CASE REPORT
Second Primary Pancreatic Adenocarcinoma Three Years After Successfully Treated Index Esophageal Cancer
Nina Nandy1, Constantin A Dasanu2
1Department of Internal Medicine, University of Connecticut. Farmington CT, USA. 2Medical Oncology and Blood Disorders, Department of Hematology-Oncology, Saint Francis Hospital and Medical Center. Hartford CT, USA
ABSTRACT
Context Development of a second primary malignancy after an index esophageal cancer is a rare event, primarily due to short survival of patients with esophageal cancer. However, the number of long-term esophageal cancer survivors has been increasing due to advances in early detection and therapy. Case report We report herein a case of pancreatic adenocarcinoma that developed three years after a successfully treated early-stage adenocarcinoma of the esophagus. A 70-year-old Caucasian male presented with vague complaints of nausea, vomiting and abdominal distention, with subsequent development of jaundice. A computed tomography scan of abdomen revealed a 2.9 cm soft tissue mass in the head of the pancreas and the patient underwent a Whipple’s procedure, with pathology confirming the diagnosis of pancreatic adenocarcinoma. Three years previously, the patient was successfully treated for adenocarcinoma of the esophagus via minimally invasive esophagogastrectomy. Despite chemoradiotherapy for localized disease and subsequent systemic chemotherapy for metastatic pancreatic cancer, the patient eventually succumbed to his illness. Conclusion We discuss the association between esophageal cancer and subsequent second malignancies, along with implications for surveillance and therapy.
INTRODUCTION
With advances in early detection techniques, surgical procedures and perioperative adjuvant therapies, the number of long-term esophageal cancer survivors is increasing, particularly after esophagectomy performed for early stage disease [1]. As a result, incidence of second primary malignancies in this population may also be increasing, but data are lacking. This report describes the occurrence of a pancreatic adenocarcinoma in a patient three years after being successfully treated for early-stage esophageal adenocarcinoma.
CASE REPORT
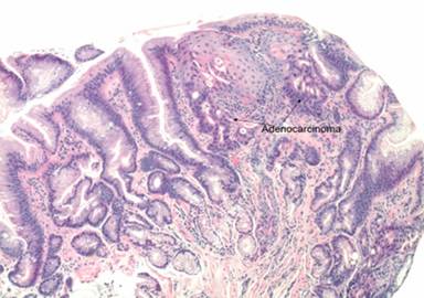
A 70-year-old Caucasian man presented with abdominal distention, weight loss, icterus, along with intermittent nausea and vomiting. He was a lifetime non-smoker, and had history of only moderate alcohol use. Three years prior, the patient had undergone minimally invasive esophagogastrectomy for a stage I adenocarcinoma of the gastroesophageal junction (Figure 1), likely arising in a long-standing Barrett’s esophagus. Serial esophagogastroduodenoscopies and computed tomography (CT) scans since that time had shown no evidence of residual or recurrent disease. Serial CEA and CA 19-9 levels were also within normal limits, and the esophageal cancer was deemed successfully eradicated.

|
Figure 1. Microphotograph showing adenocarcinoma (arrows) of the esophagus (H&E, 4x magnification). |
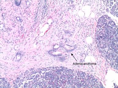
Evaluation with an abdominal ultrasound showed a questionable mass in the head of the pancreas. A CT scan revealed a 2.9 cm soft tissue mass in the head of the pancreas and uncinate process with associated pancreatic ductal and adjacent biliary ductal dilatation (Figure 2). A Whipple procedure was performed and pathology was consistent with a poorly differentiated exocrine adenocarcinoma of the pancreatic head (Figure 3) with invasion into the common bile duct and metastases to two of eight peripancreatic lymph nodes (stage T3N1M0). The patient underwent adjuvant radiation therapy along with capecitabine followed by weekly gemcitabine, with a plan to complete a total of six months of adjuvant chemotherapy. However, a restaging CT of the abdomen and pelvis two months later showed studding along the greater omentum and mesentery, which was concerning for early peritoneal spread of the tumor. A PET/CT revealed intensely increased metabolic activity in the gallbladder fossa measuring 5.8x3.4 cm with a maximum standardized uptake value (SUVm) of 10.3. There was an additional focus of intensely increased metabolic uptake near the left anterior abdominal wall with a maximum SUVm of 5.8. Due to obvious metastatic disease, he was started on systemic chemotherapy with folinic acid (leucovorin), 5-fluorouracil, irinotecan and oxaliplatin (FOLFIRINOX). Two months later, a restaging PET/CT showed a new 3 cm metastasis in the right lobe of the liver. The patient’s condition deteriorated rapidly; he developed sepsis secondary to cholangitis and was admitted to the intensive care unit. A family decision was ultimately made to focus on comfort-oriented care, and he expired soon thereafter.

|
Figure 2. Abdominal CT scan showing a low-attenuation mass (arrow) in the head of the pancreas and uncinate process, consistent with pancreatic adenocarcinoma. |

|
Figure 3. Microphotograph displaying adenocarcinoma (arrow) of the pancreas (H&E, 4x magnification). |
DISCUSSION
Development of a second primary malignancy after an index esophageal cancer is a relatively rare occurrence. This is likely due to the poor prognosis in most patients with esophageal cancer. While the true incidence of developing a second primary malignancy after an index esophageal cancer is unknown, some studies have estimated it to represent 8.3-27.1% [2, 3, 4, 5, 6]. Several retrospective population-based studies have been conducted in this regard involving patients from around the world, mainly Japan, China, Europe and the United States. Interestingly, the sites of second primary malignancies in patients with esophageal cancers do not seem to vary much geographically. In Japan, the most common locations of second primary malignancies were the head and neck and stomach [7, 8, 9]. Studies conducted in China [10] and Europe [11] also showed a strong association of esophageal cancer with the development of second cancers the head and neck as well as stomach. In the United States [12], second primary malignancies after esophageal adenocarcinoma most commonly involved the pancreas, oropharynx and kidney/renal pelvis, whereas second primary malignancies after squamous cell carcinoma of the esophagus were more likely to affect the oropharynx, thyroid, and lung/bronchus. Therefore, the type of second primary malignancy that could develop after a primary esophageal cancer appears to be predicted with a relatively high accuracy.
Development of esophageal cancers and their associated second primary malignancies likely occurs due to a constellation of environmental factors, intrinsic and induced genetic and immune disturbances. However, perhaps the most important risk factor is the utilization of tobacco. Smoking is clearly linked to esophageal cancer, in particular squamous cell carcinoma of the esophagus, but it is also a risk factor for developing esophageal adenocarcinoma and various second primary malignancies due to the concept of “field cancerization” [13, 14]. “Field cancerization” is a concept implying the replacement of the normal cell population by a histologically non dysplastic but protumorigenic mutant cell clone. Therefore, epithelial exposure of the head and neck, lung and esophagus to common carcinogenic agents leads to the development of multiple cancers in these regions.
Prior radiation therapy for the index cancer also increases the risk for developing a second primary malignancy, likely due to induced genetic mutations and immune alterations. Therefore, re-irradiation of these patients is controversial, and should be offered only to carefully selected patients [15].
Furthermore, patients who go on to develop gastrointestinal malignancies may in fact represent a susceptible population, with immune alterations predisposing them toward developing neoplasms at multiple sites along the gastrointestinal tract. Studies suggest that patients with gastrointestinal malignancies might have an increased population of CD4+ CD25+ T-cells that may be related to immunosuppression and tumor progression [16]. Epithelial cells in these individuals may secrete soluble factors that influence dendritic cell distribution and promote tumor progression by rendering them tolerogenic [17].
Prognosis of esophageal cancer associated with second primary malignancies was once thought to be extremely poor, given the high mortality rate due to the esophageal cancer itself [18]. However, more recent data suggest that the outcomes of these patients may not necessarily be all that dismal [8]. Generally speaking, long-term survival is better in patients with esophageal cancers detected at an earlier stage, largely due to the potential for surgical resection. Current literature demonstrates subsequent emergence of second primary malignancies in this patient population, which could also be explained by their improved survival.
Notwithstanding, pancreatic cancer as a second primary malignancy almost always portends a poor prognosis, and our patient’s case proves it. His disease-free interval was shorter than the projected one for his disease stage, despite surgery with a curative intent followed by adjuvant chemoradiotherapy. Therefore, close surveillance is imperative in these patients including careful follow-up, regular clinical examinations and panendoscopy as indicated. However, no optimal treatment guidelines have been established, and serial imaging may not detect an early recurrence. Further studies on the incidence of second primary malignancies in esophageal cancers, particularly in more varied geographic locations, as well as cost-benefit analysis of early screening for second primary malignancies are necessary in order to establish optimal screening and treatment algorithms. Furthermore, involving and educating patients is crucial to ensure lifestyle modifications and to accomplish the best possible long-term results.
Received July 31st, 2013 – Accepted October 12th, 2013
Key words Adenocarcinoma; Esophageal Neoplasms; Neoplasms, Second Primary; Pancreatic Neoplasms
Conflict of interest The authors have no potential conflict of interests
Correspondence
Nina
Nandy
Department of Internal Medicine
University of Connecticut
100
Wells Street #903
Hartford,
CT 06103
USA
Phone: +1-607.227.5350
E-mail: nina.nandy@gmail.com
References
1. Matsubara T, Yamada K, Nakagawa A. Risk of second primary malignancy after esophagectomy for squamous cell carcinoma of the thoracic esophagus. J Clin Oncol 2003; 21: 4336- 4341.
2. Goodner J, Watson W. Cancer of the esophagus. Cancer 1956; 9: 1248-1252.
3. Bosch A, Frias Z, Caldwell W, et al. Autopsy findings in carincoma of the esophagus. Acta Radiol Oncol 1979; 18: 103-112.
4. Shibuya H, Takagi J, Horiuchi S, et al. Carcinoma of the esophagus with synchronous or metachronous primary carcinomas in other organs. Acta Radiol Oncol 1982; 21: 39-43.
5. Fogel TD, Harrison LB, Son YH. Subsequent upper aerodigestive malignancies following treatment of esophageal cancer. Cancer 1985; 55: 1882-1885.
6. Poon R, Law S, Chu K, et al. Multiple primary cancers in esophageal squamous cell carcinoma: incidence and implications. Ann Thorac Surg 1998; 65: 1529-1534.
7. Abo S, Miura H, Kudo T, et al. Concurrent cancer of the esophagus and other organ in Japan. Jpn J Gastroenterol Surg 1980; 13: 377-381.
8. Kagei K, Hosokawa M, Shirato H, et al. Efficacy of intense screening and treatment for synchronous second primary cancers in patients with esophageal cancer. Jpn J Clin Oncol 2002; 32: 120-127.
9. Koide N, Yazawa K, Koike S, et al. Oesophageal cancer associated with other primary cancers: a study of 131 patients. J Gastroenterol and Hepatol 1997; 12: 690-694.
10. Zhu G, Chen Y, Zhu Z, et al. Risk of second primary cancer after treatment for esophageal cancer: a pooled analysis of nine cancer registries. Diseases of the Esophagus 2012; 25: 505-511.
11. Chaung S, Hashibe M, Scelo G, et al. Risk of second primary cancer among esophageal cancer patients: a pooled analysis of 13 cancer registries. Cancer Epidemiol Biomarkers Prev 2008; 17: 1543-1549.
12. Das A, Thomas S, Zablotska LB, et al. Association of esophageal adenocarcinoma with other subsequent primary cancers. J Clin Gastroenterol 2006; 40; 405-411.
13. Van Rees BP, Cleton-Jansen AM, Cense HA, et al. Molecular evidence of field cancerization in a patient with 7 tumors of the aerodigestive tract. Hum Pathol 2000; 31: 269-271.
14. Graham TA, McDonald SA, Wright NA. Field cancerization in the GI tract. Future Oncol. 2011 Aug;7(8):981-993.
15. Zhu G, Chen Y, Zhu Z, et al. Risk of second primary cancer after treatment for esophageal cancer: a pooled analysis of nine cancer registries. Diseases of the Esophagus 2012; 25: 505-511.
16. Shi X, Liu L, Din Q. A study on the CD(4) (+) CD (25) (+) regulatory T cells in patients with gastrointestinal malignancies. Med Oncol 2009; 4: 471-475.
17. Somja J, Demoulin S, Roncarati P et al. Dendritic cells in Barrett’s esophagus carcinogenesis: an inadequate microenvironment for antitumor immunity? Am J Pathol 2013; 182: 2168-2179.
18. Abo S, Miura H, Kudo T, et al. Concurrent cancer of the esophagus and other organ in Japan. Jpn J Gastroenterol Surg 1980; 13: 377-381.