CASE REPORT
JOP. J Pancreas (Online) 2013 Nov 10; 14(6):669-670.
Unusual Foreign Body of Pancreas: Surgical Management
Thakur Deen Yadav, Harjeet Singh, Rakesh Sah
Department of General Surgery, Postgraduate Institute of Medical Education and Research. Chandigarh, India
ABSTRACT
Context The foreign ingestion is common occurrence but migration to pancreas is rare entity. Most of foreign bodies pass spontaneously through the anus but about 1% can perforate the wall of stomach or duodenum to reach solid organ. Pancreatic foreign body can results in fatal complication. Pancreatic foreign body can be removed endoscopically or surgically. Case report We are reporting a case of successful removal of pancreatic foreign body (sewing needle) by surgery. Conclusion Pancreatic foreign body is a uncommon entity and surgical removal is warranted in majority of cases.
INTRODUCTION
A foreign body in the pancreas are rare and usually caused by sharp objects. Sewing needle can rarely perforate through the stomach to reach pancreas and liver [1, 2]. This can create fatal problem like pancreatitis, abscess and pseudoaneurysm formation [1, 3]. Majority of cases need surgical intervention. We are reporting a rare case of foreign body (sewing needle) in pancreas who was asymptomatic for eight years and which was successfully treated by surgery.
CASE REPORT
A 19-year-old male presented with a 20-day history of pain abdomen, moderate to severe in intensity, continuous, aggravated by lying down, relieved by sitting position and taking analgesic. However, there was no history of vomiting, upper or lower gastrointestinal bleeding. No history of loss of appetite or loss of weight. Past history revealed accidental ingestion of sewing needle while he was at work 8 years back, and was asymptomatic since then.
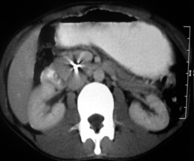
His physical examination and routine blood test, including hemogram, renal function, liver function, serum amylase and lipase were normal. Abdominal computerized tomography (CT) scanogram revealed radio-opaque foreign body at the level of 2nd lumbar vertebra simulating a needle (Figure 1). Contrast enhanced computerized tomography scan showed a thin radio opaque (2,300 HU) linear structure of 6.4 cm embedded within head of pancreas (Figure 2).Patient was planned for laparotomy .Duodenum was kocherized and lesser sac opened. Pancreatic head was firm in consistency, needle could not be palpated, intraoperative sonography was used to localize the foreign body in the head of pancreas. Local resection of needle bearing part of head pancreas preserving duodenum Roux-en-Y pancreaticojejunostomy was done (Figures 3 and 4). Postoperative period was uneventful and patient was discharged on day 7 on satisfactory condition.

|
Figure 1. CT scanogram showing radio-opaque shadow suggesting needle. |

|
Figure 2. CECT showing radio-opaque foreign body in pancreatic head. |

|
Figure 3. Resection of pancreatic head with protrusion of foreign body from pancreatic head. |

|
Figure 4. Resected specimen with needle. |
DISCUSSION
Sharp foreign body like fish bone, needle and tooth pick may be ingested accidentally. Most of them pass unnoticed but about 1% may perforate through the intestine wall [1].
Cricopharyngeal sphincter, constrictions of the esophagus (due to arch of aorta and bronchus), C loop of duodenum, distal ileum (2 feet proximal to the ileocecal junction) and ileocecal junction are the normal anatomical sites of foreign body impaction. Rarely these sharp objects can perforate through the wall of the stomach or duodenum and may reach the liver or the pancreas [2, 4]. The diagnosis of this entity is difficult as most of patients do not remember the incidence and organic object may mimics the of picture carcinoma [4, 5].
The diagnosis of foreign body may be suspected on roentgenogram but computed tomography is a must for exact localization and for diagnosis of complication associated with this. Endoscopic removal may be attempted if one end of the foreign body is in the stomach or duodenum but majority of cases requires surgical intervention [2, 3, 4]. Successful laparoscopic removal of pancreatic foreign body in three case has been reported [6, 7, 8].
CONCLUSION
Pancreatic foreign body is a uncommon entity and surgical removal is warranted in majority of cases.
Received August 10th, 2013 – Accepted October 10th, 2013
Key word Foreign Bodies; Needles; Pancreas
Conflicts of interest The authors have no potential conflicts of interest
Correspondence
Thakur
Deen Yadav
Department of General Surgery
Post Graduate Institute of Medical Education and Research (PGIMER)
Sector 12
Chandigarh, CH 160012
India
Phone: +91-946.427.0541
Fax: +91-172.275.4441
E-mail: tdyadav@gmail.com
References
1. Barros JL, Cabellero AJ, Rueda JC, Monturiol JM. Foreign body ingestion : Management of 167 cases. World J Surg.1991;15:783-788
2. Toyonaga T, Shinohara M, Miyatake E, et al. Penetration of the duodenum by an ingested needle with migration to the pancreas: report of a case. Surg Today 2001;31:68 –71.
3. Goh BK, Yong WS, Yeo AW. Pancreatic and hepatic abscess secondary to fish bone perforation of the duodenum. Dig Dis Sci 2005;50(6):1103–1106
4. Goh BKP, Jeyaraj P, Chan H et al. A case of fish bone perforation of the stomach mimicking a locally advanced pancreatic carcinoma. Dig Dis Sci 2004;49:1935–1937.
5. Yasuda T, Kawamura S, Shimada E, Okumura S. Fish bone penetration of duodenum extending into the pancreas : report of a case. Surg Today.2010;40:676-678
6. Cheah WK, Mar Fan MJ, Goh PMY. Laparoscopic removal of fish bone. Surg Laparosc Endosc Percutan Tech. 1999;9:223–225.
7. Wu C, Hungness ES.Laparoscopic removal of a pancreatic foreign body: JSLS 2006:10;541-543
8. Jain A, Nag HH, Goel N et al. Laparoscopic removal of a needle from the pancreas. J Minim Access Surg 2013;9:80-81.