of metastatic somatostatinoma of the pancreas diagnosed by FNA cytology of the liver. In our patient, there were no clinical manifestations of somatostatinoma such as diabetes mellitus, cholelithiasis, steatorrhea, or hypochlorhydria; but the histological and immunohistochemical examination findings of the biopsy specimen obtained by EUS-FNA were suggestive of pancreatic somatostatinoma. EUS-FNA therefore played an important role in the preoperative diagnosis of pancreatic somatostatinoma.
Measurement of the plasma somatostatin concentration is useful for making a preoperative diagnosis of somatostatinoma, but the somatostatin concentration would not be measured unless somatostatinoma was suspected because the patient had somatostatinoma syndrome. Konomi et al. [9] found that the plasma somatostatin concentration was measured in only 69.6% of reported cases. In our patient, the plasma somatostatin concentration was measured by EIA kit after the EUS-FNA findings suggested pancreatic somatostatinoma. The plasma somatostatin concentration decreased progressively after surgery. Measurement of the plasma somatostatin concentration is therefore useful for both preoperative diagnosis of pancreatic somatostatinoma and surveillance for tumor recurrence.
Medical treatment for pancreatic somatostatinoma with somatostatinoma syndrome frequently requires nutritional support or hyperalimentation. Successful treatment with long-acting somatostatin analogues (octreotide-LAR, lanreotide autogel) has been reported in a few cases [10]. Few trials of adjuvant therapy have been conducted, but recent studies reported that streptozotocin combined with doxorubicin had the best response rate (69%) and survival advantage (median survival: 26 months) in patients with islet cell tumors [11]. However, adjuvant therapy for pancreatic somatostatinoma has not yet been established. Although our patient underwent radical resection, there were two lymph nodes metastases, and she should be carefully followed up to screen for recurrence. Further investigation is necessary to clarify the usefulness of adjuvant therapy in patients with somatostatinoma.
In conclusion, EUS-FNA is useful for precise determination of tumor location and preoperative histopathological diagnosis. Measurement of the plasma somatostatin concentration is useful for both preoperative diagnosis of pancreatic somatostatinoma and postoperative surveillance for recurrence. Further investigation in a larger number of patients is necessary to clarify the usefulness of adjuvant chemotherapy after radical resection of malignant pancreatic somatostatinoma.
Received July 26th, 2013 – Accepted November 8th, 2013
Key words Endoscopic Ultrasound-Guided Fine Needle Aspiration; Pancreatic Neoplasms; Somatostatin /blood; Somatostatinoma
Conflicts of interest The authors have no conflicts of interest or funding to disclose
Correspondence
Koji
Yamaguchi
Department of Surgery 1
School of Medicine
University of Occupational and Environmental Health
1-1 Iseigaoka, Yahatanishi-ku, Kitakyushu
Fukuoka 807-8555
Japan
Phone: +81-93.603.1611
Fax: +81-93.603.2361
E-mail: yamaguch@med.uoeh-u.ac.jp
References
1. Nesi G, Marcucci T, Rubio CA, Brandi ML, Tonelli F. Somatostatinoma: clinico-pathological features of three cases and literature reviewed. J Gastroenterol Hepatol 2008; 23:521-6.
2. Larsson LI, Hirsch MA, Holst JJ, Ingemansson S, Kuhl C, Jensen SL, et al. Pancreatic somatostatinoma. Clinical features and physiological implications. Lancet 1977; 1:666-8.
3. Zhang B, Xie QP, Gao SL, Fu YB, Wu YL. Pancreatic somatostatinoma with obscure inhibitory syndrome and mixed pathological pattern. J Zhejiang Univ Sci B 2010; 11:22-6.
4. Cao XP, Liu YY, Xiao HP, Li YB, Wang LT, Xiao P. Pancreatic somatostatinoma characterized by extreme hypoglycemia. Chin Med J (Engl) 2009; 122:1709-12.
5. Tomono H, Kitamura H, Iwase M, Kuze S, Toyoda F, Mori N, et al. A small, incidentally detected pancreatic somatostatinoma: report of a case. Surg Today 2003; 33:62-5.
6. Suzuki H, Kuwano H, Masuda N, Hashimoto S, Kanoh K, Nomoto K, et al. Diagnostic usefulness of FDG-PET for malignant somatostatinoma of the pancreas. Hepatogastroenterology 2008; 55:1242-5.
7. Vilmann P, Saftoiu A, Hollerbach S, Skov BG, Linnemann D, Popescu CF, et al. Multicenter randomized controlled trial comparing the performance of 22 gauge versus 25 gauge EUS-FNA needles in solid masses. Scand J Gastroenterol 2013; 48:877-83.
8. Dinesh U, Pervatikar SK, Rao R. FNAC diagnosis of pancreatic somatostatinoma. J Cytol 2009; 26:153-5.
9. Konomi K, Chijiiwa K, Katsuta T, Yamaguchi K. Pancreatic somatostatinoma: a case report and review of the literature. J Surg Oncol 1990; 43:259-65.
10. Ito T, Igarashi H, Jensen RT. Pancreatic neuroendocrine tumors: clinical features, diagnosis and medical treatment: advances. Best Pract Res Clin Gastroenterol 2012; 26:737-53.
11. Moertel CG, Lefkopoulo M, Lipsitz S, Hahn RG, Klaassen D. Streptozocin-doxorubicin, streptozocin-fluorouracil or chlorozotocin in the treatment of advanced islet-cell carcinoma. N Engl J Med 1992; 326:519-23.