CASE REPORT
Chronic Pancreatitis Associated with the p.G208A Variant of PRSS1 Gene in a European Patient
Eszter Hegyi1, Iveta Cierna1, Ludmila Vavrova2, Denisa Ilencikova1, Michal Konecny2, Laszlo Kovacs1
1Second Department of Pediatrics, Comenius University Medical School, University Children’s Hospital; 2Department of Clinical Genetics, St. Elizabeth Cancer Institute. Bratislava, Slovakia
ABSTRACT
Context The major etiologic factor of chronic pancreatitis in adults is excessive alcohol consumption, whereas among children structural anomalies, systemic and metabolic disorders, and genetic factors are prevalent. Mutations in the cationic trypsinogen gene (PRSS1) cause hereditary pancreatitis, while mutations in serine protease inhibitor Kazal type 1 (SPINK1), cystic fibrosis transmembrane conductance regulator (CFTR) and chymotrypsin C (CTRC) genes have been shown to associate with chronic pancreatitis as independent risk factors. Case report We present a case of 13-year-old boy with idiopathic chronic pancreatitis. Given the unexplained attacks of pancreatitis since early childhood and despite the negative family history, molecular-genetic analysis of four pancreatitis susceptibility genes (PRSS1, SPINK1, CTRC and CFTR) was performed. The boy was found to carry the c.623G>C (p.G208A) mutation of the PRSS1 gene and the c.180C>T (p.G60G) mutation of the CTRC gene, both in heterozygous state. These mutations are considered as contributing risk factors for chronic pancreatitis. Conclusions In children with idiopathic chronic pancreatitis genetic causes should be considered, even in absence of positive family history. To the best of our knowledge, this is the first description of a European patient with chronic pancreatitis associated with the p.G208A mutation of PRSS1 gene. This mutation was previously reported only in Asian subjects and is thought to be a unique genetic cause of pancreatitis in Asia.
INTRODUCTION
The major etiologic factor of chronic pancreatitis in adults is excessive alcohol consumption, whereas among children structural anomalies, systemic and metabolic disorders, and genetic factors are prevalent. Hereditary pancreatitis (OMIM #167800, Online Mendelian Inheritance in Man; www.omim.org) is an autosomal dominant disorder with about 80% penetrance caused by mutations in the cationic trypsinogen gene (PRSS1) [1]. The p.R122H and p.N29I mutations of PRSS1 appear to be the most common world-wide. However, additional rare PRSS1 variants have been reported, the majority of which were found in sporadic cases without a family history of chronic pancreatitis ([2], www.pancreasgenetics.org). Mutations in other genes such as serine protease inhibitor Kazal type 1 (SPINK1) [3], cystic fibrosis transmembrane conductance regulator (CFTR) [4] and chymotrypsin C (CTRC) [5] have been shown to associate with chronic pancreatitis as independent risk factors.
Here we present a case of chronic pancreatitis associated with a rare heterozygous mutation of PRSS1 in a Slovak child. This mutation was previously reported only in Asian subjects and is thought to be a unique genetic cause of pancreatitis in Asia [6].
CASE REPORT
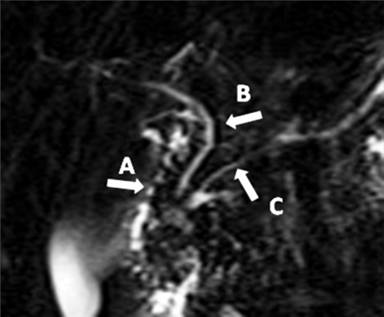
The currently 13-year-old Caucasian boy was first examined at our department at the age of 11 on account of acute abdominal pain, intense nausea and vomiting. His prior history included several similar episodes (approximately 2 attacks per year), some managed at home and others with brief hospitalization. The first episode occurred at the age of 2.5 with same symptoms and elevated serum amylase and lipase levels. Over the next years further investigations have been performed to determine the root cause of patient’s complaints and abdominal trauma, cystic fibrosis, infectious, metabolic, autoimmune, drug and systemic causes were gradually excluded, by means of anamnestic investigations, clinical observations and by laboratory evaluations. Attempting to exclude any structural anomaly, magnetic resonance cholangiopancreatography (MRCP) (Figure 1) and endoscopic retrograde cholangiopancreatography (ERCP) were performed and the diagnosis of chronic pancreatitis probably on the basis of pancreas divisum was established. Note that this finding was also excluded later (see below).

|
Figure 1. Magnetic resonance cholangiopancreatography (MRCP) image of the patient. By MRCP scan the diagnosis of chronic pancreatitis probably on the basis of pancreas divisum was suspected, but it was ruled out later by endoscopic retrograde cholangiopancreatography. A: duodenum; B: common bile duct; C: pancreatic duct |
When coming to our attention, the boy felt tired and presented epi- and meso-gastric tenderness. Serum laboratory tests were all within the normal range, with the exception of C-reactive protein (CRP) 12.5 mg/L (reference range: 0-5 mg/L), amylase 17.29 μkat/L (reference range: 0-1.7 μkat/L), pancreatic amylase 14.9 μkat/L (reference range: 0-0.58 μkat/L), lipase 61.63 μkat/L (reference range: 0.67-2.34 μkat/L) and uric acid 442 μmol/L (reference range: 100-360 μmol/L). Urinanalysis showed high levels of amylase 149.29 μkat/L (reference range: 0-7.7 μkat/L) and pancreatic amylase 149.2 μkat/L (0-5.43 μkat/L). Transabdominal ultrasound revealed slightly inhomogeneous parenchyma and course texture. Under conservative therapy, which included i.v. fluids administration, gastroprotective therapy and enzyme supplementation, amylase, lipase and CRP values returned to normal levels. After 1 week of hospitalization the child was released in good condition and hypolipidemic diet, proton pump inhibitor and pancreatic enzyme supplementation therapy were recommended. The next month a re-hospitalization was planned to perform ERCP and consider transpapillary pancreatic stent utilization. During the examination the diagnosis of pancreas divisum was ruled out and because of Wirsung duct stenosis pancreatic stent was implanted. Since that time stent replacement was three times provided and the stent was extracted half a year ago due to acute exacerbation of the disease with obturation of the pancreatic stent. At follow-up visits no further episodes of abdominal pain were reported, the laboratory tests showed repeatedly elevated cholesterol 5.41 mmol/L (reference range: 3.21-4.80 mmol/L) and triglyceride 3.87 mmol/L (reference range: 0-1.3 mmol/L) levels, but HDL, LDL, ApoA and ApoB values were within normal range.
Given the unexplained attacks of pancreatitis since early childhood and despite the negative family history, genetic counseling and molecular-genetic analysis of four pancreatitis susceptibility genes (PRSS1, SPINK1, CTRC and CFTR) were provided. Direct sequencing of all exons of PRSS1, SPINK1 and of 2nd, 3rd and 7th exon of CTRC was performed. Most common mutations of CFTR (51 total) were analyzed. To exclude large genomic rearrangements, multiplex ligation-dependent probe amplification assay (MLPA) of PRSS1 and SPINK1 was also applied. The proband was found to carry the c.623G>C (p.G208A) mutation of the PRSS1 gene and the c.180C>T (p.G60G) mutation of the CTRC gene, both in the heterozygous state (Figure 2). Except the mentioned mutations and the common polymorphisms c.486C>T (p.D162D) and c.738C>T (p.N246N) of the PRSS1 gene no other variants in PRSS1, SPINK1, CTRC and CFTR were detected. The index patient’s parents were subsequently tested and both mutations were present in his clinically healthy mother and absent in his father. In maternal grandmother without any history of pancreatitis the p.G208A mutation of PRSS1 was confirmed (Figure 3).

|
Figure 2. Sequence chromatograms of p.G208A mutation of cationic trypsinogen gene (PRSS1) (a.) and p.G60G mutation of chymotrypsin C gene (CTRC) (b.), both in heterozygous state. |

|
Figure 3. Pedigree of the family. Heterozygous carriers of the p.G208A mutation of cationic trypsinogen gene (PRSS1) and p.G60G mutation of chymotrypsin C gene (CTRC) are indicated. Subjects affected with chronic pancreatitis are shown by solid black symbols. The arrow points to the index patient. The central black dot signifies clinically healthy carriers of the p.G208A mutation of PRSS1 and p.G60G mutation of CTRC. Crossed symbols designate deceased family members. WT: wild type |
DISCUSSION
To the best of our knowledge, this is the first description of a European patient with chronic pancreatitis associated with the p.G208A mutation of PRSS1 gene. Our index patient and all members of his family were originally from Slovakia. In addition to this mutation, the child carries also the p.G60G variant of the CTRC gene in a heterozygous state.
Concerning the functional effect of this rare PRSS1 variant, a recent study reported that the p.G208A mutation resulted in reduced trypsinogen secretion likely caused by mutation-induced misfolding [7]. This mechanism is different from those of the more frequent p.N29I and p.R122H mutations, which increase trypsinogen autoactivation and result in elevated intra-pancreatic trypsin activity [8]. Misfolding may result in endoplasmic reticulum stress which may explain the increased risk for pancreatitis, as described previously for the p.R116C and p.C139S mutations ([9], www.pancreasgenetics.org). To date, only 21 cases of pancreatitis associated with the p.G208A mutation have been reported, among them 18 patients were Japanese, 2 Korean and 1 had Asian origin not further specified [6, 10, 11]. Four patients carrying this variant had additional mutations in CTRC (p.R29Q), SPINK1 (p.N34S) or CFTR (p.F508del, p.Q1352H) genes, suggesting that p.G208A is less penetrant than the p.N29I and p.R122H mutations and it may act as a strong risk factor in the context of other risk factors. This notion is supported by our finding of the p.G208A (PRSS1)/p.G60G (CTRC) trans-heterozygous status in the presented patient. The common synonymous p.G60G variant of CTRC gene is associated with a 1.5-2-fold higher risk of chronic pancreatitis in the heterozygous state, compared with those carrying the wild-type allele. The risk is magnified to approximately 10-fold for homozygous individuals ([12], www.pancreasgenetics.org).
The p.G208A (PRSS1)/p.G60G (CTRC) trans-heterozygous status was also confirmed in the index patient’s clinically healthy mother and grandmother. As chronic pancreatitis is a complex genetic disorder that develops through the interaction of environmental and genetic factors, this finding may be due to the effect of other unknown risk factors in the boy which are missing or act milder in his mother and grandmother.
Received August 2nd, 2013 – Accepted October 12th, 2013
Key words chymotrypsin C; Pancreatitis, Chronic; PRSS1 protein, human
Abbreviations CTRC: chymotrypsin C
Acknowledgements Authors appreciate the participation of all family members. Authors would like to thank Dr. Viktor Janko and Jessenius diagnostic centre for their assistance with MRCP images. Authors are grateful to Prof. Miklos Sahin-Toth for his kind help with the manuscript
Financial acknowledgements This study was supported by “Grant UK 244/2012 and 573/2013” and by a scholarship from “Collegium Talentum” (to E.H.)
Conflict of interest The authors do not have any conflict of interest or financial disclosures
Correspondence
Eszter
Hegyi
Second Department of Pediatrics
Comenius University Medical School
University Children’s Hospital
Limbová 1
833 40 Bratislava
Slovakia
Phone: +42-125.937.1109
Fax: +42-125.937.1850
E-mail: eszter.hegyi@dfnsp.sk
References
1. Whitcomb DC, Gorry MC, Preston RA, Furey W, Sossenheimer MJ, Ulrich CD, et al. Hereditary pancreatitis is caused by a mutation in the cationic trypsinogen gene. Nat Genet 1996; 14(2):141–5. [PMID: 8841182].
2. Szmola R, Sahin-Tóth M. Uncertainties in the classification of human cationic trypsinogen (PRSS1) variants as hereditary pancreatitis-associated mutations. J Med Genet 2010; 47(5):348–50. [PMID: 20452997].
3. Witt H, Luck W, Hennies HC, Classen M, Kage A, Lass U, et al. Mutation in the gene encoding the serine protease inhibitor, Kazal type 1 are associated with chronic pancreatitis. Nat Genet 2000; 25(2):213-6. [PMID: 10835640].
4. Sharer N, Schwarz M, Malone G, Howarth A, Painter J, Super M, Braganza J. Mutations of the cystic fibrosis gene in patients with chronic pancreatitis. N Engl J Med 1998; 339(10):645-52. [PMID: 9725921].
5. Masson E, Chen JM, Scotet V, Le Maréchal C, Férec C. Association of rare chymotrypsinogen C (CTRC) gene variations in patients with idiopathic chronic pancreatitis. Hum Genet 2008; 123(1):83-91. [PMID: 18172691].
6. Masamune A, Nakano E, Kume K, Takikawa T, Kakuta Y, Shimosegawa T. PRSS1 c.623G>C (p.G208A) variant is associated with pancreatitis in Japan. Gut Published Online First: [17 May 2013] doi:10.1136/gutjnl-2013-304925. [PMID: 23686146].
7. Schnúr A, Beer S, Witt H, Hegyi P, Sahin-Tóth M. Functional effects of 13 rare PRSS1 variants presumed to cause chronic pancreatitis. Gut Published Online First: [1 March 2013] doi:10.1136/gutjnl-2012-304331. [PMID: 23455445].
8. Szabó A, Sahin-Tóth M. Determinants of chymotrypsin C cleavage specificity in the calcium-binding loop of human cationic trypsinogen. FEBS J 2012; 279(23):4283-92. [PMID: 23035638].
9. Kereszturi E, Szmola R, Kukor Z, Simon P, Weiss FU, Lerch MM, Sahin-Tóth M. Hereditary pancreatitis caused by mutation-induced misfolding of human cationic trypsinogen: a novel disease mechanism. Hum Mutat. 2009; 30(4):575-82. [PMID: 19191323].
10. Lee YJ, Kim KM, Choi JH, Lee BH, Kim GH, Yoo HW. High incidence of PRSS1 and SPINK1 mutations in Korean children with acute recurrent and chronic pancreatitis. J Pediatr Gastroenterol Nutr 2011; 52(4):478-81. [PMID: 21415673].
11. Keiles S, Kammesheidt A. Identification of CFTR, PRSS1, and SPINK1 mutations in 381 patients with pancreatitis. Pancreas 2006; 33(3):221-7. [PMID: 17003641].
12. Derikx MH, Szmola R, te Morsche RH, Sunderasan S, Chacko A, Drenth JP. Tropical calcific pancreatitis and its association with CTRC and SPINK1 (p.N34S) variants. Eur J Gastroenterol Hepatol 2009; 21(8):889–94. [PMID: 19404200].