ORIGINAL ARTICLE
Pancreatic Mucinous Cystic Neoplasm Size Using CT Volumetry, Spherical and Ellipsoid Formulas: Validation Study
Hamid Chalian1, Adeel Rahim Seyal1, Pedram Rezai1, Hüseyin Gürkan Töre1, Frank H Miller1, David J Bentrem2, Vahid Yaghmai1
Departments of 1Radiology and 2Surgery, Feinberg School of Medicine, Northwestern University. Chicago, IL, USA
ABSTRACT
Context The accuracy for determining pancreatic cyst volume with commonly used spherical and ellipsoid methods is unknown. The role of CT volumetry in volumetric assessment of pancreatic cysts needs to be explored. Objectives To compare volumes of the pancreatic cysts by CT volumetry, spherical and ellipsoid methods and determine their accuracy by correlating with actual volume as determined by EUS-guided aspiration. Setting This is a retrospective analysis performed at a tertiary care center. Patients Seventy-eight pathologically proven pancreatic cysts evaluated with CT and endoscopic ultrasound (EUS) were included. Design The volume of fourteen cysts that had been fully aspirated by EUS was compared to CT volumetry and the routinely used methods (ellipsoid and spherical volume). Two independent observers measured all cysts using commercially available software to evaluate inter-observer reproducibility for CT volumetry. Main outcome measures The volume of pancreatic cysts as determined by various methods was compared using repeated measures analysis of variance. Bland-Altman plot and intraclass correlation coefficient were used to determine mean difference and correlation between observers and methods. The error was calculated as the percentage of the difference between the CT estimated volumes and the aspirated volume divided by the aspirated one. Results CT volumetry was comparable to aspirated volume (P=0.396) with very high intraclass correlation (r=0.891, P<0.001) and small mean difference (0.22 mL) and error (8.1%). Mean difference with aspirated volume and error were larger for ellipsoid (0.89 mL, 30.4%; P=0.024) and spherical (1.73 mL, 55.5%; P=0.004) volumes than CT volumetry. There was excellent inter-observer correlation in volumetry of the entire cohort (r=0.997, P<0.001). Conclusions CT volumetry is accurate and reproducible. Ellipsoid and spherical volume overestimate the true volume of pancreatic cysts.
INTRODUCTION
Unsuspected pancreatic cystic lesions are detectable in 2.6% of CT images in adult outpatient population imaged for diseases unrelated to the pancreas [1]. This percentage increases by age to 8.7% in individuals from 80 to 89 years [1]. Because these lesions may be a precursor of malignancy or already harbor cancer, appropriate management of these lesions is imperative. Ideal management strategies for suspected pancreatic cystic lesions are still a matter of debate. Guidelines have been proposed using size criteria and recommend management based on a size of 3 cm [2, 3, 4].
Recent advances in CT technology, allowing thin slice acquisitions in combination with advanced post processing applications allow volumetric quantification or volumetry of anatomic and pathologic structures [5]. Volumetry is rapidly becoming an integral constituent of imaging biomarkers in the management of neoplastic lesions [6, 7]. It has been shown that volumetry provides a more accurate depiction of tumor size and response to therapy than one- or two-dimensional measurements [8, 9, 10]. For example, CT volumetry has been shown to be more accurate than one-dimensional measurements for determination of the size of different targets including pulmonary nodules and hepatic lesions [11, 12]. Accurate quantification of pancreatic cyst volume by imaging would be of interest because volumetry may provide a better assessment for malignant potential compared with the currently used one-dimensional measurement [13].
The accuracy and reproducibility of CT volumetry of pancreatic cystic masses has not been reported.
Endoscopic ultrasonography (EUS) aspirated volume of the completely collapsed pancreatic cysts has been used to measure their actual volume [14]. The ellipsoid [12, 15] and spherical formulas[16, 17] are commonly used to estimate the volume of many anatomic structures from cross-sectional imaging studies. However, the accuracy of these formulas for predicting pancreatic cyst volume is not known. We calculated the accuracy of CT volumetry, ellipsoid formula and spherical formula by comparing them to the aspirated volume obtained under the guidance of EUS. We also evaluated reproducibility of CT volumetry in measurement of pancreatic cysts.
METHODS
Study Design
The study was designed to evaluate the accuracy of CT volumetry, ellipsoid and spherical formulas in determining the volume of pancreatic cystic lesions. To assess accuracy, two observers calculated the volume of the cysts that had been completely aspirated by EUS based on the CT images by using a commercially available CT volumetry software (syngo® 2008A CT Oncology, Siemens Healthcare, Erlangen, Germany) as well as ellipsoid and spherical formulas. The mean of measurements by the two observers were used for comparison with the aspirated volume. For evaluation of the inter-observer reproducibility of the CT volumetry, both observers’ measurements on the entire cohort were compared.
Study Sample
Patient selection was performed in our institution’s surgical record database search engine using the following key words: “pancreatic cyst” and “EUS”. Three-hundred and fifty surgically proven pancreatic cysts during the period of January 2000 to June 2009 were included (Figure 1). One-hundred and thirty-three of the cysts (38.0%) had been imaged by CT before resection with images and EUS report available.

|
Figure 1. Flowchart showing study cohort selection. EUS: endoscopic ultrasonography; IPMN: intraductal papillary mucinous neoplasm; MCN: mucinous cystic neoplasm; SCN: serous cystic neoplasm |
Study population used for assessment of the reproducibility of CT volumetry consists of 78 pathologically proven pancreatic cysts in 72 patients (6 patients with 2 cysts each and 66 patients with one cyst each) because 55 branch duct intraductal papillary mucinous neoplasms were excluded.
For assessment of the accuracy of CT volumetry, we further excluded all multilocular cysts, those with solid component and those with potential connection to the main pancreatic duct based on the EUS report. These included 37 mucinous cystic neoplasms, 22 serous cystadenomas and 5 pseudocysts. Therefore, accuracy of CT volumetry, ellipsoid and spherical formulas were assessed based on the aspirated volume of 14 unilocular completely collapsed mucinous cystic neoplasms (Figure 1).
CT Imaging Protocol
All CT scans were obtained using Siemens Somatom Sensation 16 or 64-slice scanners (Siemens Medical Solutions, Erlangen, Germany) or GE LightSpeed 4-slice scanner (GE HealthCare, Waukesha, WI, USA). Image acquisition consisted of triphasic pancreatic protocol that included unenhanced images of the abdomen, followed by pancreatic parenchymal phase of the abdomen obtained at 40 seconds and portal venous phase of the abdomen and pelvis obtained at 70 seconds. Pancreatic parenchymal phase was obtained using a 0.6-, 0.75- or 1.25-mm collimation and 2- or 2.5-mm slice thickness during intravenous administration of 125 mL of iohexol 350 (OmnipaqueTM, GE Healthcare, Waukesha, WI, USA); total dose of iodine: 43.75 g) at the rate of 4 mL/second. Intravenous contrast was administered via an antecubital vein using an 18- to 20-gauge intravenous catheter and a mechanical injector (Stellant, Medrad, Inc., Warrendale, PA, USA).
Image Analysis
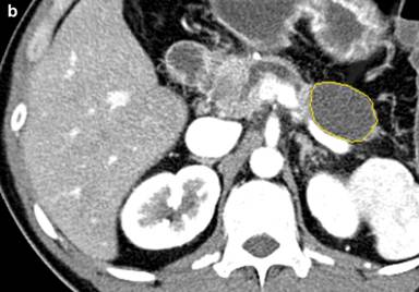
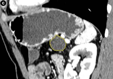
For measurement of the cyst diameter and volume, commercially available software (CT Oncology; Siemens Medical Solutions) was used on an image-processing workstation (Leonardo Workstation, syngo® 2008A MultiModality Workplace (VE26A) platform; Siemens Healthcare, Erlangen, Germany). Two independent investigators (H.C. and P.R.) with one and two years of experience using the software, respectively, performed the measurement on pancreatic parenchymal phase images. Pancreatic parenchymal phase was selected due to the superior conspicuity of the lesions in this phase. The application of this software in the volumetric measurement of abdominal masses has been described previously [13, 18]. The graphic user interface is divided into 4 screens: axial, coronal, sagittal and 3D views. Once the investigator identifies the pancreatic mass by drawing an approximate line across it, the software selects the entire lesion. This is achieved by three-dimensional reasoning by the software to remove neighboring normal pancreatic tissue, hence, generating a volume of interest around the drawn line and extends the segmentation on the basis of histogram analysis within the generated volume on interest (Figure 2). The selections can be edited by the investigator in x, y, and z planes, if necessary.




|
Figure 2. Coronal (a.), axial (b.), sagittal (c.) and three dimensional (d.) CT images of a histopathologically proven pancreatic tail mucinous cystic neoplasm in a 39-year-old man. Despite a dilated pancreatic duct no connection was visualized on endoscopic ultrasound with the cyst. Borders of cyst are marked with yellow line by the software. CT volumetry (22.3 mL) and an elongation value (0.67) for the cyst were automatically generated by the software once the measurement was finalized by the observer. Pancreatic head cyst was not segmented because of apparent connection with the pancreatic duct that was dilated. Also, note that the patient was a male with mucinous cystic neoplasm, an extremely rare occurrence. |
The longest diameters of the cyst on three orthogonal planes were also measured by observers (R1: axial, R2: coronal, R3: sagittal) on CT images. The volume of a sphere with a diameter equal to the longest diameter of the cyst on axial plane (spherical volume = π x R13 / 6) was calculated for each cyst. Ellipsoid volume was also calculated for each cyst based on the following formula: (R1 x R2 x R3 x π / 6) [15]. The elongation value is defined as 1 - aspect ratio, or 1 - ( width / length ) [19]. The elongation value is a quantitative depiction of morphology and ranges from 0 to 1. An object symmetrical in all axes (i.e., spherical) has an elongation value of 0. Objects with large aspect ratios (i.e., ellipsoid) have elongation values close to 1. Volumes based on spherical and ellipsoid formulas were manually calculated.
ETHICS
This retrospective Health Insurance Portability and Accountability Act (HIPAA) compliant study was approved by our institutional review board. Patient informed consent was waived. The study protocol conforms to the ethical guidelines of the "World Medical Association (WMA) Declaration of Helsinki - Ethical Principles for Medical Research Involving Human Subjects" adopted by the 18th WMA General Assembly, Helsinki, Finland, June 1964 and amended by the 59th WMA General Assembly, Seoul, South Korea, October 2008.
STATISTICS
Statistical analyses were performed using MedCalc for Windows, version 9.6.4.0 (MedCalc Software, Mariakerke, Belgium). Paired t-test was used to assess the difference between longest diameters on axial plane and also between CT volumetry obtained by the observers. Repeated measures analysis of variance (ANOVA) was used to assess the difference among the aspirated volume and CT volumetry, ellipsoid volume and spherical volume. Bonferroni-Dunn multiple comparison tests were used to identify the significant difference in mean between the groups. The mean difference and correlation between the observers and methods were assessed by Bland-Altman plot and intraclass correlation coefficient. The 95% limits of agreement were also calculated. The error was calculated as the percentage of the difference between the aspirated volume and CT volumetry, spherical volume or ellipsoid volume divided by the aspirated volume. The data are reported as mean ± standard deviation (SD). The significance level was set at two-tailed P value of 0.05.
RESULTS
Demographics
Seventy-two patients with 78 pathologically proven pancreatic cystic lesions (51 mucinous cystic neoplasms, 22 serous cystic neoplasms and 5 pseudocysts) that underwent CT before resection were included. Seventeen cysts were located in the head, 26 in the body and 35 in the tail of pancreas. Mean transaxial diameters of the mucinous cystic neoplasms, serous cystic neoplasms, and pseudocysts were 2.9±2.3 cm, 4.4±3.6 cm, and 4.8±4.9 cm, respectively. Study population consisted of 14 males and 58 females, with a mean age of 57.5±16.9 years (range of 19 to 81 years). The mean time interval between obtaining CT and performing EUS was 36±53 days.
Inter-Observer Reproducibility
For all seventy-eight cysts in seventy-two patients, the mean values for R1 (axial plane) were 3.56±2.93 cm and 3.49±2.98 cm for observer #1 and observer #2, respectively (P=0.198). Intraclass correlation coefficient between two observers was strong (r=0.995, P<0.001). Based on Bland-Altman plot, the mean difference (bias) and the error between measuring the diameter of the cyst on axial plane by two observers were 0.06 cm (95% limits of agreement: -0.76 to 0.88 cm) and 1.7% (95% limits of agreement: -30.2% to 33.7%), respectively.
Mean values for CT volumetry were 55.5±155.9 mL and 53.5±146.4 mL for observer #1 and observer #2, respectively (P=0.294). Intraclass correlation coefficient between two observers was strong for CT volumetry (r=0.997, P<0.001) (Figure 3a). The mean difference (bias) and error between CT volumetry by two observers were 2.0 mL (95% limits of agreement: -31.8 to 35.9 mL) and 4.8% (95% limits of agreement: -63.5% to 73.1%), respectively (Figure 3b).


|
Figure 3. a. Intraclass correlation between two observers in calculating volume of the entire cohort by CT volumetry. b. Bland-Altman plot depicting the bias (2.0 mL) and 95% limits of agreement (-31.8 to 35.9 mL) in calculating volume by CT volumetry. Mean CT volumetry was 55.5±155.9 mL and 53.5±146.4 mL for observers #1 and #2, respectively. |
In the fourteen fully aspirated cysts, there was also a strong intraclass correlation between observers’ measurements of diameter on axial plane (r=0.972, P<0.001) and CT volumetry (r=0.986, P<0.001) (Figure 4a). Raw data are shown in Table 1. Mean CT volumetry were 2.35±1.66 mL and 2.21±1.44 mL for observers #1 and #2, respectively. The mean difference (bias) and error of CT volumetry between observers were 0.14 mL (95% limits of agreement: -0.57 to 0.85 mL) and 4.5% (95% limits of agreement: -23.4% to 32.5%), respectively (Figure 4b).
|
Table 1. Raw data for measurement of 14 completely collapsed pancreatic cysts. |
|||||
|
Case |
Longest transaxial diameter (R1; cm) |
|
CT volumetry |
||
|
Observer |
Observer |
Observer |
Observer |
||
|
#1 |
1.17 |
1.01 |
|
0.35 |
0.32 |
|
#2 |
1.20 |
1.05 |
|
0.45 |
0.35 |
|
#3 |
1.04 |
0.93 |
|
0.26 |
0.26 |
|
#4 |
1.69 |
2.01 |
|
1.47 |
2.06 |
|
#5 |
1.52 |
1.50 |
|
1.94 |
1.88 |
|
#6 |
2.19 |
2.31 |
|
4.10 |
3.12 |
|
#7 |
1.46 |
1.47 |
|
1.37 |
1.28 |
|
#8 |
1.69 |
1.97 |
|
1.95 |
2.06 |
|
#9 |
2.47 |
2.64 |
|
5.45 |
4.79 |
|
#10 |
2.27 |
2.21 |
|
4.20 |
4.02 |
|
#11 |
2.14 |
2.17 |
|
4.21 |
3.88 |
|
#12 |
2.23 |
2.20 |
|
3.54 |
3.27 |
|
#13 |
2.18 |
2.06 |
|
1.48 |
1.47 |
|
#14 |
1.88 |
2.15 |
|
2.12 |
2.16 |
|
Mean±SD |
1.80±0.47 |
1.83±0.54 |
|
2.35±1.66 |
2.21±1.44 |


|
Figure 4. a. Intraclass correlation between two observers in calculating volume of the collapsed cysts (14 MCNs) by CT volumetry. b. Bland-Altman plot depicting the bias (0.14 mL) and 95% limits of agreement (-0.57 to 0.85 mL) between two observers in calculating CT volumetry. Mean CT volumetry were 2.35±1.66 mL and 2.21±1.44 mL for observers #1 and #2, respectively. |
Accuracy of CT Volumetry
Mean aspirated volume was 2.05±1.56 mL and mean volume based on CT volumetry was 2.27±1.54 mL (P=0.396). There was a very high intraclass correlation between EUS aspirated volume and CT volumetry (r=0.891, P<0.001) (Figure 5). Mean difference and error between CT volumetry and aspirated volume were 0.22 mL (95% limits of agreement: -1.68 to 2.14 mL) and 8.1% (95% limits of agreement: -80.7% to 96.9%), respectively.


|
Figure 5. a. Intraclass correlation between aspirated volume by EUS and CT volumetry. b. Bland-Altman plot depicting the bias (0.22 mL) and 95% limits of agreement (-1.68 to 2.14 mL) for CT volumetry. Mean CT volumetry was 2.27±1.54 mL. Mean aspirated volume was 2.05±1.56 mL. |
Mean value of the ellipsoid volume was 2.94±2.06 mL. Ellipsoid volume was significantly higher than aspirated volume (P=0.024). There was a good intraclass correlation between them (r=0.852, P=0.001) with a mean difference of 0.89 mL (95% limits of agreement: -1.67 to 3.47 mL) and error of 30.4% (95% limits of agreement: -63.6% to 124.5%). Mean value of the spherical volume was 3.78±2.47 mL. Spherical volume was significantly larger than aspirated volume (P=0.004). Intraclass correlation coefficient between them was r=0.756 (P=0.008). Bland-Altman plot showed mean difference and error of 1.73mL (95% limits of agreement: -1.88 to 5.30 mL) and 55.5% (95% limits of agreement: -42.3% to 153.4%), respectively (Table 2).
|
Table 2. Intraclass correlation, mean difference and error between calculated volumes of 14 completely collapsed cystic pancreatic lesions and aspirated volume by endoscopic ultrasound. |
|||||
|
|
Mean±SD |
P value |
Intraclass correlation |
Mean difference a |
Error a |
|
CT-based volumetry |
|||||
|
- Observer #1 |
2.35±1.66 |
0.305 |
r=0.882, P<0.001 |
0.29 (-1.75 to 2.35) |
10.0 (-78.7 to 98.8) |
|
- Observer #2 |
2.21±1.44 |
0.536 |
r=0.894, P<0.001 |
0.15 (-1.67 to 1.98) |
5.6 (-84.3 to 95.6) |
|
Mean |
2.27±1.54 |
0.396 |
r=0.891, P<0.001 |
0.22 (-1.68 to 2.14) |
8.1 (-80.7 to 96.9) |
|
Prolate ellipsoid volume |
|||||
|
- Observer #1 |
2.99±2.17 |
0.035 |
r=0.817, P=0.002 |
0.93 (-1.98 to 3.86) |
30.8 (-59.8 to 121.5) |
|
- Observer #2 |
2.90±2.00 |
0.022 |
r=0.867, P<0.001 |
0.85 (-1.56 to 3.27) |
28.4 (-71.8 to 128.7) |
|
Mean |
2.94±2.06 |
0.024 |
r=0.852, P=0.001 |
0.89 (-1.67 to 3.47) |
30.4 (-63.6 to 124.5) |
|
Spherical volume |
|||||
|
- Observer #1 |
3.58±2.35 |
0.005 |
r=0.779, P=0.005 |
1.53 (-1.80 to 4.87) |
54.5 (-39.9 to 149.0) |
|
- Observer #2 |
3.97±2.67 |
0.004 |
r=0.711, P=0.017 |
1.92 (-2.14 to 6.00) |
55.3 (-51.1 to 161.8) |
|
Mean |
3.78±2.47 |
0.004 |
r=0.756, P=0.008 |
1.73 (-1.88 to 5.30) |
55.5 (-42.3 to 153.4) |
|
a Values in parentheses represent 95% limits of agreement versus aspirated volume by endoscopic ultrasound SD: standard deviation |
|||||
Mean elongation value of the collapsed cysts was 0.61±0.15 which is consistent with non-spherical morphology. Mean time for segmentation required to determine cyst volumes using CT volumetry was 20.7±19.8 seconds.
DISCUSSION
It has been shown that non-inflammatory pancreatic cystic lesions are more common than previously recognized. Small pancreatic cysts were found in 24% (73 out of 300) autopsies [20]. High-resolution imaging modalities have improved detection of pancreatic cysts. Although the best management for cystic pancreatic lesions is yet to be fully determined, consensus guidelines recommend management based on their size and malignant potential. Size of the cysts has also been used to suggest follow-up guidelines [2]. Some authors have emphasized a more aggressive therapeutic approach [21]. Several studies have shown that volumetric measurement of masses is a better method for evaluation of the size and their changes over time [9, 10, 11, 13, 17]. One-dimensional measurements that are commonly recommended for management of pancreatic cystic lesions are based on the assumption that measured lesions are spherical and their dimensions change accordingly [22, 23, 24, 25].
To establish the accuracy of the CT volumetry in measuring pancreatic cysts, we compared the volume of the cysts at CT with the volume of fluid aspirated during EUS. EUS aspirated volume was used as the gold standard to measure the true volume of the completely aspirated pancreatic cysts [14]. Our results demonstrate high accuracy of CT volumetry, providing values comparable with aspirated volume with a very strong correlation and low bias rate of 6.9%. Keil et al. also reported percentage error ranging from 5% to 11% for CT volumetry of hepatic lesion phantoms [12].
Our analysis showed that spherical volume estimation, which assumes that lesions have equal diameter regardless of imaging plane, overestimates actual volume dramatically in pancreatic cystic lesions (error equal to 55.5%). This suggests that longest diameter alone is not an accurate surrogate of the actual volume in pancreatic cystic lesions. We also calculated the ellipsoid volume using the longest diameters on three orthogonal planes. Results had less error compared to the spherical volume (error equal to 30.4% vs. 55.5%), but were still not as accurate as CT volumetry (error equal to 30.4% vs. 8.1%). The reason for the differences between spherical and ellipsoid volumes and aspirated volume of the pancreatic cysts may be because these lesions are neither perfectly spherical nor ellipsoid. The elongation value in our study (mean value equal to 0.61) supports the non-spherical morphology of the pancreatic cystic lesions. Our result was in line with a previous study that found 50% overestimation for calculation of pancreatic cyst volume by diameter on axial plane [13].
We also evaluated the reproducibility of CT volumetry for measurement of pancreatic cystic lesions. We found that CT volumetry is a highly reproducible method for measurement of pancreatic cystic volume with error of 4.8% for calculation of volume between observers. Our results are in agreement with previous reports on reproducibility of CT volumetry of pancreatic and pulmonary lesions as well as lymph nodes [13, 26, 27]. In a previous study on pancreatic cystic lesions, Aghaei-Lasboo et al. showed that CT volumetry had a mean inter-observer variability of approximately 2% for measurement of the volume [13]. In a study using the same technique as ours for measurement of the volume of pulmonary nodules on 50 cases, investigators found mean error of 0.7% with 10% standard deviation for reproducibility of CT volumetry [28]. Similar high reproducibility is reported by other investigators for CT volumetry of pulmonary nodules [26, 29]. Although there are reports on reproducibility of the CT volumetry of different lesions, in vivo accuracy of this method has not been well studied, especially on pancreatic cystic lesions.
Our study has limitations. Our cohort for validation of volumetry by endoscopic ultrasound was small due to very strict inclusion criteria that excluded many cystic lesions. Our relatively small sample size might limit the power of analysis in finding statistically significant differences. Further investigation on larger cohorts is warranted. Previously, differences in volumetric measurements of lung nodules have been reported in repeat scans of the same lesion. These differences occur due to the inherent variability of the acquisition parameters [30, 31]. Assessment of the inter-scan variability was out of the scopes of our study. The use of different scanners has been shown to lead to reproducible results in pulmonary nodules [32]. Although we used four, sixteen and sixty-four slice scanners in our study, slice thickness was similar across scanners (data not shown). One previous study advocates that slice thickness may affect volumetry of small lesions [33]. We utilized a slice thickness of 2-2.5 mm similar to that used in clinical practice when pancreatic masses are evaluated by CT [34, 35]. Our results suggest that this slice thickness will provide accurate and reproducible volumetric measurement of pancreatic cysts. Although previous reports suggest that the malignant potential of pancreatic cysts may be predicted based on their size and morphology [36, 37, 38], distinguishing between different pancreatic cyst types based on their volume was not the purpose of this study. Before volumetric measurement of pancreatic cyst is incorporated into management guidelines, it is essential to determine the best method to measure the cyst volume.
In conclusion, CT volumetry is accurate and highly reproducible. Due to the irregular shape of pancreatic cystic lesions, measurement of the volume by conventional spherical or ellipsoid methods may be inaccurate. CT volumetry, if incorporated into daily clinical practice, will provide a more reliable and precise means of characterizing pancreatic cystic lesions at the time of initial diagnosis and on follow-up imaging. Our study validates CT volumetry as an accurate and reproducible volumetric analysis tool for pancreatic cysts. Further research work to focus on its potential to influence the current management guidelines is encouraged.
Received July 31st, 2013 – Accepted October 22nd, 2013
Key words Cysts; Neoplasms, Cystic, Mucinous, and Serous; Pancreas; Pancreatic Cyst; Tomography, X-Ray Computed
Abbreviations EUS: endoscopic ultrasound; HIPAA: Health Insurance Portability and Accountability Act; IPMN: intraductal papillary mucinous neoplasm; MCN: mucinous cystic neoplasms; ANOVA: analysis of variance; SCN: serous cystic neoplasm
Conflicts of interest and source of funding H.C., A.R.S., P.R. and H.G.T. were supported by educational grant from Siemens Healthcare (Erlangen, Germany). For the remaining authors none were declared. No conflict of interest
Correspondence
Vahid Yaghmai
Department of Radiology
Northwestern Memorial Hospital
Northwestern University - Feinberg School of Medicine
676 North Saint Clair Street Suite 800
Chicago, IL 60611
USA
Phone: +1-312.695.2425
Fax: +1-312.695.5645
E-mail: v-yaghmai@northwestern.edu
References
1. Laffan TA, Horton KM, Klein AP, Berlanstein
B, Siegelman SS, Kawamoto S, et al. Prevalence of
unsuspected pancreatic cysts on MDCT. AJR Am J Roentgenol
2008; 191:802-807. [PMID 18716113]
2. Tanaka M, Chari S, Adsay V, Fernandez-del Castillo C, Falconi M, Shimizu M, et al. International consensus guidelines for management of intraductal papillary mucinous neoplasms and mucinous cystic neoplasms of the pancreas. Pancreatology 2006; 6:17-32. [PMID 16327281]
3. Sahani DV, Miller JC, del Castillo CF, Brugge WR, Thrall JH, Lee SI. Cystic pancreatic lesions: classification and management. J Am Coll Radiol 2009; 6:376-380. [PMID 19394581]
4. Allen PJ, D'Angelica M, Gonen M, Jaques DP, Coit DG, Jarnagin WR, et al. A selective approach to the resection of cystic lesions of the pancreas: results from 539 consecutive patients. Ann Surg 2006; 244:572-582. [PMID 16998366]
5. Singh AK, Hiroyuki Y, Sahani DV. Advanced postprocessing and the emerging role of computer-aided detection. Radiol Clin North Am 2009; 47:59-77. [PMID 19195534]
6. Buckler AJ, Mulshine JL, Gottlieb R, Zhao B, Mozley PD, Schwartz L. The Use of Volumetric CT as an Imaging Biomarker in Lung Cancer. Academic Radiology 2010; 17:100-106. [PMID 19969253]
7. Lee SM, Kim SH, Lee JM, Im S-A, Bang Y-J, Kim WH, et al. Usefulness of CT volumetry for primary gastric lesions in predicting pathologic response to neoadjuvant chemotherapy in advanced gastric cancer. Abdominal Imaging 2008; 34:430-440. [PMID 18546037]
8. Mozley PD, Bendtsen C, Zhao B, Schwartz LH, Thorn M, Rong Y, et al. Measurement of Tumor Volumes Improves RECIST-Based Response Assessments in Advanced Lung Cancer. Translational oncology 2012; 5:19-25. [PMID 22348172]
9. Chalian H, Tochetto SM, Tore HG, Rezai P, Yaghmai V. Hepatic tumors: region-of-interest versus volumetric analysis for quantification of attenuation at CT. Radiology 2012; 262:853-861. [PMID 22357887]
10. Galizia MS, Tore HG, Chalian H, McCarthy R, Salem R, Yaghmai V. MDCT necrosis quantification in the assessment of hepatocellular carcinoma response to yttrium 90 radioembolization therapy: comparison of two-dimensional and volumetric techniques. Acad Radiol 2012; 19:48-54. [PMID 22054801]
11. Zhao B, Schwartz LH, Moskowitz CS, Ginsberg MS, Rizvi NA, Kris MG. Lung cancer: computerized quantification of tumor response--initial results. Radiology 2006; 241:892-898. [PMID 17114630]
12. Keil S, Plumhans C, Behrendt FF, Stanzel S, Suehling M, Muhlenbruch G, et al. Semi-automated quantification of hepatic lesions in a phantom. Invest Radiol 2009; 44:82-88. [PMID 19104439]
13. Aghaei Lasboo A, Rezai P, Yaghmai V. Morphological analysis of pancreatic cystic masses. Acad Radiol 2010; 17:348-351. [PMID 20005746]
14. Walsh RM, Zuccaro G, Dumot JA, Vargo J, Biscotti CV, Hammel J, Brown N. Predicting success of endoscopic aspiration for suspected pancreatic cystic neoplasms. JOP : Journal of the pancreas 2008; 9:612-617. [PMID 18762692]
15. Rkein A, Harrigal C, Friedman A, Persky D, Krupinski E. Comparison of the Accuracy of CT Volume Calculated by Circumscription to Prolate Ellipsoid Volume (Bidimensional Measurement Multiplied by Coronal Long Axis). Academic Radiology 2009; 16:181-186. [PMID 19124103]
16. Nishino M, Jagannathan JP, Ramaiya NH, Van den Abbeele AD. Revised RECIST Guideline Version 1.1: What Oncologists Want to Know and What Radiologists Need to Know. American Journal of Roentgenology 2010; 195:281-289. [PMID 20651182]
17. Marten K, Auer F, Schmidt S, Kohl G, Rummeny EJ, Engelke C. Inadequacy of manual measurements compared to automated CT volumetry in assessment of treatment response of pulmonary metastases using RECIST criteria. Eur Radiol 2006; 16:781-790. [PMID 16331462]
18. Keil S, Behrendt FF, Stanzel S, Suhling M, Koch A, Bubenzer J, et al. Semi-automated measurement of hyperdense, hypodense and heterogeneous hepatic metastasis on standard MDCT slices. Comparison of semi-automated and manual measurement of RECIST and WHO criteria. Eur Radiol 2008; 18:2456-2465. [PMID 18523775]
19. Instruments M. Particle size and shape measurement. Malvern Instruments. http://www.fei.com/uploadedFiles/Documents/Content/particle_morphology.pdf
20. Kimura W, Nagai H, Kuroda A, Muto T, Esaki Y. Analysis of small cystic lesions of the pancreas. Int J Pancreatol 1995; 18:197-206. [PMID 8708390]
21. Fritz S, Klauss M, Bergmann F, Hackert T, Hartwig W, Strobel O, et al. Small (Sendai negative) branch-duct
IPMNs: not harmless. Ann Surg. 2012; 256:313-320. [PMID 22791105]
22. Sahani DV, Kadavigere R, Saokar A, Fernandez-del Castillo C, Brugge WR, Hahn PF. Cystic pancreatic lesions: a simple imaging-based classification system for guiding management. Radiographics 2005; 25:1471-1484. [PMID 16284129]
23. Pitman MB, Lewandrowski K, Shen J, Sahani D, Brugge W, Fernandez-del Castillo C. Pancreatic cysts: preoperative diagnosis and clinical management. Cancer Cytopathol 2010; 118:1-13. [PMID 20043327]
24. Jaffe CC. Measures of response: RECIST, WHO, and new alternatives. J Clin Oncol 2006; 24:3245-3251. [PMID 16829648]
25. van Klaveren RJ, Aerts JG, de Bruin H, Giaccone G, Manegold C, van Meerbeeck JP. Inadequacy of the RECIST criteria for response evaluation in patients with malignant pleural mesothelioma. Lung Cancer 2004; 43:63-69. [PMID 14698538]
26. Gietema HA, Wang Y, Xu D, van Klaveren RJ, de Koning H, Scholten E, et al. Pulmonary nodules detected at lung cancer screening: interobserver variability of semiautomated volume measurements. Radiology 2006; 241:251-257. [PMID 16908677]
27. Buerke B, Puesken M, Muter S, Weckesser M, Gerss J, Heindel W, Wessling J. Measurement accuracy and reproducibility of semiautomated metric and volumetric lymph node analysis in MDCT. AJR Am J Roentgenol 2010; 195:979-985. [PMID 20858828]
28. Wormanns D, Kohl G, Klotz E, Marheine A, Beyer F, Heindel W, Diederich S. Volumetric measurements of pulmonary nodules at multi-row detector CT: in vivo reproducibility. Eur Radiol 2004; 14:86-92. [PMID 14615902]
29. Revel MP, Lefort C, Bissery A, Bienvenu M, Aycard L, Chatellier G, Frija G. Pulmonary nodules: preliminary experience with three-dimensional evaluation. Radiology 2004; 231:459-466. [PMID 15128991]
30. Gavrielides MA, Kinnard LM, Myers KJ, Petrick N. Noncalcified lung nodules: volumetric assessment with thoracic CT. Radiology 2009; 251:26-37. [PMID 19332844]
31. Goodman LR, Gulsun M, Washington L, Nagy PG, Piacsek KL. Inherent variability of CT lung nodule measurements in vivo using semiautomated volumetric measurements. AJR Am J Roentgenol 2006; 186:989-994. [PMID 16554568]
32. Das M, Muhlenbruch G, Katoh M, Bakai A, Salganicoff M, Stanzel S, et al. Automated volumetry of solid pulmonary nodules in a phantom: accuracy across different CT scanner technologies. Invest Radiol 2007; 42:297-302. [PMID 17414525]
33. Honda O, Sumikawa H, Johkoh T, Tomiyama N, Mihara N, Inoue A, et al. Computer-assisted lung nodule volumetry from multi-detector row CT: influence of image reconstruction parameters. Eur J Radiol 2007; 62:106-113. [PMID 17161571]
34. Yoon SH, Lee JM, Cho JY, Lee KB, Kim JE, Moon SK, et al. Small (</= 20 mm) pancreatic adenocarcinomas: analysis of enhancement patterns and secondary signs with multiphasic multidetector CT. Radiology 2011; 259:442-452. [PMID 21406627]
35. Ogawa H, Itoh S, Nagasaka T, Suzuki K, Ota T, Naganawa S. CT findings of intraductal papillary neoplasm of the bile duct: assessment with multiphase contrast-enhanced examination using multi-detector CT. Clinical radiology 2012; 67:224-231. [PMID 21944774]
36. Leung KK, Ross WA, Evans D, Fleming J, Lin E, Tamm EP, Lee JH. Pancreatic cystic neoplasm: the role of cyst morphology, cyst fluid analysis, and expectant management. Ann Surg Oncol 2009; 16:2818-2824. [PMID 19536601]
37. Sadakari Y, Ienaga J, Kobayashi K, Miyasaka Y, Takahata S, Nakamura M, et al. Cyst size indicates malignant transformation in branch duct intraductal papillary mucinous neoplasm of the pancreas without mural nodules. Pancreas 2010; 39:232-236. [PMID 19752768]
38. Bose D, Tamm E, Liu J, Marcal L, Balachandran A, Bhosale P, et al. Multidisciplinary management strategy for incidental cystic lesions of the pancreas. J Am Coll Surg 2010; 211:205-215. [PMID 20670858]